Как узнать что у тебя пневмония в домашних условиях?
Самостоятельно обнаружить у себя или своего близкого пневмонию можно, сопоставив описанные ранее симптомы. Кашель, который не проходит в течение длительного времени и не реагирует на прием лекарств, должен натолкнуть на мысль о воспалении легких и заставить обратиться к врачу.
Явными признаками являются температура, появление одышки и болей в области грудной клетки. Однако, существует несколько признаков, позволяющих более точно проверить есть ли развитие воспаления легких, однако, проявляются они не в первые дни болезни:
- При поражении легочной ткани и распространении очага воспаления, может неравномерно вздыматься грудная клетка. Когда пневмония поражает только одно легкое, образуется один или несколько очагов или воспалительный процесс охватывает целую долю легкого. Именно со стороны локализации патологического процесса грудная клетка при вдохе вздымается меньше или с запозданием. Чтобы проверить это лягте на спину, выпрямитесь и сделайте несколько глубоких вдохов – патология будет заметна.
- Появление мокроты непрозрачного цвета. При бактериальной пневмонии, являющейся наиболее распространенной, мокрота приобретает коричневатый оттенок и содержит примеси гноя. При этом появляется неприятный или даже зловонный запах изо рта.
- На поздних стадиях воспаления легких также изменяется цвет мочи. Урина становится более темной, а если собрать мочу в емкость для анализов, в ней может образоваться осадок.
Врачи отмечают, что определение выздоровления от воспаления легких требует комплексного подхода. Прежде всего, важно обратить внимание на клинические симптомы. Если у пациента исчезли кашель, одышка и боли в груди, это может свидетельствовать о положительной динамике. Однако не менее значимым является контроль за температурой тела: нормализация температуры в течение нескольких дней также указывает на улучшение состояния.
Кроме того, врачи рекомендуют проводить рентгенографию легких, чтобы убедиться в отсутствии воспалительных изменений. Лабораторные анализы, такие как общий анализ крови, могут помочь оценить уровень воспалительных маркеров. Важно, чтобы пациент продолжал следовать рекомендациям врача и проходил контрольные обследования, чтобы избежать рецидивов и осложнений.

Лечение пневмонии (воспаления легких)
Больных легкой формой пневмонии обычно успешно лечат в домашних условиях. Им дают антибиотики, обильное питье и обеспечивают полный покой. В более тяжелых случаях может потребоваться лечение в больнице.
Лечение воспаления легких дома (амбулаторное)
Кашель может продолжаться еще 2-3 недели после окончания курса антибиотиков, а чувство усталости может сохраняться еще дольше, потому что ваше тело будет восстанавливаться после болезни. Если симптомы не начнут проходить в течение двух дней после начала лечения, сообщите об этом вашему врачу. Эффекта от лечения может не быть по следующим причинам:
- бактерии, вызывающие инфекцию, могут быть устойчивы к тем антибиотикам, которые вы принимали, — ваш доктор может прописать вам другой антибиотик взамен или в дополнение к первому;
- инфекцию может вызывать вирус, а не бактерия — антибиотики не действуют на вирусы, а иммунной системе вашего организма придется самой бороться с вирусной инфекцией, вырабатывая антитела.
Чтобы облегчить симптомы пневмонии, можно принимать болеутоляющие, такие как парацетамол или ибупрофен. Они помогут снять боль и сбить высокую температуру. Вам не следует принимать ибупрофен, если у вас:
- аллергия на аспирин или иные нестероидные противовоспалительные препараты (НПВП);
- астма, болезни почек, язва желудка или нарушение пищеварения.
Не рекомендуется принимать лекарства от кашля, тормозящие кашлевой рефлекс (кодеин, либексин и др.). Кашель помогает прочищать легкие от мокроты, поэтому если остановить кашель, инфекция может дольше оставаться в организме. Помимо этого, имеется мало доказательств того, что средства от кашля эффективны. Теплое питье с медом и лимоном поможет снять дискомфорт, вызываемый кашлем. Пейте много жидкости, чтобы не допустить обезвоживания, и много отдыхайте, чтобы ваш организм восстановился.
Если вы курите, сейчас как никогда важно бросить курить, так как это вредит вашим легким. Пневмония редко передается от одного человека другому, поэтому больному можно находиться в окружении людей, включая членов семьи
Однако людям с ослабленной иммунной системой следует избегать контакта с больным пневмонией до того, как он начнет поправляться
Пневмония редко передается от одного человека другому, поэтому больному можно находиться в окружении людей, включая членов семьи. Однако людям с ослабленной иммунной системой следует избегать контакта с больным пневмонией до того, как он начнет поправляться.
После облегчения симптомов вам, возможно, потребуется ещё какое-то время для полного выздоровления. При этом кашель может сохраниться. Если вас это беспокоит, поговорите со своим лечащим врачом.
Определить, что человек вылечился от воспаления легких, можно по нескольким признакам, которые отмечают как врачи, так и близкие. Во-первых, исчезновение основных симптомов, таких как кашель, одышка и высокая температура, говорит о положительной динамике. Также важно обратить внимание на общее самочувствие пациента: если он стал более активным, улучшился аппетит и восстановился сон, это хорошие знаки.
Кроме того, результаты медицинских обследований, таких как рентгенография легких и анализы крови, могут подтвердить отсутствие воспалительных процессов. Люди также отмечают, что восстановление силы и выносливости — ключевые индикаторы выздоровления. Однако важно помнить, что окончательное решение о выздоровлении должен принимать врач, основываясь на комплексной оценке состояния пациента.

Лечение пневмонии в больнице (стационарное)
При тяжелых симптомах вам может потребоваться лечь в больницу для лечения. Лечение в больнице будет включать прием антибиотиков и жидкостей внутривенно через капельницу и/или подачу кислорода через кислородную маску для облегчения дыхания.
В очень тяжелых случаях пневмонии подача воздуха в легкие может осуществляться через аппарат искусственной вентиляции легких в отделении реанимации и интенсивной терапии.
Врач, скорее всего, попросит вас прийти повторно примерно через 6 недель после начала приема антибиотиков. В некоторых случаях он может назначать повторные исследования, например, рентген грудной клетки, если:
Сопутствующие симптомы и осложнения
Не всегда признаки пневмонии относятся к легочной системе. Так как болезнь чаще всего имеет инфекционную природу, вирусы и бактерии могут распространяться по организму и проникать в другие ткани и органы, вызывая сопутствующие осложнения, которые специалистами рассматриваются как разновидность симптомов основного заболевания. Например, при появлении признаков железодефицитной анемии и обращении в больницу по этому поводу пациент может узнать, что у него воспалено легкое.
Изменения могут коснуться и сердечно-сосудистой системы. Чаще всего у таких больных определяется миокардит – воспаление сердечной мышцы. Патология крайне опасна и может стать причиной летального исхода, если не будет вовремя диагностирована. Сердечная недостаточность – еще один симптом запущенной формы воспаления легкого, который возникает почти у половины больных, поэтому в условиях стационара всех пациентов с пневмонией в обязательном порядке осматривает кардиолог.
Лечение пневмонии
- эндокардит – воспалительный процесс внутренней оболочки сердца;
- менингит – поражение мозговых оболочек;
- токсический шок (инфекционного происхождения).
Диагностика
Объективными признаками пневмонии, определяемыми врачом при первичном осмотре пациента, является появление локального укорочения перкуторного звука, усиление бронхофонии, изменение характера дыхания по типу ослабленного и появление локальных мелкопузырчатых хрипов, ограниченной крепитации.
Уже в первые часы заболевания пациент с подозрением на пневмонию должен быть подвержен всестороннему как лабораторному, так и инструментальному обследованию. При диагностике пневмонии решаются сразу несколько задач:
- дифференциальная диагностика воспаления с другими легочными процессами,
- выяснение этиологии и степени тяжести (осложнений).
Врач назначит:
- прослушивание стетоскопом;
- измерение температуры тела;
- рентгенография органов грудной клетки;
- бронхоскопия, анализ мокроты;
- общий и биохимический анализ крови.
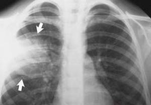
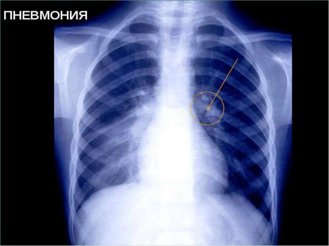
Незаменимым для постановки точного диагноза пневмонии является рентгенография грудной клетки. Она проводится в прямой, а при необходимости и в боковой проекции и позволяет не только установить диагноз острой пневмонии и выявить возможные осложнения, но и оценить эффективность лечения.
В некоторых случаях необходимо проведение дополнительных методов исследования: компьютерной томографии органов грудной клетки, бронхоскопии, исследование плевральной жидкости (для исключения рака легкого, туберкулеза легких).
Напоследок
Наиболее неприятным диагностическом методом является бронхоскопия. Эта процедура применяется не только для уточнения диагноза, но и с целью изучения бронхов. При этом доктор вставляет в нос пациента специальную трубку и осуществляет осмотр бронхов. При необходимости осуществляется забор материала с пораженной зоны.
Если человек затянет с лечением пневмонии, это может привести к воспалению плевры. На фоне не до конца вылеченного заболевания часто развивается легочный абсцесс или отек. В случае несвоевременной диагностики или некорректной терапии нередко наступает летальный исход.
https://youtube.com/watch?v=1GdyMtvHZ3w
Обследования для определения воспаления легких
Для обследования и постановки диагноза при воспалении легких применяется дифференциальная диагностика пневмонии. Диагностика легочного воспаления заключается в исключении заболеваний, которые имеют похожие признаки. Результат обследования сводится к диагнозу, который является правильным. Такая диагностика делится на три этапа. На первом этапе проводится ранняя диагностика, доскональное изучение жалоб пациента и уточнение причин возникновения воспаления легких. Каждая болезнь имеет свои причины появления, но различные заболевания могут иметь и схожие причины.
К примеру, у пневмонии и ОРВИ причина может заключаться в переохлаждении. На втором этапе осуществляется внешний осмотр взрослого человека, и проводится выявление симптомов, на которые он жалуется. Это один из самых важных этапов дифференциальной диагностики. Без лабораторных и инструментальных обследований врач должен поставить правильный диагноз.
На третьем этапе делается заключение. На основании обследований подтверждается поставленный диагноз. Если диагностирована пневмония, дифференциальная диагностика может состоять из таких обследований:
- Лабораторные обследования включают анализ крови на лейкоциты, биохимический анализ крови на белок и на уровень глюкозы, мокроты для определения устойчивости возбудителей к антибиотикам и другие. Подробнее о анализе крови можно узнать тут.
- Инструментальное обследование состоит из следующих манипуляций: пальцами рук выполняются удары по грудной клетке взрослого человека для выявления пораженной области легочных тканей. Далее с помощью фонендоскопа прослушивается дыхание в груди.
- Еще одним видом исследования является томограмма у пульмонолога. Его консультация необходима, если симптомы не совпадают с результатами на рентгеновском снимке. Томограмму назначают при воспалительном процессе у корней легких. Для этого выполняют послойные изображения органов в области груди на разных уровнях.
- Бактериологическое обследование. Это диагностика воспаления легких, при которой со слизистых забирают материал, и в лабораторных условиях выращивают колонию возбудителей.
- Лучевая диагностика. Чтобы определить воспаление легких у взрослых, проводится такое обследование, как рентгеноскопия. Считается, что его результаты являются основополагающими в постановке диагноза, поскольку на снимке хорошо видно зону воспалительного процесса. Назначаться может и компьютерная томография легких.
- При необходимости врач назначает бронхоскопию, чтобы выявить пневмонию. Этот процесс неприятный, но с его помощью можно исследовать бронхи и установить точный диагноз. Для процедуры бронхоскопии проводится ряд мероприятий: в носовые ходы взрослого пациента засовывается трубка с видеокамерой на конце, врач внимательно рассматривает бронхи и в случае необходимости отщипывает кусочек ткани слизистой вблизи области инфекционного поражения.
Такое исследование поможет предупредить осложнения и возможный летальный исход.
Определение заболевания и причины возникновения
Пневмония – это воспалительное заболевание, которое поражает альвеолярные участки легких и сопровождается накоплением экссудата в альвеолах.
В зависимости от обстоятельств и места заражения больного пневмония бывает нескольких видов:
- Внебольничная. Заражение происходит дома, на работе, в транспорте и других подобных местах.
- Нозокомиальная. Заражение происходит через несколько дней после поступления в больницу. Раньше такой вид воспаления легких назывался госпитальным.
- Аспирационная. У больного возникают симптомы макроаспирации при потере сознания, травме и так далее.
- Пневмония у людей, страдающих тяжелым иммунодефицитом.
Возбудителями заболевания являются микоплазмы, стафилококки и вирусы. Симптоматика заболевания зависит от типа микроорганизмов. Подробнее о распространении заболевания читайте тут.
Следует помнить, что пневмония может возникать не только при попадании бактерий и вирусов в организм. Она встречается у лежачих больных при нарушении легочного кровообращения. Чтобы этого избежать, необходимо чаще переворачивать человека. В таком случае не будут образовываться пролежни, которые провоцируют попадание инфекции в кровь.
Пневмония – воспалительный процесс в легких.
Основные симптомы воспаления легких:
- Кашель. Он бывает сухой или влажный (с выделением гнойной или слизисто-гнойной мокроты). Очень опасно, если в мокроте присутствуют прожилки крови. При наличии крови в мокроте необходимо сделать рентгеновский снимок легких.
- Повышение температуры.
- Боли в груди, под лопаткой, возникающие во время дыхания и кашля. Этого симптома может и не быть.
- Ощущение нехватки воздуха.
- Боль в мышцах и суставах.
При наличии хотя бы одного из этих симптомов нужно как можно скорее обратиться к врачу.
Ускоряет заболевание слабый иммунитет. Течение пневмонии усугубляют такие вредные привычки, как курение и употребление алкогольных напитков.
К другим причинам развития заболевания можно отнести: хирургические вмешательства, хронические заболевания сердца и сосудов, эндокринные нарушения, неправильное питание, плохую экологическую обстановку.
Реабилитация пациента
Правильная реабилитация эффективно препятствует возникновению осложнений – постпневмонического пневмофиброза, цирроза легкого, фиброзных спаек плевральных листков.
Выделяют четыре направления реабилитации:
- Физиотерапевтические методы (ингаляции, электрофорез с экстрактом алоэ, УВЧ облучение зоны воспаления).
- Физические методы (лечебная и дыхательная гимнастика).
- Диета с повышенным содержанием белка, повышение суточной калорийности рациона.
- Медикаментозные методы (прием пробиотиков при дисбактериозе, препаратов калия при его дефиците).
Программа реабилитации после пневмонии составляется врачом с учетом индивидуальных параметров каждого пациента.
Период восстановления после пневмонии может занимать от шести до восемнадцати месяцев.
Лечение пневмонии
Как лечить пневмонию у взрослых? Лечением неосложненных форм пневмонии могут заниматься врачи широкого профиля: терапевты, педиатры, семейные врачи и врачи общей практики.
При не тяжелой пневмонии у взрослых проводится стационарное лечение. Оно состоит в комплексе следующих мер:
- прием препаратов, расширяющих бронхи для отхождения мокроты;
- прием антибиотиков, противовирусных препаратов для борьбы с возбудителем пневмонии;
- прохождение курса физиотерапии;
- выполнение лечебной физкультуры;
- соблюдение диеты, обильное питье.
Среднетяжелое и тяжелое течение требует госпитализации в терапевтическое или пульмонологическое отделение. Неосложненную пневмонию легкой степени можно пролечить амбулаторно под контролем участкового терапевта или врача-пульмонолога, посещающего больного на дому.
Предпочтительно проводить лечение в стационаре в следующих ситуациях:
- пациент старше 60 лет;
- наличие хронических болезней легких, диабета, злокачественных опухолей, тяжелой сердечной или почечной недостаточности, низкой массы тела, алкоголизма или наркомании;
- неэффективность начальной терапии антибиотиками;
- беременность;
- желание больного или его родственников.
Антибиотики
При пневмонии легких антибиотики у взрослых целесообразно применять после того, как болезнь была подтверждена хотя бы одним методом диагностики.
- При легком течении предпочтение отдается защищенным пенициллинам, макролидам, цефалоспоринам.
- Тяжелые формы требуют комбинации нескольких антибиотиков: макролидов, фторхинолонов, цефалоспоринов.
- Эффективность оценивается через 2-3 дня. Если состояние не улучшилось – это прямое показание изменить группу препаратов.
Другие препараты
Помимо антибактериальной терапии назначается и жаропонижающая терапия. Жаропонижающие назначаются при повышении температуры от 38,5 градусов:
- Ибупрофен;
- Парацетамол;
- Ибуклин;
- Аспирин.
Для разжижения мокроты применяются муколитики:
- Амброгексал;
- Лазолван;
- Амбробене;
- АЦЦ;
- Флуимуцил;
- Флюдитек.
Физиотерапевтическое лечение пневмонии у взрослых
Есть целый ряд процедур, которые используют при лечении патологии, наиболее эффективными являются:
- ультразвуковая аэрозольная ингаляция с использованием муколитиков и антибиотиков;
- электрофорез с применением антибиотиков и отхаркивающих средств;
- дециметровое волновое лечение легких;
- УВЧ-терапия;
- магнитофорез;
- УФ-излучение;
- массаж грудной клетки.
Лечебные мероприятия проводятся до выздоровления пациента, которое подтверждается объективными методами – аускультацией, нормализацией показателей лабораторных и рентгенологических исследований.
Прогноз при пневмонии у взрослого человека напрямую зависит от степени вирулентности и патогенности возбудителя, наличия фонового заболевания, а также нормальной работы иммунного аппарата человека. В большинстве ситуаций пневмония протекает благоприятно и заканчивается полным клиническим и лабораторным выздоровлением пациента.
Соблюдение режима
- На протяжении всего периода болезни пациенту необходимо соблюдать постельный режим.
- Необходимо полноценное питание, богатое витаминами. Если отсутствуют признаки сердечной недостаточности, полезно обильное питье до 3 л в сутки.
- В комнате должен быть свежий воздух, свет, температура +18С. При уборке комнаты следует исключить средства, содержащие хлор, не использовать обогреватели с открытой спиралью, поскольку они сильно сушат воздух.
В период рассасывания воспалительного очага назначается физиолечение:
- индуктотермия;
- микроволновая терапия;
- электрофорез лидазы, гепарина, хлорида кальция;
- тепловые процедуры (парафиновые компрессы).
После выздоровления пациенту рекомендуют санаторно-курортное лечение в местных лесных санаториях или местах с теплым и влажным климатом, на море. Полезно будет пройти курс рефлексотерапии, массажа, сеансов аэроионизации.
Правильное питание и диета при пневмонии
При воспалении легких самолечение может стать смертельно опасным. На ранней стадии применяются антибиотики или противовирусные средства, препараты для укрепления иммунитета, сиропы, избавляющие от приступов кашля. По мере улучшения ситуации врачи рекомендуют физиотерапевтические процедуры, дыхательные упражнения.
При пневмонии у подавляющего большинства больных отсутствует аппетит. Изнуряющий кашель и снижение уровня кислорода в крови приводит к мышечной слабости. Для выздоровления организму требуются витамины, питательные вещества и белки. Они являются «строительным материалом» для поврежденных альвеол, улучшают эластичность тканей.
Для скорейшего выздоровления придерживайтесь лечебной диеты №11. Она основана на простых принципах:
Питание маленькими порциями 5–6 раза в сутки. Не ешьте через силу, получайте удовольствие от каждого кусочка.
Уменьшите количество соли, чтобы не возникла отечность, быстрее выводилась жидкость из легких.
В первые дни готовьте пищу на пару, отваривайте или запекайте в собственном соку
Важно сохранить полезные вещества и клетчатку.
При тяжелом состоянии делайте легкие овощные пюре, смузи из свежих фруктов, которые отлично восстанавливают силы, заряжают энергией.
На ранней стадии поддержите организм блюдами из нежирного мяса и рыбы. Уменьшить негативный эффект от приема антибиотиков помогут кисломолочные продукты: они содержат бифидобактерии, поднимающие иммунитет, предотвращающие дисбактериоз и запоры.
В период выздоровления откажитесь от алкогольных и энергетических напитков, сладостей и десертов из шоколада, продуктов с повышенным содержанием жира (сливочного масла, мяса, копченостей). На время не готовьте блюда из бобовых, кукурузной и перловой крупы.
Для быстрого восстановления пейте больше воды без газа комнатной температуры. Поддерживают иммунитет и придают сил противовоспалительные чаи из ромашки, липы, листьев малины. При запорах на фоне приема антибиотиков ежедневно готовьте компот из сухофруктов.
При ранней диагностике пневмония хорошо поддается лечению, быстро проходит без осложнений. Зная основные симптомы, не запускайте заболевание, избегайте непроверенных препаратов, строго соблюдайте все предписания врача.опубликовано econet.ru
*Статьи Эконет.ру предназначены только для ознакомительных и образовательных целей и не заменяет профессиональные медицинские консультации, диагностику или лечение. Всегда консультируйтесь со своим врачом по любым вопросам, которые могут у вас возникнуть о состоянии здоровья.
Подписывайтесь на наш youtube канал!
P.S. И помните, всего лишь изменяя свое потребление — мы вместе изменяем мир! econet
Признаки различных форм воспаления легких
Симптоматика воспаления легких во многом зависит от первопричины нарушения. Учитывая характер клинической картины, специалисты легко определяют, какому виду патологии подвержен пациент.
Токсическое воздействие
Для воспалительного процесса в легких, связанного с отравлением токсинами, типично появление:
- тошноты;
- позывов к рвоте;
- жжения;
- озноба;
- сильной одышки.
Больной испытывает нехватку воздуха, лихорадку, расстройства пищеварения. Тяжелые случаи вызывают затрудненное дыхание, недостаточность сердца.
Посттравматическое поражение
Если патология ассоциируется с травмой или ушибом грудины, больной испытывает боль во время дыхательных движений, в мокроте появляются следы крови. Заболевание возникает при наличии у больного двустороннего перелома ребер, тяжелого анамнеза (серьезных легочных болезней, имевших место в прошлом).
Аллергическое воспаление легочной ткани
Патология обладает симптоматикой, во многом схожей с проявлениями токсического воспаления легких. Нарушение может возникнуть после вдыхания аллергена, длящегося 3-5 часов. В результате пациент страдает от ухудшения общего самочувствия. Улучшить состояние удается только благодаря прекращению контакта с раздражающим веществом.
Хроническая форма аллергического заболевания часто обнаруживается у людей, чья профессия подразумевает взаимодействие с химикатами. Если такие контакты происходят постоянно, присутствует вероятность развития опасной разновидности болезни, протекающей с тяжелыми последствиями.
Осложнения пневмонии
Бактерии нуждаются во влаге и тепле, чтобы жить. Человеческое тело является идеальным хозяином. По мере того, как они распространяются по легким, организм борется. белые кровяные клетки атакуют микробы. Зараженная область воспаляется — это нормальный ответ организма на инфекцию.
В здоровом теле, лейкоциты побеждают бактерии. Организм подавляет ее размножение. Но у человека со слабой иммунной системой инфекцию невозможно сдержать.
На концах дыхательных трубок в легких находятся крошечные воздушные мешочки, где кислород переходит в кровь-альвеолы. Когда они заражаются, начинают заполняться жидкостью и гноем. Это нарушает нормальный процесс газообмена в легких, и кислород в кровь попадает в недостаточном количестве. Поднимается уровень углекислого газа, в результате — пациент начинает задыхаться, ему тяжело дышать.
Если ткани организма — особенно в сердце и в головном мозге — не получают необходимого кислорода, может появится спутанность сознания, кома, сердечная недостаточность и в конечном итоге смерть.
Бактериальная форма пневмонии обычно более серьезная, так как она вызывает более тяжелые симптомы. Однако вирусный тип заболевания, вызванный вирусом гриппа, также может быть опасной для жизни, если она вызывает особенно сильное воспаление легких или осложняется вторичной бактериальной инфекцией.
Пневмония у взрослых при неправильном или несвоевременном лечении приводит к менингиту, миелиту, энцефалиту. Заболевание грозит гемолитической анемией, это состояние при котором красных кровяных клеток недостаточно, потому что тело разрушает их.
Также отсутствие терапии или неправильно составленная тактика лечения грозит пациенту острой дыхательной недостаточностью.
Вопрос-ответ
Какие симптомы указывают на выздоровление от воспаления легких?
Симптомы, указывающие на выздоровление, включают уменьшение кашля, нормализацию температуры тела, улучшение общего самочувствия и восстановление аппетита. Также важно, чтобы дыхание стало более свободным и легким, а уровень кислорода в крови вернулся к норме.
Какое обследование может подтвердить выздоровление от пневмонии?
Для подтверждения выздоровления от пневмонии может быть назначено рентгенографическое исследование грудной клетки, которое покажет, исчезли ли воспалительные изменения в легких. Также могут быть проведены анализы крови для оценки уровня воспалительных маркеров.
Как долго может длиться восстановление после воспаления легких?
Время восстановления после воспаления легких может варьироваться в зависимости от тяжести заболевания и общего состояния здоровья пациента. Обычно полное восстановление занимает от нескольких недель до нескольких месяцев, особенно если были серьезные осложнения или сопутствующие заболевания.
Советы
СОВЕТ №1
Обратите внимание на симптомы. Если у человека исчезли такие признаки, как кашель, одышка, высокая температура и общая слабость, это может свидетельствовать о выздоровлении. Однако важно, чтобы эти изменения были стабильными на протяжении нескольких дней.
СОВЕТ №2
Проведите контрольные обследования. После лечения воспаления легких рекомендуется пройти рентгенографию грудной клетки и сделать анализы крови, чтобы убедиться, что воспаление полностью прошло и нет остатков инфекции.
СОВЕТ №3
Следите за уровнем физической активности. Если человек постепенно восстанавливает свою физическую активность и не испытывает при этом дискомфорта или одышки, это хороший знак того, что он на пути к полному выздоровлению.
СОВЕТ №4
Консультируйтесь с врачом. Не забывайте, что окончательное решение о выздоровлении должен принимать медицинский специалист. Регулярные визиты к врачу помогут получить профессиональную оценку состояния здоровья и избежать возможных осложнений.


















































