Что нужно для постановки диагноза
Из предыдущего раздела следует простой вывод: застойная пневмония не имеет ярко выраженных, характерных только для этой болезни симптомов. А значит, главная задача врача и родственников больного – вовремя заподозрить неладное и провести весь комплекс мер, необходимых для правильной постановки диагноза.
«Наводкой» для врача могут служить записи в истории болезни о следующих перенесённых (или хронических) заболеваниях:
- инфаркт, инсульт;
- атеро— и кардиосклероз, порок сердца;
- аритмия, стенокардия, гипертония;
- эмфизема лёгких, астма;
- воспаления почек;
- сахарный диабет.
Врачи отмечают, что пневмония на фоне сердечной недостаточности представляет собой серьезную медицинскую проблему, требующую комплексного подхода к диагностике и лечению. Сердечная недостаточность ослабляет иммунную систему, что делает пациентов более уязвимыми к инфекциям, включая пневмонию. Специалисты подчеркивают важность раннего выявления симптомов, таких как одышка, кашель и повышение температуры, поскольку игнорирование этих признаков может привести к ухудшению состояния. Лечение требует не только антибактериальной терапии, но и коррекции сердечной функции. Врачи рекомендуют регулярные обследования и мониторинг состояния пациентов с сердечной недостаточностью, чтобы предотвратить развитие пневмонии и других осложнений.

Для подтверждения диагноза необходимо:
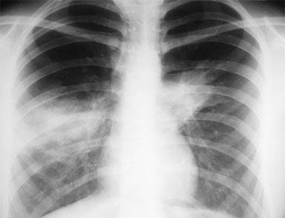
- Сделать рентген (к сожалению, пока не в каждой больнице есть аппаратура для обследования лежачих больных). Скопившаяся в лёгких жидкость на плёнке даст тени и уменьшение прозрачности, но «картинка» будет неотличима от других лёгочных болезней – например, бронхопневмонии.
- Провести УЗИ плевральной полости для уточнения результата, определения наличия жидкости и её локализации.
- Обязательно прослушать лёгкие с помощью стето— или фонендоскопа: при застойной пневмонии будут слышны влажные («булькающие») хрипы и сиплое дыхание.
В медикаментозном лечении гипостатической пневмонии применяют:
- антибиотики, иммуномодуляторы (подавление инфекции истимулирование иммунитета);
- бронхолитические и отхаркивающие средства;
- мочегонные препараты (при этом из рациона исключается острое, солёное, но увеличивается доля калийсодержащих продуктов – творога, сухофруктов, бобовых и зелени);
- средства для укрепления сердечной мышцы.
Из физиотерапевтических методов назначают массаж, ингаляции (при необходимости – кислородные маски) и дыхательную гимнастику: очень хорошо помогают комплексы Бутейко и Стрельниковой.
Также обязательно выполнять упражнения для тренировки диафрагмального дыхания (у пожилых оно часто поверхностное).
- Лёжа: положить руки на живот, медленно вдохнуть; выдыхать ртом, напрягая мышцы пресса и надавливая руками для усиления выдоха.
- Стоя: руки в стороны, ноги широко расставить, вдохнуть; выдыхать медленно, переведя руки вперёд, наклоняясь при этом вниз и втягивая мышцы живота.
Следующий важный момент – позиционный дренаж для улучшения отхождения мокроты. Это не что иное, как использование различных положений тела для стекания выделений к рефлексогенным зонам, способным вызвать кашель. Для стимулирования процесса нужно сделать несколько глубоких носовых вдохов с выдохом через стиснутые зубы, а после пытаться кашлять.
Перед упражнениями, минут за 30–35, хорошо выпить тёплое или горячее питье. Желательно, чтоб это был настой травы термопсиса (кстати, термопсис бывает и в таблетках), мать-и-мачехи или подорожника; чай с молоком и мёдом или натуральный липовый чай.
Не помешает воспользоваться и рецептами народной медицины.
Из всего их многообразия приведём здесь один, самый популярный: перед каждым приёмом пищи принимать по полстакана чабрецового отвара (4 ст. л. сухой травы на 1 л кипятка).
Лечение застойной пневмонии
В первую очередь, врачи должны определить, пострадал ли кислородный баланс. Если это случилось, больного госпитализируют в тот стационар, где имеется отделение интенсивной терапии, и начинают лечение:
- если баланс нарушен не сильно, назначается дыхание увлажненным кислородом с помощью маски;
- если развилась тяжелая дыхательная недостаточность, больного вводят в наркоз, на фоне которого его переводят на искусственную вентиляцию легких. Это — единственная возможность подавать кислород в альвеолы под нужным давлением.
Второе направление терапии – это назначение антибактериальных препаратов. Вначале, до получения результатов бактериологического исследования (бакпосева) мокроты и крови, назначаются препараты широкого спектра. Через 5 суток, при необходимости менять антибиотики, применяют такие, к которым микрофлора мокроты оказалась чувствительной. Оптимальный путь введения данных препаратов, хотя бы первые 5-7 суток – это внутримышечный или внутривенный.
Параллельно с приемом антибиотиков, еще до результатов бакпосева, назначаются противогрибковые средства. Это продиктовано тем, что, по статистике, большинство застойных пневмоний вызывается не одними бактериями, а сочетанием бактерий и грибов.
Следующим обязательным компонентом терапии является назначение препаратов, расширяющих бронхи: так можно облегчить дренаж мокроты и улучшить проходимость дыхательных путей для кислорода. Бронхорасширяющие препараты могут назначаться в виде ингаляций, если человек не находится на искусственной вентиляции легких. Также применяется внутривенный путь их введения.
Также при застойной пневмонии назначаются препараты, улучшающие поступление кислорода в кровь, а также облегчающие работу сердца. Это мочегонные, отхаркивающие, антиоксидантные и иммуномодулирующие средства, сердечные гликозиды.
Если лежачий больной находится в сознании, его просят откашливать мокроту. Если он находится на искусственной вентиляции легких, или у него угнетен кашлевой рефлекс, ему ежедневно проводят бронхоскопию – очистку крупных и средних бронхов с помощью специального прибора, оснащенного оптикой (то есть врач видит, какое состояние у бронхов) и системой для вакуумного удаления бронхиального отделяемого.
При застойной пневмонии лежачим должен обязательно выполняться вибрационный массаж, повороты с бока на бок, а также, после стабилизации состояния, выкладывание на живот (в таком положении лучше отходит мокрота).
Если развились такие осложнения, как экссудативный плеврит или перикардит, в условиях стационара проводится пункция плевры или перикарда с последующим удалением застойной жидкости.
Когда больной находится в сознании и не нуждается в переводе на искусственную вентиляцию легких, ему обязательно назначается дыхательная гимнастика. Это занятия по комплексам Стрельниковой, Бутейко, надувание воздушных шаров, задувание свечей, выдох через трубочку в воду.
Во время лечения обязательно обеспечить больному полноценное и богатое витаминами и белками питание. Если больной находится в сознании, а его глотательный и жевательный рефлексы сохранены, рекомендуется питание перетертыми мясными продуктами, приготовленными на пару или вареными. Если больной глотать не может или находится на аппаратном дыхании, его кормят через зонд – трубку, введенную через нос в желудок, а для питания используют энпиты, вторые бульоны, овощные отвары с прожилками мяса. В качестве питья таким больным дают морсы, слабый отвар шиповника, отвар чабреца, липовый чай.
Когда состояние больного стабилизировано, кроме активных поворотов в кровати ему нужны будут вибрационный массаж грудной клетки, массаж спины, физиотерапия.
Пневмония на фоне сердечной недостаточности вызывает серьезные опасения у врачей и пациентов. Многие отмечают, что наличие сердечных заболеваний значительно усложняет течение пневмонии, увеличивая риск осложнений и ухудшая общее состояние. Люди делятся опытом, что при сочетании этих двух заболеваний симптомы могут быть более выраженными, а восстановление затягивается. Врачи подчеркивают важность ранней диагностики и адекватного лечения, так как ослабленный сердечный насос не справляется с дополнительной нагрузкой, вызванной инфекцией. Пациенты часто отмечают, что даже легкие простуды могут перерасти в серьезные проблемы, и поэтому профилактика становится ключевым моментом. Важно следить за состоянием здоровья и не игнорировать первые признаки ухудшения, чтобы избежать тяжелых последствий.

Вспомогательные меры лечения
Огромное значение имеет правильный уход за больным. Пока держится лихорадка, нужно соблюдать постельный режим. При необходимости пожилого больного переводят в палату интенсивной терапии. Может возникнуть потребность в контроле степени дыхательной недостаточности, а также показателей гемодинамики.
Огромное значение для пожилого человека имеет психологическая поддержка и ранняя активация. Что касается питания, то основой рациона больного должны стать легкоусвояемые продукты, богатые витаминами. Принимать пищу во время болезни лучше до 6 раз в сутки. Для скорейшего выздоровления в день необходимо выпивать около 2 литров жидкости. Для этой цели подойдет простая вода, а также зеленый чай, бульон, морс, компот.
Одно из возможных последствий постельного режима — запоры. Связано это с атонией кишечника. Рекомендуется включать в рацион яблоки, свеклу, другие фрукты и овощи, которые обеспечивают стимуляцию перистальтики кишечника. Врач может назначить щадящее слабительное средство на основе крушины или сенны. Также от запоров помогают слабощелочные минеральные воды.
Только врач может достоверно распознать клинику пневмонии у пожилых людей, провести диагностику и назначить лечение. Организму старика трудно справиться с этой тяжелой болезнью. Откладывать обращение в больницу нельзя. Лечение воспаления легких у пожилых народными средствами может оказаться неэффективным и опасным. Последствия запущенной болезни часто оказываются трагическими.
Почему болезнь развивается у длительно лежащих?
На появление воспаления легких у стариков, прикованных к кровати, и просто лежачих больных после травм влияет общее снижение активности. Из-за отсутствия подвижности и действий, которые характерны для людей с активным образом жизни, появляется слабость, ослабление защиты от патологических микроорганизмов. Так нарушается работа органов дыхания. Этот процесс обостряется при попадании и паразитировании инфекции. Существует ряд возбудителей, которые вызывают пневмонию:
- Бактерии — это прокариотические микроорганизмы, занимающие первое место среди причин развития болезни. К ним относятся: Пневмококк из рода Streptococcus, Микоплазма рода Mycoplasma, Золотистый стафилококк из рода стафилококков, Хламидофила из семейства Chlamydiaceae, Гемофильная палочка (палочка Пфайффера, палочка инфлюэнцы) из семейства семейства Pasteurellaceae, Bordetella pertussis (причина Коклюша).
- Вирусы. Например, парагрипп, грипп, инфекционные заболевания, которые поражают слизистую носа (риновирусы), РСВ, аденовирусная инфекция. Редко: вирус кори, Rubella virus, вирус герпеса человека 4 типа.
- Грибы, такие как: Candida albicans (возбудитель молочницы, попадающий в легкие при запущенных стадиях), Аспергилл, Pneumocystis Jiroveci.
- Простейшие паразитические черви. Например, глисты.
- Смешанные. Заболевание появляется из-за комбинированного влияния бактерий и вирусов.
К тому же на развитие пневмонии может влиять аллергия, инфекционные поражения систем органов, нарушение тока крови в малом круге кровеносной системы, попадание соляной кислоты из желудка в легкие во время рвоты.
Главный фактор, влияющий на появление пневмонии, — протекание хронических процессов. Они снижают иммунитет путем вовлечения всех сил организма в борьбу с другими заболеваниями. При нарушениях работы иммунной системы причиной недуга чаще всего являются Streptococcus, Staphylococcus, анаэробная инфекция. Эти микроорганизмы содержатся в обычной микрофлоре организма, но при воспалительных или хронических процессах они начинают активно размножаться, вызывая пневмонию.
Для лежачих больных характерно воспаление легких, которое появилось в результате отклонения в токе крови легочного круга. Дыхание полной грудью способствует полному кровоснабжению легких, а у пациентов, прикованных к кровати, такая циркуляция крови нарушена. Ослабший организм лежачего человека просто не способен осуществлять полноценный вдох и выдох. Отклонение тока крови ведет к изменению артериального давления, что негативно сказывается на легких.
Во время выдоха из организма удаляется:
- углекислый газ,
- слизь,
- микробы,
- пыль,
- грязь.
У лежачего пациента эти частицы из легких не выводятся, так как происходит нарушение кровоснабжения и органам дыхания недостаточно сил для выведения лишнего. Со временем грязь и прочий мусор накапливается, вызывая пневмонию.

Дифференциальная диагностика пневмонии
Важно отличать пневмонию от туберкулёзного инфильтрата, рака лёгкого, инфаркта лёгких, эозинофильного инфильтрата
Туберкулёз лёгких
Для туберкулёза характерно наличие очагов-отсевов. Многократное исследование мокроты и промывных вод бронхов позволяют обнаружить микобактерии туберкулёза. Не менее важен тщательный сбор анамнеза: характерен длительный контакт с бактериовыделителями — семейный или профессиональный. Фтизиатрическая настороженность важна при обследовании больных, получающих системные глюкокортикоиды
В дифференциально-диагностическом плане важно проводить эмпирическую терапию пневмонии без использования противотуберкулёзных препаратов широкого спектра действия (рифампицин, стрептомицин, канамицин, амикацин, циклосерин, фторхинолоны)
Рак лёгкого
Периферический рак лёгкого долгое время остаётся бессимптомным и нередко выявляется при рентгенологическом исследовании, не связанном с подозрением на опухолевый процесс органов дыхания. Прорастание опухоли в плевру сопровождается выраженным болевым синдромом. Прорастание опухоли в бронх сопровождается кашлем, появлением мокроты и кровохарканьем. Наиболее часто периферический рак лёгкого локализуется в передних сегментах верхних долей. В рентгенологической картине рака лёгкого выделяют такие характерные признаки, как «лучистость» контура, увеличение тени на динамических снимках. Опухолевый процесс с прогрессированием даёт метастазы — дочерние опухоли в лёгкие или другие органы. В свою очередь опухоли лёгких сами могут быть метастатическими.
ТЭЛА чаще развивается у больных, страдающих тромбофлебитом нижних конечностей и таза, пребывающих длительное время в постели, при мерцательной аритмии, в послеоперационном периоде. У молодых женщин лёгочные тромбоэмболии иногда встречаются при использовании пероральных контрацептивов. Для инфаркта лёгкого характерна боль в груди, при полисегментарном поражении — одышка и цианоз, тахикардия и артериальная гипотензия. Аускультация может выявить ослабление дыхания и шум трения плевры. При поражении одного сегмента на рентгенограммах выявляют гомогенную тень треугольной формы, обращенную основанием к висцеральной плевре, а верхушкой — к воротам лёгких. Информативно проведение перфузионного радиоизотопного сканирования, при котором обнаруживают ишемические «холодные» зоны в лёгких. На ЭКГ появляется картина острой или подострой перегрузки правых отделов сердца.
Эозинофильный инфильтрат
Для эозинофильного инфильтрата характерна «летучесть» изменений на рентгенограммах: исчезновение и появление инфильтрации с непостоянной локализацией. Типичны эозинофилия крови и/или мокроты, наличие отягощенного аллергологического анамнеза, наличие глистных инвазий.
Внутрибольничная пневмония
Больные с внутрибольничной пневмонией часто требуют диагностических исследований. Дифференциальная диагностика острого заболевания органов дыхания у госпитализированных пациентов в тяжёлом состоянии достаточно разнообразна и требует исключения таких неинфекционных состояний, как застойная сердечная недостаточность, респираторный дистресс-синдром взрослых, ателектаз, токсические поражения лёгких кислородом и лекарствами, которые трудно отличить на рентгенограммах от пневмонии.
Справочные материалы (скачать)
Кликните по нужному документу для скачивания:
| 1 | Внебольничная пневмония у пациентов пожилого и старческого возраста | 165 KB |
| 2 | Федеральные клинические рекомендации по вакцинопрофилактике пневмококковой инфекции у взрослых | 199 KB |
| 3 | Нозокомиальная пневмония у взрослых (Национальные рекомендации). Российское респираторное общество (РРО) | 412 KB |
| 4 | Клинический протокол. Пневмония у взрослых | 458 KB |
| 5 | ВЕНТИЛЯТОРАССОЦИИРОВАННАЯ ПНЕВМОНИЯ. ДИАГНОСТИКА, ПРОФИЛАКТИКА, ЛЕЧЕНИЕ | 634 KB |
| 6 | Иммунизация детей и взрослых (прививки, вакцины) | 167 KB |
| 7 | Физиотерапия и ЛФК при пневмонии. Учебно-методическое пособие. МЗ РБ | 2 MB |
| 8 | Лабороторно-инструментальные нормативы | 145 KB |
Терапия с использованием рецептов народной медицины
Ускорить выздоровление и повысить лечебный эффект возможно, если грамотно подобрать нетрадиционные средства медицины. Естественно их использование должно быть согласовано со специалистом.
Лечение народной медициной должно быть оговорено с врачом
Симптомы заболевания отступают при применении следующих рецептов:
- Настойка из всем известного чабреца. Ее нужно давать больному по 100 мл четыре раза в сутки. Приготовить настойку не составляет труда. Заварите в пол литре кипятка 2 столовые ложки растения и дайте остыть. Раствор готов к употреблению.
- Настойка, приготовленная из сушеных плодов калины. Ее удобно заваривать в термосе. Нужно просто залить две ложки плодов стаканом кипятка и оставить на ночь настаиваться. Пить настойку нужно после приема пищи, можно добавлять мед.
- Сироп из корня девясила. Возьмите пару ложек измельченного продукта и смешайте со стаканом кипяченной воды. Варите смесь в течение 30 минут. Процеженный раствор сдабривают медом, чтобы получился достаточно сладкий сироп с горчинкой. Принимать по две ложки столовые до еды.
Способствует стимуляции отхаркивания отвар из плодов шиповника. Очень полезно пить обычный черный чай, добавив в него лимон либо малину. Всяческие грудные сборы лекарственных растений, готовые к употреблению эликсиры являются неплохим подспорьем. Лечение народными средствами показывает свою эффективность и застойная пневмония отступает.
Если болезнь выявлена на ранних стадиях, своевременно приняты все меры к правильному лечению, отсутствуют осложнения, то прогноз в основном благоприятный и человек выздоравливает через несколько недель.
Лечение и профилактика гипостатической пневмонии
Если возникла застойная пневмония у лежачих больных, лечение ее должно проводиться исключительно в условиях стационара. Комплексная терапия пневмонии у лежачих больных включает:
- Назначение антибиотиков.
- Уменьшение застойных явлений в малом круге кровообращения.
- Восстановление дренажной функции бронхов.
- Аспирация экссудата из легких.
- Кислородотерапию.
- Антиоксидантное лечение.
- Иммуномодулирующее лечение.
- Массаж, физиотерапия, ЛФК.
Выбор препарата для проведения антибиотикотерапии при застойной пневмонии у пожилых лежачих людей зависит от предполагаемого возбудителя. До получения результатов бактериологического посева мокроты пациенту назначается эмпирическая антибиотикотерапия:
- при внегоспитальной пневмонии – антибиотики широкого спектра действия (Амоксиклав, Ампициллин, Цефуроксим, Цефтриаксон, Левофлоксацин) или их комбинации;
- при госпитальной пневмонии – комбинации антибиотиков, обладающих свойством подавлять размножение микрофлоры с повышенной устойчивостью к антибактериальным препаратам (Имипенем + Линезолид, Амикацин + Ванкомицин).
После получения результатов антибиотикочувствительности возбудителя пневмонии программа антибиотикотерапии может быть откорректирована. Эффективность противомикробного лечения оценивают на второй-третий день от начала приема антибиотика или их комбинации. Если за эти дни температура не начала снижаться, а симптоматика не становится менее выраженной, антибиотик необходимо заменить.
Если в легких накопилось много экссудата, который больному сложно удалить естественным путем (через бронхи), прибегают к аппаратной аспирации содержимого легких. После этого состояние пациентов значительно улучшается.
Если пожилой лежачий пациент может самостоятельно откашливать мокроту, то ему назначаются:
- бронхолитические и муколитические препараты (Лазолван, Ацетилцистеин);
- бронхорасширяющие средства (Эуфиллин).
Для уменьшения респираторного алкалоза в крови пожилых, лежачим больным показана кислородотерапия: с помощью кислородной маски или подушки, подведением кислорода через эндоназальные трубки.
Если дыхательная функция у пожилых лежачих пациентов значительно затруднена, больного направляют в отделение реанимации и интенсивной терапии для подключения к аппарату искусственной вентиляции легких.
Профилактика застойной пневмонии у пожилых лежачих больных
Лучшим способом борьбы с застойной пневмонией у пожилых лежачих пациентов является профилактика ее появления. Профилактика появления гипостатической пневмонии у пожилых лежачих людей бывает немедикаментозной и медикаментозной, и включает в себя:
- полусидячее положение больного;
- смену положения тела (не менее 3-4 раз в сутки);
- лечебную гимнастику (пассивные и активные упражнения);
- дыхательную гимнастику;
- массаж (перкуторный, баночный);
- физиотерапию;
- (прием поливитаминных комплексов, иммуномодуляторов).
Прогноз при развившейся гипостатической пневмонии у пожилых лежачих больных зависит от обширности патологического процесса в легких, возбудителя заболевания, тяжести общего состояния пациента, наличия осложнений и сопутствующих патологий. Чем раньше обнаружена застойная пневмония и назначено адекватное лечение, тем лучше прогноз для здоровья и жизни пациента.
Чтобы избежать неблагоприятного прогноза при гипостатической пневмонии у пожилых лежачих больных, необходимо ежедневно проводить профилактические мероприятия, укреплять иммунитет пациента и с особой настороженностью относиться к любым изменениям состояния здоровья такого пациента. Самолечение застойной пневмонии у лежачих больных абсолютно недопустимо. При появлении первых признаков пневмонии у пожилого лежачего пациента следует немедленно обращаться к врачу.
Симптоматика и диагностика застойной пневмонии у пожилых
Застойная пневмония у пожилых имеет свои особенности течения. Постановка диагноза застойной пневмонии у стариков довольно затруднительна.
Гипостатическая пневмония имеет скудную симптоматику и часто проявляется в виде таких симптомов:
- болей в области сердца и за грудиной (часто это воспринимается как симптом патологий сердца);
- напряжение затылочных мышц (этот симптом может трактоваться как признак менингита);
- повышение температуры тела при отсутствии физикальных признаков воспаления легких;
- неврологическими симптомами (сонливостью, нарушением сознания, головными болями, головокружениями), что может быть принято за симптомы микроинсульта или инсульта головного мозга;
- выраженной одышкой с возможными признаками удушья (воспринимаются как проявления инфаркта миокарда или обострения хронического бронхита);
- усиление привычного сухого кашля с отделением скудной мокроты (принимается как обострение хронического бронхита);
- цианоз кожных покровов пальцев рук и ног, носогубного треугольника (может трактоваться как микроангиопатия при сахарном диабете).
Застойная пневмония у старых людей часто протекает с полиморфностью симптомов, поэтому врачу очень сложно понять, в каком органе у человека имеет место патология: в легких, сердце, почках, печени.
Больше всего легочных симптомов определяется у пациентов с долевым, полисегментарным и двусторонним воспалением легких. При этом у них наблюдается выраженная интоксикация (озноб, головные боли, тошнота и рвота, мышечные боли, общая слабость), которая быстро нарастает.
Чтобы диагноз был установлен правильно, необходимо провести дифференциальную диагностику застойной пневмонии с:
- раком легких;
- застойной сердечной недостаточностью;
- туберкулезом;
- альвеолитами;
- коллагенозами и другими патологиями органов грудной клетки.
Для проведения этой дифференциальной диагностики и своевременного установления диагноза, необходимо назначение методов дополнительной диагностики (лабораторной и инструментальной):
- общего анализа крови;
- биохимического анализа крови (газовый состав, кислотно-основное равновесие, белки воспаления, ферменты печени, поджелудочной железы);
- микроскопия мокроты или промывных вод бронхов;
- бактериологический посев биоматериала из зева, бронхов, плевральной полости;
- серологическая диагностика (антитела к возбудителям в сыворотке, антигены микроорганизмов в биоматериале);
- рентгенография органов грудной клетки;
- бронхоскопия (по показаниям);
- компьютерная или магнитно-резонансная томография (при необходимости);
- бактериологический посев крови;
- анализы мочи, кала.
Общее описание застойной сердечной недостаточности
Кровь – это жидкость, которая циркулирует в сосудах, доставляя в клетки организма кислород и другие растворенные вещества, необходимые для поддержания обменных процессов. Эта же жидкость собирает вещества, которые образуются в результате обменных процессов, отправляя их на утилизацию.
Функцию насоса, перекачивающего кровь по всем сосудам, выполняет сердце. Сначала оно под высоким давлением выталкивает кровь, чтобы она смогла проникнуть в самый мельчайший сосуд, а затем забирает ее обратно.
Застойной сердечной недостаточностью называют патологическое состояние, возникающее в тот момент, когда сердце по каким-либо причинам теряет способность полноценно прокачивать кровь по сосудам.
Сократительная способность сердца снижается за счет разрушения миоцитов – мышечных клеток, которые заменяются соединительной тканью, не имеющей сократительной способности.
При сокращении желудочков кровь попадает в аорту и легочный ствол. Если же они не могут полноценно сокращаться, часть крови остается в желудочках. При этом остатки кровь обратным путем попадают в малый круг кровообращения, застаиваясь в сосудах.
Причины и лечение гипостатической пневмонии
Гипостатическая пневмония является характерной формой при воспалении легких у больных с патологиями процесса кровообращения.
Общая информация
Чаще всего проявляется при длительном и вынужденном лежачем состоянии пациента, например, во время восстановительного периода после полостных вмешательств. Как факторы, провоцирующие начало болезни, можно отметить:
- патологические изменения интенсивности кровотока в малом круге;
- отсутствие достаточного объема движения воздуха в легких;
- появление краевых спадений легких;
- иммунологические заболевания;
- понижение способности организма сопротивляться бактериям и вирусам;
- истощение на фоне основного заболевания.
Гиподинамию провоцируют осложненные соматические патологии, например, атеросклероз, ишемия, стенокардия, гипертония, сахарный диабет.
В группы повышенного риска входят:
- больные в возрасте от 65 лет;
- пациенты с последствиями травмы черепа;
- люди с травмами тазовых костей и сложными переломами нижних конечностей;
- умирающие, находящиеся на терминальной стадии онкологической болезни;
- проходящие реабилитацию после серьезных полостных операций.
Пневмония у лежачих больных
Ход заболевания – вялый. Температура может повыситься весьма незначительно, ее показатели находятся в рамках субфебрильных значений. Мало отделяемого экссудата.
При перкуссионном обследовании обнаруживается притупление в области нижнезадних отделов. Дыхание поверхностное, слабое. Прослушиваются хрипы средне и мелкопузырчатого тира.
Анализы не выявляют повышения уровня СОЭ или лейкоцитоза.
Развитие повторных воспалений у пожилых лежачих больных может зависеть от их соматического состояния и тяжести течения основной болезни.
Часто признаки застойной пневмонии характерны как ранние осложнения, появляющиеся через несколько суток вынужденного постельного режима.
Поздняя воспалительная реакция проявляет себя у сохранных пациентов пожилого возраста. Первые признаки заболевания появляются обычно не ранее, чем через шесть недель с начала полной иммобилизации. При таком развитии воспаления температуры может не быть вовсе, но классические симптомы дополняются кашлем, при котором отходит небольшое количество мокроты. Больные чувствуют резкую слабость.
Осложнения
Застойная форма пневмонии связана с нарушением венозного кровотока. Сначала вены расширяются, что приводит к компенсаторным изменениям, затем удлиняются капилляры и происходит вынужденное сдавливание легочных альвеол.
Если не назначить лечения, то прогноз на благополучный исход дают только в половине случаев.
Потому что в перспективе возможен выход транссудата в межклеточные пространства и развитие выраженного отека. При отказе от медицинского вмешательства – формируются локальные участки фиброзной ткани, развивается пневмосклероз. Пожилые пациенты со временем начинают жаловаться на приступы дыхательной недостаточности, одышку, тахикардию и учащенное дыхание.
Ранняя пневмония часто маскируется под симптоматику основного заболевания, в этом случае лечение должно быть ситуационным, направленным не только на устранение воспалительного очага.
Если больной переживает последствия инсульта, то на первый план может выйти спутанность сознания и дыхательные расстройства.
При поражении сердечно-сосудистой системы – пневмония может стать причиной спонтанной сердечной недостаточности.
Прогноз и лечение
Лечение застойной формы пневмонии проводится в условиях стационара. Так как пациент нуждается в постоянном квалифицированном присмотре и своевременном контроле множества жизненных показателей.
В первый же день будут назначены антибиотики с широким спектром действия, рентгенологическое обследование, купирование симптомов дыхательной дисфункции и противокашлевые препараты.
При экссудативном выпоте показано лечение диуретиками. А «грудная водянка» устраняется посредством аспирации. При удалении всей скопившейся в легких жидкости – пациент незамедлительно чувствует улучшение, проходит одышка и купируются приступы тахикардии.
Симптоматика
Наблюдается прямая зависимость между соматическими болезнями и тем как проявляются симптомы застойной пневмонии. Основное заболевание служит фоном, на котором возникает застой в лёгких. Застойное воспаление лёгких на ранних стадиях маскируется под признаки основного заболевания.
У больного проявляются следующие симптомы:
- мокрый кашель с отходом гноя, слизи, реже крови;
- длительное повышение температуры тела по субфебрильному типу;
- чрезмерное потоотделение;
- состояние упадка сил, общей вялости, слабости мышц;
- затруднение дыхания, человеку ощущается, что он не может полностью выдохнуть.
Обнаружить характерные симптомы начала застоя в лёгких довольно проблематично.
Так, при патологиях сердца и сосудов характерной будет симптоматика, свидетельствующая о недостаточности этих органов. Инсультное состояние в первую очередь проявляется сбоем в работе лёгких и изменениями сознания.
На фоне симптомов основных заболеваний соматического характера происходит развитие плеврита с выделением жидкости в ткани (экссудат) перикардит. Дыхание становится слабым и поверхностным, кожа приобретает желтоватый оттенок. Появляется тахикардия, сердечные тоны приглушаются, акцент смещается на второй тон (аорта).
Дыхание теряет нормальный ритм и проявляется следующими явлениями:
- частой одышки;
- частота дыхания резко учащается;
- появляется тахикардия.
У пожилых людей при застойной пневмонии отмечаются признаки интоксикации, которая сопровождается разной температурной реакцией организма.
Может отмечаться угнетенный кашель. Больной ощущает боли и тяжесть в грудной клетке, страдает одышкой. При прослушивании улавливаются шумы плеврального трения, реже крепитация. В лёгких отмечается звук притупленного тона.
Внелёгочные проявления характеризуются повышенной температурой. Человек впадает в состояние апатии, теряется аппетит, клонит в сон. Присутствует общее состояние заторможенности, появляется непроизвольное мочеиспускание.
Последствиями застойной пневмонии могут стать следующие заболевания и патологические состояния:
- отёчность лёгких;
- сердечно-лёгочная недостаточность;
- токсический и инфекционный шок;
- летальный исход.
Диагностика сердечной недостаточности
Диагностировать СН может специалист после осмотра. Для этого он проводит подробный опрос, выявляет симптомы болезни, предлагает нагрузочные тесты. Пожилой пациент сдает анализы мочи.
Назначают различные процедуры для подробного исследования:
- Эхокардиографию (ЭхоКГ) с допплерографией. Процедура помогает выявить причины развития патологии.
- Радиоизотопную вентрикулографию. Позволяет оценить возможность желудочков сокращаться и их вместимость.
- Электрокардиографию (ЭКГ). Она поможет обнаружить аритмию, гипертрофию, признаки плохого кровоснабжения миокарда.
- Рентген. С помощью него можно обнаружить кровяной застой в малом круге и увеличение правых сердечных отделов.
- Гормональное исследование. С помощью него можно выделить клетки миокарда. При обнаружении отклонений от нормы можно диагностировать тяжелую стадию болезни.
Диагностику сердечной недостаточности рекомендуется проводить людям в группе риска даже в случае отсутствия симптомов СН. Так как СН развивается на фоне определенных болезней, ее своевременная диагностика в самом зачатке позволит начать скорое лечение и улучшить качество жизни пациента. С недостаточностью всегда наблюдаются сопутствующие проблемы, которые также нужно качественно лечить.
Вопрос-ответ
Можно ли заболеть пневмонией из-за сердечной недостаточности?
Аналогично, сердечные заболевания могут увеличить риск развития нескольких типов пневмонии . Поговорите с врачом о вашем общем состоянии здоровья и о том, как избежать хронических сердечных заболеваний и острых инфекций, таких как пневмония.
Как сердечная недостаточность влияет на легкие?
Одышка при сердечной недостаточности может привести к отеку легких. Это острое состояние, сопровождающееся слабостью и приступами паники, холодным потом, посинением губ. Одышка становится все сильнее, не купируется привычными методами. При возникновении подобных симптомов, необходимо немедленно вызвать Скорую помощь.
Что происходит с сердцем при пневмонии?
Пациенты с диагнозом «Пневмония» относятся к группе повышенного риска по развитию внезапной остановки сердца. Вместе с тем, большинство специалистов полагают, что подобное состояние развивается только после прогрессивного ухудшения состояния, сопровождающегося множеством «настораживающих» симптомов.
Какие осложнения могут быть при сердечной недостаточности?
Кардиогенный шок. Аритмии. Отёк лёгких. Асцит. Анасарка. Почечная недостаточность. Нарушение работы печени. Ночные апноэ.
Советы
СОВЕТ №1
Регулярно проходите медицинские осмотры. Люди с сердечной недостаточностью должны регулярно посещать врача для контроля состояния сердца и легких. Это поможет своевременно выявить возможные осложнения, такие как пневмония.
СОВЕТ №2
Обратите внимание на симптомы. Если вы заметили такие признаки, как кашель, одышка, повышенная температура или общее недомогание, не откладывайте визит к врачу. Раннее выявление пневмонии может значительно улучшить прогноз.
СОВЕТ №3
Поддерживайте здоровый образ жизни. Правильное питание, регулярные физические нагрузки (в пределах допустимого) и отказ от курения могут укрепить вашу иммунную систему и снизить риск развития инфекций, включая пневмонию.
СОВЕТ №4
Следите за вакцинацией. Обсудите с врачом возможность вакцинации против гриппа и пневмококковой инфекции. Эти прививки могут помочь снизить риск развития пневмонии у людей с сердечной недостаточностью.



































































