Помощь народных средств
Лечение народными средствами диффузного пневмосклероза похоже на лечение хронического бронхита. Чтобы был положительное действие, нужно бросить курить, и принимать лекарства регулярно.
Несколько эффективных средств при таком заболевании:
- Употребление большого количества сухофруктов натощак, особенно изюма и кураги. Это помогает убрать застой в органах дыхания, является мочегонным средством.
- Использовать настой из трав: тимьяна, овса посевного или эвкалипта. ложку выбранной травы залить стаканом кипятка и оставить настаиваться на 8-9 часов. Пить вместо чая весь день.
- Сварить луковицу, перетереть с ложкой сахара. Употреблять через каждые 2 часа по ложке смеси каждый день. Можно сварить лук не в воде, а в молоке, тогда эффективность немного повысится.
- Смешать в емкости 2 стакана красного вина, добавить измельченные 2 листа алоэ и 2 ложки меда. Настаивать нужно в прохладном помещении на протяжении 2 недель. Принимать по чайной ложке перед употреблением пищи 3 раза в день.
- Каждый день принимать тертую свеклу. Она поможет восполнить организм полезными минералами и витаминами.
- Сделать настой из крапивы. Залить 200 г сухой травы 0,5 литра водки. Настаивать 5-7 дней. Употреблять по чайной ложке дважды в день.
- Смешать в равных количествах измельченные корни омана и ягоды шиповника. ложку полученной смеси залить 300 мл воды и проварить на медленном огне 15-20 минут. После, перелить в емкость с крышкой и оставить настаиваться на 3-4 часа. Пить вместо чая трижды в день по 100-1500 мл перед едой.
- При таком заболевании хороший результат дают семена аниса. ложку семян залить стаканом воды и прокипятить. После остывания употреблять по половине стакана дважды в день.
- В подогретое молоко добавить несколько щепоток семян аниса, ложку меда и щепотку кайенского перца. Пить нужно перед сном каждый день.
- Хорошо помогает имбирь, добавленный в чай.
- Эффективно принимать ликер из розмарина. Измельчить 50 г розмарина, и залить 0,5 литрами красного вина, добавить несколько ложек меда или сахара. Поставить на огонь, как только закипит, сразу выключить. Настаивать нужно 2-3 дня, употреблять по ложке после каждой еды.
- Взять корень хрена и натереть на мелкой терке, добавить такое же количество меда, все тщательно смешать и употреблять по ложке несколько раз в день.
- Взять несколько листков столетника, помыть и измельчить. Добавить несколько ложек меда, тщательно перемешать и влить в полученную смесь 2 стакана красного вина. Настаивать минимум 5 дней, употреблять по одной ложке перед едой.
Во время этого заболевания важно правильно питаться, не переедать и употреблять как можно больше молочных продуктов, продуктов растительного происхождения. Меньше есть жаренную и острую пищу, сократить употребление алкоголя
Врачи отмечают, что пневмосклероз легких является серьезным заболеванием, характеризующимся замещением легочной ткани соединительной. Основные признаки включают одышку, хронический кашель и снижение физической активности. На ранних стадиях заболевание может проявляться незначительно, однако с прогрессированием симптомы усиливаются, что значительно ухудшает качество жизни пациента.
Лечение пневмосклероза, по мнению специалистов, должно быть комплексным и индивидуальным. Врачи рекомендуют применять противовоспалительные препараты, бронхолитики и кислородную терапию. В некоторых случаях может потребоваться хирургическое вмешательство.
Что касается продолжительности жизни, то она зависит от степени поражения легких и своевременности лечения. При ранней диагностике и адекватной терапии пациенты могут прожить много лет, однако в запущенных случаях прогноз может быть неблагоприятным. Врачи подчеркивают важность регулярных обследований и профилактических мер для снижения риска развития осложнений.

Симптомы диффузного пневмосклероза
Симптомы диффузного пневмосклероза специфические. Так, изначально человек чувствует исключительно отдышку. На первых порах она появляется при физической нагрузке, а в дальнейшем и в состоянии покоя. Кожные покровы человека становятся цианотичного оттенка. Происходит это из-за снижения вентиляции альвеолярной ткани легких.
Самым характерным признаком является симптом пальцев Гиппократа. Они меняют форму и становятся похожими на барабанные палочки. Диффузный пневмосклероз сопровождается явлениями хронического бронхита. Пациентов начинает беспокоить кашель, который в первое время затяжной, а в дальнейшем навязчивый.
Утяжеляет течение пневмосклероза основное заболевание. Это может быть хроническая пневмония или бронхоэктатическая болезнь. Возможно, появление ноющей боли в груди, слабость, повышенная утомляемость и похудание. В некоторых случаях развиваются признаки цирроза легкого. Это грубая деформация грудной клетки, атрофия межреберных мышц, смещение сердца, крупных сосудов и трахеи в сторону поражения. Диффузный пневмосклероз сопровождается гипертензией малого круга кровообращения и симптомы легочного сердца.
Диффузный пневмосклероз и эмфизема легких
Нередко диффузный пневмосклероз и эмфизема легких «ходят» друг с другом. Последнее заболевание является серьезным последствием первого. Под эмфиземой понимается повышен¬ное содержание воздуха в легких. Данное заболевание может быть как очаговым, так и диффузным.
Пневмосклероз же, в свою очередь представляет склероз легочной ткани, развивающийся в исходе хронического или дистрофического процесса. Его можно отнести к конечной стадии хронической пневмонии. Более того, он имеет немало общих клинических черт с ней.
Важную роль в этиологии эмфиземы легких и пневмосклероза играет хронический бронхит и связанное с ним инфицирование стенки бронхов с нарушением бронхиаль¬ной проходимости. Нарушение вентиляции и скопление мокроты в мелких бронхах приводит к развитию эмфиземы легких и пневмосклероза. Ускорить данное явление может любое заболевание, которое сопровождается бронхоспазмом. Поэтому диффузный пневмосклероз легче предупредить, нежели лечить.
Пневмосклероз легких — это серьезное заболевание, которое вызывает изменения в легочной ткани, приводя к ее уплотнению и снижению функциональности. Люди, столкнувшиеся с этой проблемой, отмечают такие признаки, как одышка, хронический кашель и усталость. На начальных стадиях заболевания симптомы могут быть слабо выражены, что затрудняет диагностику. Лечение пневмосклероза обычно включает медикаментозную терапию, направленную на улучшение дыхательной функции и замедление прогрессирования болезни. В некоторых случаях может потребоваться кислородная терапия или даже хирургическое вмешательство. Продолжительность жизни пациентов зависит от степени поражения легких и своевременности лечения. Многие люди подчеркивают важность регулярных медицинских осмотров и ранней диагностики для повышения качества жизни и продления ее продолжительности.

Диффузный умеренный пневмосклероз
Диффузный умеренный пневмосклероз носит аналогичную картину, как и основной вид заболевания. Правда, для него характерно более простое течение. Естественно, пневмосклероз оказывает сильнейшее «давление» на организм. Изначально человек может и не почувствовать у себя наличие данного заболевания. Все происходит постепенно. Начиная от легкой отдышки во время физической нагрузки и заканчивая серьезными сбоями дыхания в состоянии покоя.
С таким симптомом нужно немедленно обращаться к врачу. Ведь, по сути, это серьезное заболевание, которое в дальнейшем может «набрать обороты». Несмотря на то, что диффузный пневмосклероз сам по себе является последствием заболеваний, связанных с проблемами органов дыхания. Он также способен привести к развитию более «страшных» последствий. Все это негативно сказывается на организме человека и его жизнедеятельности. Умеренный диффузный пневмосклероз обычно не несете серьезной опасности, но, несмотря на это он должен быть вовремя выявлен и устранен.
Прогноз и профилактика
На данном этапе излечение от диффузного пневмосклероза невозможно, а морфологические изменения, возникающие в легких, необратимы. Все лечебно-профилактические мероприятия могут лишь замедлить прогрессирование склеротических изменений, способствовать достижению приемлемого качества жизни и продлению активности на 10-15 лет. Исход диффузного пневмосклероза зависит от тяжести течения основного заболевания и скорости прогрессирования склеротических изменений в легких. Неблагоприятным прогностическим признаком служит формирование легочного сердца. Гибель пациентов часто наступает вследствие присоединения бактериальной инфекции, пневмомикоза, туберкулеза.
С целью предупреждения диффузного пневмосклероза рекомендуется исключить контакт с пневмотоксическими веществами и аллергизирующими факторами, осуществлять своевременное и рациональное лечение легочных инфекций и неинфекционных поражений легких, соблюдать правила производственной безопасности, с осторожностью применять лекарственные средства
| Литература1. Пропедевтика внутренних болезней/ Василенко В.Х. Гребенев А.Л. – 2001.2. Учебное пособие по врачебно-трудовой экспертизе/ НОВИКОВ А.А. и др. -1975.3. Пневмофиброзы и эмфизема легких/ Гастева З. А., Нешель Е. В., Успенская В. Г. – 1965. |
Диффузный пневмосклероз
Причины пневмосклероза
Пневмосклероз нередко сопровождает течение некоторых заболеваний легких, также он может возникнуть в результате ряда таких болезней. Среди недугов, с которыми он связан, необходимо отметить следующие:
- неразрешившиеся инфекционные, вирусные, аспирационные пневмонии, туберкулез, микозы;
- ателектаз легкого, длительные массивные плевриты;
- пневмокониозы, возникновение которых связано с вдыханием промышленных газов и пыли, лучевые поражения;
- наследственные заболевания легких;
- инородные тела в бронхах;
- травмы и ранения грудной клетки и легочной паренхимы.
Нередко пневмосклероз возникает как реакция на недостаточный объем и эффективность противовоспалительной терапии при лечении перечисленных выше заболеваний.
Известны случаи, когда пневмосклероз развивался в результате нарушений малого круга кровообращения, из-за приема токсических пневмотропных лекарственных средств, в результате воздействия ионизирующего излучения, а также у пациентов со сниженной иммунной реактивностью.
Постпневмонический пневмосклероз может стать последствием неполного излечения от воспаления легких, что приводит к разрастанию соединительной рубцовой ткани и облитерации просвета альвеол. Также на его возникновение влияют стафилококковые пневмонии, в результате которых образуется некроз легочной паренхимы и формируется абсцесс, при заживлении которого разрастается фиброзная ткань.
Пневмосклероз может возникнуть после того, как организм перенесет туберкулез, в этом случае заболевание характеризуется разрастанием соединительной ткани в легких и развитием околорубцовой эмфиземы.
Диффузный пневмосклероз различных типов (перибронхиальный, перилобулярный) может быть последствием хронических бронхитов и бронхиолитов.
Плеврогенный пневмосклероз развивается при длительно текущих плевритах: в этой ситуации в воспалительный процесс вовлекаются поверхностные слои легкого.
Диффузный пневмосклероз с формированием т.н. «сотового легкого», как правило, является следствием фиброзного альвеолита или лучевого поражения.
Также существует такая разновидность заболевания, как кардиогенный пневмосклероз, — оно развивается из-за пропотевания жидкой крови в легочную ткань, вызванного сердечной левожелудочковой недостаточностью и стенозом митрального клапана.
Вне зависимости от конкретной причины возникновения этой патологии при пневмосклерозе нарушаются:
- вентиляционная функция легких;
- дренажная способность бронхов;
- циркуляция крови и лимфы в бронхах.
Факторы риска
Факторами, способными вызывать развитие пневмосклероза, являются:
- Длительное курение.
- Наследственная предрасположенность.
- Склонность к аллергическим реакциям.
- Регулярное вдыхание асбеста, угольной пыли, помета животных или птиц.
- Паразитарные заболевания.
- Возраст. Пневмосклероз легких у пожилых людей бывает обусловлен возрастным снижением эластичности легочной ткани.
Длительное курение является фактором, который способен вызвать пневмосклероз легких
Также увеличивает риск возникновения такой патологии употребление некоторых препаратов для химиотерапии, лечения болезней сердца.
Как и чем лечить диффузный пневмосклероз?
Все способы лечения данного заболевания в первую очередь ориентированы на лечение болезней его вызвавших. В этом случае имеют место быть как терапия лекарственными средствами, так и рецепты народной медицины.
- В первую очередь для улучшения бронхиальной проходимости, специалисты могут назначить препараты, способные разжижать мокроту, скопившуюся в бронхах и, обладающие отхаркивающим эффектом.
- Бронхоспазмолитическое средство прекрасно поможет при отдышке.
- Глюкокортикоиды – при проявлении аллергических реакций.
- При периодическом заболевании пневмонией или бронхитом лечащий врач может назначить проведение антибактериальной, противовоспалительной терапии.
- Так же эффективно, как и лекарственная медицина, может помочь справиться с заболеванием лечебная физкультура. Очень хорошо бы начать заниматься плаванием и делать несложные гимнастические упражнения после пробуждения.
- Физиотерапия, оксигенотерапия и простой массаж грудной клетки будут весьма полезными сопровождающими в лечении пневмосклероза. Для достижения более быстрого и лучшего эффекта настоятельно рекомендуется как можно быстрее избавиться от таких пагубных привычек как курение и употребление алкогольной продукции.
- Хирургическое вмешательство при диффузном пневмосклерозе является крайней мерой, когда обычная терапия не дает положительного результата. Его назначают в случае образования ограниченного пневмосклероза, фиброза, цирроза. В этом случае хирург удаляет пораженную часть легкого.
Рецепты народной медицины при диффузном пневмосклерозе
Уже не одно столетие люди прибегают к народной медицине, как к способу излечения различных болезней и диффузный пневмосклероз не исключение. Итак, несколько действенных народных рецептов:
- В 200 грамм сухой крапивы добавляем пол литра водки, горлышко сосуда покрываем марлевой повязкой. Настой необходимо выдержать не менее 24 часов в солнечном месте, потом не менее 6 дней в темном месте. Далее настой нужно процедить и отжать. Полученное средство необходимо принимать на голодный желудок с утра и за полчаса до сна по 1 чайной ложке.
- Очень благоприятный эффект оказывает лечение листьями эвкалипта. Хорошо их измельчаем и вливаем пол литра горячей кипяченой воды. Настаиваем не более 15 минут. Чтобы эффект был быстрее, а вкус настоя приятнее, можно добавить пару ложек меда.
- Большую головку репчатого лука очень мелко нарезаем. Варим его в воде с добавлением сахара или меда. Когда лук станет прозрачным, процеживаем и принимаем в течение всего дня по ложке.
- Положительное воздействие оказывает ежедневное полоскание ротовой полости. Любой травяной сбор (например, ромашковый) заливаем горячей кипяченой водой, настаиваем около получаса. Полощем горло по 5-6 раз в день. Так же любой грудной сбор, который продается в аптечном киоске подойдет для принятия внутрь.
- Для лечения с помощью ингаляций в домашних условиях можно использовать такие травы как, череда, мята, солодка, ромашка, тысячелистник. Можно использовать их по отдельности, а можно вместе. Берем несколько видов трав (4-5 ложек) и заливаем крутым кипятком, доводим до кипения. После того как отвар закипел, накрываемся тонким покрывалом и дышим паром. Вдыхать травяные пары необходимо носом, а выдыхать ртом, до того времени, пока отвар полностью не остынет.
- В пол стакана физиологического раствора разбавляем четверть таблетки валидола, доводим до кипения и дышим лечебными парами.
Первое правило профилактики – не допускать возникновения острого заболевания дыхательной системы. При первых признаках простудного заболевания, бронхита, пневмонии нужно незамедлительно приступать к лечению.
Абсолютно избавиться от такого заболевания, как диффузный пневмосклероз просто невозможно. Периодически он будет напоминать о себе. Исходя из этого, человеку, который приобрел этот недуг нужно задуматься о здоровом образе жизни. Нужно стараться чаще проводить время на свежем воздухе, исключить курение и употребление алкоголя.
https://youtube.com/watch?v=cwQNlzUWBRA
Этиология и симптоматика
Причины, по которым развивается данный недуг, могут отличаться. В большинстве случаев болезнь возникает вследствие пневмонии или туберкулеза. Нередко причиной диффузного склероза становятся различные травмы, плевриты или ранения легочной паренхимы. Также большую роль играет наследственность. Если родители страдали легочным пневмосклерозом, то вероятность возникновения недуга у детей повышается на 20-30%.
Последние исследования в области медицины выявили, что часто диффузный пневмосклероз прогрессирует на фоне гемодинамический нарушений, возникающих в малом круге кровообращения. Еще было выявлено, что хронические заболевания сердечно-сосудистой системы значительно повышают риск развития пневмосклероза легких.
Симптомы болезни очень специфичные. У большинства людей болезнь протекает скрыто. Однако с течением времени у больного может появиться одышка. Она возникает после изнурительных тренировок. Кроме того, диффузный пневмосклероз проявляет себя изменением цвета кожи. Обычно кожный покров приобретает цианотичный оттенок. Помимо одышки и изменения цвета кожных покровов, при развитии недуга появляются следующие признаки:
- Симптом пальцев Гиппократа. У больного меняется форма пальцев.
- Кашель. С течением времени он приобретает хронический характер.
- Ноющая боль в области грудной клетки. Такой признак появляется лишь в том случае, если диффузный пневмосклероз возникает на фоне хронической пневмонии.
- Упадок сил. Этот симптом возникает практически во всех случаях.
В редких случаях на фоне диффузного пневмосклероза возникают признаки цирроза легких. У пациента может деформироваться грудная клетка или атрофироваться межреберные мышцы. В тяжелых случаях сердце и крупные кровеносные сосуды начинают смещаться.
Диагностика
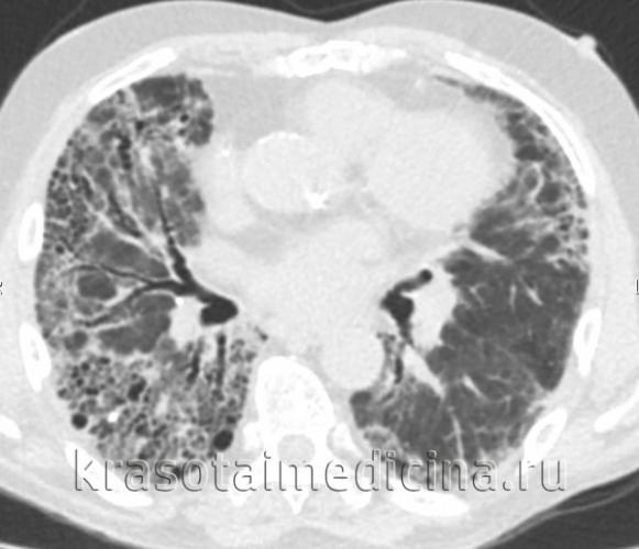
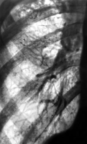
Рентгенологическая картина полиморфная, потому что показывает проявления не только самого пневмосклероза, но и сопутствующих болезней: эмфиземы легких, бронхоэктатической болезни, бронхита с хроническим течением и проч. Типичные петлистость, усиления и деформация легочного рисунка по ходу бронхиальных разветвлений, поскольку уплотняются бронхиальные стенки, имеют место склероз и инфильтрация перибронхиальной ткани.
Бронхография показывает девиацию или сближение бронхов, сужение и отсутствие мелких бронхов, деформацию стенок. Спирография является эффективным диагностическим методом при подозрении на пневмосклероз, выявляет уменьшение ЖЕЛ, ФЖЕЛ, индекса Тиффно.
Над пораженной зоной физикальные обследования обнаруживают ослабление дыхания, сухие или влажные хрипы, притупление перкуторного звука. Достоверным диагностическим методом является и исследование легких. Даже если симптомов нет, рентген помогает обнаружить изменения при их наличии, характер их, распространенность, то, насколько они выражены. Более точно оценить состояние нездоровых зон ткани легких могут магнитно-резонансная томография, бронхография, КТ легких.
Рентгенограмма показывает такие изменения пораженного легкого:
- уменьшение его в размерах
- усиление легочного рисунка по ходу разветвлений бронхов
- легочный рисунок сетчатый и петлистый по причине деформации стенок бронхов
- «сотовое легкое» в нижних отделах
Флюорография при пневмосклерозе
При любых жалобах на кашель и любую дыхательную симптоматику, нужно пройти обязательно флюорографическое обследование органов грудной клетки. Каждый год в целях профилактики и раннего выявления пневмосклероза, туберкулеза и прочих подобных заболеваний все лица от 14 лет должны проходить медицинский осмотр. При пневмосклерозе снижается жизненная емкость легких, низкий индекс Тиффно (который является показателем проходимости бронхов).
Пневмосклероз – симптомы
В начальной стадии заболевания пациент может не догадываться о своей болезни, потому что симптомы будут проявлять себя в незначительной степени. При увеличении площади поражения признаки пневмосклероза усиливаются. В симптомокомплекс заболевания входят:
- Кашель. Изначально у пациента будут легкие покашливания, которые постепенно переходят в кашель с мокротой.
- Одышка. Сначала этот симптом отмечается при физнагрузках. При обширном поражении одышка появляется и в состоянии покоя.
- Головокружения, утомляемость, головные боли. Недостаток кислорода приводит к появлению астенического синдрома.
- Бледная или синюшная кожа. Этот признак зависит от обширности поражения, приводящего к нарушению снабжения организма кислородом.
- Деформация грудной клетки, ее западание.
Очаговый пневмосклероз
Очаговый или локальный пневмосклероз охватывает небольшую часть легкого. Легочная паренхима при этом виде заболевания уменьшается, как бы подсыхая, и уплотняется. При очаговом пневмосклерозе пациент может не ощущать симптомов. Здоровая часть легкого компенсирует пораженный участок, поэтому организм продолжает получать достаточное количество кислорода. Если очаг поражения крупный, пациент может отмечать у себя приступы кашля с вязкой и гнойной мокротой.
Диффузный пневмосклероз
Диффузный пневмосклероз легких охватывает орган целиком. Иногда он может распространяться одновременно на два легких. При этом виде заболевания ткань легкого меняет свою структуру и теряет эластичность, легкие уменьшаются в размерах. Из-за этого снижается функциональность органа, что приводит к ухудшению работы всего организма. Недостаток кислорода уменьшает работоспособность пациента, приводит к болям в разных органах, обострению хронических заболеваний.
Пневмосклероз — лечение
Рассматривая пневмосклероз легких, что это такое и как его диагностировать, врачи уделяют пристальное внимание борьбе с болезнью. Если пациенту поставлен диагноз пневмосклероз легких, лечение должно носить комплексный характер
В него входит:
- лечение аптечными препаратами: антибиотиками, бронхолитическими, противовоспалительными, отхаркивающими, муколитическими;
- физиотерапия: электрофорез, индуктометрия, ультразвуковые процедуры;
- лечение стволовыми клетками — инновационный метод лечения;
- оксигенотерапия, помогающая поддерживать кислородный состав организма;
- ЛФК, сюда входит плавание и дыхательные упражнения.
Лечение пневмосклероза — препараты
Лечение пневмосклероза включает такие группы медикаментов:
- Антибиотики. Необходимы для снятия воспалений, особенно при появлении гнойных процессов. Эффективны при пневмосклерозе такие антибиотики: Олететрин в сочетании с Сульфапиридазином, Азитромицин, Амоксициллин, Ципрофлоксацин.
- Отхаркивающие средства. Применяются для размягчения мокроты и ее выведения из организма: Бромгексин, Ацетилцистеин, Амброгексал.
- Сердечные препараты. Используются при появлении сердечной недостаточности, вызванной проблемами с дыханием. В таком случае назначаются следующие лекарства: Корвалол, Дигоксин, Целанин, Аспаркам, Панангин.
- Антигистаминные препараты. Назначаются при наличии аллергической реакции. Эффективны при таком заболевании следующие лекарства: Супрастин, Тавегил.
Физиотерапия при пневмосклерозе
Физиотерапевтические процедуры способствуют ускорению выздоровления и остановке воспалительного процесса. При пневмосклерозе используются следующие методы физиотерапии:
- электрофорез с добавлением йода для улучшения отделения слизи;
- ингаляции: при пневмосклерозе можно применять ингаляции ультразвуковые, масляные, воздушные, паровые и тепловлажные;
- облучение лампой соллюкс или ультрафиолетовой;
- ультразвуковая процедура с добавлением новокаина;
- ионофорез с добавлением новокаина или хлорида кальция;
- индуктометрия для улучшения дыхательной функции.
Лечение пневмосклероза народными средствами
Лечение пневмосклероза легких народными средствами может являться частью комплексной терапии, но не заменять ее. Эффективны при пневмосклерозе следующие народные рецепты.
Рецепт настойки алоэ
Ингредиенты:
- листья алоэ – 5 штук;
- мед – 2 ст. л.;
- домашнее вино – 2 стакана.
Приготовление и применение
- Листья алоэ необходимо срезать, вымыть и положить в холодильник на сутки.
- Листья измельчить при помощи мясорубки.
- В кашицу из алоэ добавляют мед.
- Добавляют вино, и все перемешивают.
- Выливают настойку в стеклянную тару и помещают в холодильник.
- Пьют за 20 минут до еды трижды в день по 1 ст. л.
Рецепт лукового отвара
Ингредиенты:
- луковицы – 2 штуки;
- сахар – 2 ст. л.;
- вода – 2 стакана.
Приготовление и применение
- Луковицы очищают и режут.
- Из сахара и воды готовят сироп.
- Лук кладут в сироп и варят до получения прозрачного цвета.
- Пьют 10 раз в день по 1 ст. л.
Лечение пневмосклероза стволовыми клетками
Инновационным методом в вопросе, как лечить пневмосклероз, стало лечение стволовыми клетками. Этот способ лечения хорошо зарекомендовал себя на начальной стадии заболевания, но может помочь и при диагнозе умеренный пневмосклероз. Суть метода заключается в подсаживании в кровь пациента стволовых клеток. При попадании в легкие эти клетки находят пораженные участки и замещают в них больные клетки, восстанавливая ткань легкого. На данный момент метод является дорогостоящим и применяется в ограниченном количестве клиник.
Пневмосклероз – операция
Тем, кому поставлен диагноз пневмосклероз легких, важно знать, что это такое за заболевание, и можно ли его вылечить. Заболевание пневмосклероз в большинстве случаев лечится фармацевтическими препаратами и физпроцедурами
Изредка врачи принимают решение о необходимости хирургического вмешательства. В таком случае удаляют часть пораженного легкого или весь орган, чтобы предотвратить дальнейшее распространение болезни. Проведенная операция позволяет пациенту вернуться к нормальной жизни. Хирургическую операцию могут назначить в таких случаях:
- поражение обширного участка легкого;
- гнойные процессы;
- цирроз, фиброз или эмфизема легкого.
Вопрос-ответ
Можно ли жить с пневмосклерозом?
Прогноз заболевания и ответ на вопрос, сколько живут с пневмосклерозом, будут зависеть от того, как быстро прогрессирует заболевание, какие у пациента уже есть осложнения, с какой скоростью развиваются дыхательная и сердечная недостаточность.
Что будет, если не лечить пневмосклероз?
Цирроз. Тяжелая форма пневмосклероза, при которой происходит замещение значительной площади легких соединительной тканью: структуры легочной системы уплотняются и полностью прекращают выполнять свои функции. Органы грудной клетки при этом смещаются, что вызывает дополнительные проявления патологии.
Какие препараты назначают при пневмосклерозе?
Обязателен прием симптоматических препаратов: противокашлевых, муколитиков (для улучшения отхождения мокроты), противовоспалительных. При явлениях сердечной недостаточности применяют сердечные гликозиды и препараты калия, при наличии аллергического компонента и диффузного пневмосклероза – глюкокортикоиды.
Что значит пневмосклероз?
Пневмосклерозом называется патология, при которой нормальная легочная ткань замещается соединительной.
Советы
СОВЕТ №1
Регулярно проходите медицинские обследования, особенно если у вас есть предрасположенность к заболеваниям легких. Это поможет выявить пневмосклероз на ранней стадии и начать лечение как можно скорее.
СОВЕТ №2
Обратите внимание на свое дыхание. Если вы заметили постоянную одышку, кашель или другие изменения в дыхательной функции, не откладывайте визит к врачу. Эти симптомы могут указывать на развитие пневмосклероза.
СОВЕТ №3
Следите за своим образом жизни: откажитесь от курения и минимизируйте воздействие вредных веществ на легкие. Здоровое питание и физическая активность также способствуют улучшению состояния легких и общему укреплению организма.
СОВЕТ №4
Обсуждайте с врачом все доступные варианты лечения, включая медикаментозную терапию и реабилитацию. Индивидуальный подход к лечению поможет улучшить качество жизни и продлить ее продолжительность.
























































