Боль в горле с одной стороны
Если болит горло с правой стороны, значит, инфекционный процесс не успел распространиться на соседнюю миндалину, а процесс терапии нужно начинать прямо сейчас, чтобы не допустить осложнений.
Хотя простуда считается самой распространенной причиной першения и дискомфорта при глотании, если поражена, например, только правая сторона, это может быть вызвано и другими причинами, нежели воспаление гланды.
Нужно рассмотреть самые распространенные факторы, вызывающие дискомфорт то слева, то справа, а затем переход боли на обе стороны гортани.
Врачи отмечают, что боль в горле слева при глотании может быть симптомом различных заболеваний. Одной из наиболее распространенных причин является воспаление миндалин, которое может сопровождаться отеком и покраснением. Также возможно развитие фарингита или ларингита, когда воспаление затрагивает заднюю стенку горла или голосовые связки. В некоторых случаях боль может быть связана с инфекциями, такими как ангина или мононуклеоз. Важно учитывать, что дискомфорт может возникать и из-за травмы или раздражения, например, при употреблении слишком горячей пищи. Врачи рекомендуют не игнорировать такие симптомы, особенно если они сопровождаются высокой температурой, затруднением дыхания или увеличением лимфатических узлов. Консультация специалиста поможет установить точный диагноз и назначить необходимое лечение.

Острый фарингит
Заболевание, имеющее чаще вирусную, чем бактериальную природу и начинающееся симптоматикой, когда горло болит то с одной стороны, то с другой. Воспаление разлитое, покраснение распространяется по задней стенке и небной дужке, процесс сопровождается повышением температуры до 37-37,5оС и слабостью.
Фарингит в острой форме чаще затрагивает обе стороны гортани, но в начале боль может быть и односторонняя.
Тонзиллит
Ангина или тонзиллит – это острое воспаление миндалин, о развитии которого говорит чаще острая боль в горле справа, например.
Проявляется патология резким скачком температуры до 38-39оС, болевые ощущения быстро нарастают, человек не может нормально проглатывать пищу и воду, становится вялым, теряет аппетит.
В тяжелой форме, когда на поверхности миндалин и в лакунах скапливается гнойный налет, ощущается режущая боль в области горла, она доставляет максимальный дискомфорт и не проходит без применения антибиотиков (чаще тонзиллит имеет бактериальную природу).
Боль в горле слева при глотании — это симптом, который вызывает беспокойство у многих людей. Часто они описывают свои ощущения как резкую, колющую или жгучую боль, которая усиливается при попытке проглотить пищу или даже слюну. Некоторые отмечают, что дискомфорт может сопровождаться другими признаками, такими как покраснение, отек или даже затрудненное дыхание. Люди делятся своими переживаниями в интернете, обсуждая возможные причины: от простуды и тонзиллита до более серьезных заболеваний, таких как ангина или даже опухоли. Многие советуют не откладывать визит к врачу, если боль не проходит в течение нескольких дней или сопровождается высокой температурой. Важно помнить, что самолечение может лишь усугубить ситуацию, поэтому лучше обратиться за профессиональной помощью.

Отит
Если, например, болит слева, это может служить признаком не долеченного воспаления слуховой трубы – отита. Дискомфорт сопровождается повышением температуры до субфебрильных отметок, в пораженном ухе стреляет, а миндалина воспаляется с той же стороны.
Помимо болевых ощущений в гортани, человек может отмечать выделение гнойного или серозного экссудата из слухового прохода. Также может быть заметно, что увеличен лимфоузел под челюстью или за ухом, что обусловлено распространением инфекции по кровотоку от евстахиевой трубы к носоглотке и гортани.
Стрептококковая инфекция
Заразиться стрептококком можно через немытые овощи, либо грязные руки, внезапно проявиться такая патология может, скорее, у ребенка.
Стрептококк – это часть нормальной флоры гортани у человека, но при негативных внешних и внутренних факторах (снижение иммунитета, переохлаждение, стресс, грязные руки) количество микробов резко увеличивается.
Нужно заметить, что данная инфекция протекает тяжело, сопровождается высокой температурой и может ощущаться, например, колющая боль в горле слева. Затем инфекция переходит и на вторую гланду.
Травмирование слизистого эпителия
Если горло резко заболело, и опухла шея, такая симптоматика может указывать на повреждение слизистой гортани. Получить травму можно при воздействии пара, слишком холодного воздуха, бытовых химических веществ и т.д.
Самая банальная причина, почему болит горло с левой стороны, а других признаков простуды нет – это застрявшая в ткани слизистой косточка от курицы или рыбы. Температуры при этом нет, человек ощущает, что ему как будто мешает посторонний предмет, но не может понять, где и что застряло.
Новообразования
При формировании в области гортани доброкачественного или злокачественного новообразования на начальных стадиях это практически не проявляется.
Человек жалуется, что у него побаливает в горле, когда глотаешь, также это немного затрудняет процесс приема пищи. Злокачественный процесс отличается постоянными ноющими ощущениями с пораженной стороны, что говорит о прогрессировании заболевания.
Такой симптом, когда периодически возникают проблемы с проглатыванием, но признаки воспаления миндалин отсутствуют должен стать поводом обратиться к специалисту для обследования.
Лечение народными средствами, если долго болит горло с одной стороны без температуры
Хорошо зарекомендовали себя и народные средства, применяемые для снятия боли при глотании:
- Измельчить приблизительно столовую ложку инжира и залить его полулитром кипятка. Сразу же поставить на огонь и пусть протомится там не менее 10 минут. Принимать по сто мл четыре раза на день;
- Отжать сок алоэ или каланхоэ. На стакан кипячёной тёплой воды нужно две столовых ложки сока этих растений. После регулярного полоскания раствором воспаление уменьшается, и боль стихает;
- Прекрасное ранозаживляющее и противовоспалительное средство – прополис. Можно кусочек пожевать перед сном и оставить его там за щекой до утра. Но лучше всего удастся обезболить воспалённое место, если кусочек качественного прополиса просто жевать целый день.
- Траву мать-и-мачехи, шалфея, зверобоя, ромашки можно использовать для приготовления чая и раствора для полоскания при боли в горле. Для этого одно из этих растительных лекарственных средств нужно залить крутым кипятком и дать настояться. А пропорции такие же, как для приготовления всех лечебных чаёв – столовая ложка на стакан воды. Можно добавить в чай ложечку липового или майского мёда и дольку лимона;
- Уменьшат боли в горле, да и повысят иммунитет чаи с плодоножками малины или ежевики. Заварить как всякий лекарственный чай и добавить перед применением лимон и мёд;
- Чтобы избавиться от вредоносных микроорганизмов можно использовать довольно востребованное средство в народе – сок свежеотжатого лука. А потребуется всего одна чайная ложечка на один приём. Всего их три на день. Сок не проглатывать, а рассасывать медленно во рту;
- Хорошее средство, которое служит антисептиком и повышает иммунитет – мёд. Можно употреблять с пользой для себя все виды, но лучше всего горчичный, вересковый, ежевичный, клеверный или липовый;
- Вскипятить стакан молока и положить туда по чайной ложечке натурального сливочного масла и майского, акациевого или липового мёда. Пить не менее трёх раз на день мелкими глотками теплым;
- Очень хорошо холодит воспалённые места и обезболивает мятная настойка. Залить горсть листьев мяты стаканом тёплой кипячёной воды. Пусть ночь настоится. Полоскать горло, предварительно добавив туда чайную ложечку качественного мёда;
- Если горло покраснело с одной стороны и приходит боль при глотании надо жевать лимон прямо с цедрой или сосать тоненькие ломтики лимона с мёдом. Процедура должна проходить с интервалом три часа. После этого хотя бы час рекомендуется не кушать и не пить воду;
- При воспалительном процессе в горле быстро снять его поможет кора дуба и соцветия липы, которые настаивают в кипятке, а потом полощут горло. Потребуется семь ложек мелко измельчённой коры дуба и три ложки цветов липы. Перемешать, набрать ложку смеси, высыпать в ёмкость и залить стаканом кипятка, процедить.
Устранение боли
Самостоятельно лечить глотку, когда она болит только с левой стороны, нежелательно. В силу того, что причин возникновения такой симптоматики достаточно много, правильно диагностировать болезнь очень сложно. Однако вполне можно попытаться в течение 2–4 дней вылечить боль самостоятельно, ничем не рискуя. Естественно, обратиться к врачу – это беспрецедентная мера, но иногда такой возможности нет. Вне зависимости от заболевания, вам могут помочь:
- Смягчающие носоглоточные спреи (Ингалипт, Гексорал, Орасепт).
- Лечебные леденцы (Астрасепт, Стрепсилс, Терасепт).
- Полоскание средствами, которые направлены на борьбу с бактериями и смягчение болей в горле (Йодинол, Микроцид, Фурацилин).
- Жаропонижающие препараты, если повысилась температура (Панадол).
- Противовоспалительные средства (Ибуклин, Ибупрофен).
- Антигистаминные лекарства (Зиртек, Эриус, Фенистил).
Использовать народные средства, как основное лечение, врачи не советуют, так как они будут эффективны только в комплексе с основной медикаментозной терапией. Но их вспомогательная роль имеет большое значение в решении данного вопроса. Рассмотрим наиболее эффективные из них.
Чеснок с мёдом. Достаточно странное сочетание, но очень эффективное. Чтобы приготовить это лекарство, необходимо смешать треть или половину стакана измельченного чеснока с двумя столовыми ложками меда. Смесь нагревать на небольшом огне в течение 15–20 минут. Остудить и снова поставить на огонь (10–15 минут). Получившийся сироп процедить и употреблять по 1 столовой ложке каждые 2–3 часа. Такое средство не только смягчит болевые ощущения при глотании, но и будет бороться с возбудителями недуга, дополняя действие медикаментов.
Глицерин и экстракт прополиса. Достаточно действенный препарат для борьбы с бактериями в горловой зоне. Чтобы его приготовить необходимо смешать 10 мл 10% экстракта прополиса на спиртовой основе с 20 мг глицерина
Полученной субстанцией следует смазывать левую часть горла 2 раза в день (если она болит очень сильно, можно смазывать 3–4 раза, но очень осторожно, следя за реакцией организма).
Настой мяты и мелиссы. Средство, отлично снимающее боль при глотании и оказывающее общее терапевтическое воздействие на больную зону, предназначено для полоскания
Готовится очень просто: 15–20 грамм настоя мяты и мелиссы смешивается с 250–300 мл кипяченой воды. Полоскать горло нужно 3–5 раз в день с интервалом минимум 2,5 часа.
Отвар с пихтовых и еловых веток. Нужно взять полкилограмма пихтовых и еловых веток, залить их 3 литрами воды и прокипятить все не менее 20 минут. После процедить и добавить также полкилограмма меда, 15 мл/грамм экстракта прополиса, 40 мл спирта. Субстанцию стоит настоять около суток. Затем принимать 3–4 раза в день по столовой ложке (подогретым).
Травяной настой. Также предназначен для полоскания. Для его приготовления понадобится по одной столовой ложки эвкалипта, шалфея и календулы, которые необходимо кипятить в поллитре воды около 10–15 минут. Затем, под конец, добавить туда столовую ложку меда и щепотку лимонной кислоты, все перемешав. Полоскать горло 3–5 раз в сутки.
В заключение стоит отметить, что при своевременном обращении внимания на проблему боли в горле, устранить ее не так уж и трудно. Скорее всего, не обойдется без помощи врача, поэтому игнорировать визит в поликлинику нельзя. А дополняя основное лечение народными средствами, терапию можно ускорить в разы.
Почему болит горло при глотании?
Основной причиной болей становится повреждение слизистого слоя глотки. Это бывает результатом воспаления, инфекции, ожога, травмы. При заражении патогенными микроорганизмами развиваются тонзиллиты, фарингиты, могут возникнуть аллергические реакции, или произойти увеличение гланд. Также неприятное першение при проглатывании чувствуется от сухого воздуха.
Стеноз пищевода и спазмы в системе пищеварения провоцируют боль в горле. При обострении остеохондроза позвонков шейно-грудного отдела есть риск развития аналогичных болей.
В группу риска входят лица с недолеченным кариесом зубов, пародонтозом, имеющие травмы носоглотки и горла. При прорезывании зубов мудрости в зрелом возрасте с осложнениями будет ощущаться подобная болезненность. Курение и злоупотребление спиртными напитками также ведут к аналогичному симптому.
Ещё одной причиной боли при глотании может стать молочница и продолжительный приём сильных антибиотиков. Длительный болевой синдром будет указывать на серьёзные нарушения – ВИЧ-инфицирование, начальную фазу рака горла.
Есть несколько причин, которые способствуют затягиванию болезней горла. К главным относятся:
- неблагоприятная экологическая обстановка;
- недостаток свежего воздуха и солнечного света;
- курение;
- постоянные стрессы;
- недостаток физической активности;
- дефицит необходимых витаминов.
Такие факторы снижают защитные силы организма, способствуют переходу болезней в хроническую стадию.
Сильная боль в горле: основные причины
- Травмы. Гортань может быть травмирована. Возможно образование надрыва и переломов, что служит проявлению ротового кровотечения. Пациент начинает часто кашлять с выделением крови, у больного затруднено дыхание, он может пребывать в состоянии шока.
- Ожоги. Слизистая может быть подвержена ожогу, из-за чего пациент испытывает ноющие боли, когда глотает, страдает от обильного слюноотделения, рвоты с кровавыми выделениями. Часто подобное состояние становится результатом употребления кислоты, щелочи.
- Проявление тонзиллита. Болеть горло может в случае заражения вирусным заболеванием и воспаления миндалин. Болезнь передается воздушно-капельным путем и часто требует назначения курса антибиотиков. Из-за проявления вируса в организме происходит размножение болезнетворных бактерий и микроорганизмов.
- Заболевание свиным гриппом. Болезнь имеет отличия от обычной из-за поражения пациента особым вирусом. В лечении применяются противовирусные препараты, эффективным образом справляющиеся с заболеванием.
- Мононуклеоз. Пациент страдает от болей в горле, больного знобит, проявляется высокая температура, кашель, лихорадка. Мононуклеозом заболевает в своей жизни почти каждый человек. Заразиться болезнью можно посредством слюны. Ослабленный иммунитет служит одной из причин проявления мононуклеоза.
- Скарлатина. Пациент заболевает из-за проникновения в организм бактерий – стрептококков. Больное горло – один из симптомов заболевания. У пациента также наблюдается высокая температура, слабость, зуд, лихорадка.
- Хроническая усталость. Когда работа часто связана со стрессом и негативными эмоциями, больного одолевает чувство усталости. Происходит истощение организма и проявление различных симптомов. Спазмы в мышцах, мигрени, нарушенный режим сна и боли в горле являются симптоматикой синдрома. Необходимо исключить в таком случае принятие обезболивающих и противовирусных средств и включить в список лекарств антидепрессанты и отдых.
- Заболевание флегмоной. К симптоматике флегмоны относят боли режущего характера, высокая температура и лихорадка. Часто пациенту больно говорить.
- Проявление хронического ларингита. Возникновение заболевания происходит при возникновении инфекции, поражающей слизистую оболочку. Симптомы могут напоминать ангину, но через время пациент начинает страдать от частой одышки, охриплости.
//www.youtube.com/watch?v=jpZlFOveaBI
- Онкология. Онкологическая патология, развивающаяся в области горла, является опасным состоянием. Жалобы пациента: больное горло, усиление боли в результате глотания, появление крови, повышенная температура, общее ухудшение самочувствия, ломота в суставах.
- Аллергическая реакция. Необходимо оградить больного от аллергенов, среди которых могут быть пыль, пыльца растений, шерсть животных и другое.
- Сухость воздуха в комнате. Может стать причиной першения и боли в горле.
- Инородное тело в гортани. Острая боль может проявиться при попадании объекта в полость. При этом процесс сопровождается затрудненным дыханием, удушьем и жжением.
- Проявление туберкулеза. Развитие заболевания может спровоцировать туберкулез легких. Одна из жалоб – больное горло.
Лечение в домашних условиях
Проводить лечение дома можно при лёгком течении заболевания, без осложнений и присоединения других патологий. Методы терапии будут зависеть от причины болей. В любом случае обязательно соблюдать диету.
При повреждении горла больно кушать обычную пищу. Все блюда должны быть перетёртыми, иметь однородную консистенцию и среднюю температуру. Не допускается использование жгучих приправ и специй, которые будут раздражать повреждённые части слизистого слоя.
Местное лечение
Эффективно при лечении полоскание. Независимо от того, справа или слева повреждено горло, процедура проводится для всего органа. Чтобы получить положительный результат, раствор для полоскания должен быть тёплым. Хорошо помогают отвары календулы, шалфея, ромашки.
Для облегчения воспаления в горле хорошо себя зарекомендовало средство на основе растительного сухого экстракта и эссенциального масла Шалфей таблетки для рассасывания от Натур продукт. Шалфей таблетки для рассасывания от Натур продукт – комбинированный препарат, содержащий комплекс биологически активных веществ¹. Оказывает противовоспалительное, противомикробное и отхаркивающее действие, а также обладает вяжущими свойствами¹. Шалфей таблетки для рассасывания от Натур продукт имеет растительный состав¹. Шалфей таблетки для рассасывания от Натур продукт производится в Европе¹ в соответствии с международными стандартами качества производства.
Для избавления от гнойной ангины пригодится перекись водорода. Она стимулирует заживление ранок, обеззараживает поверхность ротовой полости, не даёт инфекции распространяться.
Полоскание следует проводить каждые 30 минут. Слизистая оболочка должна постоянно находиться под воздействием лекарственных средств, но слюна смывает их. Лучше провести 1- 2 прополаскивания часто, чем полоскать горло долго, но трижды в день.
Полноценное лечение
Для эффективного лечения нужно выявить причину заболевания. При бактериальном происхождении патологии назначаются антибиотики. Если боль выражена сильно, применяются спреи и таблетки с обезболивающим действием. На весь период лечения рекомендуется постельный режим, тёплое питьё в большом объёме, ограничение в разговорах.
Часто назначают полоскания с Хлоргексидином, Фурацилином, Мирамистином. Они обеззараживают, помогают справиться с болевым синдромом, уменьшают отёк и воспаление.
Для укрепления организма и повышения сопротивляемости принимают иммуностимулирующие медикаменты – Иммунал, Циклоферон, Имудон. Они позволяют ускорить выздоровление, сформировать защитный барьер против бактерий и вирусов, который помогает не болеть в период межсезонья.
Односторонняя (атипичная) ангина или атипичный тонзиллит
Это заболевание является родственным тонзиллиту, если можно так выразиться. Главным отличием является то, что в результате генных мутаций бактерии-возбудители и вирусы поражают практически всегда (около 93% случаев) левую часть глотки. Главными провокаторами недуга, вызывающими гнойные и воспалительные процессы, являются стафилококки и стрептококки, измененные на генном уровне. Односторонняя ангина практически не передается воздушно-капельным путем, поэтому заразиться ею от другого человека невозможно.
Симптомы данного заболевания следующие:
- ярко выраженная боль в горле именно слева (без отдачи в другие зоны);
- отек и воспаление левых миндалин, их покраснение и появление на них налета, гнойничков или язв;
- выделения гнойного характера;
- общая слабость, сонливость, апатия, пропажа аппетита, реже — тошнота;
- отсутствие температуры или же она очень низкая (менее 37,3–37,5 градусов).
Атипичный тонзиллит протекает тяжелей, по сравнению с обычным, из-за чего обращение к врачу является необходимой мерой. Только специалист может точно диагностировать и правильно лечить такую болезнь. Даже у самых лучших специалистов иногда уходит до 30–40 дней на лечение данного заболевания.
Когда обращаться к врачу?
Если долго болит справа, а симптомы не проходят, несмотря на проведение домашней терапии, необходимо обратиться к специалисту для выяснения причин.
Внимание
Синдром может свидетельствовать о переходе фарингита или тонзиллита в хроническую форму, формировании новообразования или нагнонии застрявшего инородного предмета в полости глотки.
Обследование начинается с осмотра и проведения фарингоскопии. Рекомендуемый перечень диагностических процедур включает:
- общие анализы крови и мочи для оценки уровня лейкоцитов и скорости оседания эритроцитов;
- взятие мазка с поверхности слизистой эпителия на выявление типа возбудителя – биоматериал используют для ПЦР диагностики (при подозрении на специфический тип тонзиллита), проведения быстрых антигенных тестов на наличие гемолитического стрептококка типа А.
- также проводится посев на питательную среду, чтобы установить чувствительность микроорганизма-возбудителя к медикаментам.
Врач расспрашивает, давно ли воспалилось горло, какой симптоматикой сопровождается процесс, есть ли повышение температуры. Если боль незначительная, а температуры нет, можно попробовать купировать воспаление самостоятельно с помощью медикаментов и народных средств. К врачу необходимо обратиться в следующих случаях:
- резкая пульсирующая боль в гортани, заставляющая пациента отказываться от еды и питья;
- когда есть температура, доходящая до критических отметок, на фоне которой у человека появляется невнятная речь;
- проблемы с дыханием и сглатыванием слюны;
- отек гортани с двух сторон, распространяющийся на челюсть и создающий проблемы с открыванием рта;
- больной не ходит в туалет на протяжении более 12 часов.
Такая симптоматика должна насторожить и стать поводом для срочного вызова доктора на дом. Если болела сначала левая сторона, а затем дискомфорт быстро распространился на вторую сторону, это говорит о прогрессировании воспаления.
Причины боли с одной стороны
Когда болит горло с одной стороны и больно глотать при этом, то это говорит о развитии ОРВИ или ОРЗ. Инфекция ещё не перешла на вторую сторону глотки. Болезненность указывает на скопление гнойников, которые при проглатывании пищи повреждаются, вызывая режущие, колющие ощущения.
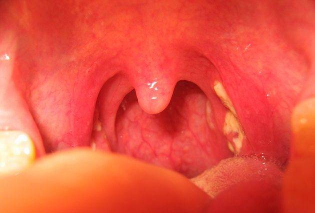
Когда болит горло с левой стороны, то поражена инфекцией левая гланда. В этом можно убедиться при помощи фонарика и зеркала. Например, миндалины при хроническом тонзиллите будут красными, лимфоузлы увеличенными в размере с налётом белого цвета.
Общее самочувствие будет отличаться слабостью, плохим аппетитом, вялостью. Когда болит горло с правой стороны, то инфекция поразила правую гланду. Воспаление может перекинуться на заднюю стенку горла, что вызовет кашель.
Отсутствие температуры при боли
Усиление боли без температуры часто случается при обострении хронических патологий. Такие явления характерны для межсезонья. На раздражённый слизистый слой носоглотки попадает холодный воздух, что вызывает болезненность. Бывает неприятно разговаривать, глотать.
Постепенно присоединяются другие признаки – заложенность ушей, кашель, насморк. Без лечения такое состояние способно перейти в воспаление с высокой температурой.
Если не лечить зубы и болезни дёсен, то размножение бактерий будет увеличиваться. Они доберутся до носоглотки. В горле сформируются гнойники, которые начнут провоцировать неприятные ощущения при глотании без повышения температуры.
Ещё одной причиной возникновения одностороннего дискомфорта способна стать травма. Например, ожог горячей пищей, повреждение косточкой от рыбы, семечками, жёсткой коркой.
Сопутствующие симптомы
Комок или неприятные ощущения
Одной из жалоб пациента может быть ощущение комка в горле. Боль может сопровождаться чувством шевеления в гортани, которое становится причиной дискомфорта. При каждом глотке пациент ощущает инородное тело. При этом ощущения могут разниться: можно испытывать как щекотание, так и удушье. Образование опухоли сопровождается похожими симптомами.
Ощущение комка при проглатывании иногда не связано с болезнью. Возникновение состояния может быть обусловлено перенесенным стрессом и долгой депрессией. Мышцы напрягаются, из-за чего верхняя часть горла подвержена волнению, и создается ком, проходящий, спустя время, сам по себе.
Острая боль в горле с одной стороны
Болезненность может проявляться из-за односторонней ангины, вирусного заболевания или ушиба. Сильная боль в горле при глотании может быть односторонней, после того как был пережит химический или механический ожог, способствующий повреждению оболочки. Травмы легко поддаются диагностике при первом посещении терапевта. Проблемы могут возникнуть из-за возраста пациента или болезни, связанной с психикой. Повреждения должны быть устранены в первую очередь при лечении.
В районе кадыка
Боли в районе кадыка, проходящие с различной интенсивностью, могут быть обусловлены пораженной гортанью и органов, которые ее окружают. При этом пациент испытывает боли в горле, которые усиливаются, когда надавливают на кадык. Также может беспокоить длительное покалывание с одной из сторон. Воспаление тканей и односторонняя резь свидетельствуют о том, что у больного могут быть проблемы с щитовидной железой. Ларингит в острой или хронической стадии может также спровоцировать дикую боль в кадыке.
Колющая
Ребенок часто при болезни может жаловаться на колющую боль в области горла. Возникновение болезненности может произойти из-за травмирования, невроза, невралгии или возникновения воспалительного процесса, затрагивающего глотку или гланды. Перечисленные патологии могут вызывать жалобы пациента на резкую, колющую боль в горле. Диагностирование может быть затруднено без анализа других симптомов.
Отдает в ухо
Зачастую пациенты при посещении терапевта жалуются на боль в горле, которая начинает отдавать в ухо. Причина заключается в анатомическом строении носоглотки. Уши связаны с органом, из-за чего попадание инфекции может вызвать развитие воспалительных процессов в среднем ухе. Дифтерия, скарлатина или корь могут стать причиной такого состояния больного.
Болит горло, больно глотать причины
Источники боли в горле зависят от возбудителя или неблагоприятного фактора среды — вирусы, бактерии, обстановка жизнедеятельности, осложнения стоматологических вмешательств, сопутствующие системные заболевания…
Наиболее частой причиной боли в горле является инфекция. Чаще, это вирусы, которые способны внедриться в слизистую оболочку горла, носа и вызвать бронхит и простуду, синусит, ларингит или грипп.
Если иммунная система в полной боевой готовности, она защищает от проникновения вирусов в организм. Миллионы вирусов окружают нас на работе, в общественном транспорте, на улицах и других местах.
Когда организм ослаблен из – за переутомления, недоедания, длительного стресса, человек становится более уязвим. Иммунная система не может справиться с вирусом и вскорости появляется боль в горле, которая приходит внезапно, но часто ей предшествует насморк .
Горло защищает организм от вирусов и бактерий. В нем находится миндалины, ответственные за уничтожение бактерий и микробов. Когда организм ослаблен, микробы легко проникают в гортань и легкие.
Покраснение и набухание миндалин говорит о проникновении инфекции. Если появляется белый налет, можно предположить, что организм подвергся нападению бактерий – в основном это стрептококковый фарингит или тонзиллит.
Влияние внешних факторов
Загрязненный или очень сухой воздух, табачный дым, могут стать причиной боли в горле. При регулярном нахождении в пыльной комнате, курении или злоупотреблении алкоголем может развиться хроническое воспаление.
Аналогично реагируют слизистая оболочка горла на потребление в больших количествах чрезвычайно горячей или острой пищи.
Также называется флегмона дна полости рта. В наше время встречается редко. Появляется в результате продолжительного кариозного процесса, после экстракции (удаления) зуба или пародонтита.
Также уязвимы те, у кого серьезно повреждена слизистая оболочка полости рта, языка и те, кто страдает от воспаления слюнных желез или миндалин. Имеет значение отсутствие гигиены и пренебрежения в ежедневном уходе за зубами и ротовой полости.
Гастроэзофагеальный рефлюкс (ГЭРБ)
Гастроэзофагеальной рефлюксной болезнью является рецидивирующее заболевание пищевода и других органов пищеварения с ненормальной регрессией содержимого желудка в горло, в которое попадает не только ранее принятая пища, но также выделяемая в желудке соляная кислота и пищеварительные ферменты.
Таким образом, рефлюкс вызывает неприятные ощущения в горле. Для ГЭРБ, типичным, является изжога или чувство жжения за грудиной. Кроме того, сильное раздражение может вызвать воспаление пищевода. Все это связано с болезненным глотанием.
Длительное воспаление может привести даже к сужению или грыже пищевода. а также язве и кровотечению. Заболевание лечится с помощью лекарств и изменения образа жизни (нормализации веса, отказа от курения, малых единовременных доз пищи). В редких случаях показано хирургическое лечение.
Боль при глотании также может быть вызвана языковым абсцессом, паратонзиллярным абсцессом. Болезнь чаще всего вызвана бактериями. Может развиться в результате осложнения ангины или острого тонзиллита.
Абсцесс может сопровождаться некоторыми системными заболеваниями (сахарный диабет, дефицит питательных веществ, заболевания кроветворной системы).
Присутствует симптомы. слюнотечение, лихорадка, асимметрия языка в сочетании с ограниченной подвижностью, болезненное утолщение языка и болезненное опухание лимфатических узлов в подчелюстной области.
Лечится, как правило, антибиотиками, полосканием рта. Это заболевание чаще встречается у женщин.
Боль в горле может быть признаком более серьезных заболеваний. Дисфагию (Odynophagia) или нарушение глотания, не следует воспринимать легкомысленно, потому что этот симптом может указывать на рак – гортани, глотки, пищевода.
Дети могут болеть мононуклеозом, корью, ветряной оспой, скарлатиной или дифтерией. Обычно, эти болезни сопровождается сыпью.
Боль в горле у детей также может произойти во время застревания инородного тела.
Когда налет и болезненность в горле сохраняется в течение длительного времени и нет никаких других симптомов, характерных для простуды, нужно обратиться за помощью к врачу. Такие симптомы, как правило, у пожилых людей могут свидетельствовать о хронической болезни почек, сердечной недостаточности или о других серьезных заболеваниях.
Средний отит
Средним отитом называют острое воспаление слизистой оболочки барабанной полости, которое чаще всего возникает в результате бактериального поражения тканей. Средний отдел слухового анализатора связан с носоглоткой посредством евстахиевой трубки. В случае возникновения патологических процессов в ухе, болезнетворные агенты легко проникают в слизистую оболочку носа и глотки, вызывая септическое воспаление.
Если односторонние боли в глотке сопровождаются «прострелами» в ухе и резким снижением слуха, это может свидетельствовать о развитии среднего отита.
Из-за практического отсутствия местного иммунитета в барабанной полости инфекция прогрессирует быстро. Поэтому несвоевременное устранение патологических процессов чревато поражением ушного лабиринта, которое может привести к развитию кондуктивной или нейросенсорной тугоухости.
Бактериальное воспаление слухового анализатора повышает риск развития отогенного отита, при котором наблюдается воспаление оболочек головного мозга.
Лечение патологии сопровождается приемом системных антибиотиков и противовоспалительных средств. В случае своевременного назначения противомикробной терапии болезненные ощущения в ухе можно устранить если не за один, то за три-четыре дня.
Вопрос-ответ
Почему болит одна сторона горла при глотании?
Почему болит горло с одной стороны? С одной стороны горло может болеть в случае развития заглоточного абсцесса, локального одностороннего воспаления, гиповитаминозов, из-за развития опухолей. Иногда расстройство развивается из-за заболеваний щитовидки, имеет место выраженный болевой синдром.
Почему болит горло, но это не ангина?
Другие причины Кроме уже приведенных, причинами болей в горле могут быть и другие заболевания, например, проблемы пищеварительного отдела, ВИЧ, нагноения лимфоузлов и заглоточной клетчатки, острый лейкоз. Неприятные ощущения могут быть вызваны травмами, пребыванием в низких температурах и снижением иммунитета.
Почему болит горло с одной стороны и ухо?
Причиной тому, что ухо и горло болит одновременно, как правило, являются анатомические особенности строения носоглотки, которая тесно связана с ухом, поэтому инфекции из носоглотки легко проникают в область среднего уха, вследствие чего развивается воспалительный процесс не только в горле, но и в ушах.
Что может болеть в гортани?
А Аденоидит АнгинаГ ГриппД ДифтерияЛ ЛарингитО Острая респираторная вирусная инфекция (ОРВИ) Острые респираторные заболевания (ОРЗ)Р Рефлюкс-эзофагит (ГЭРБ)Т Тонзиллит хроническийФ Фарингит Фиброма гортани
Советы
СОВЕТ №1
Обратите внимание на симптомы. Если боль в горле слева при глотании сопровождается высокой температурой, затрудненным дыханием или сильной отечностью, немедленно обратитесь к врачу. Это может быть признаком серьезного заболевания, требующего медицинского вмешательства.
СОВЕТ №2
Пейте теплые жидкости. Теплый чай с медом или бульон могут помочь успокоить раздраженное горло и уменьшить дискомфорт. Избегайте слишком горячих или холодных напитков, так как они могут усугубить боль.
СОВЕТ №3
Используйте полоскания. Полоскания соленой водой или раствором соды могут помочь снять воспаление и облегчить боль в горле. Для этого растворите половину чайной ложки соли или соды в стакане теплой воды и полощите горло несколько раз в день.
СОВЕТ №4
Избегайте раздражителей. Курение, алкоголь и острая пища могут ухудшить состояние горла. Постарайтесь ограничить их употребление, чтобы не усугублять боль и воспаление.


























































