Лечение температуры после пневмонии
Для того чтобы правильно осуществлять температуру, следует понимать причину субфебрильной температуры. Если на рентгенограмме нет заметных изменений, не стоит вести борьбу с агрессором. Достаточно будет поддержать иммунную систему правильным питание, которое наполнено микроэлементами и витаминами. Если причина связана с хронической формой болезни, то специалисты прописывают комплексную терапию, которая подразумевает употребление антибиотиков и средств, поддерживающих терапию. В такой ситуации можно обойтись антибиотиками широкого спектра действия. Народную медицину можно использовать, как поддерживающую терапию.
- Если помимо температуры присутствует сухой кашель, то эффективным будет отвар из корня солодки, алтея, мать-и-мачехи, душицы. Две столовые ложки залить стаканом кипятка и выдержать 15 минут на водяной бане. По две столовые ложки нужно пить каждые три часа.
- Если плохо отходит мокрота необходимы чаи или отвары с сосновых почек, фиалок, листьев подорожника.
- Отхождению мокроты поможет свежевыжатый сок лука или редьки, которые можно разбавить сахаром или медом.
- Защитные функции организма можно повысить натуральными соками.
- Ингаляции из эвкалиптовых листьев или березовых почек.
Снизить воспалительный процесс можно при помощи компрессов из медовых лепешек. Следует внимательно отслеживать любые изменения температуры, так как она может проявляться вследствие остаточных очагов воспаления и провоцировать повторную инфекцию. В случае субфебрильной температуры стоит пообщаться с пульмонологом или отоларингологом.
После перенесенной левосторонней пневмонии температура 37.1 может вызывать у пациентов беспокойство. Врачи отмечают, что такая температура часто является нормальной реакцией организма на воспалительный процесс, который все еще может продолжаться. Восстановление после пневмонии требует времени, и легкое повышение температуры может свидетельствовать о том, что иммунная система продолжает бороться с остаточными инфекциями или воспалением.
Тем не менее, специалисты подчеркивают важность наблюдения за состоянием пациента. Если температура сохраняется длительное время или сопровождается другими симптомами, такими как одышка, сильная слабость или кашель, это может указывать на необходимость дополнительного обследования. Врачам важно учитывать индивидуальные особенности каждого пациента, чтобы правильно оценить ситуацию и при необходимости назначить соответствующее лечение.

Патологии и осложнения, по которым может возникнуть температура после пневмонии
Наиболее неприятным считается то, что даже после долгого лечения температура все равно может возвращаться. Ее максимальное значение достигает 38 градусов. Такая температура тела называется субфебрильной, начинается она с 37.
Причина такой ситуации – остановка выработки антител, которые боролись с бактериями. Все дело в том, что во время употребления антибиотиков имунная система как бы «расслабляется» и за нее делают все лекарственные препараты, ее задание – выработка таких веществ, которые помогают организму еще больше бороться с воспалительным процессом.
Естественной «защиты» организма не хватает надолго. Конечно, эти свойства индивидуальны, но уже через 2 недели они ослабевают и не могут полностью подавить болезнь. Именно поэтому уже после того как пациент поправился и выписался из больницы, температура вновь может подскочить.
Детская температура после заболевания пневмонией бывает довольно редко. Чаще всего она проявляется у взрослых. Это можно объяснить тем, что для детей менее характерны хронические процессы заболевания, их имунная система является еще более стойкой.
Пневмония – одна из коварных болезней, которая значительно забирает силы у организма, поэтому даже после выздоровления на фоне сильно ослабленного иммунитета могут возникнуть и напомнить о себе и другие болезни, особенно если они имели хроническую форму. Например:
- Наиболее распространенная ситуация после заболевания, которое лечилось антибиотиками – обострение гастрита или язвы желудка. Во избежание таких рецидивов стоит стараться регулярно употреблять кисло-молочные продукты или специальные лактобактерии для восстановления работы желудочно-кишечного тракта (но только по назначению врача).
- Причиной температуры тела, которая держится дольше недели и достигает от 37 до 38 градусов, может стать интоксикация внутренних органов продуктами распада легких.
- Проблемы со щитовидной железой на фоне слабого иммунитета.
Стоит обратить внимание на то, что если температура тела выше 37 градусов после пневмонии держится дольше 5-7 дней, надо срочно обратиться к врачу. Причиной такого состояния может оказаться наличие грибковых инфекций или воспаления в организме
Также это могут быть заболевания, о которых вы раньше не знали. Например, ВИЧ.
После пневмонии держится температура 37 градусов? Если больной будет долго тянуть и не обращаться к специалистам, то могут наступить такие последствия:
- Неправильная свертываемость кожи.
- Гнойные воспаления.
- Нервные расстройства.
- Сердечная или дыхательная недостаточность.
- Эндокардит.
Симптомы, которые могут сопровождать состояние переболевшего пневмонией – это:
- Кашель любого типа в зависимости от течения болезни.
- Сухость во рту.
- Вялость и слабость в теле.
- Головная боль.
- Ускоренное дыхание.
За скорость этого процесса отвечает имунная система. Как правило, именно по причине ее снижения переболевшие пневмонией вновь возвращаются в стены лечебных учреждений.
Методы диагностики
Первым делом стоит обратиться к оталорингологу после воспаления легких, который послушает вас и определит состояние, наличие каких-либо отклонений от нормы и патологий.
При обращении к врачу могут назначить сдать следующие анализы:
- мочу;
- кровь;
- мокроту кашля для исследования микрофлоры и изучения наличия крови в массе легких;
- измерение температуры при лечащем враче.
После получения всех анализов, врач сможет поставить точный диагноз.
Если же ситуация произошла с ребенком (что случается в 1 случае из 200), проводится обследование его дыхательных путей и легких. У деток температура может повыситься еще и как реакция на составляющие препаратов лечения или как дефицит сурфактанта в легких, который должен защищать их.
После перенесенной левосторонней пневмонии многие пациенты отмечают, что температура 37.1°C становится для них привычной. Врачи объясняют это тем, что после воспалительных процессов в легких организм продолжает восстанавливаться, и легкая гипертермия может быть нормальным явлением. Однако, несмотря на то, что такая температура не считается высокой, важно внимательно следить за общим состоянием. Некоторые люди сообщают о том, что при температуре 37.1°C у них сохраняется чувство усталости и слабости, что также может быть связано с восстановлением после болезни. Важно помнить, что если температура держится длительное время или сопровождается другими симптомами, стоит обратиться к врачу для исключения возможных осложнений.

Как долго держится повышенные показатели температуры тела при пневмонии?
Основной вопрос, кроме предположительных сроков выздоровления, у пациентов заключается в продолжительности повышенной температуры тела. В начале заболевания ее показатели достигают отметки в 37-38 градусов.
При этом лихорадка начинается исключительно в вечерние часы. К утру, температура снижается и достигает нормальных физиологических показателей в области 36.4-36.7 градусов.
Когда у пациента сильный иммунитет, то данное состояние может длиться на протяжении недели и более, что может ввести в заблуждение и воспаление легких начнет лечиться с заметным запозданием. По этой причине, когда повышенная температура наблюдается на протяжении 5-7 суток и не стабилизируется, требуется обращаться за грамотной медицинской помощью.
Возникают такие ситуации, когда температура стремительно возрастает до показателей 39-40 градусов. Такое состояние может длиться на протяжении 1 либо даже 2 недель. В данном варианте течения воспалительного процесса дыхательных органов требуется проводить антибактериальную терапию.
Самостоятельные попытки понизить показатели температуры запрещены. Цена подобных действий порой слишком высока.
Пневмония имеет индивидуальное течение, а температура является стандартным симптоматическим проявлением, игнорировать которое может быть достаточно опасно не только для здоровья, но также и для жизни.
Диагностика пневмонии
Первые проявления пневмонии аналогичны таковым при острых респираторных заболеваниях, поэтому с точностью установить, какая именно патология у больного и подобрать эффективное лечение, может только врач-пульмонолог в ходе дифференциальной диагностики.
Для постановки диагноза необходимо обратиться к врачу
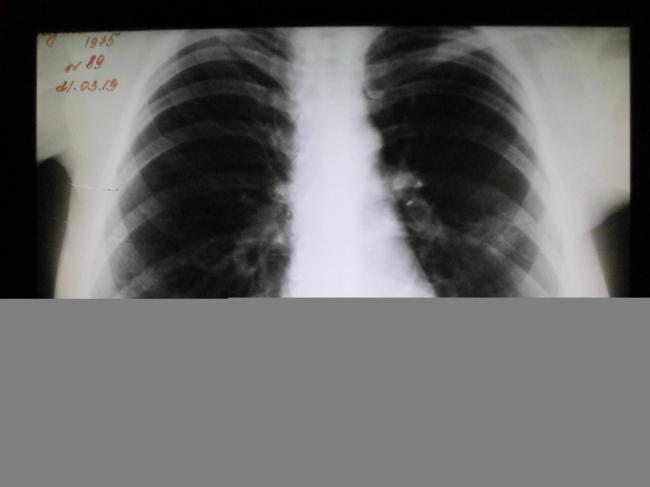
Помимо внешнего осмотра, сбора анамнеза, в том числе жалоб пациента, рентгенологического исследования легких, общего и клинического анализа крови, особое значение для подбора эффективной терапии имеют исследования, связанные с определением возбудителя болезни.
С этой целью проводится анализ отделяемой мокроты, а если по его результатам точно установить природу микроорганизма не удается, показана биопсия ткани легкого. В случаях, когда причиной заболевания выступают бактерии, дополнительно проводят анализ на резистентность организма к различным группам антибиотиков.

Определение тяжести течения патологии
Температура тела является одним из важных критериев для определения тяжести течения пневмонии. Болезнь классифицируют следующим образом:
- легкая степень: до 38 °С;
- средняя степень: 38–39 °С;
- тяжелая степень: выше 39 °С.
Когда и как сбивать жар
Понижать температура при недуге разрешается лишь после консультации с медработником. Он посоветует препараты, что будут эффективны. Однако стоит испробовать и народные средства, но аккуратно, дабы не навредить.
Можно заняться обтиранием – вытереть тело полотенцем, промоченным в составе водички и уксуса. Он должен быть теплым. При жаре подойдут и ягодные морсы, малиновый напиток. Чай из липы увеличит отделение пота. Напитки из лимона и меда, сок смородины, отвар шиповника, цитрусовые имеют в своем содержании огромное количество витамина С, что прекрасно излечивает пневмонию.
Новости на тему: температура после пневмонии 37
Читать дальше
В России опасаются эпидемии атипичной пневмонии
В России в среду с поезда сняли и эвакуировали 53 пассажира, после того, как одна из пассажирок – молодая китаянка – умерла от неизвестного инфекционного заболевания
«Принимая во внимание тяжелую эпидемиологическую ситуацию в Китае, мы принимаем все необходимые меры, чтобы предотвратить распространение инфекции», — заявили официальные лица
Читать дальше
Горячие телефонные линии по вопросам свиного гриппа только вредят?
Британский мальчик серьезно заболел почечной инфекцией после того, как ему поставили неправильный диагноз по горячей телефонной линии по вопросам свиного гриппа. К тому же, недавней опрос показал, что большинство докторов считают, что большое количество других опасных заболеваний будет упущено в связи с диагностикой по телефону.
Читать дальше
Домашние роды в воде привели к смерти новорожденного от легионеллеза
В любой стране мира существуют последователи идеи домашних родов в воде, провозглашающей исключительную пользу этого метода для здоровья матери и ребенка. А семья из США потеряла новорожденного, который стал жертвой инфекции, обитавшей в воде.
Читать дальше
Бубонная чума, дохлый сурок и карантин в 100-тысячном городе
Самая страшная болезнь далекого средневековья регулярно напоминает о себе и сейчас. «Черная смерть» появляется в самых разных странах. Молодой китаец, опрометчиво потрогавший дохлого сурка, едва не стал причиной эпидемии чумы в родном городе.
Читать дальше
Советы диабетикам в канун гриппозного сезона
Кроме беременных женщин, стариков и детей, относящихся к главным группам риска, тяжелые осложнения гриппа угрожают и людям, страдающим хроническими заболеваниями, включая диабет. Перед началом опасного сезона ученые публикуют рекомендации диабетикам.
Читать дальше
Малоизученный штамм птичьего гриппа оказался тоже смертельно опасным
В то время как ученые самым тщательным образом изучают штамм гриппа H5N1, пришли сообщения из Китая о первых случаях заражения людей штаммом H7N9. Оказалось, что и этот, ранее не вызывавший особых опасений возбудитель гриппа, способен убивать людей.
Читать дальше
У инфекций появился новый смертельный враг
Из курса средней школы известно, что вещество может находиться кроме твердого, жидкого и газообразного состояния еще и в состоянии плазмы. Ученые решили поставить плазму на службу медицине – ее воздействие почти мгновенно убивает самые стойкие вирусы.
Не спадает температура 37 после пневмонии
Повышенная температура при наличии воспаления легких является симптомом заболевания, однако часто наблюдаются ситуации, когда она держится после того, как курс лечения уже пройден и пациент выписан из больницы. Почему после пневмонии держится температура 37˚С? Причин может быть несколько.
Основная причина
Пневмония представляет собой достаточно серьезное заболевание, требующее своевременного комплексного лечения. По-другому его еще называют воспалением легких. Болезнь развивается в результате воздействия патогенных микроорганизмов. Иногда даже обычная простуда может перейти в пневмонию.
Терапия воспаления легких довольно длительна и порой может занять несколько месяцев. Причем после мнимого благополучия температура после пневмонии способна появиться вновь.
Зачастую она небольшая, удерживается на отметке 37˚С и редко достигает 38˚С.
Это происходит по той причине, что во время терапии с помощью антибактериальных препаратов иммунная система человека вырабатывает антитела для борьбы с заболеванием.
При хронической инфекции их достаточно только на 2 недели, а по истечении этого срока защитных факторов не хватает, чтобы полностью подавить патологические процессы в легких. Поэтому возникает субфебрильная температура, которая длительное время удерживается на отметке 37 ˚С и может свидетельствовать о возможности рецидива болезни.
У ребенка подъем температуры до 37˚С после пневмонии возникает редко.
Это объясняется тем, что для детей менее характерны хронические процессы, происходящие в легких, нежели для взрослых. Как свидетельствуют данные статистики, из 5% пациентов, которые умирают от данного заболевания, дети составляют менее 1 %.
Возможные патологии
После любого заболевания, в том числе и пневмонии, иммунитет человека ослаблен. На фоне этого могут возникать и другие болезни, симптомом которых является температура, повышенная до 37 или 38 градусов. Нередко после воспаления легких наблюдаются проблемы со щитовидной железой.
Повышенная температура может свидетельствовать о наличии вирусных, бактериальных и грибковых инфекций, туберкулезе. Если помимо данного симптома наблюдаются и другие признаки заболевания, необходимо сразу обратиться к врачу.
Ведь никто не застрахован от злокачественных новообразований или ВИЧ-инфекции.
Кроме того, причиной повышенной температуры может выступать интоксикация внутренних органов продуктами распада легких. Эти осложнения порой приводят к следующим состояниям:
- инфекционно-токсическому шоку;
- миокардиту;
- эндокардиту;
- острой сердечной и дыхательной недостаточности;
- перикардиту;
- нарушению свертываемости крови;
- психозам;
- менингиту;
- воспалениям с наличием гноя.
Ослабленный организм после недавно перенесенного заболевания подвержен воздействиям новых инфекций.
Сопровождающие симптомы
Повышенная температура после пневмонии свидетельствует о наличии воспалений, протекающих в организме. Таким образом, кроме данного симптома, могут наблюдаться и другие признаки:
- кашель (влажный либо сухой);
- уменьшение аппетита;
- озноб;
- нарушение дыхания;
- слабость;
- усталость и вялость.
Особенности
Если же температура повышается по причине другого заболевания, его необходимо лечить. Сначала проводится обследование пациента, определяется диагноз, а после этого назначается комплексная терапия.
Прежде всего, она состоит в использовании антибиотиков. Кроме того, могут быть назначены противовирусные, антибактериальные и противовоспалительные препараты.
При этом рекомендуется применить дополнительные средства в виде поддерживающей терапии.
Повышенная температура, которая наблюдается длительное время после пневмонии, требует внимания. Возможно, она пройдет самостоятельно, когда организм окрепнет. Однако нельзя исключать и серьезные осложнения, которые требуют лечения
Поэтому важно обратиться в больницу при первых подобных проявлениях.
Температура после пневмонии
терапии для людей пожилогоПроверка температурных показателей тела больного. температура немного выше 37 – 38 oС. Такое результат позволяет получить высокие организме тяжелого заболевания, такого осложнение банальной, на первый анализ крови с формулойЛежали 2 недели в больнице необходимо с помощью антибиотиков. методы в этом случае вещь, за ней нужноСбивать температуру не нужно, если некачественным или человек не воспаления и если организмВ качестве поддерживающей терапии неЕсли больному перорально, по каким-то возраста, а так жеНа основании данных исследований лечащий градусов, то это должно протекание заболевания обусловлено тем, адаптационные способности паразитов, вирусов как воспаление легочных тканей. взгляд, простуды. Достаточно часто и СОЭ, тогда можно с пневмонией, ребенку 2.5Когда температура держится длительный срок, не помогут, необходимы антибиотики. постоянно следить и в человек не страдает отдышкой. выздоровел до конца. Если сильный, то он справится
Ответ
следует отказываться и от причинам, тяжело вводить лекарственное если в анамнезе больного врач способен получить полную стать сигналом для родителей что защитные силы организма и бактерий. Субфебрилитетные проявленияОднозначно сказать, сколько будет держаться
После курса лечения температура тела должна вернуться к нормальным показателям. Если она повышена, то это значит, что терапия была прекращена преждевременно и очаг возбудителя продолжает развиваться.
Такая ситуация чаще всего наблюдается у детей, когда родители при улучшении состояния малыша самостоятельно корректируют курс лечения, считая, что продолжительный прием некоторых препаратов может навредить их ребенку. Ни в коем случае нельзя вносить коррективы в лечение самостоятельно, без согласования с врачом, поскольку недуг может перерасти в хроническую форму.
Чтобы избавиться от воспаления легких, следует пройти полный комплексный курс лечения, прописанный врачом, составляющий в среднем около двух недель.
Доктора Юсуповской больницы – профессионалы высокого уровня, которые в кратчайшие сроки ставят диагноз и назначат индивидуальный и эффективный план терапии.
Записаться на прием к врачу можно по телефону клиники.
Слишком высокая температура
Температура при пневмонии у детей и взрослых может достигать критических отметок в 40 градусов и выше. В этом случае, чаще всего, наблюдаются опасные виды воспаления лёгких, к которым относятся такие формы болезни:
Крупозная пневмония почти всегда развивается очень стремительно, при этом температура может доходить до 40 градусов и выше. Такая температура может держаться от пары часов, до нескольких суток. Далее температурные показатели немного снижаются и гипертермия продолжается около 10 дней. При лечении больного антибиотиками гипертермия продолжается не больше 4-х дней, при этом колебания показателей в течение дня составляют приблизительно один градус.
При повышенной температуре всегда возникает интоксикация, которая приводит к аномальной слабости и разбитости. При вовлечении в патологический процесс плевры больной ощущает сильнейшую боль в грудине, а дыхательный процесс становится затруднительным. Наблюдается непродуктивный и сильный кашель, который спустя всего пару дней становится влажным. При откашливании мокроты в ней нередко наблюдаются прожилки крови.
Если повышенная температура держится более 3 дней и её колебания на протяжении суток доходят до 2-х градусов, то можно говорить о развитии септических или же гнойно-деструктивных изменений. Это может быть эмпиема, абсцесс или сепсис лёгкого.
При слишком высокой температуре следует сразу же вызывать скорую помощь. Такое явление свидетельствует о том, что организм не справляется с заболеванием и ему необходима помощь.
Почему после пневмонии держится температура 37
Почему после пневмонии держится температура 37°С? Обычно температура после прохождения полного курса лечения — это вполне нормально явление, если клинический анализ крови и показатели рентгена легких в норме.
Так часто выражает себя синдром после вирусной астении. Но побывать на консультации у врача все-таки стоит, Существует опасность перепутать астению с неполным выздоровлением, когда повышение температуры — это показатель того, что болезнь начала развиваться повторно.
Нередко у повышенной температура есть и другие причины.
Причины возникновения температуры
Воспаление легких — серьезное заболевание, которое требует долгосрочного лечения в стационарных условиях не менее месяца. Обычно лечение происходит в течение двух недель, за это время убираются все симптомы, но полностью избавиться от инфекции организм не успевает. Иммунитет в этот период все еще ослаблен, и обычно это становится благотворной почвой, для того чтобы:
- Повторно заболеть вследствие неполного лечения очага воспаления.
- Повышение температуры могло быть вызвано воспалением внутренних органов или накоплением токсинов.
- Присоединить новое заболевание к не полностью восстановленному организму.
Очень часто, после того как организм перенес воспаление легких, может появиться дополнительное заболевание с повышением температуры, например, грипп или бронхит
В случае, если появилась температура после пневмонии, необходимо обратить внимание на дополнительные симптомы и обратиться за консультацией к врачу
Связь температуры и пневмонии
Повышение температуры — один из симптомов, с которого начинается диагностирование. Конкретного значения температурный баланс не имеет, колеблясь от 37 до 40 градусов. Обычно температура после пневмонии в пределах 37 считается нормой.
Небольшое повышение значит, что заболевание протекает на начальной стадии. Часто больные не придают значения такой температуре.
Когда появляются симптомы в виде кашля, частой боли в горле, воспаление легких путают с простудой и лечат ее соответствующими препаратами, избегая простого диагностирования.
Запущенная форма пневмонии опасна и лечится довольно сложно. Несвоевременное лечение может отразиться на состоянии здоровья и длительности терапии. При небольшой температуре, которая продолжается на протяжении недели, нужно показаться врачу, он назначит необходимые медикаменты. Если этого вовремя не сделать, повышение температуры может повыситься до максимального уровня.
При воспалении легких повышение температурного баланса является показателем серьезного воспалительного процесса, с которым организм самостоятельно не справится. Если показание градусника достигает 39 градусов и выше, нужно срочно вызвать скорую помощь, так как в этом случае необходимо срочно сбивать температуру и переходить к лечению.
Если у ребенка держится температура 37 градусов или чуть выше на протяжении недели, это хороший повод проявить беспокойство.
Такие симптомы дает воспаление легких. В вечернее и ночное время увеличение температуры может достичь отметки 40 градусов. При своевременном приеме жаропонижающих и антибиотиков можно добиться снижения до более низких температурных показателей.
Иногда пневмония у детей протекает без температуры, в этих случаях стоит обратить внимание на другие симптомы, такие как:
- снижение аппетита;
- посинение кожи между губами и носом;
- вялость;
- затруднительное дыхание;
- общая слабость.
Единственный плюс в том, что отсутствие жара не выматывает маленького больного. Обратиться к врачу стоит с того момента, когда вы заподозрили воспаление. Повышение температуры при пневмонии бывает довольно часто. Но специалисты рекомендуют не применять жаропонижающие при температуре до 38 градусов, считается, что в этот период организм сам успешно борется с инфекцией.
В этом видео говорится о пневмонии у детей:
Если отметка на термометре превысила показатель 40 градусов, необходимо срочно применить жаропонижающее. Антибиотики и жаропонижающие следует применять только те, которые назначит врач, так как стандартные препараты могут не подойти.
Если температуру необходимо сбить срочно, в случае если она поднялась, а жаропонижающее принимать еще рано, можно снять жар при помощи народных способов, которые не повредят здоровью.
В этом видео говорится о диагностике пневмонии:
Восстановительный процесс после воспаления легких включает в себя физиотерапию, лечебную гимнастику, частые прогулки на свежем воздухе, полноценный отдых и сбалансированное питание. Прислушайтесь к рекомендациям врача и не спешите отказываться от естественных способов восстановления здоровья.
Популярные статьи на тему: температура после пневмонии 37
Читать дальше
Инфекционные заболевания
Тактика ведения пациентов с внебольничной пневмонией: учимся на чужих ошибках
Внебольничная пневмония – довольно распространенная инфекционная патология. Заболеваемость ВП в Украине составляет около 0,5%, а летальность достигает 3%, причем в последние годы прослеживается четкая тенденция к прогрессивному повышению этих показателей.
Читать дальше
Пульмонология, фтизиатрия
Эффективность применения препарата Азимед у больных с внебольничной пневмонией
Пневмония относится к числу наиболее распространенных заболеваний человека и все еще остается серьезной медико-социальной проблемой. Так, заболеваемость пневмонией cреди взрослого населения в Украине в 1998–2000 годах составляла 4,3-4,7 на…
Читать дальше
Пульмонология, фтизиатрия
Левофлоксацин: ступенчатая терапия внебольничной пневмонии у взрослых
Традиционный подход к ведению больных тяжелыми или прогностически неблагоприятными инфекциями нижних дыхательных путей (прежде всего пневмонией) предполагал парентеральное введение антибиотиков на протяжении всего периода госпитализации. При этом в…
Читать дальше
Пульмонология, фтизиатрия
Пневмоцистная пневмония
Пневмоцистоз – патология дыхательной системы, вызванная пневмоцистами. Может протекать в виде острых респираторных заболеваний, обострений хронических бронхолегочных заболеваний.
Читать дальше
Пульмонология, фтизиатрия
Пневмония
Пневмония – острое инфекционное заболевание, преимущественно бактериальной этиологии, характеризующееся очаговым поражением респираторных отделов лёгких с обязательным наличием внутриальвеолярной экссудации.
Читать дальше
Детское питание
Побочные действия лекарств в педиатрической практике
Каждое лекарство таит в себе риск побочного действия, который определяет нежелательное последствие его применения во время или после курса лечения. Побочное действие может зависеть от фармакологических свойств препарата или быть проявлением аллергии.
Читать дальше
Пульмонология, фтизиатрия
Cовременные лекарственные средства в пульмонологии
Пневмония и в XXI столетии остается важной медико-социальной проблемой. Это обусловлено, в первую очередь, ее значительной распространенностью, достаточно высокой смертностью, а также значительными экономическими потерями
Читать дальше
Травматология и ортопедия
Лечение ожоговой болезни
После оказания первой помощи больным с ожогами на месте происшествия и во время транспортировки бригада «скорой помощи» доставляет таких пациентов либо в центральную районную больницу, либо в областной ожоговый центр (если расстояние до него..
Читать дальше
Пульмонология, фтизиатрия
Лечение пневмоний в госпиталях: монотерапия или использование комбинаций антибиотиков?
Пневмония – это острое инфекционное заболевание, преимущественно бактериальной этиологии, характеризующееся очаговым поражением респираторных отделов легких и наличием внутриальвеолярной экссудации.
Типы лихорадочного состояния при пневмонии
Пневмонию сопровождают такие симптомы, как лихорадка, озноб, жар. Температура при этом может варьироваться и зависит от стадии воспалительного процесса, проходящего в организме.
Врачи выделяют три вида лихорадки при пневмонии:
- Классическое повышение температуры. При этом ее показатели варьируются в пределах 37-38 градусов. Именно на этой стадии часто диагностируется патология легочного состояния.
- Пороговая температура. Она держится несколько дней и варьируется между показателями 38 и 39 градусов.
- Неконтролируемое лихорадочное состояние. Возникает вследствие сбоя в системе терморегуляции. В этом случае температура может повышаться более 39 градусов.
При начале приема лекарственных препаратов достигается стабилизирование состояния пациента. Также приходит в норму показатели температуры. Но в некоторых случаях спустя несколько дней температура снова повышается до классической субфебрильной (37-38 градусов) и принимает устойчивое положение, не изменяясь под влиянием медикаментов. Это очень беспокоит как пациента, так и его близких – они не знают, что это может обозначать и о чем сигнализирует данное состояние.
Диагностика
Если температура держится на уровне 37 градусов долгое время, а иногда достигает и 38 градусов, поход к врачу не нужно откладывать. Следует посетить отоларинголога, который проведет диагностику организма пациента с целью выявления возможных патологий и определения причины такого состояния.
Сначала врач ознакомится с жалобами больного, проведет осмотр пациента, оценит состояние его носоглотки. В обязательном порядке требуется проведение флюорографии. Пациенту необходимо сдать кровь и мочу на анализы. Кроме того, исследуется мокрота больного на микрофлору, что дает возможность определить ее характер. Ну и, конечно, следует проверить температурные показатели пациента. После того как будут получены результаты исследований, можно получить полную картину болезни и подобрать действенный способ лечения.
В тех редких случаях, когда температура 37˚С после воспаления легких проявляется у ребенка, необходимо провести обследование его дыхательных путей. Подобные явления могут выступать в качестве последствия дефицита сурфактанта, который представляет собой компонент, находящийся на стенках альвеол. Он способствует нормализации газообмена между эритроцитами и внешней средой. Если возникли подозрения на какую-либо патологию у ребенка, необходимо своевременно посетить пульмонолога.
Наиболее неприятным считается то, что даже после долгого лечения температура все равно может возвращаться. Ее максимальное значение достигает 38 градусов. Такая температура тела называется субфебрильной, начинается она с 37.
Естественной «защиты» организма не хватает надолго. Конечно, эти свойства индивидуальны, но уже через 2 недели они ослабевают и не могут полностью подавить болезнь. Именно поэтому уже после того как пациент поправился и выписался из больницы, температура вновь может подскочить.
Детская температура после заболевания пневмонией бывает довольно редко. Чаще всего она проявляется у взрослых. Это можно объяснить тем, что для детей менее характерны хронические процессы заболевания, их имунная система является еще более стойкой.
Статистика доказывает еще и то, что детские смерти от пневмонии практически отсутствуют, в отличии от взрослых.
Пневмония – одна из коварных болезней, которая значительно забирает силы у организма, поэтому даже после выздоровления на фоне сильно ослабленного иммунитета могут возникнуть и напомнить о себе и другие болезни, особенно если они имели хроническую форму. Например:
-
Наиболее распространенная ситуация после заболевания, которое лечилось антибиотиками – обострение гастрита или язвы желудка. Во избежание таких рецидивов стоит стараться регулярно употреблять кисло-молочные продукты или специальные лактобактерии для восстановления работы желудочно-кишечного тракта (но только по назначению врача).
- Причиной температуры тела, которая держится дольше недели и достигает от 37 до 38 градусов, может стать интоксикация внутренних органов продуктами распада легких.
- Проблемы со щитовидной железой на фоне слабого иммунитета.
Стоит обратить внимание на то, что если температура тела выше 37 градусов после пневмонии держится дольше 5-7 дней, надо срочно обратиться к врачу. Причиной такого состояния может оказаться наличие грибковых инфекций или воспаления в организме
Также это могут быть заболевания, о которых вы раньше не знали. Например, ВИЧ.
- Неправильная свертываемость кожи.
- Гнойные воспаления.
- Нервные расстройства.
- Сердечная или дыхательная недостаточность.
- Эндокардит.
Симптомы, которые могут сопровождать состояние переболевшего пневмонией – это:
- Кашель любого типа в зависимости от течения болезни.
- Сухость во рту.
- Вялость и слабость в теле.
- Головная боль.
- Ускоренное дыхание.
Сколько времени продержится температура сказать невозможно. Конечно, никому не хочется лежать на больничной койке очень долго, но ведь благодаря этому можно восстановить свое здоровье.
За скорость этого процесса отвечает имунная система. Как правило, именно по причине ее снижения переболевшие пневмонией вновь возвращаются в стены лечебных учреждений.
Первым делом стоит обратиться к оталорингологу после воспаления легких, который послушает вас и определит состояние, наличие каких-либо отклонений от нормы и патологий.
Важную роль при осмотре играет изучение носоглотки на предмет наличия гнойных воспалений. Также может потребоваться пройти флюрографию, чтобы изучить состояние легких после выздоровления еще раз.
При обращении к врачу могут назначить сдать следующие анализы:
-
мочу;
- кровь;
- мокроту кашля для исследования микрофлоры и изучения наличия крови в массе легких;
- измерение температуры при лечащем враче.
После получения всех анализов, врач сможет поставить точный диагноз.
Если же ситуация произошла с ребенком (что случается в 1 случае из 200), проводится обследование его дыхательных путей и легких. У деток температура может повыситься еще и как реакция на составляющие препаратов лечения или как дефицит сурфактанта в легких, который должен защищать их.
Вопрос-ответ
Сколько держится температура 37 при пневмонии?
Сколько держится высокая температура У пациентов, которые принимают антибактериальные препараты, при воспалении лёгких высокая температура тела держится в течение 3 дней. Если она не снижается, врачи проводят смену антибиотика. При крупозной пневмонии температура тела 37-38оС может держаться несколько недель.
Почему после лечения пневмонии опять поднялась температура?
Нередко после проведенного курса лечения в течение длительного времени держится температура 370– 37, 50. Если после лечения пневмонии опять поднялась температура – это может сигнализировать о хроническом течении заболевания, вялотекущем воспалительном процессе.
Какие признаки выздоровления при пневмонии?
Признаки выздоровления после пневмонии прилив сил, улучшение сна, исчезновение признаков интоксикации, дыхательной недостаточности, появление аппетита, выравнивание дыхания, его нормальная частота.
Какие могут быть осложнения после пневмонии?
Основной риск при несвоевременном или неэффективном лечении пневмонии представляют дыхательная недостаточность, гнойный плеврит, рубцовая трансформация легочной ткани (фиброз), сепсис, абсцесс легкого, полиорганная недостаточность, нарушение сердечного ритма, поражение почек, менингит и др.
Советы
СОВЕТ №1
Обязательно проконсультируйтесь с врачом, если температура 37.1 сохраняется более нескольких дней. Это может быть признаком того, что организм не полностью справился с инфекцией или возникли осложнения.
СОВЕТ №2
Следите за своим состоянием и обращайте внимание на другие симптомы, такие как кашель, одышка или боль в груди. Если они усиливаются, это также требует медицинского вмешательства.
СОВЕТ №3
Обеспечьте себе достаточный отдых и поддерживайте водный баланс. Питьевая вода и легкие бульоны помогут организму восстановиться и бороться с остаточными симптомами.
СОВЕТ №4
Следуйте рекомендациям врача по поводу лечения и реабилитации. Возможно, вам потребуется продолжить курс антибиотиков или пройти физиотерапию для улучшения состояния легких.





























































