Признаки токсического и посттравматического поражения лёгких
Если воспалительный процесс в лёгких возник на фоне отравления токсическими веществами, пострадавший чаще всего испытывает:
- тошноту;
- частые рвотные позывы;
- жжение слизистых;
- осиплость голоса;
- сильную одышку;
- нехватку воздуха;
- озноб.
Неприятное состояние дополняется диареей, повышением t тела. В тяжёлых случаях могут появляться трудности с дыханием, приводящие к асфиксии или сердечной недостаточности.
В результате полученных травм или ушиба грудной клетки, спровоцировавших повреждение лёгочной ткани, могут присутствовать мокрота с кровянистыми вкраплениями, болезненность в груди в процессе дыхания, трудности во время попыток сделать глубокий вдох.
Аллергическое воспаление часто имеет симптоматику, схожую с токсическим воздействием на органы дыхания. В течение непродолжительного периода после вдыхания аллергена (от 3 до 5 часов) пациент ощущает ухудшение общего состояния. Его нормализация наступает через несколько суток после прекращения контакта с раздражителем. Хроническое аллергическое заболевание характерно для контингента, вынужденно контактирующего с агрессивными химическими веществами (в связи с особенностями профессии). Если взаимодействие с аллергеном имеет место постоянно, может развиваться опасная форма болезни, чреватая тяжёлыми осложнениями.
Врачи отмечают, что бронхопневмония и пневмония — это два различных заболевания, хотя оба они затрагивают легкие и могут вызывать схожие симптомы. Бронхопневмония, как правило, начинается с воспаления бронхов, что приводит к распространению инфекции на легочную ткань. Это состояние часто характеризуется множественными очагами воспаления, что делает его более распространенным и менее локализованным. В отличие от этого, пневмония чаще всего затрагивает отдельные доли легких и может быть более выраженной в плане симптоматики. Врачи подчеркивают, что диагностика и лечение этих заболеваний могут отличаться, поэтому важно правильно определить тип инфекции для назначения адекватной терапии. Понимание различий между этими состояниями помогает врачам более эффективно справляться с ними и улучшать исходы для пациентов.

Симптомы заболеваний
Пневмония и воспаление легких характеризуются комплексом симптомов, характерных для множества других заболеваний дыхательных путей. Кроме того, при раздражении легочной ткани токсическими веществами (при вдыхании ядовитых паров), при аллергии или травмах некоторые общие признаки могут отсутствовать и появляться другие, более специфические.
Пневмония инфекционного происхождения
Общими (неспецифическими) симптомами, которые появляются у большинства больных при обоих заболеваниях, а также в некоторых других патологиях, являются следующие состояния:
- сухой кашель, позднее переходящий в мокрый, с отделением мокроты (даже если локализация патологии – одно легкое, симптом проявляется комплексно);
- боль в груди, которая усиливается при кашле или чихании;
- учащенное сердцебиение, повышенное потоотделение;
- общая слабость, снижение работоспособности, сонливость;
- симптомы интоксикации организма, которые, как правило, индивидуальны: высокая температура, головная боль, расстройства пищеварения, боль в мышцах и суставах.
Клиническая картина инфекционно-вирусной пневмонии, так же как и скорость прогрессирования могут различаться в зависимости от возраста и иммунитета больного, индивидуальных особенностей организма, наличия сопутствующих заболеваний и многих других факторов.
https://youtube.com/watch?v=E-ArgKbEZr4
Многие люди путают бронхопневмонию и пневмонию, не понимая, что это разные заболевания. Бронхопневмония, как правило, возникает в результате воспаления бронхов и может затрагивать небольшие участки легких. Это чаще всего связано с инфекциями, вызванными бактериями или вирусами, и может развиваться на фоне простуды или гриппа. Пневмония же охватывает более обширные участки легочной ткани и может быть вызвана различными патогенами, включая грибки.
Люди отмечают, что симптомы этих заболеваний могут быть схожи: кашель, одышка, высокая температура. Однако бронхопневмония часто сопровождается более выраженными признаками бронхита, такими как хриплый кашель. Важно понимать, что правильная диагностика и лечение имеют решающее значение, так как игнорирование симптомов может привести к серьезным осложнениям. Поэтому при появлении первых признаков заболевания стоит обратиться к врачу для получения квалифицированной помощи.

Токсическое воспаление легких
При воспалении легких, вызванном воздействием токсических веществ, наблюдаются:
- постоянная тошнота;
- периодическая рвота;
- жжение слизистых;
- сильная отдышка и ощущение нехватки воздуха;
- осиплость голоса;
- высокая температура;
- озноб;
- расстройства желудочно-кишечного тракта и другие симптомы.
В отдельных случаях может наблюдаться затруднение дыхания вплоть до асфиксии и недостаточность сердечной деятельности.
Аллергическое воспаление легких
Аллергическое воспаление легких сопровождается теми же симптомами. Острое состояние может возникать уже через 3-5 часов после вдыхания аллергена и проходит через несколько дней после прекращения контакта с аллергеном.
Опасная форма и появление осложнений могут наблюдаться в тех случаях, когда больной не прекращает контактировать с аллергеном, не подозревая о происхождении заболевания.
Посттравматическое воспаление
Посттравматическое воспаление легких происходит вследствие механического повреждения грудной клетки.
Заболевание развивается в тех случаях, когда больному с травмой не была оказана своевременная (в течение последующих шести часов после происшествия) и высококвалифицированная медицинская помощь, при значительном повреждении (например, двустороннем переломе ребер) или наличии в анамнезе пациента серьезных болезней легких.
Кроме общих симптомов могут наблюдаться выделение крови вместе с мокротой, боли, отдающие в бок или невозможность сделать полноценный вдох.
Разница между пневмонией и воспалением легких
Воспаление легких или пневмония (медицинское определение) – термины тождественные, обозначающие острые воспалительные процессы в области нижних дыхательных путей. Некоторые люди считают инфекционные поражения легочных альвеол – пневмонией, а заболевания, спровоцированные химическими, физическими либо токсическими поражающими факторами – воспалением легких. Это неверно, любой воспалительный процесс по МКБ 10 считается пневмонией, вне зависимости от этиологии легочного заболевания.
- Этиология пневмонии
- Причины возникновения воспаления легких
- Классификация пневмоний (воспалений легких) согласно этиологии
- Дифференциальная диагностика пневмонии
- Методы и протоколы лечения
- Симптоматическая лекарственная терапия
- Возможные осложнения
- Профилактика
Этиология пневмонии
Если внезапно повышается температура, мучает постоянный кашель на фоне одышки и боли в груди, а также невозможно глубоко вдохнуть, то такое тяжелое состояние свидетельствует о пневмонии (воспалении легких). Легочное заболевание развивается в несколько этапов.
В процессе дыхания в легкие постоянно проникают патогенные микроорганизмы, пыль, микроспоры плесени, пыльца растений, множество химических реагентов, способных спровоцировать различные заболевания. Если у человека высокая иммунная защита, угрозы воспаления легких не возникает, организм самостоятельно уничтожает и выводит все, что ему чуждо.
Когда инфекционных агентов слишком много, и лейкоциты легких с ними справиться не в состоянии, начинается бактериальная (вирусная, паразитарная, грибковая) пневмония.
Если поражение легочных альвеол вызвано химическими веществами, другими токсинами, травмами, ожогами дыхательных путей, аллергенами, начинается воспаление легких неинфекционной природы.
Воспалительные процессы, развивающиеся в доле легкого, сопровождаются поражением легочных альвеол, дыхательных полостей, которые у здорового человека наполнены воздухом, а при воспалении в них накапливается слизистый экссудат с гнойными, иногда кровянистыми включениями.
Поскольку газообмен в легких нарушается – в кровь не поступает нормальное количество кислорода, а углекислый газ не выводится, дыхательные функции организма частично нарушаются. Дальнейшее прогрессирование пневмонии может привести к обширному отеку легких.
Причины возникновения воспаления легких
Главным фактором, провоцирующим поражения легочных тканей, считается низкая иммунная защита. К снижению иммунитета приводят:
- частые ОРВИ:
- ангины;
- грипп;
- бронхит (хронический и острый);
- хронические заболевания других внутренних органов.
А также другие причины:
- алкоголизм;
- наркомания;
- курение;
- недостаток физической активности;
- ожирение;
- авитаминоз.
Лица, страдающие от вредных привычек, а также с неправильным обменом веществ, находятся в группе риска относительно развития пневмонии, поскольку в легких снижается естественная вентиляция, образуются застойные патологические явления, нарушается легочный клеточный метаболизм.
Особенно опасна пневмония для малышей, за которыми нет должного ухода, а также старики, когда в силу преклонного возраста снижается иммунитет и деградируют функциональные способности организма.
Классификация пневмоний (воспалений легких) согласно этиологии
В зависимости от типов возбудителей и причин заболеваний выделяют следующие виды легочных воспалительных процессов нижних дыхательных путей:
Дифференциальная диагностика пневмонии
Самостоятельно по визуальным признакам определить вид пневмонии, бронхита, гриппа, туберкулеза невозможно, необходимо пройти рентген обследование. Характерные особенности легочных заболеваний:
| Пневмония острая | Грипп | Бронхит | Туберкулез |
| Резкое возрастание температуры (до 40), которая не снижается от жаропонижающих лекарств. | Температура (до 39), головокружения, боли в висках, затылке. | Субфебрильные значения (до 37,5).
температуры либо резкое увеличение (39). |
Начало болезни: температура под 40, затем субфебрильная – с повышением к вечеру (до 37,3–37,8). |
| Лихорадочное состояние, озноб, бред. | Жар, озноб, мышечные судороги. | Поочередно холод, жар. | Нестабильное состояние: приливы жара и холода. |
| Цианоз носогубного треугольного участка. | Бледность покровов либо гиперемия лица. | Побледнение (покраснение) шеи, лица. | Бледность лица, синева под носом, глазами, цианоз слизистых. |
| Одышка, удушье при нагрузке и без усилий. | Насморк, чихание. Нос заложен. | Затрудненность дыхания при усилиях. | Дыхательная недостаточность в условиях покоя. |
| Боли при глубоком вдохе, кашле (в груди, под лопаткой). | Болят мышцы, выворачивает суставы. | Боли грудины проявляются во время кашля. | Боли по всему телу усиливаются после нагрузки, кашля, перемены внешних температур. |
| Непродуктивный кашель, мокрота зеленая спустя 2–3 суток. Затем пенистая, возможно, розовая. | Кашель сухой, затем с вязкой, белесой мокротой. | Сухого типа кашель ночью, ранним утром, затем появление вязкой, трудно отделяемой мокроты. | Изнурительный кашель. Мокрота серозно-гнойная, в дальнейшем с кровью. |
| Гиперемия щеки со стороны поражения легкого выраженная. | Светобоязнь, рези в глазах, слезотечение. | Нездоровый односторонний румянец на щеках. | Гиперемия покровов на скулах. Деструктивные изменения формы грудной клетки. |
| Снижение АД, тахикардия. | Перепады давления. | Высокое давление, перепады. | Снижение АД, аритмия. |
| Сильные хрустящие хрипы в легких. | Першит в горле, красный зев, налет на языке. | Напряжение вен шеи, хрипы скрипящие, свист при дыхании. | Хрипы сухие (свист, хруст, писк) либо влажные (легочное клокотание). |
| Снижение аппетита, тошнота, понос, слабость, сыпь. | Недомогание, диарея, рвота при виде еды. | Слабость, тошнота, вялость. | Усталость, потливость, слабость. |
Кроме рентгеноскопии, для определения болезней органов дыхания применяется КТ, УЗИ грудной клетки, исследование крови и мочи. А также биопсия легочной ткани.
Биопсия легочной ткани для диагностики пневмонии
Симптомы и признаки пневмонии
Главными признаками пневмонии являются кашель (бывают исключения) и боль в грудной клетке, которые в зависимости от этиологии заболевания и его вида, могут сопровождаться теми или иными симптомами.
Среди симптомов воспаления легких различают:
— кашель, часто сильный, иногда сухой, но в большинстве случаев, с выделением мокроты;
— мокрота имеет густую консистенцию, от зеленого до рыжеватого цвета, иногда с кровяными прожилками;
— боль в грудной клетке во время кашля, или при глубоких вздохах;
— повышенная и высокая температура, от 37 до 39,5°С;
— озноб;
— повышенное потоотделение;
— учащенный пульс и ускоренное, поверхностное дыхание;
— общая слабость;
— иногда пациент может услышать в своем дыхании похрипывания, которые особенно отчетливо слышно через стетоскоп;
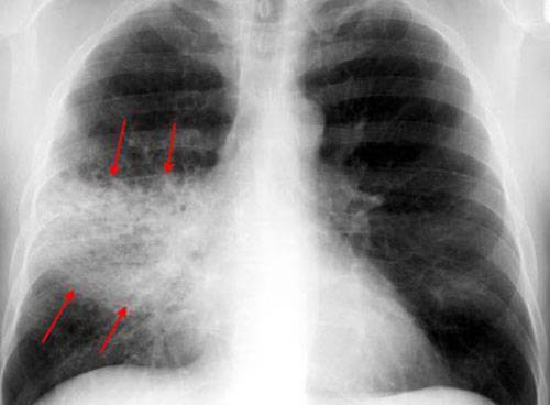
— на рентгенограмме грудной клетки, в области легких видно затемнение, как на фото ниже:
Кроме того, могут наблюдаться следующие второстепенные признаки пневмонии:
— головная боль;
— цианотичность (посинение) губ и ногтей;
— боль в мышцах;
— быстрая утомляемость, одышка;
— жар.
Признаки пневмонии у детей
В отличие от взрослого, симптомы пневмонии у детей не так выражены. У ребенка могут наблюдаться только вялость, потеря аппетита и лихорадка.
Лечение
Выставить достоверный диагноз поможет бронхоскопия.
Лечение пневмонита всегда должно быть комплексным и направляться как на прекращение воздействия провоцирующего фактора, так и на устранение последствий недуга. Всем больным с этим заболеванием рекомендуется отказ от вредных привычек, минимизация воздействия негативных факторов (контактов с пылью, токсическими веществами и пр.), рациональное питание, пребывание на свежем воздухе и ограничение физических нагрузок. При аспирационном пневмоните перед началом лечения проводится удаление пищевых остатков, попавших в дыхательные пути.
Для лечения пневмонита больным назначается медикаментозная терапия, план которой составляется индивидуально для каждого пациента. Для лечения могут использоваться препараты следующих групп:
- глюкокортикостероиды: преднизолон, бетаметазон;
- иммуносупрессоры: метотрексат и др.;
- цитостатики: фторурацил и др.
Курс медикаментозной терапии начинают с назначения глюкокортикостероидов, обладающих противовоспалительным и иммуносупрессивным действием. Средняя продолжительность их приема составляет около 3-6 месяцев. Уже на протяжении первых 30 дней прием этих препаратов должен приводить к улучшению рентгенологической картины. Если такие улучшения не наблюдаются, то в план лечения вводятся цитостатики. При необходимости терапия дополняется приемом симптоматических средств (противокашлевых, отхаркивающих, жаропонижающих и пр.). Применение антибиотиков при пневмоните обычно оказывается нецелесообразным и неэффективным. При выраженных проявлениях гипоксемии больному проводится оксигенотерапия. Для общего укрепления организма назначаются витаминно-минеральные комплексы.
Пневмонит нередко сопровождается снижением веса и иммунитета. Для коррекции этих нарушений больному рекомендуется соблюдение специальной диеты, подразумевающей введение в рацион достаточного количества молочных и мясных продуктов, свежих овощей, зелени, ягод и фруктов.
Признаки развития заболевания
Частые вирусные инфекции в осенне-зимний период изматывают защитные силы организма. Практически постоянный насморк у некоторых детей сменяется кашлем, затем следует непродолжительный светлый период и все повторяется заново. К началу весны без солнца и витаминов иммунитет часто дает сбой. Даже простая ОРВИ вдруг затягивается и приобретает характеристики другого заболевания.
Настораживать должны следующие признаки:
- повторное повышение температуры тела через 2-3 дня после спада, особенно на фоне кашля;
- внезапное ухудшение состояния в момент выздоровления.
При появлении «второй» волны заболевания необходимо обязательно обратиться к специалисту. Начинающееся воспаление в легких у взрослых и детей в такой ситуации может не проявлять себя выраженными физикальными данными. Опытные врачи и педиатры при любом подозрении назначают рентген легких. У детей может возникнуть не только пневмония, но и бактериальные осложнения в других органах, что без лечения приведет к тяжелым последствиям.
Вялотекущее воспаление легких часто путают с затяжной пневмонией у детей. Затяжная инфекция характеризуется острым началом и длительным периодом стихания клинических симптомов. Даже на фоне лечения выздоровление наступает только через 1,5-2 месяца. У вялотекущего процесса отмечается стертость клинической симптоматики и быстрое выздоровление в течении 2-4 недель при адекватном лечении.
Какая температура может быть при пневмонии?
выше 36,6 градусапирогенов
| Тип пневмонии | Характер температуры |
| Крупозная пневмония | |
| Сегментарная пневмония |
|
| Интерстициальная пневмония |
|
| Пневмония вирусного происхождения | |
| Пневмония у ВИЧ-инфицированных людей | |
| Госпитальная пневмония (та, которая развивается в течение 48 часов после нахождения в стационаре) | |
| Пневмония у людей, больных сахарным диабетом. |
|
| Внутриутробная пневмония недоношенных детей |
|
| Ранние неонатальные пневмонии (те, которые развиваются в течение первых недель жизни) |
Симптомы
Один из первых симптомов пневмонита — кашель со скудной мокротой.
Выраженность клинических проявлений пневмонита зависит от причин его развития, особенностей иммунного ответа организма и продолжительности влияния провоцирующего фактора.
Основными проявлениями острой и подострой формы пневмонита являются следующие симптомы:
- кашель со скудной мокротой;
- лихорадка;
- озноб;
- боль и дискомфорт в грудной клетке;
- обильный пот;
- быстрая утомляемость;
- приступы удушья;
- цианоз.
При острых формах недуга симптомы обычно возникают через 12 часов после воздействия первопричины, при лучевом – через несколько недель после облучения. Острое течение пневмонита сопровождается ярко выраженными признаками. Обычно они ослабевают через несколько дней, но со временем могут вновь обостряться. Проявления заболевания наблюдаются не более 30 дней. Вначале у больного повышается температура, возникает озноб и кашель.
При подостром течении пневмонита пациент жалуется на появление одышки, быстрой утомляемости, кашля, лихорадки и общее ухудшение самочувствия. Заболевание длится от нескольких недель до 4 месяцев. Хроническое течение пневмонита длится более 4 месяцев и наблюдается при неправильном лечении острых или подострых форм или при невыявлении причин легочной патологии. У больного возникают проявления, которые схожи с симптомами хронического бронхита, и со временем появляются признаки эмфиземы, фиброза и сотового легкого. Хронический пневмонит развивается медленно, особенно постепенное прогрессирование характерно для постлучевой формы заболевания.
Инкубационный период
Инкубационный период у воспаления легких длится от одного до шести дней (чаще всего три дня), и зависит от возраста пациента, состояния иммунитета, сопутствующих заболеваний и того, каким именно микроорганизмом заразился больной. Как правило, характеризуется этот период небольшим повышением температуры, общей слабостью и недомоганием. Очень редко инкубационный период может протекать бессимптомно.
Иногда бывает, что у пожилых людей данный период затягивается, что приводит к несвоевременному лечению и развитию осложнений. Поэтому даже при малейших признаках воспаления (кашле, небольшой температуре, слабости, головокружениях) необходимо обратиться к врачу и сдать анализы.
Профилактика
Главные условия предотвращения пневмонии и осложнений других легочных болезней:
Физическая активность для профилактики пневмонии
- Гигиеническая личная чистота.
- Сокращение всевозможных контактов с больными.
- Закаливание, во избежание простуды.
- Исключение вредных факторов, снижающих иммунитет.
- Простое, но полноценное питание.
- Физическая активность.
- Душевное благополучие – без стрессов.
- Если в доме появился больной, то обязательно нужно надевать на нос (рот) многослойную маску.
Чаще всего пневмонию обнаруживают у людей, пренебрегающих нормальным лечением ОРВИ, гриппа, бронхита, других легочных патологий.
Особенности симптомов основных разновидностей пневмонита
Гиперчувствительный пневмонит является самой распространенной разновидностью этого воспалительного заболевания. Аллергическая реакция провоцируется некоторыми неорганическими или органическими соединениями и приводит к развитию интерстициального воспаления с образованием гранулем и инфильтратов. Нередко этот недуг является профессиональным заболеванием и развивается у лиц, работающих на вредных производствах.
У больных с гиперчувствительным пневмонитом возникает непродуктивный кашель, одышка, диспепсические проявления, снижение толерантности к нагрузкам, боли в суставах и мышцах, ухудшение аппетита и утрата веса.
- При острой форме аллергического пневмонита клинические проявления заболевания во многом схожи с симптомами острой пневмонии. У больных резко повышается температура, возникает слабость, кашель (в мокроте могут присутствовать прожилки крови), затрудняется дыхание, нарастает слабость. При прослушивании легких выявляются мелко- и среднепузырчатые хрипы.
- Если аллергический пневмонит протекает хронически, то симптомы характеризуются как вялотекущие и нередко обострения заболевания не происходят. Итогом такой формы заболевания становятся фиброзные изменения в легких.
Постлучевой пневмонит развивается через какой-то промежуток времени после проведения курсов радиолучевой терапии. Причиной его возникновения становится низкая сопротивляемость легочной ткани к лучам ионизирующего излучения. Он отличается тяжелым течением и нередко становится причиной смерти больных. В начале развития недуга у больного возникают гриппоподобные проявления с симптомами поражения легких, которые могут присутствовать при пневмонии, плеврите или туберкулезе легких. После лечения глюкокортикостероидами состояние пациентов стабилизируется и ткани легких постепенно восстанавливаются.
При аспирационном пневмоните происходит легкий ожог слизистых оболочек и закупоривание бронхов среднего калибра частичками пищи. Из-за этого у больного затрудняется дыхание, нарастает частота сердечных сокращении и появляется цианоз. Через несколько минут общее самочувствие обычно стабилизируется, но отек и другие проявления воспаления бронхов продолжают прогрессировать.
Диагностика
Все проявления пневмонита являются неспецифичными и могут возникать при разных заболеваниях легких. Именно поэтому для диагностики этой патологии врач должен не только внимательно изучать все жалобы больного, но и детально изучать результаты инструментальных и лабораторных исследований.
Для выявления пневмонита применяются следующие методы обследования:
- анализы крови: общий и биохимический;
- анализ газового состава крови;
- микроскопическое исследование и посев мокроты;
- рентгенография легких;
- бронхоскопия;
- КТ и МРТ органов грудной клетки;
- биопсия легочной альвеолярной ткани (при сомнительных результатах других исследований).
Заболевания, с которыми может быть спутана пневмония
Оба заболевания часто имеют схожую симптоматику с другими патологиями. По причине этой особенности у специалиста могут возникнуть трудности в точной постановке диагноза.
Среди болезней, поражающих бронхолёгочную систему, и вызывающих выраженные симптомы, преобладают:
- Бронхит.
- Грипп.
- ОРВИ.
- Туберкулёз.
- Рак лёгких.
Бронхит
От других лёгочных патологий бронхиты отличаются в первую очередь областью локализации воспалительного процесса. При этом заболевании поражается слизистая оболочка бронхов, тогда как у больного пневмонией затрагиваются альвеолярные участки лёгких. На рентгене очаги бронхита чаще всего визуализируются слабо.
Грипп и ОРВИ
Гриппозная инфекция и ОРВИ характеризуются выраженным нарушением сердечного ритма, «жёстким», затруднённым дыханием, похолоданием стоп и кистей рук на фоне повышенной t тела. При развитии вирусной или бактериальной пневмонии основными отличиями становятся появление у пациента синего оттенка носогубного треугольника, легкоразличимых хрипов и тяжёлой одышки.
Туберкулёз и рак лёгких
Эти заболевания в основном легче поддаются диагностике, чем бронхит, грипп и ОРВИ. И туберкулёз, и рак лёгких провоцируют развитие характерной симптоматики:
- длительного кашля, не прекращающегося на протяжении 3-4 месяцев;
- существенного уменьшения телесной массы;
- подверженности различным инфекциям.
Отличие пневмонии от гриппа и простуды
Хотя пневмония и воспаление легких это одно и то же, с гриппом и ОРВИ у него мало общего. При гриппе начало болезни очень внезапное, с кашлем и насморком, а также першением в горле. Температура высокая с сильным ознобом. Воспаление легких отличается от гриппа не таким резким началом болезни. Одно из характерных отличий при пневмонии – присутствие одышки. Во время вдоха больной жалуется на сильную боль в груди. При бактериальной форме опасного недуга появляется влажный кашель с мокротой, которая иногда имеет прожилки крови.
Поскольку простуда и грипп вызываются только вирусами, а пневмония может иметь бактериальную природу, лечение и симптомы значительно отличаются. ОРВИ тоже начинаются со схожих признаков, потому нужна качественная диагностика, чтобы постановить точный диагноз. Простая простуда без терапии медикаментами может легко перерасти в воспалительный процесс органов дыхания. По характеру мокроты и началу процесса определяют разницу между заболеваниями.
Воспаление легких – очень опасное заболевание, несмотря на широкий перечень современных лекарственных средств. Лечение не может быть одним и тем же при разных типах недуга и назначается согласно возрасту человека, а также причинам воспаления. Риску подвергаются люди в пожилом возрасте, маленькие дети. Посещение врача при первых подозрениях на заболевание не только поможет скорее выздороветь, но спасет многим больным жизни.
Лечение по Комаровскому
После того, как диагноз установлен, доктор примет решение о том, где ребенок будет лечиться — дома или в больнице. Этот выбор будет зависеть от того, сколько лет ребенку и насколько тяжелая у него пневмония. Всех детей до 2 лет педиатры стараются госпитализировать, поскольку их иммунитет слаб, и процесс лечения уже по этому должен постоянно контролироваться медицинским персоналом.
Все случаи обструкции во время пневмонии (плеврит, закупорка бронхов) — основание для госпитализации детей любого возраста, так как это является дополнительным фактором риска, и восстановление при такой пневмонии будет непростым. Если доктор говорит, что у вас неосложненная пневмония, то с большой долей вероятности он разрешит лечить ее в домашних условиях.
Чаще всего пневмонию лечат антибиотиками, при этом совершенно не обязательно, что придется делать много больных и страшных уколов.
Две трети случаев воспаления легких, по словам Евгения Комаровского, прекрасно лечатся таблетками или сиропами. Кроме того назначаются отхаркивающие средства, которые помогают бронхам как можно скорее очищаться от накопившейся слизи. На завершающей стадии лечения ребенка показаны физиопроцедуры и . Также малышам, которые проходят реабилитацию, показаны прогулки и прием витаминных комплексов.
Если лечение проходит дома, то важно, чтобы ребенок не находился в жарком помещении, пил достаточное количество жидкости, полезен вибрационный массаж, способствующий отхождению бронхиального секрета
Причины возникновения заболевания
Пневмония может развиться из-за множества причин, самая распространённая из которых – микроорганизмы: пневмококки, стафилококки, стрептококки, кишечная палочка, энтеробактерии, вирусы, микоплазмы, грибковые возбудители. Есть ряд причин появления пневмонии и неинфекционного характера: воздействие токсинов и аллергенов, травмы грудины, воздействие излучением.
Факторами, благоприятствующими развитию пневмонии являются:
- Снижение иммунитета, иммунодефицит и ослабленное состояние организма, например, в пожилом возрасте.
- Курение и частое употребление алкоголя.
- Хронические заболевания дыхательных путей.
- Сердечная недостаточность и нарушения в работе сердца.
- Длительное соблюдение постельного режима.
- Переохлаждение.
- Эндокринные заболевания.
- Родовые травмы, асфиксии (пневмония новорожденных).
Как отличить бронхит от пневмонии: основные признаки
Острый бронхит и пневмония характеризуются общими симптомами. Риск развития воспаления легких у некоторых пациентов с острым бронхитом очень велик. Пневмония довольно серьезное заболевание, особенно у пожилых людей, а в случае воспаления бронхов проявление симптомов становится слабее уже спустя пару недель.
Между этими недугами существуют некоторые отличия, но оба заболевания могут иметь «стертые» симптомы. Поэтому при подозрении на воспаление легочных тканей нужна обязательная консультация специалиста.
Особенности респираторного поражения бронхов
При бронхите наблюдается отек и накопление избыточной слизи в бронхиолах дыхательных путей, что ведут в легкие. Начало болезни провоцируется чаще всего вирусом, затем присоединяется бактериальная инфекция.
Маленькие дети необычайно восприимчивы к этому заболеванию, так как у них узкие дыхательные пути, а иммунная система не является достаточно зрелой, чтобы противостоять многочисленным респираторным инфекциям.
Воспаление бронхов — высококонтагиозное заболевание, поскольку легко передается воздушно-капельным путем. При кашле, чиханье больного или даже контакте с инфицированными выделениями на поверхности предметов быта легко подхватить заразный вирус.
Общие симптомы острого бронхита
Болезнь начинается как обычное острое респираторное заболевание (ОРЗ). Для него характерны такие особенности:
- Насморк и заложенность носа;
- Сухой кашель вначале течения болезни без отделения слизи;
- Через несколько дней при откашливании может появляться прозрачная, желтая или зеленая мокрота;
- Наблюдается головная боль, озноб, но лихорадка отсутствует или сопровождается незначительной гипертермией;
- Результаты рентгенологических исследований не обнаруживают патологии в легких;
- Выздоровление наступает спустя 2-3 недели.
Комплекс симптомов пневмонии отличается от острого бронхита. Но оба заболевания вызывают учащенное дыхание, хрипы и голубоватый оттенок кожи вследствие недостатка кислорода.
Лечение болезни предупредит проникновение инфекции в альвеолы. Чтобы облегчить состояние больного, применяются антигистаминные препараты, бронхолитики, стероиды и кислородная терапия. Правильно подобранные препараты помогут избежать пневмонии и хронического течения болезни, что потребует более длительной терапии.
Описание пневмонии
Воспаление легких может возникнуть как осложнение после инфекций верхних дыхательных путей, бронхита или как первичная инфекция. Болезнь связана с поражением альвеол и терминальных дыхательных путей. Так как ее симптомы очень похожи на обычную простуду, то болезнью часто пренебрегают.
Причиной болезни может быть инфекция или аллергическая реакция организма. Опытный диагност знает, как отличить бронхит от пневмонии, поскольку воспаление в альвеолах легких вызывает немного другие симптомы.
Клинические особенности пневмонии:
- высокая температура (выше 38.5 С);
- активное выделение мокроты;
- кровохарканье;
- боль в груди;
- затрудненность дыхания;
- частота сердечных сокращений выше 100 ударов в минуту;
- дыхание учащенное (более 24 вдохов в минуту);
- заболевание длиться дольше 2-3 недель.
Воспаление легких может усложняться абсцессом легкого, дыхательной недостаточностью, экссудативным плевритом и септической лихорадкой. Диагностические исследования при поражении альвеол легких аналогичны тем, что проводят при бронхите. При правильном подборе антибиотиков и своевременном их приеме, организм человека справляется с инфекцией в легких.
В чем разница между двумя заболеваниями
Оба заболевания требуют тщательной диагностики для постановки правильного диагноза.
- Причиной воспаления бронхов чаще всего является вирусный агент, а происхождение пневмонии имеет бактериальную природу;
- Воспаление легких сопровождается высокой температурой и ознобом, в то время как инфекция в бронхах вызывает незначительную лихорадку;
- При бронхите возникает отек и рубцы на дыхательных путях, пневмония характеризуется отеком и накоплением жидкости в альвеолах.
Понимание того, как отличить бронхит от пневмонии, поможет выбрать правильную схему лечения больного. Устранение воспаления легких основано на применении антибиотиков, тогда как при инфекционном поражении бронхов нужно снять отек и облегчить боль при кашле.
Вопрос-ответ
Чем опасна бронхопневмония?
Бронхопневмония (очаговая) часто приводит к долевой пневмонии, как инфекция прогрессирует. Один организм может привести к одному типу пневмоний у одного пациента, а другой тип может быть у других различных пациентов.
Что за диагноз бронхопневмония?
Бронхиальная пневмония (бронхопневмония, очаговая пневмония) – это острое воспалительное заболевание с вовлечением в патологический процесс паренхимы легкого, бронхов и бронхиол. Она имеет очаговый характер и может поражать одну или несколько долек легкого.
В чем разница между пневмонией и бронхопневмонией?
Пневмония — это инфекция легких, возникающая, когда вирусы, бактерии или грибки поражают и воспаляют легкие. Бронхопневмония — это тип пневмонии, при котором воспаляются альвеолы (крошечные воздушные мешочки) внутри легких. У человека с бронхопневмонией могут возникнуть проблемы с дыханием из-за сужения дыхательных путей.
Как быстро проходит бронхопневмония?
Длится оно в среднем 2-3 недели, и его терапия занимает столько же времени. Сроки лечения очаговой пневмонии у взрослых: от 1 до 3 недель (они варьируются, как и длительность болезни). И еще несколько недель у пациентов всех возрастов занимает восстановительный период после перенесенного заболевания.
Советы
СОВЕТ №1
Обратите внимание на симптомы. Бронхопневмония часто сопровождается более выраженным кашлем и выделением мокроты, в то время как пневмония может проявляться более общими симптомами, такими как высокая температура и одышка. Если вы заметили у себя или у близких такие признаки, не откладывайте визит к врачу.
СОВЕТ №2
Не игнорируйте профилактику. Чтобы снизить риск развития как бронхопневмонии, так и пневмонии, следите за своим иммунитетом: ведите активный образ жизни, правильно питайтесь и избегайте переохлаждений. Вакцинация против гриппа и пневмококковой инфекции также может помочь защитить вас.
СОВЕТ №3
Своевременно проходите обследования. Если у вас есть хронические заболевания дыхательной системы, регулярно посещайте врача для контроля состояния. Это поможет выявить возможные осложнения на ранней стадии и начать лечение.
СОВЕТ №4
Обратите внимание на лечение. При бронхопневмонии и пневмонии важно следовать рекомендациям врача и не заниматься самолечением. Прием антибиотиков должен быть назначен специалистом, и важно завершить курс лечения, даже если симптомы исчезли раньше.

















































