Виды и симптомы основных болезней гланд
При каждой патологии горла может наблюдаться подъем температуры тела до разных показателей.
Влияние провоцирующих факторов приводит к развитию ангины или гипертрофии миндалин. Особое место среди ЛОР-патологий занимают онкологические процессы. Заболевания могут протекать остро или носить хронический характер. В обоих случаях миндалины увеличены и отечны. Повышение температуры, боль в горле, интоксикация организма и другие симптомы будут неодинаково проявляться при разных заболеваниях.
Врачи отмечают, что воспаление гланд, или тонзиллит, может быть вызвано различными факторами, включая вирусные и бактериальные инфекции. Наиболее распространенными возбудителями являются стрептококки, которые могут вызывать острые формы заболевания. Симптомы воспаления гланд часто включают боль в горле, затрудненное глотание, увеличение лимфатических узлов и общую слабость. В некоторых случаях наблюдается повышение температуры и головная боль.
Лечение зависит от причины воспаления. Вирусные инфекции, как правило, требуют симптоматической терапии, включая обильное питье и обезболивающие средства. Бактериальный тонзиллит может потребовать назначения антибиотиков. Важно, чтобы пациенты не занимались самолечением и обращались к специалистам для получения точного диагноза и адекватной терапии. Профилактика включает в себя соблюдение гигиенических норм и укрепление иммунной системы.

Тонзиллит
Хронический тонзиллит возникает из-за неверного или неполного лечения ангины. При компенсированной форме миндалины справляются со своей функцией, заболевание протекает бессимптомно, долго не проявляя себя. Декомпенсированный хронический тонзиллит постоянный и вялотекущий, с гнойничковым поражением миндалин, постоянной интоксикацией и сопутствующими осложнениями со стороны почек, сердца и суставов.
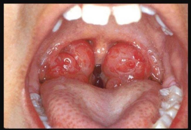
Острые ангины
Это инфекционное заразное заболевание. Большие гланды с отеком и гиперемией сопровождают воспалительный процесс. Возможно значительное повышение температуры, гнойные налеты и распространение патологических изменений на другие миндалины глоточного кольца. Наиболее часто диагностируются такие виды:
- катаральный;
- фолликулярный;
- лакунарный.
Гнойные формы протекают тяжелее из-за интоксикации организма. Слабость, головная боль, ломота, высокая температура, а у детей судороги, рвота и боль в животе — частые спутники этих воспалительных недугов. Кроме типичных форм, встречаются и атипичные поражения гланд, например, ангина Венсана-Плаута-Симоновского.
Герпетическая форма болезни – результат развития у человека ветрянки.
Ветрянка — причина развития герпесной ангины у детей и взрослых. Причем, если у малышей она проходит почти бессимптомно, то у взрослых носит тяжелый характер. Точечные высыпания на слизистой трансформируются в волдыри, которые лопаются с образованием язвочек. Ветрянка в горле вызывает отек гортани, кашель и осиплость голоса.
Воспаление гланд, или тонзиллит, вызывает множество обсуждений среди людей. Многие отмечают, что основными причинами заболевания являются вирусные или бактериальные инфекции, а также переохлаждение и ослабленный иммунитет. Симптомы, как правило, включают боль в горле, затрудненное глотание, повышение температуры и общее недомогание. Некоторые пациенты делятся опытом, что при первых признаках воспаления они стараются использовать домашние средства, такие как полоскание солевым раствором или травяными настоями. Однако, если симптомы не проходят, важно обратиться к врачу. Лечение может варьироваться от антибиотиков до физиотерапии, а в тяжелых случаях может потребоваться хирургическое вмешательство. Важно помнить, что своевременная диагностика и лечение играют ключевую роль в быстром выздоровлении.

Воспаление аденоидов
Заболевание глоточных миндалин чаще всего встречается в возрасте 4—6 лет, когда ребенок начинает посещать детские коллективы. Частые простудные заболевания приводят к воспалению аденоидов. Этому способствуют насморк, бронхит или трахеит. Когда носоглоточная миндалина увеличена, начинают проявляться такие симптомы, как:
- нарушение носового дыхания;
- постоянно приоткрытый рот;
- похрапывание;
- нарушение сна;
- гипоксия;
- гнусавость и нечеткость речи.
Гипертрофия миндалин
Это состояние развивается в детском возрасте и не всегда говорит о присутствии патологии. Увеличение гланд при этом не сопровождается воспалительным процессом и температурой. Гипертрофированные небные миндалины нарушают дыхание, глотание и речь пациента, провоцируют ночной спастический кашель. Существует три степени увеличения гланд, в зависимости от перекрытия ими входа в зев.

Другие патологии глоточного кольца
При грибковом поражении горла образовавшийся налет трудно убрать механическим путем.
Лейкоплакия гланд, дисплазия или такой дефект глоточной миндалины, как киста — предраковые состояния. Их провоцируют термические, химические или механические повреждения гланд, гормональные сбои. Лейкоплакия сопровождается присутствием плотной серовато-белой пленки на гиперемической слизистой, белых бляшек и маленьких ворсинок. Дисплазия развивается в результате не контролированного деления клеток слизистой глотки и миндалин. Микоз гланд может быть связан с эндокринными и гормональными заболеваниями, травматизацией миндалин или иммунодефицитными состояниями. Микоз сопровождается такими симптомами, как:
- повышение температуры;
- белый или серый налет на гландах, который нельзя снять шпателем;
- боль в горле при глотании;
- увеличение и болезненность лимфоузлов.
Комплексная терапия хронического тонзиллита в «Лор Клинике Доктора Зайцева».
Методика комплексного лечения недуга появилась не сразу. Нашими специалистами на практике были испробованы различные методы лечения тонзиллита. В результате многолетнего опыта по изучению и лечению хронического тонзиллита данная методика прижилась и является наиболее эффективной. Она включает несколько этапов.
Первый этап — анестезия гланд. Миндалина смазывается лидокаином. Второй этап — вакуумное промывание гланд от казеозных масс. Третий этап — лекарственная обработка гланд с помощью ультразвука. Четвёртый этап — орошение гланд антисептиком.
Этап пятый — смазывание поверхности миндалин антисептическим раствором Люголя. Шестой этап — физиотерапия с помощью лазера — эта процедура снимает отёк и воспаление гланд. Следующий этап — виброакустическое воздействие на гланды, благодаря чему кровоток устремляется непосредственно к миндалинам, и с ним выводятся патогенные вещества. Заключительный этап комплексного лечения — сеанс УФО, оздоравливающий гланды и борющийся с патогенами.
Весь сеанс занимает в районе двадцати минут. Для достижения положительного результата пациенту обычно хватает пяти комплексных процедур.
Воспаление миндалин: симптомы
Симптоматика тонзиллита и острого поражения миндалин (ангины) типичны и знакомы, скорее всего, каждому из нас.
Дискомфортные ощущения в горле и носоглотке. Первый и наиболее явный симптом поражения миндалин — боль в горле. Она может быть жгучей, саднящей и усиливается при глотании. В некоторых случаях больной ощущает дискомфорт при дыхании. Кроме болей наблюдается чувство инородного предмета в горле, давления, распирания.
Проявления интоксикации организма. Температура повышается до отметок 37.5-39 градусов, больной испытывает головную боль, сонливость и слабость. Это неспецифические проявления и оценивать их следует в комплексе.
При осмотре врач обнаруживает гнойный, желтовато-белый налет на миндалинах. По утрам пациент и сам может заметить гнойное отделяемое из гланд в виде жидкого полупрозрачного гноя либо его сгустков (пробок).
В тяжелых случаях возможно развитие отека и нарушение дыхания (это наиболее характерно для ангины). Такое состояние угрожает не только здоровью, но и жизни пациента, а также доставляет массу неприятных ощущений: больной не может нормально есть, даже спать.
Затяжное течение как острого, так и хронического воспаления может привести к поражению лежащих ниже отделов дыхательных путей. Тогда к уже названным признакам добавится кашель (вначале сухой, затем с прозрачной или гнойной мокротой).
При воспалении миндалин симптомы не только доставляют массу дискомфортных ощущений, но и несут прямую угрозу жизни и здоровью пациента.
Воспаление гланд: причины
Воспаление гланд может возникнуть по таким причинам:
1. Поражение гланд стрептококковой инфекцией.
2. Сильное переохлаждение организма.
3. Курение.
4. Сильное психоэмоциональное перенапряжение, которое привело к понижению иммунитета. В таком состоянии человек становиться более уязвимым к различным заболеваниям, в том числе и к воспалению гланд.
5. Вирусное поражение гланд обычно приводит к острому протеканию воспаления.
6. Острые инфекционные болезни носоглотки (ангина, скарлатина).
7. Наследственная предрасположенность к воспалению гланд.
8. Несоблюдение правил гигиены рук, что привело к прямому попаданию инфекции в рот.
9. Очаги воспаления во рту или носу (кариес, гнойный синусит и т.п.) также могут распространять болезнетворные бактерии и приводить к воспалению миндалин.
10. Острый недостаток полезных веществ и витаминов.
11. Употребление загрязненной воды.
12. Вдыхание грязного воздуха и пыли (чаще всего такое бывает при профессиональной деятельности в плохих условиях).
13. Несвоевременное либо неправильное лечение острой формы заболевания приводит к хроническому воспалению гланд.
Причины воспалительного процесса
Чаще всего воспалённые гланды свидетельствуют о развитии ангины, которая была вызвана бактериями. Она сопровождается образованием гноя, резким повышением температуры, ломотой в теле и опухлостью лимфоузлов. В горле чувствуется боль, дискомфорт и постоянная сухость. Гнойная ангина нередко протекает с осложнениями, которые обычно характеризуются болью в ушах.
Кроме бактерий ангину могут спровоцировать вирусы. В таком случае помимо боли в горле, которая связана с воспалительными процессами в миндалинах, увеличивается селезёнка и печень. Для диагностирования вирусной ангины необходимо провести анализ крови, который покажет специфические изменения её состава. В данном случае не рекомендуется проводить лечение воспаления гланд в домашних условиях, т.к. за состоянием пациента постоянно должен следить специалист.
Ангина грибкового происхождения, как правило, развивается на фоне ослабления иммунитета. В каждом организме присутствует небольшое количество грибков – их активность сдерживается благодаря иммунной системе. Но при ослаблении защитных функций концентрация патогенной флоры увеличивается в несколько раз, что провоцирует развитие заболеваний. Как правило, симптомы и лечение воспаления гланд, вызванные грибковой инфекцией, индивидуальны, что объясняется уникальностью каждого организма. Но, тем не менее, недуг всегда сопровождается образованием на миндалинах творожистого налёта, а лечебная терапия основывается на противогрибковых препаратах.
У детей наиболее часто диагностируют герпетическую ангину, которая является заразной, т.к. она может распространяться воздушно-капельным путём. Её главная характерная особенность заключается в образовании мелких пузырьков, заполненных прозрачной жидкостью, на слизистой оболочке гланд и задней стенке гортани. Данное заболевание сопровождается повышением температуры тела, опуханием миндалин, дискомфортом в горле. Из-за плохого самочувствия ребёнок становится капризным, вялым и начинает отказываться от еды. Заметив подобные симптомы, следует обратиться к отоларингологу, который подскажет, чем лечить воспалением гланд, вызванное герпетической ангиной.
Следует отметить, что воспаление также может быть спровоцировано травмой миндалины, несоблюдением гигиены полости рта или незавершённым лечением инфекционного недуга. Не стоит пытаться самостоятельно устранить симптомы, т.к. можно усугубить состояние здоровья неправильным лечением. Для установления причин заражения необходимо обратиться к специалисту для проведения диагностики, и назначения терапии.
Симптоматика недуга
При воспалении миндалин симптомы и характер их проявления во многом зависят от состояния иммунной системы. Если она недостаточно сильная, заболевание будет развиваться очень быстро, и при этом возможны осложнения. В то время как человек с более крепким здоровьем может ощущать лишь общее недомогание и дискомфорт в горле, но следует учесть, что если своевременно не начать лечение, клиническая картина значительно усугубится.
Первые симптомы воспаления гланд ощущаются, как першение, которое не редко ощущается так, будто в горле что-то дерёт. Постепенно это состояние переходит в боль, которая особо сильно проявляется при глотании. Осматривая гортань, можно увидеть, что гланды увеличились в размере и обрели насыщенно красный цвет. В редких случаях из-за сильной опухлости может затрудняться дыхание, что не редко сопровождается ночным апноэ.
Спустя 2-3 дня возникает чувство общего недомогания – головная боль, ломота в мышцах и суставах, опухлость лимфоузлов, а также повышение температуры до 39оС, что может стать причиной жара и озноба. Довольно распространены такие признаки воспаления гланд, как увеличение подчелюстных лимфоузлов. Во время пальпации в них ощущается боль. При запущенной стадии недуга может наблюдаться опухлость горла – виной тому становится отёк слизистой. В этот же период на миндалинах зачастую образуется гнойный налёт белого или желтоватого цвета.
Из-за отсутствия лечения воспалительный процесс прогрессирует, вызывая отёк гланд и голосовых связок, что приводит к изменению голоса. Как правило, он становится охрипшим и грубоватым, а в некоторых случаях и вовсе пропадает. Правильно подобранное лечение позволит устранить снять воспаление гланд, поэтому уже спустя сутки пациент заметит первые положительные изменения, а после полного выздоровления голос обретёт прежнюю тональность.
Другие виды
Помимо банальных тонзиллитов воспаление миндалин могут провоцировать бактерии, вирусы, патогенные грибы. Ангиной, по сути, является дифтерия миндалин, скарлатина; симптомы тонзиллита наблюдаются при кори, герпетической инфекции, могут присутствовать при лейкозе, брюшном тифе, туляремии. Описать единую картину, которая точно иллюстрировала бы все изменения, наблюдающиеся при всех вариантах тонзиллита, невозможно
Поэтому целесообразно уделить внимание особенностям наиболее часто встречающихся патологий:
- дифтерия;
- скарлатина;
- герпетическая ангина.
Дифтерия — одна из самых опасных форм поражения миндалин. Это объясняется не только особым типом воспаления (фибринозное), но и активной продукцией возбудителем-коринебактерией токсина. Местные признаки дифтерии:
- увеличение гланд за счет отека;
- неярко выраженное, иногда с цианотичным оттенком покраснение;
- наличие грязно-серых, белесоватых налетов с гладкой, иногда волнистой поверхностью;
- умеренная боль при глотании.
Воспаление гланд при дифтерии характеризуется распространением плотного налета за пределы их анатомических границ; при попытке снять его слизистая оболочка кровоточит.
При скарлатине наблюдается не только воспаление миндалин, но и воспаление задней стенки глотки, выраженная боль в горле. Характерны также изменения языка — плотный белый налет в начале заболевания и приобретение ярко-розового оттенка через несколько дней. Симптомы ангины сочетаются с сыпью на коже, изменения соответствуют картине банальной ангины; при некротической форме видны участки некроза в виде язв на поверхности миндалины.
Признаки воспаления гланд при герпетической ангине включают:
- Покраснение, отек.
- Боль в горле.
- Наличие пузырьковой сыпи на миндалинах.
Сыпь может располагаться не только на миндалинах, нередко распространяется на небные дужки, язычок, глотку. Пузырьки изъявляются с формированием дефектов слизистой оболочки, обычно не склонны к слиянию.
Воспаление миндалин: причины
Источников острого тонзиллита существует множество. Никогда воспаление миндалин не возникает само по себе. Причины могут быть такими:
. Наличие инфекционного очага недалеко от миндалин.
Недавно перенесенный гайморит, больные зубы, уши, все это может стать непосредственным источником поражения гланд. Инфекционные возбудители, поражающие миндалины, как правило, относятся к группе стафилококков или стрептококков (реже).
. Употребление холодных напитков.
Вода ниже комнатной температуры неблагоприятно воздействует на гланды: из-за холода сосуды сужаются, происходит нарушение местного кровотока, и организм не может доставить достаточное для борьбы количество иммунных клеток к верхним дыхательным путям. А между тем почти каждый из нас является носителем болезнетворных бактерий, которые до поры до времени не дают о себе знать и «молча» ждут своего часа. Особенно актуальна эта проблема в жаркие летние месяцы.
. Общее переохлаждение организма.
В данном случае происходит предельное напряжение сил иммунитета. Организм не успевает обезвредить инфекционные угрозы на всех «участках».
. Вдыхание холодного воздуха.
Специалисты не рекомендуют дышать ртом в холодное время года. Это верная рекомендация: как и в случае с холодной водой, происходит стеноз сосудов, а кроме того, на слизистую попадают инфекционные агенты из окружающего воздуха. В таких условиях заболеть еще проще.
Как видно, проще простого пострадать от воспаления миндалин: причины этого состояния встречаются нам каждый день в обычной бытовой обстановке.
Виды воспалений миндалин
Болезнь бывает острой и хронической. В хроническую стадию переходит недолеченная острая инфекция. Рассмотрим обе группы заболеваний более подробно.
Острое воспаление миндалин, или острая ангина
Острая ангина
Возникает стремительно, при сильном заражении. В зависимости от вида возбудителя и характера заражения бывает несколько видов:
- Катаральная ангина – самая частая и легкая форма заболевания. Инфекция присутствует только в гландах, стенка глотки практически не меняет цвет. Симптомы: боль в горле, которая особенно сильна при глотании (в состоянии покоя даже не чувствуется), слабость и ломота в теле, незначительное повышение температуры, общая интоксикация. При правильном лечении катаральную ангину можно вылечить за несколько дней. Достаточно местного применения антибиотиков (полоскания, орошения).
- Лакунарная – более сложная форма. Температура повышается до 39-40, больной отказывается от пищи, жалуется на боль в конечностях и пояснице. Боль в горле отдает в ухо, возможно нарушение слуха. На лакунах заметны белые скопления гноя, вскоре покрывают всю поверхность миндалин. Гнойный налет легко счищается, но быстро разрастается снова.
-
При фолликулярной сквозь слизистую миндалин проступают гнойные скопления-фолликулы, но они не выходят на поверхность. Увеличена селезенка, часто бывает боль в животе, рвота, диарея. Заболевание длится от 5 до 7 дней.
- Фибринозная часто присоединяется к лакунарной. На слизистой образуется пленка желто-белого цвета. Опасна сильной интоксикацией, проникновением инфекции в мозг.
-
Флегмонозная – редкая и самая опасная, при ней происходит разрушение миндалин. Узнать ее можно по специфическому запаху изо рта. Сильная боль усугубляется невозможностью глотания: даже жидкая пища вытекает через нос. Необходим срочный прием антибиотиков, чтобы не допустить образования перитонзиллярного абсцесса.
- Герпетическая ангина вызывается вирусом, сопровождается пузырчатой сыпью на задней стенке языка и на глотке. Часто присоединяются желудочно-кишечные симптомы: рвота и боль в животе.
- Язвенно-некротическая часто встречается у пожилых. Ее возбудитель – веретенообразная палочка, которая присутствует в бакфлоре каждого человека. При снижении иммунитета она активизируется. Причинами могут стать сердечно-сосудистые заболевания, хронические инфекции других органов. Симптомы: нет температуры и слабости, вместо боли в горле присутствует ощущение инородного тела. При удалении налета открывается кровоточащая язва.
Хронический тонзиллит
Развивается как последствие острого – при незаконченном лечении, а также при скоплении неблагоприятных факторов: ослабленного иммунитета, недостаточной гигиены ротовой полости, имеющихся инфекций.
Что такое хронический тонзиллит
Для него характерны:
- Рыхлые миндалины с зияющими лакунами или пробками в них, наличие налета.
- Постоянное увеличение подчелюстных лимфоузлов.
- Запах изо рта.
- Субфебрильная температура.
- Повышенная утомляемость.
Обострения случаются 2-3 раза в год, имеют форму легкой простуды или тяжелой ангины, которые усложняются нарушениями со стороны ЖКТ, почек и мочевыделительной системы, нервной системы. Скапливается гной в миндалинах, со временем они теряют защитную функцию.
Причины тонзиллита
Хронический тонзиллит опасен тем, что часто вызывает осложнения:
| Локализация | Проявление |
|---|---|
| Со стороны выделительной системы | Воспаление мочевого пузыря и почек (через них проходят активные бактерии, обитающие в миндалинах) – цистит, пиелонефрит, гломерулонефрит. Некоторые антибиотики вызывают образование песка в почках |
| Со стороны ЖКТ | Дисбактериоз, колит, гастрит, нарушения в работе печени, увеличение поджелудочной |
| Костная и хрящевая ткань | Разрушение структуры хрящевой ткани, риск артритов и артрозов, ревматизм |
| Иммунная и лимфатическая системы | Миокардит, эндокардит, тонзиллогенная дистрофия миокарда |
| Сердечнососудистая система | Миокардит, эндокардит, тонзиллогенная дистрофия миокарда |
Болезни, при которых воспаляются миндалины
Самым распространенным заболеванием, при котором может воспалиться гланда — это ангина. Тогда на пораженном участке будет наблюдаться гнойный налет белого или желтого цвета, температура тела повысится до отметок, превышающих показатель в 38 градусов, глотать станет больно. Также тонзиллит или ангину часто сопровождает интоксикация организма, рвота и понос. Лечение этого недуга нужно проводить строго по рекомендациям лечащего врача, принимать антибиотики, делать все прописанные процедуры, такие как полоскания гортани, соблюдение диеты и вывод токсинов из организма.
Также гланды могут воспаляться и при фарингите. В отличие от ангины фарингит сопровождается умеренно высокой температурой тела, опуханием лимфоузлов, без признаков интоксикации и гноя на миндалинах. Для избавления от неприятных симптомов фарингита назначаются противовирусные препараты и местные процедуры (полоскания или обработка горла).
Если больно глотать слева, возможно, это стрептококковая болезнь. Определить ее можно по наличию высыпания вверху ротовой полости и появлении белых пятнышек или полос на миндалине. Лечение обязательно должно включать в себя сильные препараты, устраняющие инфекционные агенты, иммуностимулирующую терапию и местное воздействие.
В случаях, когда левостороннее воспаление сопровождается еще болью в ухе, особенно если пациент пытается глотать. Скорее всего, это вообще не заболевание горла, а отит. Относиться к его лечению стоит также серьезно, как и к любому другому воспалительному процессу. При игнорировании комплексной терапии, назначенной оториноларингологом, может развиться абсцесс и понадобится операция.
Если справа или слева горло болит и чешется, а при этом у пациента заложен нос, можно делать вывод об одностороннем синусите.
Реже причиной боли в горле и опухания миндалины могут выступить аллергия или онкологическое заболевание.
Как проявляются воспаленные гланды?
Гланды
(миндалины
) – это один из органов иммунной системы человека. Они состоят из лимфоидной ткани
и располагаются между небными дужками. В организме они функционируют как своеобразный фильтр, защищая его от проникновения болезнетворных микробов. Таким образом, миндалины могут нейтрализовать инфекцию, которая проникает в организм с воздухом, пищей, водой. Но в некоторых случаях, если организм ослаблен, и при этом в глотку попадает большое количество микроорганизмов, гланды не могут эффективно выполнять свои функции и воспаляются.
Как правило, воспалительный процесс в миндалинах начинается остро. У больного появляется выраженная боль в гландах при глотании, ощущение общей слабости, озноба, может появиться ломота в суставах. Человека беспокоит головная боль, может очень стремительно подниматься температура тела. , которые располагаются под челюстью, часто увеличиваются, при их прощупывании отмечается болезненность. Может присутствовать и воспаление передней стенки глотки, иногда отмечается . На поверхности миндалин появляется . Гнойные воспаленные миндалины свидетельствуют о развитии гнойной ангины
. В таком случае к специалисту нужно обращаться немедленно.
Иногда отмечается выраженная боль в левой или в правой гланде. Воспалительные процессы миндалин практически никогда не проходят без боли. При инфекционных заболеваниях на протяжении некоторого времени отмечается боль после удаления гланд.
Если у ребенка увеличиваются гланды и резко возрастает температура тела, родителям не следует оставлять эти симптомы без внимания. Однако использовать имеющееся дома средство от боли в горле без консультации с врачом не стоит, так как состояние может только усугубиться. При отсутствии правильного лечения воспаление гланд может стать причиной серьезных осложнений — миокардита
, ревмокардита
, и др.
Лечение гланд в домашних условиях проводится в том случае, если больной чувствует себя относительно нормально, в горле отсутствуют большие гнойные пробки
и белые комочки
. Домашнее лечение гланд у детей и взрослых требует соблюдения постельного режима, по крайней мере, в тот период, когда у больного болят миндалины и держится высокая температура тела
Важно придерживаться правильного питьевого режима
: на протяжении дня употреблять много жидкости. Лечение воспаления гланд будет более эффективным, если в тот период, когда миндалины увеличенные, больной будет употреблять только теплую еду в небольших количествах
Желательно воздержаться и от острой
, соленой
, кислой пищи
. Все, что употребляет больной, должно легко усваиваться.
Лечение гланд народными средствами предусматривает использование для полоскания зева настоев и отваров трав (ромашка
, шалфей
, эвкалипт тысячелистник
, календула
и др.) Но если человека интересует, чем лечить воспаленные гланды, не следует практиковать исключительно народные средства, так как без антибактериального лечения избавиться от ангины сложно.
Следует помнить о том, что защитить организм от частых воспалений миндалин поможет укрепление иммунитета, включающее закаливание
, употребление витаминосодержащих продуктов и др.
Ошибочно полагать, что миндалины вырезать больно. Операция может проводиться как под местным обезболиванием, так и под общей анестезией. С точки зрения медицины такое вмешательство не является сложным. Поэтому операция по удалению гланд в Москве проводится практически в любой клинике. Цена удаления зависит от выбора медицинского заведения, и других факторов, о которых подробнее расскажет врач. После процедуры пациент остается в стационаре на 1-2 дня, далее восстановительный период он проводит дома. Несколько дней в горле может ощущаться боль. В это время желательно есть перетертую пищу.
Однако следует помнить, что при отсутствии гланд у человека исчезает естественный защитный барьер. Следовательно, шансы заразиться инфекцией увеличиваются. Поэтому удалять миндалины следует только при наличии четких показаний к такой операции.
Воспаление миндалин – специфический симптом определённого инфекционного, реже воспалительного процесса, при котором поражаются элементы глоточного лимфатического кольца. В большинстве случаев, воспаление нёбных миндалин обусловлено развитием или . В любом случае при наличии такого симптома у взрослых или ребёнка, следует обращаться к врачу, а не заниматься самолечением.
Как лечить миндалины народными способами
Прежде чем перейти к методам лечения в домашних условиях народными средствами, рекомендуется проконсультироваться с лечащим врачом, особенно, если такие способы планируется применять детям.
Дело в том, что отвары лекарственных трав заметно уступают в эффективности простым антисептикам из аптеки, или даже обычной соли с содой. Выбирая народные средства, следует быть готовым своевременно обратиться к врачу, если через 2-3 дня симптомы не уменьшатся.
Отвары для полоскания
Когда гланды воспаляются, народная медицина предлагает использовать следующие рецепты для лечения в домашних условиях.
- Отвар шалфея. Взять столовую ложку лекарственного растения, поместить в миску и залить 500 мл воды. Варить под крышкой 15-20 минут на малом огне. После процедить и остудить.
- Настойка прополиса. Измельчить 10 г прополиса, залить 100 мл водки, поместив лекарство в стеклянную посуду. Настаивать в темном месте две недели, ежедневно встряхивая. Затем использовать для полоскания горла, растворяя чайную ложку средства в стакане воды.
- Ромашка с медом. Приготовить отвар из одной большой ложки цветков ромашки и стакана воды, остудить до температуры 37 градусов и добавить столовую ложку меда. Полоскать этим средством горло 4 раза в день.
- Лекарство с чесноком. Выдавить 3-4 зубчика чеснока в стакан, залить кипятком и настаивать до тех пор, пока вода не остынет до комфортной температуры. Полоскать этим средством горло утром и вечером.
- Уксус для полоскания горла: в стакан кипяченой воды добавить чайную ложку уксуса, тщательно перемешать и использовать 3 раза в день.
Такие средства не рекомендованы для лечения гланд у детей в домашних условиях. Взрослый человек может экспериментировать со своим здоровьем, а при тонзиллите у ребенка необходимо как можно скорее посетить врача.
Мази и компрессы
Существует еще несколько домашних способов лечения.
- Народная медицина предлагает смазывать гланды медом, чтобы скорее справиться с болезнью. В целом, мед действительно обладает антисептическими свойствами и укрепляет иммунитет, поэтому полезен при тонзиллите. Однако засахаренный мед может травмировать гланды, тем самым спровоцировав ухудшение самочувствия, поэтому врачи рекомендуют применять его привычным способом – с теплым молоком.
- Еще одна мазь – это сок чистотела, смешанный с маслом какао. Необходимо растопить на водяной бане 100 г масла, добавить 5 капель сока чистотела, немного потомить на огне, а затем остудить. Слегка теплая мазь наносится на гланды 3-4 раза в день.
- Для уменьшения отека при хроническом тонзиллите предлагаются компрессы с водкой. Их можно ставить только убедившись в отсутствии жара и острого воспалительного процесса.
- Снять боль в горле поможет обычный капустный лист. Его необходимо размять пальцами, затем смазать обильно медом, смешанным с растопленным маслом, и приложить к шее.
- Разогреть подсолнечное масло (50 мл), выдавить в него 10 зубчиков чеснока, все перемешать и оставить остывать. Затем нанести средство на марлю или бинт и приложить к шее.
- Потереть крупную репчатую луковицу, затем процедить мякоть через марлю, отжимая сок. Смешать сок пополам с водой, а затем нанести средство на гланды с помощью ватной палочки. Повторять утром и вечером.
Компрессы нельзя делать при воспалении или увеличении лимфатических узлов, обострении тонзиллита и высокой температуре. Держать компресс нужно час, делать их лучше перед сном.
Прогревание горла
Эффективное народное средство при боли в горле (не рекомендуется людям с повышенным артериальным давлением)
Следующий метод запрещен при острой ангине, но действительно может помочь при хроническом тонзиллите. Необходимо сварить 5-6 крупных картофелин в большой кастрюле. Когда картошка будет готова, растолочь ее вилкой прямо в воде. Дождаться, пока вода немного остынет, а затем наклонится над кастрюлей и накрыться полотенцем. Дышать паром полезно при хроническом вялотекущем тонзиллите, так как теплый воздух помогает очистить гланды от пробок.
Еще один способ прогревания – дышать над отваром коры дуба. Для этого необходимо проварить в течение получаса 50 г коры дуба в крупной кастрюле (3-5 литров), а затем полчаса дышать паром.
Чтобы избежать повторного инфицирования или обострения тонзиллита, народные целители рекомендуют развесить по дому веточки лаванды, пучки чистотела, шалфея и мяты. Эти травы обеззараживают воздух в помещении. Для укрепления иммунитета можно принимать настойку эхинацеи.
Вопрос-ответ
Как понять, что у тебя воспаление гланд?
Воспаление в области небных миндалин, повышение температуры тела, першение, жжение, боли в области горла, наличие неприятного запаха, покраснение небных дужек, ломота в суставах, озноб, воспаление и болезненность подчелюстных лимфоузлов, кашель, охриплость.
Что снимает воспаление с гланд?
Боль в горле снимают: таблетки пастилки, леденцы для сублингвального приема, например, Шалфей, Фарингосепт, Аджисепт, Доктор МОМ, Суприма-ЛОР, спреи и аэрозоли для орошения слизистой (Гексаспрей, Каметон, Стоп-ангин, Ингалипт).
Что делать, если воспалилась гланда?
Для обработки миндалин применяются антибактериальные и противовоспалительные препараты. Для освобождения гланд от скопившегося гноя используется промывание лакун с помощью аппарата «Тонзилор». Также применяются инъекции в миндалины, введение в лакуны лекарственных веществ, смазывание миндалин антисептиками.
Сколько длится воспаление гланд?
Воспаление длится от 3 дней до 2 недель и сопровождается резким повышением температуры и болью в горле, которые полностью уходят после лечения.
Советы
СОВЕТ №1
Обратите внимание на симптомы: если вы заметили боль в горле, затрудненное глотание, увеличение лимфатических узлов или повышение температуры, не откладывайте визит к врачу. Раннее обращение за медицинской помощью поможет избежать осложнений.
СОВЕТ №2
Поддерживайте иммунную систему: для профилактики воспаления гланд важно вести здоровый образ жизни. Убедитесь, что ваш рацион богат витаминами, особенно витамином C, и не забывайте о регулярной физической активности.
СОВЕТ №3
Следите за гигиеной: часто мойте руки и избегайте контакта с людьми, у которых есть симптомы простуды или гриппа. Это поможет снизить риск заражения вирусами и бактериями, которые могут вызвать воспаление гланд.
СОВЕТ №4
Не занимайтесь самолечением: если вам поставили диагноз воспаление гланд, следуйте рекомендациям врача и не принимайте антибиотики без назначения. Неправильное лечение может привести к устойчивости бактерий и ухудшению состояния.





















































