Родовая патология у новорожденных
Родовая пневмония новорожденного последствия могут и не наступить, если будет оказана своевременная и адекватная помощь.
Если ребенок не будет пролечен или будет, но не полностью, тогда в дальнейшем может наблюдаться астенизация. В этом случае ребенок становится чересчур спокойным, вялым. Он быстро устает и плохо ест.
Если ребенок слаб, болезнь затягивается. Помимо этого, есть риск регулярных рецидивов, но при правильной методике лечения такое опасение отсутствует.
Очаги поражения имеют свойство сливаться, в дальнейшем образуя довольно большую площадь захвата. Строение легкого у малыша подразумевает быструю отечность органа и мобильное формирование патологии.
Помимо ткани легких, воспаление может перейти на плевру, тогда развивается плеврит, который мешает ребенку дышать и доставляет боль.
Аспирационная пневмония у новорожденных является серьезным состоянием, которое может иметь различные последствия для здоровья ребенка. Врачи отмечают, что данное заболевание возникает, когда инородные вещества, такие как амниотическая жидкость или пища, попадают в дыхательные пути. Это может привести к воспалению легких и нарушению газообмена.
Специалисты подчеркивают, что последствия аспирационной пневмонии могут варьироваться от легких до тяжелых. В некоторых случаях новорожденные могут испытывать затруднения с дыханием, что требует немедленной медицинской помощи. Долгосрочные эффекты могут включать развитие хронических респираторных заболеваний, таких как астма, а также задержку в физическом развитии.
Врачи рекомендуют тщательное наблюдение за состоянием новорожденных, особенно в первые недели жизни, чтобы минимизировать риски и обеспечить своевременное лечение. Профилактика аспирации, включая правильное кормление и уход за детьми, также играет ключевую роль в снижении вероятности возникновения данного заболевания.

Осложнения пневмонии у новорожденных
Проводятся определенные процедуры для ликвидации кровотока и нормализации работы головного мозга. Лечебные мероприятия нужны с целью блокады периферического кровообращения.
Пневмония у новорожденного ребенка последствия после которой могут проявиться в виде дезинтоксикации организма. В этом случае назначается терапия, подразумевающая вывод токсинов и корректировку кислотно-щелочного баланса.
Также проводятся процедуры для устранения проблем с сердцем. Может выявиться сосудистое свертывание крови, поэтому лечение последствий после патологии нужно начинать вовремя.
Кроме этого симптомы пневмонии должны быть полностью устранены.
Особенности возникновения, диагностирования и лечения аспирационной пневмонии у новорожденных
Надо отметить, что аспирационная пневмония у новорожденных диагностируется гораздо сложней, чем у взрослых, поскольку у деток, чаще всего, за стадией с сильно выраженной симптоматикой, сразу же следует временное затишье с отсутствием характерных признаков. Поэтому, даже опытный врач может понять, что у новорожденного аспирационная пневмония, только лишь после неоднократных случаев проявления патологии.
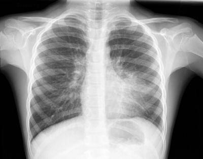
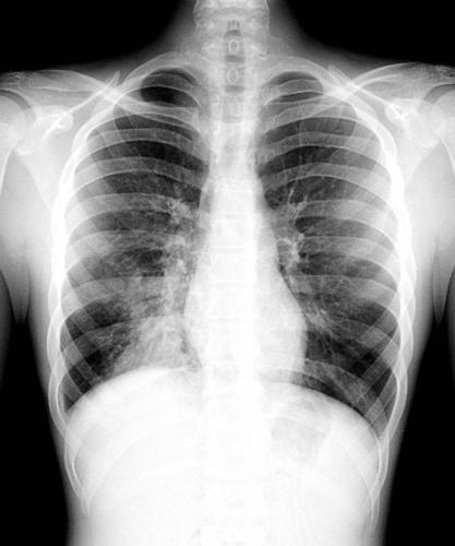
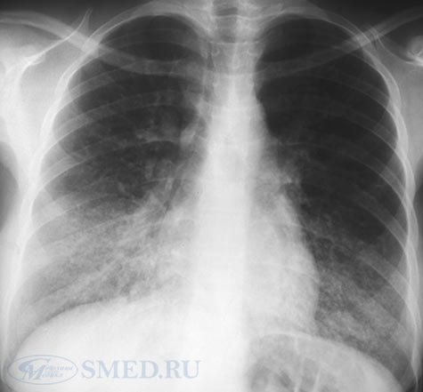
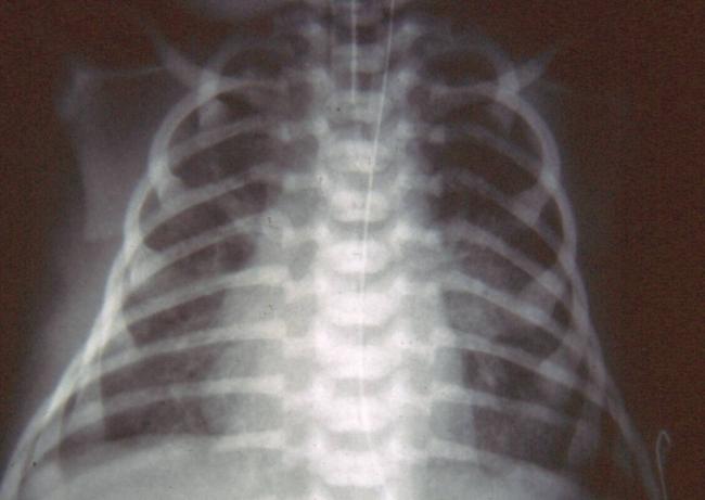
Самым результативным способом выявления болезни легких, является прослушивание новорожденного на присутствие хрипов в области грудной клетки и рентгеновское исследование.
Возникает аспирационная пневмония у маленьких деток вследствие вдыхания ребенком инородного вещества (например, это может быть еда, материнское молоко, частички рвоты и т.д.). Если родители вовремя не среагируют, патология может привести к абсцессу легкого, или, что еще страшней, к гибели малыша (особенно актуально для деток в первые месяцы жизни).
Основными признаками заболевания являются: сероватый оттенок кожи малыша, снижение аппетита и массы ребенка, частая рвота и срыгивания при кормлении, а так же дыхательная недостаточность и частое покашливание младенца.
Как правило, лечение новорожденных проходит в стационаре под присмотром лечащего врача. Однако госпитализация во многом зависит от тяжести пневмонии. Основной методикой лечения аспирационной пневмонии у новорожденных деток, является прием антибиотиков. В некоторых случаях маленькому ребеночку, может быть назначена кислородная терапия. Сочетание антибиотиков и кислородной терапии – это обычная практика при лечении новорожденных при патологии легких. В запущенных случаях, может потребоваться искусственный отсос скопившейся в легких мокроты.
Любое промедление, особенно в отношении новорожденного, может привести к плачевным последствиям. В том случае, когда больной заподозрит у себя признаки аспирационной пневмонии, ему незамедлительно необходимо обратиться к врачу для постановки точного диагноза. Если запустить лечение, это может привести больного к летальному исходу.
Аспирационная пневмония у новорожденных — это серьезное состояние, которое вызывает много беспокойства у родителей и врачей. Многие специалисты отмечают, что последствия могут варьироваться в зависимости от степени тяжести заболевания и своевременности оказания медицинской помощи. Важно понимать, что аспирация может привести к воспалению легких, что, в свою очередь, может вызвать осложнения, такие как дыхательная недостаточность или хронические легочные заболевания.
Некоторые родители сообщают о том, что их дети, перенесшие аспирационную пневмонию, сталкиваются с проблемами в развитии, особенно в области дыхательной функции. Врачи подчеркивают необходимость регулярного наблюдения за такими детьми, чтобы вовремя выявить возможные отклонения. Кроме того, важно следить за питанием и избегать ситуаций, которые могут привести к повторной аспирации. В целом, ранняя диагностика и адекватное лечение играют ключевую роль в минимизации последствий этого состояния.

Профилактика пневмонии новорожденных
Чтобы у ребенка не наблюдалась внутриутробная пневмония, женщине во время беременности следует соблюдать профилактику. Особенно это касается второй половины беременности: не следует заболевать гриппом или ОРВИ. Какие другие меры помогут новорожденному родиться здоровым?
- Постоянное ведение учетной записи у гинеколога, сдача всех анализов.
- Ведение здорового образа и отказ от пагубных привычек.
- Сбалансированное и полноценное питание, богатое минералами и витаминами.
В период родов следует избегать асфиксии плода. После рождения ребенка необходимо держать в помещении, где нет инфекции. Следует следить за температурами в помещении, чтобы не переохлаждать малыша.
Не забывайте про материнское молоко, которое в первые полгода жизни ребенка обеспечивает его иммунной защитой.
Пневмония у новорожденных
Пневмония легких у новорожденных – инфекционное воспаление ткани легких — является одним из наиболее часто встречающихся инфекционных заболеваний. Оно опасно для любого малыша, особенно если речь идёт о двусторонней пневмонии у новорожденных. К сожалению, статистика на сегодняшний день такова: пневмонию у новорожденных диагностируют у 1% доношенных и 10-15% недоношенных малышей.

Виды и причины пневмонии новорожденных
В медицине выделяют следующие виды пневмонии в зависимости от причины заболевания:
- врожденная трансплацентарная (возбудитель проникает к малышу через плаценту от матери);
- внутриутробная антенатальная, обусловлена возбудителями, которые из околоплодных вод проникли в легкие плода;
- интранатальная, возникает при прохождении малыша по родовым путям матери, инфицированным микроорганизмами;
- постнатальная пневмония, при которой инфицирование происходит после рождения в стационаре роддома, в отделении патологии новорожденных (нозокомеальная), или в домашних условиях.
Наиболее частыми причинами пневмонии у новорожденных являются:
- инфекции токсоплазмоза, листериоза, краснухи, герпеса (при врожденных трансплацентарных пневмониях у новорожденных);
- стрептококки групп В и О, гестальные микоплазмы, туберкулезная и гемофильная палочки (при антенатальных и интранатальных пневмониях);
- стрептококки групп В, цитомегаловирусы, хламидии, грибы рода Кандида и вирус герпеса II типа (при интранатальных пневмониях);
- клебсиеллы, синегнойная палочка, кишечная ючка, протеи, стафилококки (при нозокомеальной аспирационной пневмонии у новорожденных);
- смешанные бактериально-бактериальные, вирусно-бактериальные.
Приобретенные домашние пневмонии чаще всего возникают на фоне ОРВИ (острой респираторной вирусной инфекции), вызванной аденовирусами.
Вторичные пневмонии, которые являются проявлением или осложнением сепсиса, аспирационного синдрома, зачастую вызываются у новорожденных стрептококками, стафилококками или грамотрицательной флорой.
Симптомы пневмонии у новорожденных
Признаки пневмонии у новорожденного в случае внутриутробного инфицирования врачи обнаружат еще до выписки, ведь часто первые сигналы пневмонии начинают появляться непосредственно после рождения ребенка.
Если мама с ребенком выписалась домой, в течение первого месяца к ним обязательно на дом должен приходить врач для патронажа. Он будет смотреть за состоянием малыша, и ему необходимо говорить обо всех тревожных симптомах, к примеру, о вялости ребенка, частых срыгиваниях и жидком стуле, отказе от груди, быстром уставание при сосании.
Если у ребенка повышается температура, не стоит ждать очередного прихода врача. Срочно вызывайте скорую помощь
Кашель у младенцев может быть слабо выражен, но на покашливание важно сразу обратить внимание. Также насторожить должно появление выделений из носа у ребенка и одышка. Одышка приводит к симптомам посинения на стопах, на лице и руках
У заболевшего ребенка быстрее появляется опрелость
Одышка приводит к симптомам посинения на стопах, на лице и руках. У заболевшего ребенка быстрее появляется опрелость.
Бояться пропустить пневмонию у своего ребенка не нужно, ведь признаки болезни редко возникают без повышения температуры. А её нужно периодически измерять в целях профилактики.
Врач, регулярно осматривая и выслушивая ребенка, легко сможет обнаружить пневмонию.
Какое лечение назначают при пневмонии у новорожденных?
Для лечения пневмонии всегда используются антибиотики широкого спектра действия. За ребенком необходим тщательный уход, чтобы избежать его переохлаждения и перегревания
Важно следить за гигиеной его кожи, часто менять положение его тела, кормить исключительно из рожка или при помощи зонда. Прикладывать к груди больного младенца врачи разрешат только при его удовлетворительном состоянии, а именно при исчезновении интоксикации и дыхательной недостаточности
Помимо перечисленных средств лечения прописывают также физиотерапию (СВЧ и электрофорез), витамины С, B1, В2, В3, В6, В15, применение иммуноглобулинов, горчичные и горячие обертывания по два раза на день, переливания плазмы крови.
Последствия пневмонии у новорожденных
Дети, которые переболели пневмонией (особенно двухсторонней пневмонией у новорожденных), склонны к повторным заболеваниям. После выписки для них следует неоднократно проводить курсы витаминотерапии, давать биорегуляторы (экстракт алоэ и элеутерококка) в течение 3-4 месяцев. И в течение 1 года ребенок будет находится под диспансерным наблюдением.
WomanAdvice.ru
Причины возникновения
В зависимости от времени и пути проникновения возбудителя в легкие плода или новорожденного выделяют пневмонии: врожденные трансплацентарные; внутриутробные; интранатальные; постнатальные.
Врожденные трансплацентарные пневмонии наблюдаются при следующих генерализованных внутриутробных инфекциях: цитомегалии, простом герпесе, краснухе, сифилисе, листериозе, микоплазмозе, токсоплазмозе и др. Факторы риска возникновения врожденной пневмонии – наличие заболевания у матери, выделение возбудителя или антител к нему во время беременности. Возбудитель проникает к плоду гематогенным путем.
При внутриутробных и интранатальных пневмониях микроорганизм попадает в легкие плода при заглатывании и аспирации инфицированных околоплодных вод или содержимого родовых путей. К факторам риска их возникновения относятся хориоамниониты, эндоцервициты, вагиниты, другие инфекции мочеполовой сферы у матери, длительный безводный период, гипертермия у матери непосредственно перед родами или в родах, инвазивные исследования в родах (например, пальцевые исследования). Важную роль в возникновении этих пневмоний играют хроническая и острая гипоксия плода и асфиксия новорожденного. Внутриутробные пневмонии вызываются анаэробными бактериями, стрептококками групп В и D, кишечной, туберкулезной, гемофильной палочками, микоплазмами, уроплазмами и др. Возбудители интранатальных пневмоний – стрептококки, энтерококки, гемофильная палочка, микоплазмы, хламидии, цитомегаловирус, генитальный герпес II типа, грибы рода Candida и др.
Факторами риска возникновения постнатальных нозокомиальных пневмоний считаются: наличие у ребенка тяжелых заболеваний, недоношенность, ЗВУР, пороки развития, проведение реанимационных мероприятий и/или респираторной терапии, длительное пребывание в стационаре, несоблюдение правил асептики и антисептики, неблагоприятная эпидемическая ситуация в отделении. Эта группа пневмоний наиболее часто вызывается грамотрицательной флорой: клебсиеллой, кишечной палочкой, синегнойной палочкой, энтеробактером, протеем; но может быть обусловлена стафилококками и другими грамположительными бактериями. Часто процесс вызывается несколькими возбудителями одновременно.
Постнатальные домашние пневмонии чаще развиваются на фоне острых респираторных заболеваний, вызванных аденовирусом, респираторно-синцитиальным вирусом, вирусами гриппа и парагриппа и др. Присоединение бактериальной флоры (пневмококки, стафилококки и др.) происходит очень быстро. Фактором риска развития этой группы пневмоний может быть неблагополучная эпидемическая ситуация.
Лечение
Любой тип пневмонии у детей данной возрастной группы лечится только в стационарных условиях под наблюдение специалистов. Основным является приём лекарственных препаратов.
Медикаментозное
| Группа препаратов | Действие при пневмонии и особые указания | Наименования препаратов |
| Антибиотики | Новорождённым выписывают при подтверждении диагноза вне зависимости от степени тяжести болезни.Не назначают для предупреждения инфицирования в период прохождения по родовым путям и отхождения раньше срока вод, так как эффективность такой профилактики не доказана. | При типичной форме пневмонии:
При их неэффективности:
При атипичной форме пневмонии:
|
| Препараты с жаропонижающим и обезболивающим действием | Назначаются при температуре тела выше 38 °C. Можно использовать следующие лекарственные формы — суспензии, растворы, ректальные свечи, сиропы. | Препараты на основе ибупрофена:
Средства на основе парацетамола:
|
| Отхаркивающие и муколитические (разжижающие мокроту) средства | Эффективность действия препаратов обеспечит наличие прохладного, влажного воздуха и обильного питья |
|
| Антигистаминные средства | Применяются при инфекционной аллергии, которую провоцируют токсины, выделяемые патогенными микроорганизмами |
|
Для устранения высокой температуры у младенцев запрещено применять средства, содержащие следующие компоненты:
- амидопирин;
- фенацетин;
- ацетилсалициловую кислоту;
- анальгин;
- нимесулид.
Эти вещества могут спровоцировать тяжёлое поражение кровеносной системы и печени.
В качестве дополнения к приёму антибиотиков грудничку назначают курс витаминов – B1, B2, B3, B6, B15 и C. Витаминотерапия может длиться до четырёх месяцев. При осложнённых состояниях — судорогах, длительном жаре, выраженных интоксикационных симптомах, отказе от еды — проводится внутривенное введение солевого раствора и глюкозы. Также возможно использование иммуноглобулина или интерферона, которые способствую подавлению возбудителей заболевания.
Сопутствующее
В большинстве случаев лечение дополняется такими методами, как:
- Электрофорез. Способ введения ионной формы препарата через кожу благодаря применению слабоимпульсного тока. Используется Димексид, Дексаметазон. Эффективен в стадии неполного излечения воспаления.
-
Ингаляции. В современной медицине используются небулайзеры или ингаляторы для проведения этой процедуры. Для проведения процедуры используют отвары трав, мёд, морскую соль, соду, минеральную воду, а также лекарственные средства, например, Лазолван.
- СВЧ (сверхвысокочастотная) терапия. Преимущество этого типа процедуры заключается в возможности действовать на определённом участке, не затрагивая соседние органы. СВЧ-терапия усиливает кровоток и ускоряет обменные процессы, что способствует естественной стимуляции иммунных сил организма.
-
Переливание крови и плазмы. Показаниями к этой процедуре являются следующие состояния:
- затянувшийся характер болезни;
- развитие анемии;
- появление гнойных осложнений;
- наличие хронических расстройств питания и пищеварения.
Кроме того, помогает применения зонда для кормления. Кроха получает необходимое питание и при этом экономит собственные силы. Метод используется до тех пор, пока новорождённый не окрепнет.
Лечение пневмонии у новорожденных
Воспаление легких у грудных детей редко сопровождается кашлем. В основном пневмония новорожденных проявляется сонливостью или, наоборот, беспокойным поведением. Это происходит в результате нехватки кислорода. У некоторых больных детей наблюдается гипотермия.
При внутриутробной пневмонии у новорожденных уже с первых дней жизни наблюдается одышка, цианоз, в некоторых случаях – апноэ. Малыш становится вялым, у него отсутствует аппетит, он часто срыгивает, возможны пенистые выделения изо рта, тахикардия, бледность кожных покровов, проявления сердечно-сосудистой недостаточности.
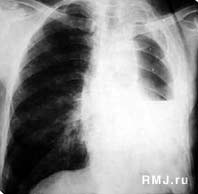
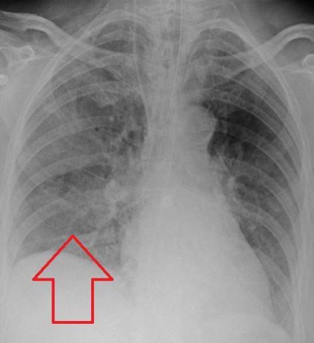
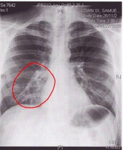
Диагностика пневмонии у новорожденных проводиться с помощью рентгенологических и лабораторных исследований. Кроме того, верная постановка диагноза невозможна без учета клинических симптомов и данных анамнеза. Если у крохи выявлено воспаление легких, нужна госпитализация.
Больной пневмонией малыш часто не может самостоятельно сосать грудь, поэтому в отделении интенсивной терапии его кормят искусственным путем.
Очень важно как можно чаще переворачивать ребенка с боку на бок, чтобы избежать застоя жидкости в легких. Дополнительно осуществляется удаление слизи из дыхательных путей
Главную роль в лечении пневмонии у новорожденных детей отводят антибиотикам. Необходимо также стимулирующее лечение и витаминотерапия. Способствуют выздоровлению ингаляции, массажи, ультрафиолетовое излучение.
На фоне приема антибиотиков у малышей развивается дисбактериоз. Поэтому для восстановления нормальной микрофлоры кишечника целесообразно использовать пробиотические препараты.
При своевременно начатом лечении нежелательные последствия пневмонии у новорожденных возникают довольно редко. Однако если ребенок не прошел адекватную терапию, болезнь приобретает затяжной характер и со временем переходит в хроническую форму.
Иногда, помимо легочной ткани, воспалительный процесс может охватить плевру, что провоцирует развитие плеврита. В особо запущенных случаях на месте воспаления в легких происходит разрушение тканей.
Среди возможных последствий пневмонии у новорожденных – нарушение нормального функционирования легких, что делает ребенка весьма уязвимым к различным заболеваниям дыхательной системы в будущем.
Поэтому еще во время вынашивания малыша с целью минимизации риска внутриутробной пневмонии выполняйте нужные профилактические мероприятия:
- Старайтесь оградить себя от инфекционных заболеваний;
- Вовремя становитесь на учет в женскую консультацию, проходите регулярное обследование, сдавайте все необходимые анализы;
- Не забывайте о сбалансированном и рациональном питании;
- Ведите здоровый образ жизни.
Непосредственно во время родов врачи должны принять все меры, чтобы избежать асфиксии плода
После появления малыша на свет по возможности оградите его от различных источников инфицирования, не допускайте переохлаждения, ну и самое важное – не отказывайтесь от грудного вскармливания, ведь уже давно не секрет, что материнское молоко – лучшая защита для новорожденного крохи
Как протекает недуг?
Пневмония может быть как односторонняя, так и двухсторонняя, а также и других видов, а именно:
- Сегментарная – данный вид воспаления развивается после ОРВИ или другой вирусной инфекции. Выявить его можно только с помощью рентгеновского снимка, так как симптоматика очень незаметная и поставить диагноз на ее основании невозможно. Выздоровление, как правило, наступает на третью неделю после начала лечения.
- Очаговая – достаточно безобидное заболевание по сравнению с другими видами. Легко поддается лечению, антибиотики действую быстро, выздоровление происходит к 4 неделе.
- Крупозная – длительность терапии в данном случае полностью зависит от защитных сил детского организма. Возникает такое воспаление редко, возбудителем является бактериальная инфекция.
- Двусторонняя – очень опасный процесс, затрагивающий работу сердечно-сосудистой системы. Характеризуется высоким процентом смертности среди новорожденных. Возбудителями могут быть как , так и пневмоцисты.
Любой из видов воспаления легких опасен сам по себе, особенно если пропустить начало и запустить терапевтический процесс.
Как развивается
У детей и новорожденных
У новорожденного ребенка аспирационная форма пневмонии может развиваться в случае, если ребенок заглотнул околоплодные воды.
Однако, в первые дни жизни причина может крыться и в неправильном кормлении. В настоящее время это происходит, к счастью, очень редко.
В группе риска дети, которые родились недоношенными. Их легочная ткань незрелая, что естественно делает ее более уязвимой. Кроме того, риск развития недуга может увеличивать внутриутробная инфекция.
Первыми признаками заболевания у новорожденного являются сбивчивость дыхания, цианоз и апноэ. В дальнейшем такие дети с трудом набирают вес, они часто срыгивают или перестают брать грудь.
Диагностика аспирационной пневмонии затруднена по причине нетипичности проявлений. Однако, лечение необходимо начинать как можно быстрее, так как прогрессирование процесса может привести к развитию дыхательной недостаточности у малыша.
Итак, причинами обсуждаемого недуга у новорожденного могут быть:
- Инфицирование плода (еще внутриутробное) в результате инфекционных заболеваний у матери во время вынашивания ребенка. В этом случае возбудителями являются хламидии, стафилококки, микоплазма, уреоплазма и прочие болезнетворные микроорганизмы.
- Рождение ребенка раньше положенного срока. Развитие легочной системы заканчивается к 39 неделе беременности, а до этого момента дыхательная система не может в полом объеме выполнять свои функции, а, значит более подвергается риску.
- Травмы при родах. Если во время родов наблюдается преждевременное отхождение околоплодных вод, это провоцирует гипоксию плода и разнообразные заболевания нервной системы.
- Аномальное развитие дыхательной или желудочно-кишечной системы. В этом случае может нарушаться сосательный рефлекс, ребенок плохо усваивает пищу, наблюдается частая рвота, которая может попадать в легочную систему.
СПРАВКА! Наиболее распространенной причиной возникновения пневмонии аспирационного типа у новорожденных остается заглатывание околоплодных вод, внутриутробное или родовое инфицирование плода.
У взрослых
У взрослых развитие данной формы пневмонии связано с острым химическим пневмонитом, химической обструкцией и бактериальной пневмонией.
При кашле жидкость или посторонний предмет попадает в бронхолегочную систему, что может привести к отеку. Заболевание прогрессирует в результате механической обструкции, которая может стать причиной инфицирования паренхиматозной ткани легкого.
Аспирированное содержимое агрессивно воздействует на ткани органа, в результате чего наблюдается перфузия легкого и развитие гипоксемии. При присоединении бактериальной инфекции к патологическому процессу, заболевание начинает прогрессировать быстрее, что сопровождается более выраженными клиническими проявлениями.
Недуг, прогрессируя, проходит следующие этапы:
- пневмонит;
- наркотизирующая пневмония;
- абсцесс;
- эмпиема плевры.
В связи с этим, начальная стадия аспирационной пневмонии может быть не сопровождаться яркой клинической картиной.
О наличии присутствия в легочной системе инородного тела у взрослых и детей могут свидетельствовать следующие симптомы:
- слабость;
- кашель (сухой);
- неприятные и часто болезненные ощущения в области грудной клетки;
- диспноэ;
- цианоз;
- лихорадочное состояние;
- сбои в сердечном ритме (тахикардия);
- отхаркивание мокроты с пеной и кровью.
После того, как с момента попадания в легочную систему инородного тела пройдет две недели, развивается абсцесс и эмпиема плевры, это сопровождается усилением кашля и отходом зеленой мокроты с гнилостным запахом. Если пневмония вызвана химическими агентами, частота сердечных сокращений увеличивается, повышается температура тела, кожные покровы становятся синюшными.
У новорожденных симптоматика тоже развивается поэтапно. Сначала у ребенка можно наблюдать цианоз и задержку дыхания, затем дыхание становится жестким, а сердечные тоны прослушиваются крайне плохо. У детей старшего возраста аспирация бронхолегочной системы чаще всего развивается по причине заглатывания мелких предметов. В этом случае у ребенка наблюдается сильный кашель.
Последствия и их лечение при внутриутробной пневмонии
Своевременное лечение при внутриутробной пневмонии позволяет снизить риск развития различных негативных последствий, особенно смерти. Однако даже при всех принятых мерах возможны последствия, которые отображаются в развитии ателектазы или фиброза, что сопровождается спаением участков ткани легких, где формируется соединительная ткань.
Из-за отсутствия полноценной работы легких проявляются болезни легких или эмфизема. Данное заболевание сопровождается токсикозом, который поддается лечению с трудом. Следует также помнить о том, что постоянная гипоксия сказывается на умственном и физическом развитии малыша.
Причины развития заболевания
Как уже говорилось выше, причиной аспирационной пневмонии становится аспирация жидкости в бронхи или инородных тел. Выделяют следующие причины, вызывающие воспалительный процесс:
- Пищевые комочки наносят слизистой механические повреждения. Попасть они могут вместе с грудным молоком матери. В этом случае происходит закупоривание части бронхов, после чего они прекращают функционирование. Конечно, если иммунная система малыша в порядке, то воспаления не будет.
- При срыгивании ребенок иногда аспирирует содержимое желудка с незначительным количеством соляной кислоты, тем самым, нанеся слизистой бронхов химический ожог, что в итоге приводит к пневмонии.
- Внутрь вместе с проглоченной жидкостью может попасть возбудитель.
Попадание инородных тел и микроорганизмов происходит следующими путями:
- При родах, чаще всего преждевременных. В этом случае система дыхания малыша еще не готова самостоятельно работать, а пузырь с околоплодной жидкостью уже разорвался.
- В родовых путях. При продолжительных родах младенец какое-то время находится в родовых путях. В это время в его бронхи могут попасть инородные тела.
- При срыгивании пищи, использовании неправильной техники грудного кормления, когда малыш вынужден глотать молоко с пузырями воздуха. То же самое относится и к бутылочному кормлению.
Точных типичных симптомов у аспирационной пневмонии нет, поэтому подходят общие симптомы. Их проявление зависит от того, что попало в организм. В зависимости от этого болезнь иногда начинается бессимптомно. Но можно выделить несколько характерных признаков:
Нередко, как уже говорилось, болезнь начинается бессимптомно. Можно только отметить следующие признаки – повышенную сонливость, быструю утомляемость. Правда, в случае с новорожденными детьми эти признаки малозаметны
Стоит обратить внимание на то, что они теряют аппетит, все время плачут, кашляют и у них затрудненное дыхание.
Далее, появляется лихорадка, боли в области груди и кашель. Но необходимо знать, что эти симптомы неспецифические.
В запущенных случаях в легких и бронхах возможно появление гнойных очагов
Заметить это можно по мокроте с типичным неприятным запахом.
У грудничка отмечается сильная одышка, носогубный треугольник приобретает синюшный цвет.
Отмечаются кратковременные остановки дыхания.
Дыхание затрудненное.
Сильный влажный кашель с хрипами.
Повышение температуры.
Также медики выделяют специфические признаки для аспирационного воспаления легких. Вот какие симптомы об этом говорят:
- Выраженность рефлексов снижается, вплоть до их полного угнетения.
- Кожные покровы младенца приобретают светло-серый или светло-синий оттенок.
- Полностью отсутствует аппетит, малыш не может сосать грудь. Даже если он голодный.
- Ребенок постоянно срыгивает. Причем, выделяемое содержимое напоминает рвоту.
- Снижается масса тела или отсутствие прибавки веса.
Если инфекция слабо выражена, то симптомов может и не быть
В таком случае педиатр должен обратить внимание на то, что грудничок не прибавляет в весе, плохо сосет и вял
Можно выделить симптомы по причинам заболевания:
- При бактериальной инфекции начало воспалительного процесса плавное, происходит повышение температуры тела до 38°C, появляется кашель с мокротой.
- При химическом раздражителе отмечается интоксикация организма ребенка, быстро растущая температура, тахикардия и одышка.
- При механической аспирации у ребенка сильный кашель. Он опасен тем, что инородные частицы могут перекрывать крупные бронхи, тем самым, выключая их из процесса дыхания.
Для лечения аспирационной пневмонии родителям необходимо запастись терпением и силами, так как это требует немало времени. Но прежде чем приступить к лечению, необходимо выявить причину и лишь, потом подбирать способ лечения. Этим должен заниматься специалист в стационарных условиях.
Обычно используют следующие методы лечения:
- Антибиотики и другие медикаменты. Их использование происходит либо в экстренных случаях, либо, если возбудитель болезни – бактериальная инфекция. Одним из лучших препаратов для инъекции грудничкам признан Клиндамицин. Стандартный курс лечения равен двум неделям, но при гнойных процессах он продлевается до полного уничтожения возбудителя. Кроме вышеназванного препарата используют еще средства, способствующие отхождению мокроты и формированию сурфактанта (Амброксол), а также другие препараты по показаниям (например, для стимуляции дыхательного центра).
- Физиотерапия. Для новорожденных в этом случае подходит массаж и ингаляции.
Вопрос-ответ
Чем опасна аспирационная пневмония?
К аспирационной пневмонии часто приводит регургитация (затекание) желудочного содержимого в дыхательные пути при кардиопульмональной реанимации, шоке, нарушениях сознания (в том числе, алкогольной и героиновой интоксикации), при нарушении глотания в рамках различных неврологических заболеваний (бульбарный паралич,
Чем грозит пневмония у новорожденных?
Пораженному болезнью ребенку грозит нарушение дыхательных функций и серьезная интоксикация, ацидоз, изменение состава крови, включая снижение в ней количества кислорода. Новорожденный страдает от недостатка витаминов, его печень не справляется с нагрузкой.
Какие могут быть последствия после пневмонии у ребенка?
Как правило, даже на фоне слабой симптоматики может сформироваться выраженная гипоксия тканей (недостаток кислорода). Опасно заболевание тем, что оно может привести к сердечно-сосудистой и дыхательной недостаточности. В этом случае последствия пневмонии у ребенка могут быть смертельными!
Сколько лечится аспирационная пневмония?
Продолжительность лечения обычно составляет 1 неделю (2). Лечение абсцесса легких проводят антибиотиками и, в некоторых случаях, при помощи чрескожного или хирургического дренажа.
Советы
СОВЕТ №1
Обратите внимание на ранние признаки аспирационной пневмонии, такие как затрудненное дыхание, кашель или изменение цвета кожи. Чем раньше вы заметите симптомы, тем быстрее сможете обратиться за медицинской помощью.
СОВЕТ №2
Обсудите с педиатром возможные риски аспирации у вашего новорожденного, особенно если в семье есть предрасположенность к респираторным заболеваниям. Это поможет вам лучше подготовиться и предотвратить возможные осложнения.
СОВЕТ №3
Следите за правильной техникой кормления новорожденного. Убедитесь, что ребенок находится в удобном положении, чтобы снизить риск аспирации. Избегайте кормления в лежачем положении и следите за тем, чтобы малыш не спешил при сосании.
СОВЕТ №4
Регулярно проводите профилактические осмотры у педиатра, чтобы контролировать здоровье вашего новорожденного. Это позволит своевременно выявить и устранить любые проблемы, связанные с дыхательной системой.



























































