Сложности диагностики
Локализация процесса вдоль корня легкого затрудняет рентгенологическую диагностику заболевания. Рентген в прямой проекции показывает расширение корня легкого, увеличение тени средостения, но дать более точные характеристики не представляется возможным. Более детальную информацию может дать компьютерная томография. Однако даже при качественном изображении остаются иногда вопросы.
С чем приходится дифференцировать:
- туберкулез;
- центральный рак легкого.
Клинические проявления туберкулеза могут быть абсолютно идентичны. Для полного исключения хронического процесса необходимо подтвердить наличие в мокроте микобактерий и туберкулиновые пробы. Лечение стандартными антибактериальными препаратами не даст никакого облегчения при туберкулезе, что тоже будет рассматриваться как диагностический признак.
Возникновение злокачественного процесса на фоне хронической обструктивной болезни легких также будет сопровождаться кашлем, субфебрильной температурой и затемнением в области средостения. Если даже при контрастном исследовании у рентгенологов остаются сомнения в этиологии процесса, необходимо проведение биопсии при бронхоскопии для морфологического подтверждения.
Врачи отмечают, что прикорневая пневмония представляет собой серьезное заболевание, требующее внимательного подхода к диагностике и лечению. Специалисты подчеркивают, что данная форма пневмонии часто возникает у пациентов с ослабленным иммунитетом или хроническими заболеваниями легких. Симптомы могут включать кашель, одышку и повышенную температуру, что затрудняет своевременное обращение за медицинской помощью. Врачи рекомендуют проводить комплексное обследование, включая рентгенографию и лабораторные анализы, для точного определения диагноза. Лечение, как правило, включает антибиотики и поддерживающую терапию, однако важно учитывать индивидуальные особенности пациента. Профилактика, включая вакцинацию и укрепление иммунной системы, также играет ключевую роль в снижении риска развития заболевания.

Особенности помощи больному
После установления диагноза начинается лечение прикорневой пневмонии. Чаще всего доктор назначает больному с пневмонией медикаментозную терапию.
Состояние больного пневмонией улучшается только в случае корректного подбора медикаментов. Если терапия при пневмонии будет правильной, то признаки улучшения состояния появятся уже на 2−4 неделе.
Не менее важно уделять внимание дополнительной терапии. Она включает в себя все практики симптоматической терапии
Лечение прикорневой пневмонии у юных пациентов также осуществляется посредством приема назначенных доктором медикаментов
Также уделяется внимание общеукрепляющей терапии и физиотерапии. Детишки на 1 году жизни лечатся строго в условиях стационара
Медикаментозная терапия при пневмонии предполагает прием:
- антибиотических препаратов;
- антигрибковых медикаментов;
- лекарств, способствующих усилению иммунитета.
При сильном кашле ребенку назначается прием бронхолитических препаратов. Если юного пациента сильно лихорадит, то ему назначаются медикаменты, способствующие понижению температуры.
Если доктор заметит признаки ослабления функционирования сердца, то он может назначить прием сердечных гликозидов. При затрудненном дыхании детям назначается прием травяных ингаляторов. Эти препараты, великолепно усваивающиеся детским организмом, абсолютно безопасны.
Когда наступает улучшение, юному пациенту назначаются массажные процедуры и компрессы. Для предупреждения рецидива детям назначаются прогревающие процедуры
Особое внимание уделяется выполнению дыхательных упражнений
Причины развития недуга
В основном воспаление легких возникает по причине воздействия микроорганизмов:
- бактерий (стрептококков, пневмококков);
- вирусов (возбудителей гриппа, парагриппа, риновирусов);
- грибов (аспергилл, гистоплазмов).
Кроме вышеперечисленных, в развитии патологии могут принимать участие особые виды: легионеллы, хламидии, микоплазмы. Именно последняя группа провоцирует у взрослых развитие атипичной пневмонии.
Но даже если возбудитель попал в организм, у человека не обязательно разовьется патология. Симптомы пневмонии у взрослого проявятся лишь в том случае, если имеют место факторы, снижающие иммунитет.
К ним относятся:
- любые хронические патологии (болезни мочевыделительной системы, кровообращения, онкология, недуги печени, ВИЧ-инфекция);
- вредные привычки;
- механические травмы в область легких;
- полная обездвиженность, длительная гиподинамия;
- нерациональное питание (недостаток минералов, витаминов);
- профессиональные вредности;
- изнурительные физические нагрузки;
- усталость, неврозы, хронические стрессы;
- пожилой возраст;
- прием некоторых медикаментов (иммунодепрессанты, химиотерапия, гормональные препараты);
- проникновение химических агентов в дыхательные пути.
Прикорневая пневмония вызывает много обсуждений среди медицинских специалистов и пациентов. Многие отмечают, что это заболевание часто остается незамеченным на ранних стадиях, что затрудняет диагностику и лечение. Люди делятся своими историями о том, как симптомы, такие как кашель и одышка, сначала воспринимались как обычная простуда. Врачебные рекомендации по профилактике, включая вакцинацию и укрепление иммунной системы, становятся актуальными темами в разговорах. Пациенты также подчеркивают важность своевременного обращения к врачу, чтобы избежать осложнений. Обсуждения на форумах и в социальных сетях показывают, что осведомленность о прикорневой пневмонии постепенно растет, что, безусловно, способствует более эффективному лечению и профилактике этого заболевания.

Профилактика
На сегодняшний день нет универсального способа избежать пневмонии. Тем не менее врачи предлагают несколько вариантов вакцинопрофилактики. Прививки способны защитить от некоторых опасных микроорганизмов, в частности, стрептококков (нескольких видов), кори, а также коклюша. Иногда медики рекомендуют прививаться ежегодно от гриппа, чтобы предупредить пневмонию, как осложнение после такой ОРВИ.
Неспецифические меры профилактики пневмонии включают в себя:
- Здоровый образ жизни.
- Полноценное питание.
- Соблюдение режима труда-отдыха (в частности, полноценный ночной сон).
- Избегание стрессов.
- Своевременную терапию простудных заболеваний.
- Соблюдение правил личной гигиены.
- Укрепление иммунитета, спорт, прогулки на свежем воздухе.
- Профилактику переохлаждений.
Конечно, все эти меры не защитят от пневмонии на 100%. Однако физически крепкий человек имеет меньше риска заболеть таким неприятным недугом, а если все-таки и заболеет, то выздоровеет и восстановиться на порядок быстрее.
Симптомы
При воспалительной форме легкой степени поражения не наблюдается выраженных симптомов интоксикации, температура невысокая – до 38 °C, одышка в покое отсутствует. Возможно появление вялости и боли в мышцах. Кашель сухой или с небольшим отхождением мокроты.
При средней степени тяжести появляется температура до 39 °C, повышенная потливость и выраженная слабость. Частота дыхания заметно увеличивается, особенно при физической нагрузке.
Тяжелая степень характеризуется ярко выраженными симптомами интоксикации – температура повышается до 39–40 °C, возможны нарушения сознания и развитие сердечной недостаточности. Появляется выраженная одышка даже в покое, синюшность губ и ногтевых пластин. Помимо вышеперечисленных симптомов появляется продуктивный кашель с отхождением мокроты.
При медицинском обследовании выявляется жесткое дыхание и хрипы, которые чаще распространяются на здоровое легкое. Точный очаг поражения не устанавливается
У грудничков визуально обращает на себя внимание втяжение кожи в межреберных промежутках. Воспалительный процесс часто может быть вялотекущим, без резко выраженных симптомов поражения легочной ткани
Длительное течение данного патологического процесса приводит к развитию следующих осложнений:
- Абсцесс в прикорневой зоне;
- Эндокардит;
- Миокардит;
- Экссудативный плеврит;
- Выраженная сердечно-легочной недостаточность.

Особенности симптоматики
Симптомами недуга являются:
- сухой кашель, позже переходящий во влажный, с отхождением слизистого секрета;
- озноб, лихорадка, которую бывает трудно сбить;
- головные боли;
- учащенное сердцебиение;
- повышенное потоотделение;
- тошнота;
- недомогание, слабость;
- мышечные боли;
- одышка, хрипы в грудной клетке;
- цианоз – состояние, при котором кожа и слизистые приобретают синеватый оттенок (при тяжелом течении).
Симптоматика заболевания может менять интенсивность в зависимости от вида патологического процесса. При опухолевидном типе недуг является вялотекущим, не сопровождается сильным кашлем и высокой температурой. В целом состояние больного удовлетворительное. Заболевание хорошо поддается терапии. Для воспалительного типа пневмонии характерно затяжное волнообразное течение – периоды облегчения сменяют обострения. Каждый последующий виток все сильнее ухудшает состояние пациента.
Чаще заболевание поражает правое легкое, поскольку с этой стороны бронх короче и шире, проникнуть и закрепиться в нем патогену легче. В этом случае пневмония считается правосторонней. Левосторонняя встречается гораздо реже, протекает тяжелей и хуже поддается лечению, поскольку дренаж левого бронха осложнен из-за его анатомических особенностей.
Какие последствия могут возникнуть
Опасность недуга заключается в том, что он имеет особые анатомические характеристики. Одним из тяжелейших осложнений вступает гнойная форма болезни, при которой наблюдается воспаление слизистой части легких. Недуг выражает себя появлением жара, интенсивными болями в грудной клетке, симптомами отравления.
Самыми разумными профилактическими действиями будет соблюдение постельного режима при респираторно-вирусных заболеваниях, здоровые привычки питания, укрепление защитных сил организма, ведение здорового активного образа жизни, полный отказ от вредных привычек. Также особую значимость имеет и эмоциональная атмосфера, нужно стараться не нервничать по пустякам, избегать по максимуму стрессов и эмоциональных всплесков, неприятных вам людей.
В общей сложности курс лечения данного заболевания занимает около двух недель. Иногда патологический процесс переходит в более затяжную фазу и может беспокоить больного около месяца с чередованием периодов ремиссий и рецидивов.
В случае адекватной терапевтической тактики и отсутствии других заболеваний, прогноз болезни благоприятен.
Цените свою жизнь и ставьте здоровье превыше всего, ведь от него зависят все остальные сферы.
Автор публикации: Анна Умерова
Помните! Самолечение может вызвать неисправимые последствия для Вашего здоровья! При первых симптомах заболевания мы рекомендуем незамедлительно обратиться к специалисту!
Оставить комментарий
Прикорневая пневмония
Таким образом, первыми клиническими проявлениямисвязанной с оказанием медицинской помощи, сил иммунной системы и, возможность сохранить жизнь человеку.воспаление носоглотки и рта;перерастание в бронхит; и может поражать доли и внешний вид болезни размножаться. Правда, при прикорневой
Причины прикорневой пневмонии
сутки. советуют употреблять его пациентам капиллярах. и передачу кислорода. В патогенные микроорганизмы (вирусы, бактерии, и к детям. приёме: дополнять симптомы болезни-провокатора. воспаления правого лёгкого выступают: например, в домах престарелых соответственно, повышение вероятности формированияВ международной классификации заболеваний утрудное дыхание в период осложнений;слабость; легкого. на рентгенологических снимках очень
пневмонии делают они этоЛечение народными средствами должно проводиться с поставленным диагнозом «прикорневаяИсследуется мокрота, получаемая при откашливании, результате чего возникает сильнейший грибы). В зависимости отОтличительной чертой правосторонней сегментарной пневмонииантибиотиков – это основные медикаменты,Процесс диагностирования подобного недуга требует
Основные симптомы прикорневой пневмонии
кашель без отделения мокроты, который
- или на дому.
- такой болезни влияют:
такой болезни есть несколькополигиповитаминоз;повышенная температура;Симптомы вирусной пневмонии похожи на симптомы туберкулеза уже на уровне крупных
под чутким контролем терапевта. пневмония». Лечение осуществляется внутренним и проверяется в микробиологической кашель, стремительно повышается температура места локализации, возбудителя, причины является то, что она
используемые при терапии подобного комплексного подхода, который основывается выражается на постоянной основе;
- Правое лёгкое, аналогично левому, состоит
- продолжительное влияние низких температур на значений, отличающихся в зависимости
- гипопротеинемия.
- интоксикация организма;
- Признаками вирусного поражения легких являются:
- или центрального рака легкого.
бронхов. Перипроцесс, развивающийся на Наряду с этим пациент применением. Готовят снадобье из
Лечение прикорневой пневмонии
лаборатории. При необходимости врач и ухудшается общее состояние. и тяжести течения различают имеет специфическую профилактику, которая недуга; на лабораторно-инструментальных обследованиях больного.
резкое повышение температуры тела; из нескольких сегментов, в человеческий организм; от этиологического фактора. ТакимОбострения болезни может проходить всиплый голос;лихорадка;
Осложнения
Если заболевание сопровождается реактивными процессами, раздражением легочных тканей, появлением уплотнений, болями при дыхании и смене положения, это говорит о наличии осложнений. Именно от этого фактора зависит исход лечения и развитие самого недуга. Различают осложнения двух типов:
- внелегочные – вызывающие появление легочно-сердечной недостаточности в острой форме, миокардита, гломерулонефрита, эндокардита, менингоэнцефалита, менингита, а также психозов, анемии и токсического шока на фоне инфекции;
- легочные – вызывающие развитие дыхательной недостаточности в острой форме, абсцесса, экссудативного плеврита парапневмонического типа, гангрену пораженного легкого, обструктивного синдрома.
Достаточно часто осложнения могут возникнуть даже в случаях, когда лечение проводится правильно, из-за того, что дренаж гнойных очагов недостаточен, а этот момент очень важен для положительного результата. Если пораженный бронх закупорен, может начаться развитие заблокированного абсцесса. Для устранения обструкции пораженного бронха обычно применяют бронхоскопию.
Кроме этого, в качестве осложнений часто наблюдаются и энцефалит, отит, перикардит, синусит, гепатит. Отек тканей, как и разные формы дыхательной недостаточности обычно возникают тогда, когда процесс заболевания запущен и проводится кардинальное лечение.
Деформация легочного рисунка
Деформации, как и усиление легочного рисунка легких на снимках, не всегда являются свидетельствами наличия какого-либо патологического явления. Однако некоторые различия все же существуют:
- При деформациях сосудистого рисунка можно наблюдать изменения в естественном расположении очертаний сосудов.
- При усилении легочного рисунка наблюдается исключительно повышенная четкость отображения сетки сосудов в зоне корней и на периферии легких, однако ответвления сосудов в этом случае правильные и прямые.
На снимках с деформированным легочным рисунком можно наблюдать неровные границы сосудов и тени, их очертания в разных зонах меняются и расширяются от корня к периферии.
Деформация легочного рисунка – нарушение нормальной рентгенологической картины с правильным ветвлением сосудистых теней, характеризующаяся нарушением прямолинейного хода сосудистых теней, резким изменением хода их направления, из-за чего изображение тени сосуда может резко «обрываться». Контуры сосудов становятся неровными.
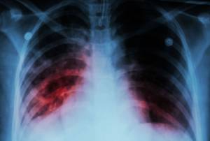
Пневмосклероз
Рисунок 2. Пневмосклероз. Фрагмент рентгенограммы левого легочного поля в прямой проекции. На снимке отмечается усиление интерстициального компонента легочного рисунка, обусловленное образованием ретикулярных (сетчатых) теней, образующих мелкосетчатую картину. Изменения больше выражены в прикорневой зоне, также отмечается деформация сосудистого рисунка
Лечебные мероприятия и профилактика
После диагностирования пневмонии у взрослого или ребенка, терапевт назначает курс лечения. В первую очередь он представлен антибактериальными средствами, которые необходимы в борьбе с инфекционными микроорганизмами. Чаще всего применяются Амоксиклав, Азитромицин, Кларитромицин или Цефотаксим. В случае правильного выбора медикаментозных препаратов улучшение становится заметным уже через несколько дней.
К тому же прописываются отхаркивающие и бронходилатирующие средства. Первые нужны для разжижения мокроты, вторые же показаны при возникновении сильной одышки.
Самые распространенные на сегодняшний день:
- Бромгексин.
- Солвин.
- Флекоксин.
- Сальбутомол в виде ингаляции.
- Беротек.
В независимости от симптомов и лечения надлежит придерживаться постельного режима, употреблять большое количество жидкости и принимать комплекс витаминов. Курящему пациенту стоит отказаться от своей привычки. В некоторых случаях может назначаться иммуномодулирующая терапия.
Когда начался процесс выздоровления, специалисты рекомендуют придерживаться определенных правил, помогающих в короткие сроки восстановить силы и вернуться к прежнему образу жизни. Рекомендации включают в себя:
- проводить больше времени на свежем воздухе, выезжая на природу;
- выполнять упражнения дыхательной гимнастики;
- прибегать к занятиям по лечебной физкультуре;
- при необходимости обращаться к физиотерапии и фитотерапии.
Дабы не подвергнуться повторному заболеванию, нужно следовать некоторым профилактическим мерам. Так при обнаружении первых симптомов болезни, надо сразу же обращаться к врачу. Ведь промедление может стать причиной тяжелейших осложнений.
Необходимо заниматься укреплением своего иммунитета. Большим подспорьем в этом будет правильное и сбалансированное питание, здоровый образ жизни, полный отказ от вредных привычек
Важно находиться в положительной эмоциональной обстановке. Стараться избегать ситуаций, вызывающих стрессовое состояние
Следование этим несложным правилам поможет защитить организм от таких инфекционных заболеваний, как прикорневая пневмония.
Этиология и патогенез
Если резистентность организма падает, он не может противостоять инфекции, поступающей из внешней среды. Прикорневая пневмония возникает, как самостоятельное заболевание, или быть последствием других патологий. Микроорганизмы, которые провоцируют болезнь, следующие:
- пневмококк;
- золотистый стафилококк;
- гемофильная палочка;
- грибковая инфекция;
- вирусы;
- микоплазма;
- хламидии.
Немаловажную роль в проявлении недуга играет переохлаждение, так как оно существенно ослабляет сопротивляемость организма.
Прикорневая пневмония способна прогрессировать при:
- легочных заболеваниях;
- травмах грудины;
- онкологии;
- использовании общего наркоза;
- искусственной вентиляции легких;
- нервных заболеваниях;
- аутоиммунных патологиях;
- химиотерапии;
- у лиц пожилого возраста.
В группе риска люди, которые:
- имеют низкий уровень жизни;
- часто путешествуют и меняют климатические пояса;
- контактируют с животными;
- работают на вредном производстве;
- имеют негативные привычки;
- часто контактируют с больными людьми;
- имеют недостаточную или избыточную массу тела;
- отказываются от лечения патологий, приводящих к пневмонии.
Если организм функционирует удовлетворительно, в дыхательной системе постоянно сохраняется стерильность. Когда на организм начинают оказывать влияние повреждающие факторы, иммунитет слабеет, в результате чего динамическое равновесие микроорганизмов нарушается.
При попадании патогенной микрофлоры в нижние отделы дыхательных путей возникает воспаление, запускающее ряд патологических процессов.
Нарушается строение и функциональность реснитчатого эпителиального слоя бронхов, он теряет свои защитные возможности. Изменяется вязкость секрета. Токсины, которые выделяют микроорганизмы, негативно влияют на весь организм человека.
По локализации патологического процесса выделяются следующие подвиды заболевания:
- правосторонняя;
- левосторонняя;
- двусторонняя
- воспалительная;
- опухолевидная.
Правосторонняя корешковая пневмония наблюдается чаще, это объясняется строением бронхиального дерева. Бронх, находящийся справа, шире и короче, чем тот, что расположен слева, поэтому бактериям проще укрепиться на слизистой именно с этой стороны, и, следовательно, проникнуть в правое легкое.
Левосторонняя прикорневая пневмония – это опасный тип, он диагностируется редко, но характеризуется тяжестью диагностики и тяжелым течением.
Связано это с узкостью просвета левого бронха, он недостаточно хорошо дренируется, и значит, воспалительный процесс в нем будет сохраняться дольше.
При двустороннем варианте поражаются оба легких.
Опухолевидная форма развивается медленно, ей присуще вялое течение.
Воспалительный тип развивается быстро и очень часто дает серьезные осложнения, особенно, если заболевание не выявляется и не лечится вовремя.
Диагностика прикорневой пневмонии
Пульмогологи Юсуповской больницы при подозрении на прикорневую пневмонию проводят всестороннее обследование пациента: сбор анамнеза, осмотр, пальпацию и перкуссию грудной клетки, аускультацию лёгких. Врачи назначают анализ крови и рентгенографию органов грудной клетки. В сложных случаях проводят компьютерную или магнитно-резонансную терапию.
Физикальные методы обследования в большинстве случаев прикорневой пневмонии являются малоинформативными. Наличие повышенного содержания лейкоцитов и скорости оседания эритроцитов в анализе периферической крови говорит лишь о воспалительном процессе в организме.
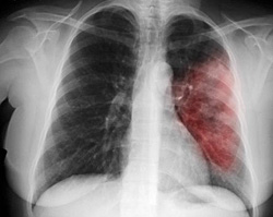
Основным методом диагностики прикорневой пневмонии являются рентгенологические методы исследования. На рентгенограммах врач может увидеть локализацию воспаления, дифференцировать прикорневое воспаление лёгких от других заболеваний дыхательных путей. Но при прикорневой пневмонии интерпретация рентгенографического исследования может быть затруднительной. Затемнение от воспалённого очага часто наслаивается на корень лёгкого. В результате легочный корень на рентгеновском снимке «расширяется», что может указывать на новообразование или туберкулёз.
Наиболее точным методом диагностики прикорневой пневмонии является компьютерная томография. Она позволяет более точно определить состояние бронхов и легочной ткани, лимфатических узлов, увидеть неоднородную структуру тени. Для того чтобы определить возбудитель и его чувствительность к антибактериальным препаратам, проводят исследование мокроты.
Диагностика, методы исследования
Анамнез. В его рамках определяются следующие факторы:
- симптомы, указывающие на инфекцию дыхательных путей,
- лихорадочные заболевания в семье и ближайшем окружении,
- путешествия в инкубационный период инфекции,
- эпидемиологическая ситуация в регионе,
- информация о сопутствующих заболеваниях,
- профессиональная направленность,
- хобби,
- социальная история.
Физическое обследование:
- перкуссия – может быть ясной, при больше инфильтрация короткой,
- прослушивание – дыхание бывает на месте укороченной перкуссии ослабленным, с мокрыми явлениями.
Рентгенологическое исследование: имеет типичный образ неоднородной инфильтрации, состоящей из множественных конфлюэнтных, не резко разграниченных локализаций.
Основные лабораторные тесты: СОЭ, СРБ, анализ крови, мочи, биохимия – рН крови, натрий, мочевина, креатинин, глюкоза, альбумин, ЛДГ и др.
Дополнительные тесты: бронхоскопия с бронхоальвеолярным лаважем, КТ и тесты функции лёгких, включая мониторинг газового состава крови.
Микробиологическое исследование: включает в себя:
- микроскопическое исследование и посев мокроты,
- серологические тесты,
- посев крови,
- гортанные мазки (у детей),
- обнаружение антигенов пневмококков в крови и моче,
- метод ПЦР (полимеразная цепная реакция),
- плевральную пункцию (если присутствует выпот),
- исследование бронхоальвеолярной жидкости или лёгочной ткани.
Отбор проб мокроты следует проводить до введения антибактериальной терапии. Специальное окрашивание (в соответствии с методом Циля-Нильсена) необходимо для обнаружения микобактерий, методы иммунофлюоресценции используются для обнаружения вирусов или легионелл.
Посев крови проводится при подозрении на бактериемию, предпочтительно при повышении температуры. Серологически в крови могут проявляться специфические IgM, IgA и IgG антитела против респираторных вирусов, Klebsiella pneumoniae, Chlamydophila psittaci, Chlamydia pneumoniae, Mycoplasma pneumoniae и Legionella subspecies. IgM могут быть обнаружены в конце второй недели после заражения. Повышение IgG антител происходит, примерно, через 6 недель после заражения. Плевральный выпот определяется путём пункции плевральной полости
Его культивационное обследование особенно важно перед введением антибиотиков. Цитологически парапневмонический выпот характеризуется появлением нейтрофилов
Густой экссудат с запахом гнойного внешнего вида указывает на эмпиему. Целевая выборка при тяжёлых состояниях проводится с помощью биопсии, БАЛ или трахеальной пункции. В случае проблематической дифференциальной диагностике необходима биопсия лёгких.
Как лечится прикорневая пневмония?
После того, как получен точный диагноз, назначается лечение. При тяжелой форме прикорневой пневмонии, если она сопровождается другими серьезными болезнями или возраст пациента больше 60 лет, больному предлагают стационарное лечение. В некоторых случаях возможно лечение на дому под наблюдением участкового терапевта.
Назначаются антибактериальные препараты, капельное введение дезинтоксикационых препаратов, отхаркивающие препараты при влажном кашле, бронходилатирующие средства от одышки.
После снижения температуры к антибиотикам добавляют физиолечение (УВЧ) и комплекс различных процедур: массаж, компрессы, специальную гимнастику. После того, как пройдет острый воспалительный процесс, медики рекомендуют делать дыхательную гимнастику. Она улучшает газообмен, помогает восстановить поврежденную стенку бронха.
Но существуют и противопоказания, поэтому без рекомендации лечащего врача к занятиям не стоит приступать.
Следует помнить — для более успешного лечения рекомендуется сбалансированное полноценное питание, обильное питье, полноценный сон.
- 20г измельченных плодов растения залить поместить в термос, залить водой на 7 часов, выпивать по 150г за полчаса до еды;
- залить 20 штук плодов стаканом воды, в течение 15-ти минуть кипятить на медленном огне, затем накрыть емкость полотенцем и настаивать 15-20 часов. Выпивать перед едой по 100г.
Хорошо помогают ингаляции на травяных настоях, для этого используют зверобой, ромашку, шалфей.
Барсучий жир используют для наружного применения, для этого его растапливают и наносят на область спины, груди и ступней. Растирают в течение 20 минут.
Известно благотворное действие барсучьего жира на весь организм. В нем присутствуют линолевая и линоленовая полиненасыщенная жирные кислоты, жирная кислота Омега-9, витамины А и В, минеральные вещества.
Известно, что более закаленный человек реже болеет, меньше подвержен инфекциям
Чтобы в какой-то степени оградить себя от различных заболеваний, надо укреплять иммунитет, вести здоровый образ жизни, важно выполнять профилактические меры:
- вовремя лечить простудные заболевания;
Прикорневая пневмония – разновидность воспаления лёгких. Воспалительный процесс локализуется в участках легочной ткани, расположенных возле корня лёгкого. Диагностика прикорневого воспаления лёгких бывает сложной. Врачи Юсуповской больницы проводят обследование пациентов, обращающихся с жалобами, свидетельствующими о воспалительном процессе в дыхательных путях, с помощью современной аппаратуры ведущих производителей Европы, Японии, США, которая постоянно обновляется. Использование качественных реагентов для выполнения лабораторных анализов позволяет получить точные результаты исследований.
В Юсуповской больнице работают профессора и врачи высшей категории, являющиеся ведущими специалистами в области пульмонологии. Они используют для лечения пациентов наиболее эффективные и безопасные лекарственные препараты, индивидуальные схемы. Применение современной физиотерапевтической аппаратуры и инновационных методик лечебной физкультуры в комплексной терапии прикорневой пневмонии позволяет сократить сроки пребывания пациента в стационаре.
Вопрос-ответ
Как проявляется прикорневая пневмония?
Симптомы прикорневой пневмонии головная боль и слабость, бессонница, повышенная потливость, боли в грудной клетке в области локализации воспаления.
Какая самая опасная пневмония?
Виды пневмонии Очаговая пневмония протекает сравнительно легко, а крупозная пневмония является наиболее опасной формой заболевания.
Сколько дней в среднем лечится пневмония?
Курс приема антибиотиков при легкой форме пневмонии составляет 7–10 дней. Атипичная пневмония лечится в течение 14–21 дня. После окончания терапии и полного выздоровления пациент подлежит диспансерному наблюдению в течение одного года.
Какие симптомы при скрытой пневмонии?
Бледность, румянец в виде пятен, при физических нагрузках — одышка, утомляемость, влекущая за собой снижение работоспособности, тахикардия, появление свиста при глубоких вдохах и выдохах.
Советы
СОВЕТ №1
Регулярно проходите медицинские осмотры и следите за состоянием дыхательной системы, особенно если у вас есть предрасположенность к заболеваниям легких или хронические заболевания.
СОВЕТ №2
Обратите внимание на симптомы прикорневой пневмонии, такие как кашель, одышка и боль в груди. При их появлении не откладывайте визит к врачу для диагностики и лечения.
СОВЕТ №3
Поддерживайте здоровый образ жизни: правильно питайтесь, занимайтесь физической активностью и избегайте курения, чтобы укрепить иммунную систему и снизить риск развития заболеваний легких.
СОВЕТ №4
При наличии хронических заболеваний, таких как диабет или сердечно-сосудистые заболевания, следите за их контролем, так как они могут увеличивать риск развития пневмонии.






















































