Симптомы
При врождённом ателектазе лёгкого наблюдается обыкновенно ясный цианоз кожи и слизистых оболочек; первая при этом почти всегда холодна. Дыхание очень поверхностно, артерии пусты, вены большей частью сильно наполнены; при этом дети обыкновенно лежат в сопорозном состоянии. Часто у них бывают судороги, особенно в конечностях, температура тела нормальна. Речь идёт большей частью о слабых, очень часто преждевременно родившихся детях.
Ателектаз лёгкого у новорожденных может быть более или менее обширным; в одних случаях он занимает одну долю, обе нижние доли или целое лёгкое, в других случаях имеются в различных долях более мелкие безвоздушные участки. Недостаточное распределение крови в малом круге кровообращения при врождённом ателектазе лёгкого ведёт часто к тому, что кровь правого сердца ищет себе ещё другие пути, кроме лёгочной артерии. Постоянный напор крови ведет к тому, что Боталлов проток и овальное отверстие остаются открытыми. Перкуторные и аускультативные явления у новорожденного при врождённом ателектазе лёгкого такие же, как при приобретённом в более позднем детском возрасте и у взрослого.
Границы лёгких нормальны, пока ателектаз, если он локализуется в нижней доле, не достигает значительной толщины – около 5 см; лишь тогда получается при лёгкой перкуссии ясное притупление; до появления его замечается тимпанический оттенок перкуторного звука, указывающий на уменьшение напряжения лёгочной ткани. При исчезновении ателектаза притупление тоже предварительно заменяется тимпаническим звуком. Одновременно с притуплением перкуторного звука при ателектазе лёгких, если он очень обширен, определяется усиление голосового дрожания, бронхиальное дыхание и бронхофония. Очень характерна и при ателектазе незначительной степени своеобразная крепитация, которая бывает слышна, если заставить больного глубоко вдохнуть; она зависит от того, что соприкасающиеся между собой стенки бронхиол раздвигаются поступающим воздухом. В зависимости от величины участка, на который простирается ателектаз, крепитация слышна на большем или меньшем пространстве грудной клетки; чаще всего она выслушивается в задне-нижних отделах лёгкого.
Определить ателектаз при помощи рентгеновских лучей удаётся лишь в редких случаях, именно когда он достаточно обширен и глубок, чтобы дать заметную тень на экране или на фотографической пластинке.
Так как колебания давления в грудной полости при ателектазе лёгкого становятся меньше, то они не могут оказывать нормального влияния на степень наполнения сердца; диастолические наполнения сердца становятся более слабыми, приток венозной крови затрудняется, моча имеет высокий удельный вес, кровь, следовательно, скапливается в венах, артерии же остаются пусты.
При продолжительном существовании ателектаза пассивная гиперемия в венах тела может достигнуть такой степени, что появляются отёки в отлогих частях тела. Вследствие затруднения кровообращения в малом круге и уменьшения дыхательной поверхности лёгких, правому сердцу приходится совершать большую работу; часто находят расширение сердца вправо, особенно в рентгеновском снимке, определяемое и при перкуссии, особенно когда сами лёгочные края ателектатичны. Особенно сильным становится это влияние на правый желудочек, разумеется, тогда, когда к ателектазу присоединяются ещё гипостазы. Пассивная гиперемия ателектатических участков служит иногда причиной активной гиперемии в смежных, здоровых частях, которая со своей стороны может повести к коллатеральному отёку. С другой стороны находят также, особенно при долго существующем приобретённом ателектазе лёгкого, викарную эмфизему смежных частей.
В области ателектатических мест при уступчивой грудной клетке рёберная стенка обыкновенно мало-помалу несколько западает, и вообще на детской грудной клетке, как более уступчивой, все клинические явления выражены обыкновенно яснее. В особенности при вдохе часто наблюдается втягивание нижне-боковых частей грудной клетки, как при стенозе гортани, так как и при ателектазе лёгкого, несмотря на усиленное напряжение дыхательных мышц, поступает недостаточно воздуха, например, вследствие закупорки бронха, или усиленное сокращение диафрагмы втягивает мягкие нижние части грудной клетки.
Врачи отмечают, что ателектаз, представляющий собой частичное или полное с-collapse легкого, является серьезным состоянием, требующим внимательного подхода. Специалисты подчеркивают, что основными причинами ателектаза могут быть обструкции дыхательных путей, нарушения вентиляции или сдавление легочной ткани. Важно, чтобы пациенты обращали внимание на симптомы, такие как одышка, кашель и боль в груди. Врачи рекомендуют раннюю диагностику и лечение, включая физиотерапию, бронхоскопию и, в некоторых случаях, хирургическое вмешательство. Профилактика, включая регулярные дыхательные упражнения и активное движение, также играет ключевую роль в снижении риска развития этого состояния. В целом, комплексный подход к лечению и профилактике ателектаза позволяет значительно улучшить качество жизни пациентов.

Классификация ателектаза легкого
По происхождению ателектаз легкого может быть первичным (врожденным) и вторичным (приобретенным). Под первичным ателектазом понимают состояние, когда у новорожденного ребенка по какой-либо причине не происходит расправления легкого. В случае приобретенного ателектаза отмечается спадение легочной ткани, ранее уже участвовавшей в акте дыхания. Данные состояния необходимо отличать от внутриутробного ателектаза (безвоздушного состояния легких, наблюдаемого у плода) и физиологического ателектаза (гиповентиляции, имеющей место у некоторых здоровых людей и представляющей собой функциональный резерв легочной ткани). Оба этих состояния не являются истинным ателектазом легкого.
В зависимости от объема «выключенной» из дыхания легочной ткани ателектазы делятся на ацинозные, дольковые, сегментарные, долевые и тотальные. Они могут быть одно- и двусторонними – последние крайне опасны и могут привести к гибели больного.
С учетом этиопатогенетических факторов ателектазы легких подразделяются на:
-
- обструктивные (обтурационные, резорбционные) – связанные с механическим нарушением проходимости трахеобронхиального дерева
- компрессионные (коллапс легкого) – вызванные сдавлением легочной ткани снаружи скоплением в плевральной полости воздуха, экссудата, крови, гноя
- контракционные – вызванные сдавлением альвеол в субплевральных отделах легких фиброзной тканью
- ацинарные – связанные с дефицитом сурфактанта; встречаются у новорожденных и взрослых при респираторном дистресс-синдроме.
Кроме этого, можно встретить деление ателектазов легких на рефлекторные и послеоперационные, развивающиеся остро и постепенно, неосложненные и осложненные, преходящие и стойкие. В развитии ателектаза легкого условно выделяют три периода: 1- спадение альвеол и бронхиол; 2 – явления полнокровия, транссудации и локального отека легочной ткани; 3 – замещение функциональной ткани соединительной, формирование пневмосклероза.
Классификация
В пульмонологии выделяют большое количество разновидностей такой болезни. Первая из них подразумевает разделение недуга в зависимости от его происхождения:
- первичный – диагностируется у младенцев сразу же после появления на свет, когда из-за влияния того или иного фактора он не смог совершить свой первый вдох, а лёгкое полноценно не расправилось;
- вторичный – является приобретённым. В таких случаях происходит спадение лёгкого, которое уже принимало участие в процессе дыхания.
Стоит отметить, что с вышеуказанными формами не стоит путать коллапс, который развился внутриутробно и наблюдается у ребёнка, находящегося в утробе матери, а также физиологический ателектаз, присущий каждому человеку. Внутриутробная и физиологическая форма не относятся к категории истинных ателектазов.
По распространённости патологического процесса недуг делится на:
- ацинозный;
- дольковый;
- сегментарный;
- долевой;
- диффузный.
По этиопатогенетическому принципу различают следующие разновидности болезни:
- обструктивный – формируется из-за непроходимости бронхов, вызванной механическими нарушениями;
- компрессионный ателектаз лёгкого – обуславливается внешним сдавливанием лёгочной ткани, например, воздухом, гноем или кровью, которая скапливается в полости плевры;
- контракционный – вызывается сдавливанием альвеол;
- ацинарный – диагностируется как у детей, так и у взрослых в случаях протекания респираторного дистресс-синдрома.
Развитие болезни проходит несколько стадий:
- лёгкая – выражается в спадении альвеол и бронхиол;
- среднетяжелая – характеризуется появлением полнокровия и отёчности лёгочной ткани;
- тяжёлая – происходит замещение здоровой ткани в соединительную. При этом происходит развитие пневмосклероза.
В зависимости от полученного после рентгенографии снимка патология имеет несколько типов:
- дисковидный ателектаз – развивается на фоне сжатия нескольких долек лёгкого;
- субсегментарный – характеризуется полной обтурацией левого или правого лёгкого;
- линейный ателектаз.
Помимо этого, выделяют следующие классификации подобного заболевания:
- по степени сжатия лёгочной ткани – острые и постепенные;
- по наличию последствий – неосложненные и осложнённые;
- по характеру течения – переходящие и стойкие;
- по механизму появления – рефлекторные и послеоперационные;
- по зоне поражения – односторонние и двусторонние.
Ателектаз — это состояние, которое вызывает много обсуждений среди пациентов и медицинских работников. Многие люди, столкнувшиеся с этой проблемой, отмечают, что испытывают затруднения с дыханием и постоянную усталость. Некоторые делятся своими переживаниями о том, как это состояние повлияло на их повседневную жизнь и физическую активность. Важно отметить, что многие пациенты подчеркивают необходимость ранней диагностики и лечения, чтобы избежать серьезных осложнений. Врачебные рекомендации по дыхательной гимнастике и физиотерапии часто становятся темой обсуждений в группах поддержки. Люди также делятся своими историями о восстановлении и успехах в лечении, что вдохновляет других не сдаваться и продолжать борьбу за здоровье.

Компрессионный ателектаз
По-другому компрессионное спадение легкого называется коллапсом и возникает при сдавливании газами или жидкостью извне (экссудатом, транссудатом, кровью, фиброзной тканью). Компрессионный механизм развития ателектаза имеет более оптимистичный прогноз при лечении, так как в патогенезе отсутствуют эндобронхиальные факторы — спадение легкого не вызывает выраженной задержки лимфы или полнокровия.
Основными симптомами компрессионного ателектаза являются:
- одышка (возникает постепенно, на фоне какого-либо заболевания);
- затруднение дыхания;
- кашель;
- боль и тяжесть в пораженной доле легких;
- синюшность губ, кожи и конечностей;
- в той части грудной клетки, где происходит спадание – образуется набухание, в том числе и межреберной ткани;
- при совершении дыхательного акта одна сторона грудной клетки заметно отстает.
Дисковидный ателектаз легкого
Что это? Дисковидный спад паренхимы соседних долей легкого наблюдается при диффузионных патологиях бронхиального дерева, которые чаще всего вызваны пневмонитами, фиброзирующими альвеолитами, саркоидозом.
Причины могут быть различны: так, дисковидная разновидность ателектаза часто имеет компрессионную природу, т. е. развивается из-за сдавливания грудной клетки (особенно ее наддиафрагмальных областей) кровью, гноем после травмы или контузии грудной клетки.
https://youtube.com/watch?v=ksWZuY3cBaA
Клиническая картина ателектаза
Больной жалуется на одышку. Кожные покровы его бледны; со стороны видимых слизистых может отмечаться синюшность. При аускультации (прослушивании) легких шум дыхания либо ослаблен, либо отсутствует. За счет уменьшения объема легкого при большом ателектазе может быть смещено в сторону поражения средостение; также на стороне поражения может быть высокое стояние диафрагмы. Диагноз подтверждается рентгенологически. Поскольку в закрытом пространстве альвеол присутствуют и развиваются микробы, ателектаз часто осложняется пневмонией.
Лечение ателектаза у детей
Необходима незамедлительная бронхоскопия, при которой обтурирующие массы отсасываются, а если есть инородное тело, то оно удаляется. При невозможности бронхоскопии — антибиотикотерапия, бронхорасширяющие средства, отхаркивающие. В случаях присоединения осложнений (нагноение, кровотечение) — показано хиругическое лечение.
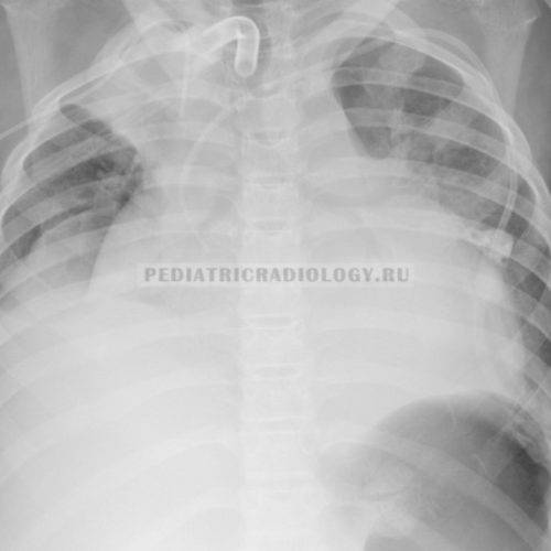
Ателектаз легких у новорожденных
У здоровых новорожденных — преимущественно у недоношенных — ателектаз легкого (частичный) может отмечаться в первые несколько суток жизни. Как правило, такие ателектазы исчезают без какого бы то ни было вмешательства и потому считаются «физиологическими».
Причины возникновения ателектаза у новорожденных разные: это и вдыхание некоторого количества околоплодных вод, и недостаточное содержание так называемого сурфактанта (особого вещества, которое не дает спадаться легочной ткани), и неполное расправление сети легочных сосудов, а также слабый крик при рождении и ослабленное дыхание, в результате чего легкое новорожденного не разворачивается полностью.
Кроме того, ателектазы могут развиться при асфиксии, при пневмониях, при давлении на бронхи увеличенных внутригрудных лимфатических узлов и т.д.
В зависимости от величины и локализации пораженного участка легкого развиваются клинические проявления. Довольно часто за клинической картиной основного заболевания не видно проявлений ателектаза. Кожные покровы у новорожденного могут быть бледны или синюшны; у ребенка — явная одышка. Врач, прослушивающий легкие с помощью фонендоскопа, не слышит дыхания в том месте, которое поражено, или слышит ослабленное дыхание. Перкуторный звук над участком ателектаза укорочен.
«Физиологический» ателектаз легких новорожденного в каком-то особом лечении не нуждается.
Пораженные участки должны расправиться сами собой. Практика показывает, что у здорового доношенного ребенка ателектаз «держится» не более 2 суток, у ослабленного же недоношенного — несколько дольше. Но если по каким-то причинам ателектаз не расправился, это грозит воспалительными изменениями в пораженном легком. В таком случае ребенку необходима консультация хирурга. Если ателектаз развился в связи с какими-то заболеваниями легких, то следует сначала проводить лечение этих основных заболеваний (по показаниям назначаются антибиотикотерапия, ингаляции кислородом, витаминотерапия и пр.).
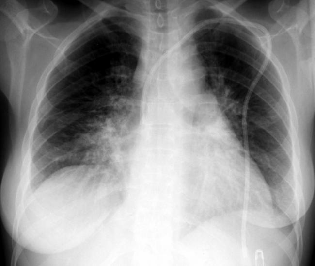
Диагностика ателектаза
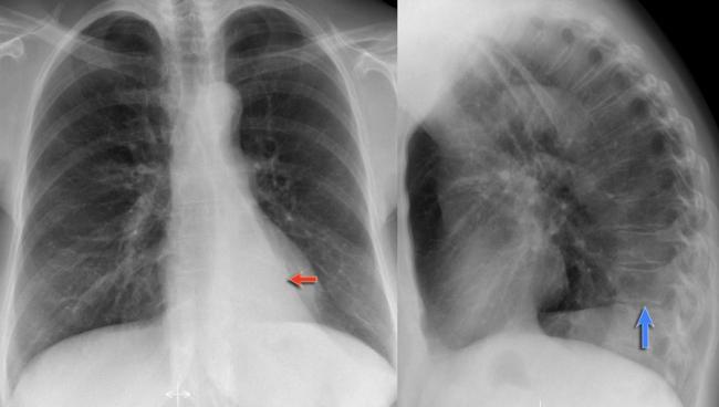
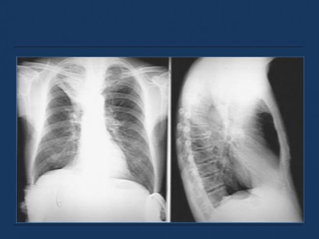
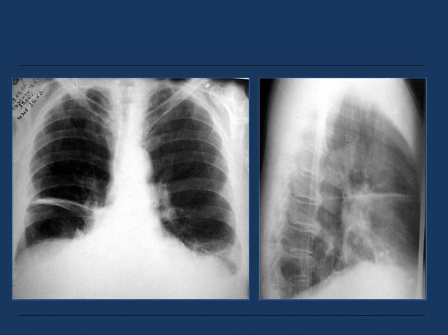
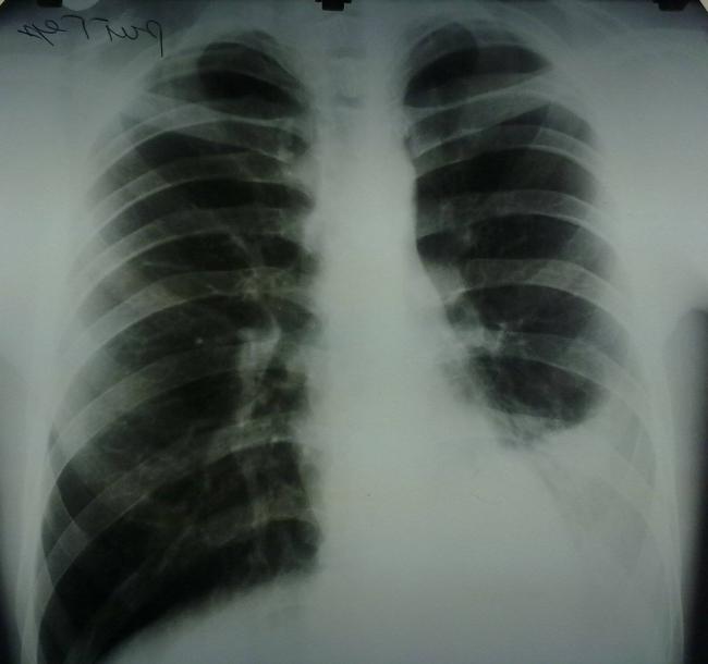
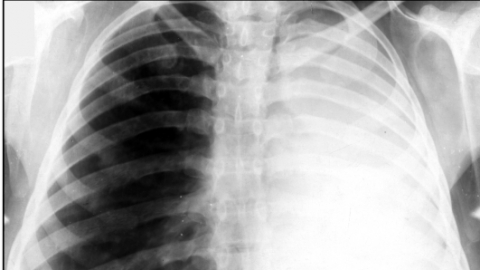
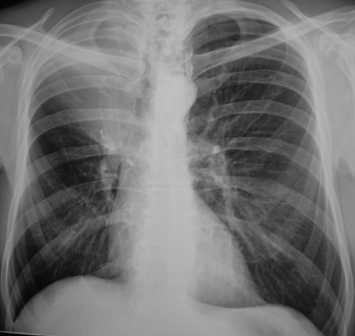
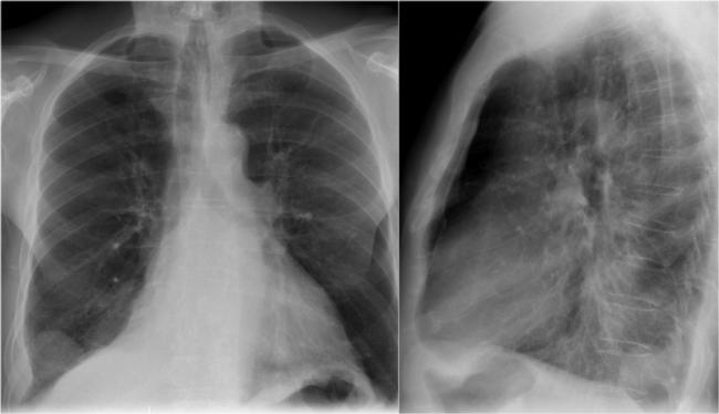
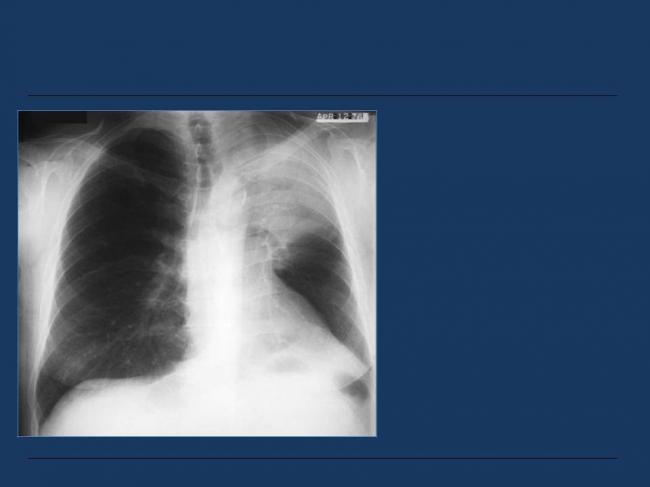
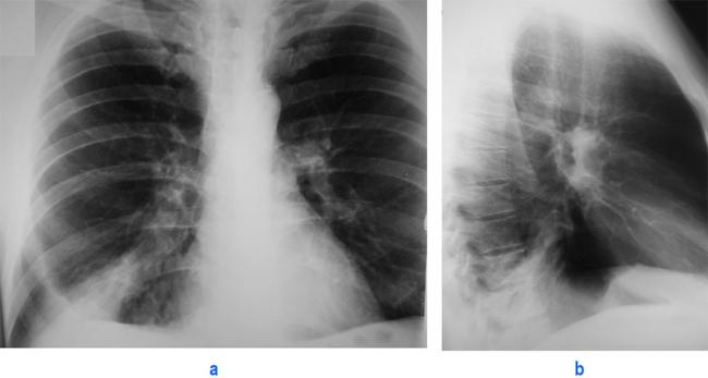
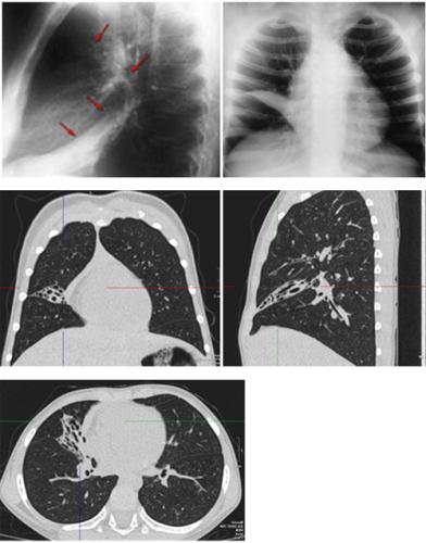
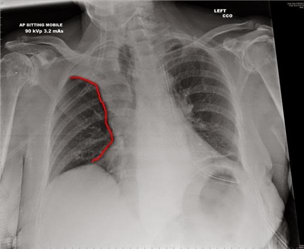
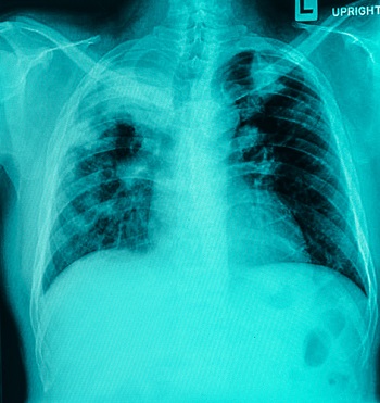
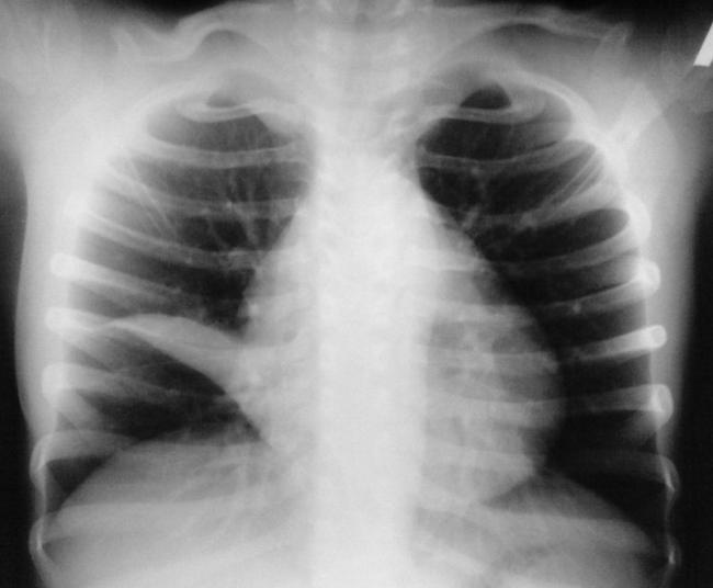
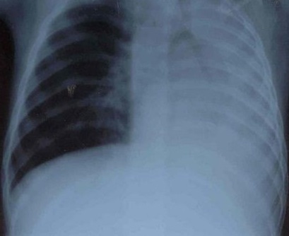
Помимо опроса и объективного осмотра, включающего перкуссию и аускультацию грудной клетки, проводят рентгенологическое исследование в двух положениях тела (в 2-х проекциях). Это основной метод обнаружения ателектазов легких.
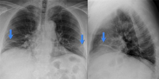
На рентгеновских снимках выявляют следующие признаки, указывающие на спадение легочной ткани:
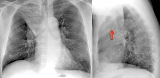
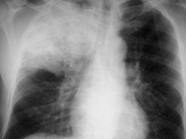
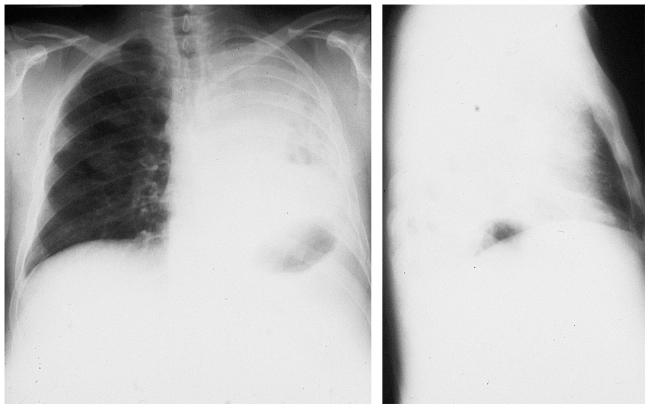
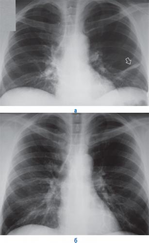
Однородное затемнение в области поражения. Размеры тени зависят от вида ателектаза: при долевом выявляется обширное затемнение, при сегментарном — в виде клина или треугольника, расположенного вершиной к корню легкого, дольковые ателектазы множественные и похожи на очаговую пневмонию. Дистензионный ателектаз расположен низко, около диафрагмы, имеет небольшие размеры и вид поперечных полос или темных дисков. Смещение органов: при компрессионном ателектазе смещение наблюдается в здоровую сторону, так как на стороне поражения давление больше, при обтурационном, наоборот – смещение будет в сторону ателектаза, так как на стороне поражения нарастает притягивающее отрицательное давление. Подъем купола диафрагмы – это видно по расположению печени.
Помимо всего перечисленного выше, рентгеноскопия, то есть исследование «вживую», позволяет увидеть куда смещаются органы в зависимости от фазы дыхания, кашля. Это является дополнительным признаком ателектаза, помогающим выявить тип болезни.
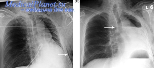
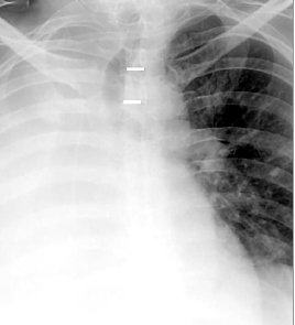
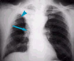
Предварительным, рентгенологическим диагнозом является «синдром правой доли», при котором выявляется затемнение площади средней доли правого легкого.
Частое возникновение ателектаза правого легкого связано с анатомическими особенностями правого среднедолевого бронха: он узкий и длинный, поэтому часто происходит его перекрытие при патологическом процессе.
Если диагноз непонятен, рентгенологическое обследование дополняют компьютерной томографией. При перекрытии просвета бронхов выполняют бронхоскопию – осмотр по ходу бронхов с помощью зонда с камерой, который вводят в дыхательные пути.
При исследовании обнаруживают причину блока и уровень его расположения.
Длительные ателектазы требуют проведения контрастных методов исследования: бронхографии и ангиопульмонографии. Исследование дает информацию о глубине поражения левого и правого легкого, выявляет деформацию бронхов, а также оценивает ход сосудов.
Исследование газового состава крови выявляет уменьшение парциального давления кислорода в значительной степени. По этому диагностическому тесту определяют степень острой дыхательной недостаточности, приводящей к тотальной гипоксии.
Диагностика
Клинические симптомы, которые проявляются при ателектазе легкого, не являются специфическими сугубо для этого состояния, поэтому по одной только одышке, учащении сердцебиения и гипотонии заподозрить ателектаз не представляется возможным. Эта симптоматика позволяет заподозрить наличие патологии со стороны органов дыхания в целом, а уточнить ее можно будет при дальнейшем обследовании больного – как физикальном (осмотр, простукивание грудной клетки врачом, выслушивание фонендоскопом), так и с помощью инструментальных методов диагностики.
Опытный врач заподозрит спадание легких на основе осмотра: грудная клетка больного будет ассиметричной при дыхательных движениях – за счет того, что ее пораженная половина не двигается, потому как легкое фактически не дышит (образно говоря, ему нечем дышать).
Без привлечения дополнительных инструментальных методов диагностики ателектаз легкого можно заподозрить при одновременно наблюдающихся признаках – таких, как:
- одышка;
- посинение кончиков пальцев и носа;
- общий упадок сил;
- отставание больной половины грудной клетки в акте дыхания;
- наличие заболевания, которое могло привести к закупорке бронха или давлению на легочную ткань (инородное тело в бронхе, жидкость или воздух в плевральной полости, интенсивный туберкулезный процесс, опухоль в грудной полости и так далее).
Так как в большинстве случаев ателектаз появляется на фоне уже имеющихся заболеваний или патологических состояний, такой двойной негативный удар по организму утяжеляет его и без того плохое состояние.
В ряде случаев из-за того, что спадает много мелких участков легочной ткани, ателектаз никак не проявляется. Но участки спадания могут стать местом возникновения очагов воспаления легких – в таких случаях именно по очаговой пневмонии опытный врач заподозрит у пациента начинающийся ателектаз, который затем выливается в тяжелую форму поражения легкого.
В большинстве случаев без задействования дополнительных инструментальных методов исследования подтвердить ателектаз легкого не представляется возможным. Наиболее полезными для диагностики этой патологии являются:
- рентгенологическое исследование легких и средостения (группы органов, которые находятся между двумя легкими);
- компьютерная томография, которая позволит более предметно изучить воздушность легких;
- бронхоскопия, с помощью которой можно установить степень поражения бронха – а именно то, как сказались негативные факторы на уменьшении его просвета.
Во время инструментальных диагностических манипуляций важно не только установить наличие ателектаза и его точную локализацию, но и уточнить объем спавшейся ткани, чтобы определить правильную тактику лечения и объем лечебных манипуляций. На рентгенограмме для диагностики ателектаза имеет значение состояние не только ткани легких, но и корней легких, ребер, органов средостения, купола диафрагмы, плевры, плевральной полости и даже позвоночника (будет наблюдаться его сколиотическое отклонение в направлении выпуклости в сторону пораженного легкого)
На рентгенограмме для диагностики ателектаза имеет значение состояние не только ткани легких, но и корней легких, ребер, органов средостения, купола диафрагмы, плевры, плевральной полости и даже позвоночника (будет наблюдаться его сколиотическое отклонение в направлении выпуклости в сторону пораженного легкого).
Ателектаз — что это такое?
Ателектаз — это явление, при котором легкое расправляется не полностью или не наполняется воздухом совсем (при тотальном поражении). В результате объем дыхания уменьшается, в альвеолах нарушается вентиляция.
Простыми словами при ателектазе снижается или полностью исчезает воздушность легкого, оно становиться как сдувшийся слипшийся шарик, который уже не надувается.
В спавшихся тканях быстро развиваются инфекционные патологии, а частыми последствиями являются:
- Фиброз — рубцевание легкого из-за разрастания соединительной ткани;
- Бронхоэктаз — необратимое расширение части бронха;
- Абсцесс легкого.
Причины ателектаза:
- Сдавление участка бронха снаружи — кистой, опухолью, увеличенными лимфоузлами;
- Закупорка бронхиального просвета изнутри — патологической жидкостью, инородным объектом, новообразованием;
- Сжатие тканей жидкостью при экссудативном плеврите или воздухом в случае пневмоторакса.
Ателектаз выступает осложнением многих пульмонологических болезней — туберкулеза, пневмонии и других, а также может явиться следствием травмы или хирургического вмешательства. Провоцировать спадение альвеолярной ткани могут аллергические патологии, аневризма аорты, новообразования плевры и средостения.
Классификация проблемы
Ателектаз классифицируется на рассеянный и обширный.
Рассеянная форма отличается тем, что по всей площади легкого находятся небольшие по размеру безвоздушные области. Больше всего от указанной формы страдают рожденные раньше срока дети.
Для обширной же формы (иначе говоря – сегментарной) характерно затрагивание одного или некоторого количества сегментов. Эта форма зачастую встречается у детей, появившихся на свет в положенный срок.
Полный ателектаз встречается редко, однако имеет место быть. Его суть в том, что одно легкое у новорожденного малыша не участвует в процессе дыхания. Летальный исход наступает, когда не раскрылись оба легких.
Помимо названной, имеется и другая классификация. Ателектаз может быть врожденным и приобретенным.
Врожденная патология
Легкое полностью или некоторые его участки изначально не раскрылись. Эта разновидность болезни часто встречается у мертворожденных либо умерших практически сразу после рождения деток.
Основная причина патологии – травмирование дыхательного центра малыша в процессе родов. Не последнюю роль играет наличие закупоривания дыхательных путей меконием или слизью. В большинстве случаев дети с указанной проблемой слабые и нежизнеспособные.
Приобретенная патология
Характеризуется опаданием альвеол в легком, которое ранее функционировало. Имеется несколько наиболее часто встречающихся причин, при которых развивается приобретенная форма заболевания.
- Выпотный плеврит, гидроторакс, пневмоторакс. В плевральной полости накапливается воздух либо жидкий секрет.
- Злокачественное новообразование, которое сдавливает бронхи.
- Легочный туберкулез, в результате которого бронхи сдавливаются увеличенными лимфоузлами.
- Пневмонии хронической природы.
- Закупоривание бронха инородными частицами.
- Ранее проделанные операции (брюшная полость либо грудная клетка). Если дренажная система не функционирует, бронхи закупориваются слизью.
Травмирование разной степени тяжести также влечет за собой развитие приобретенной формы ателектаза. Легкое сдавливается кровью или воздухом, которые попали в плевральную полость.
Видео — Виды пневмоторакса
Классификация патологии
Выделяется несколько разновидностей ателектаза легкого. По происхождению его делят на первичный и вторичный типы. Первый диагностируется при рождении, когда легкое у ребенка во время первого вдоха не может расправиться полностью. Вторичная форма появляется в результате осложнения после перенесенного воспалительного заболевания. По механизму появления различают следующие виды ателектаза:
- Обтурационный тип. Этот вид ателектаза образуется в случае уменьшения просвета бронха по причине препятствия в форме инородного тела, опухоли или сгустка слизи. Основными симптомами при этом будут одышка наряду с сухим кашлем и затрудненным вдохом. Различается полный и частичный коллапс. Пациентам требуются экстренные действия, направленные на восстановление проходимости воздуха в бронхах. С каждой минутой вероятность того, что орган сможет расправиться в полной мере, значительно снижается. Через три дня восстановление вентиляции оказывается невозможным. Возникновение пневмонии выступает частым явлением при ателектазе данного типа.
- Развитие компрессионного типа. Этот тип ателектаза левого легкого или правого отличается благоприятным прогнозом. Даже несмотря на длительный период сжатия легочной ткани, удается полностью восстанавливать вентиляцию. Этот вид заболевания формируется в результате появления в плевральной полости воспалительной жидкости, что ведет к сдавливанию легкого. Симптоматика нарастает постепенно. Обычно признаки заболевания проявляются в форме смешанной одышки, при этом затруднены и выдох, и вдох.
- Функциональный тип. Данный вид заболевания образуется, как правило, в нижних долях. Этот тип связан с нарушением механизмов дыхания. Больше всего подвержены ему пациенты, которые находятся на продолжительном постельном режиме. Патология может возникать на фоне стремления ограничить дыхательные движения из-за болезненности, связанной с переломом ребер, а кроме того, плевритом. Ателектаз легкого, который вызывается инсультом, называется контрактильным.
-
Развитие контракционного типа. Этот тип патологии образуется в результате разрастания соединительных тканей. Разрастание приводит к сдавливанию плевры и смежных с нею районов.
Когда спавшаяся ткань замещается соединительной, это называется фиброателектазом. В ряде медицинских справочников выделяют контрактильный тип этого заболевания, при котором уменьшается размер альвеол, а непосредственно на фоне спазмов бронха или в результате травмы формируется поверхностное натяжение. В зависимости от закупорки бронхов, которая обнаруживается на рентгене, выделяют следующие типы ателектаза:
- Дисковидная форма, при которой происходит сжатие сразу нескольких долей.
- Субсегментарная форма ателектаза. Такой тип может привести к полной обтурации в легких.
- Линейная форма.
Прежде чем выяснить, как лечить ателектаз легкого, узнаем, каковы его причины.
Вопрос-ответ
Почему возникает ателектаз?
Причины ателектаза закупорка одной из трубок (бронхов), которые отходят из трахеи (дыхательного горла) и ведут к легочной ткани, состояние, препятствующее глубокому дыханию или подавляющее способность кашлять.
Что приводит к ателектазу?
Причины ателектаза легкого попадание в дыхательные пути околоплодных вод или мекония, развитие внутриутробной пневмонии при внутриутробных инфекциях, пороки развития плода, недостаточное образование сурфактанта — вещества, выстилающего внутреннюю поверхность альвеол и удерживающего их в раскрытом состоянии.
Что будет, если не лечить ателектаз?
Ателектаз легкого вызывает спадение части тканей, из-за чего альвеолы в этой области выпадают из функциональности. Кислород поступает в кровь только через здоровые участки, поэтому его уровень снижается. В результате может развиться дыхательная недостаточность.
Что характерно для синдрома ателектаза?
Наиболее выраженной симптоматикой отличается остро развившийся ателектаз доли или целого легкого. При этом возникает внезапная боль в соответствующей половине грудной клетки, пароксизмальная одышка, сухой кашель, цианоз, артериальная гипотония, тахикардия.
Советы
СОВЕТ №1
Регулярно выполняйте дыхательные упражнения. Это поможет улучшить вентиляцию легких и предотвратить развитие ателектаза. Простые упражнения, такие как глубокое дыхание и использование дыхательных тренажеров, могут значительно повысить эффективность легочной функции.
СОВЕТ №2
Следите за своим положением во время сна и отдыха. Избегайте длительного пребывания в одном положении, особенно на спине. Периодическая смена позы может помочь предотвратить слипание легких и улучшить их вентиляцию.
СОВЕТ №3
Обратите внимание на свое общее состояние здоровья. Заболевания, такие как хронический бронхит или пневмония, могут увеличить риск ателектаза. Регулярные медицинские осмотры и своевременное лечение заболеваний дыхательной системы помогут снизить этот риск.
СОВЕТ №4
Избегайте курения и воздействия вредных веществ. Курение и вдыхание токсичных паров могут негативно сказаться на здоровье легких. Если вы курите, постарайтесь бросить, а также избегайте мест с загрязненным воздухом.

















































