Диагностика ахалазии кардии
Диагноз ахалазии кардии ставят на основании жалоб пациента, данных анамнеза (истории) патологии, результатов дополнительных методов обследования (физикальных, инструментальных, лабораторных).
Из анамнеза выясняют следующее:
- какими патологиями пищевода болел пациент;
- наблюдалось ли у него нарушение глотания;
- проводилось ли лечение, было ли оно эффективно.
При физикальном обследовании выявляют следующее:
- при общем осмотре – общее состояние пациента удовлетворительное, при прогрессировании патологии он выглядит исхудавшим;
- при местном осмотре – по просьбе врача сделать глотающее движение пациент при выполнении этого действия подсознательно прикладывает ладонь к горлу;
- при пальпации (прощупывании) – при выраженной ахалазии у исхудавшего пациента может прощупываться в эпигастрии характерный валик – это спазмированная нижняя часть пищевода.
Из инструментальных методов исследования в диагностике описываемого заболевания применяются:
- фиброэзофагогастроскопия (ФЭГС) – в пищеводный просвет вводят фиброгастроскоп (разновидность эндоскопа со встроенной оптической системой и подсветкой), осматривают слизистую оболочку, наблюдают за перистальтикой пищевода (в частности, в конечном отделе). Осмотр желудка также проводят – он необходим для дифференциальной диагностики данного нарушения с желудочными патологиями;
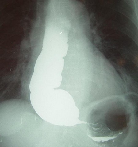
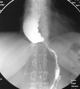
- рентгенологическое контрастное исследование – пациенту предлагают проглотить порцию контрастного вещества (сульфата бария), после этого делают серию рентгенологических снимков. По ним выявляют скорость перемещения сульфата бария по пищеводу и освобождения от него конечного участка пищевода;
- измерение внутрипищеводного давления – его проводят с помощью специального манометра, давление при этом повышено, что свидетельствует про повышенный тонус мышечной оболочки пищеводной стенки;
- ультразвуковое исследование органов брюшной полости (УЗИ) – необходимо для дифференциальной диагностики описываемого заболевания с нарушениями со стороны органов живота.
Лабораторные методы позволяют провести дифференциальную диагностику с другими заболеваниями, а также выявить последствия (осложнения) патологии. Обычно проводятся:
- общий анализ крови – при реактивном воспалении слизистой пищевода обнаруживают повышение уровня лейкоцитов (лейкоцитоз) и СОЭ;
- биохимический анализ крови – в запущенных случаях при потере веса пациента отмечают уменьшение количества общего белка с нарушением соотношения его фракций, реже – уменьшение количества жиров в крови.
Врачи отмечают, что ахалазия кардии и кардиоспазм представляют собой серьезные заболевания, требующие внимательного подхода к диагностике и лечению. Эти состояния характеризуются нарушением моторики пищевода, что приводит к затруднениям при глотании и дискомфорту. Специалисты подчеркивают важность раннего выявления симптомов, таких как регургитация пищи и боль в груди, поскольку это может существенно повлиять на качество жизни пациента. Лечение включает как консервативные методы, такие как диета и медикаменты, так и хирургические вмешательства, например, миотомию. Врачи рекомендуют индивидуальный подход к каждому пациенту, учитывая его общее состояние и сопутствующие заболевания. Регулярные обследования и наблюдение у гастроэнтеролога играют ключевую роль в успешном управлении этими заболеваниями.

Отдельные признаки
Если диагностирована недостаточность кардии желудка, то врачи выделяют несколько синдромов:
- Синдром дисфагии. Клинические проявления в данном случае следующие:
- ощущение, как будто в груди «комок»;
- тяжело сглатывать;
- во время еды больной постоянно давится.
- Синдром регургитации, или обратный заброс пищи. Если клапан желудка не закрывается, то пища, даже съеденная накануне, может выбрасываться из желудка в ротовую полость. Больного мучают периодические срыгивания, в особенности если он принимает горизонтальное положение. Объем вытекающей жидкости может быть большим по объему. Примерно у 30% пациентов наблюдается кашель во время сна.
- Болевые ощущения. Растянутые стенки пищевода, сфинктер, находящийся в спазмированном состоянии, на который давит пищевой комок, — все это приводит к болям. Распирающие боли беспокоят не только во время приёма пищи, но и спустя несколько часов. В грудине боль может наступать после физических нагрузок, отдавая даже в руки и спину. Параллельно может беспокоить тошнота, вплоть до рвоты. Отрыжка имеет неприятный запах.
- Астения. Этот синдром возникает на фоне того, что практически не происходит всасывания питательных веществ, в итоге – отсутствие аппетита и уменьшение массы тела. Больше половины пациентов утрачивает около 20% массы от первоначального значения. Состояние связано и с психоэмоциональной составляющей, больной переживает и мучается от постоянного дискомфорта.
Пациенту проще есть твердую, чем жидкую пищу. Связано это с тем, что твердые продукты сильно давят на сфинктер привратника и способствуют его раскрытию. Проще говоря, наблюдается нарушение проходимости пищи. Эти симптомы очень важны для правильной постановки диагноза, так, к примеру, при наличии рака или стеноза клиническая картина обратная, больному тяжело употреблять твердую пищу.
Если кардиальный сфинктер утрачивает свою функциональность, то помимо вышеописанных синдромов у больного наблюдаются и другие симптомы:
неприятный запах из полости рта из-за изменения диаметра клапана и постоянной задержки частиц еды в пищеводе. Со временем это может стать причиной появления эрозий и язв на слизистой оболочке;
- изжога, больному кажется, что боль жгучая и движется снизу вверх;
- некоторые пациенты даже ощущают, как пища передвигается через незакрывающийся клапан, оставляя за собой привкус кислого;
- отрыжка с кислым привкусом;
- обильное слюноотделение;
- охриплость в горле;
- проблемы с зубами и деснами, кариес;
- усиленное сердцебиение.
Данная патология — прогрессирующее состояние, поэтому истощение и ухудшение состояния идет по нарастающей.
Ахалазия кардии
Ахалазия кардиального отдела пищевода — отсутствие согласованной перистальтической активности стенки пищевода, в результате этого не расслабляется нижний сфинктер пищевода в ответ на проглатывание пищи и она не сразу попадает в желудок, накапливаясь в пищеводе.   Ахалазия кардии связана с нарушением нервной регуляции мышц пищевода. Ахалазия кардии связана с нарушением нервной регуляции мышц пищевода. Заболеваемость составляет 1–2 человека на 100 000 населения.   И хотя преобладающий возраст больных от 20 до 60 лет, около 5 % заболевших приходится на детей. Среди факторов риска определенное значение имеют стрессы, поспешный прием пищи и некоторые другие факторы, сопровождающиеся нарушением двигательной активности пищевода.
Ахалазию кардии можно заподозрить при нарушении глотания как жидкой, так и твердой пищи, сопровождающегося ощущением остановки пищи в пищеводе с последующим проваливанием ее в желудок, причем больные сами находят различные методы, улучшающие движение пищи в желудок (после проглатывания пищи делают несколько глотательных движений, запивают каждый кусочек пищи водой, ходят, подпрыгивают).  
Длительность задержки пищи в пищеводе может быть от 30 секунд до 3 часов в зависимости от стадии болезни. Нарушения глотания усиливаются после нервного возбуждения, быстрого приема пищи, особенно плохо прожеванной.   Одновременно отмечаются боли за грудиной в связи с переполнением пищевода, исчезающие после срыгивания или прохождения пищи в желудок. Боли при ахалазии сходны с таковыми при стенокардии, однако для последней не свойственны нарушения глотания.   При срыгивании, которое обычно бывает после нескольких глотков, имеется опасность попадания содержимого пищевода в дыхательные пути и развитие пневмонии.  
Характерно срыгивание пищей, не имеющей кислого вкуса, так как она срыгивается, еще не попав в кислую среду желудка. Ахалазия часто сопровождается икотой, отрыжкой воздухом, эзофагитом, похуданием (потеря массы тела может достигать 10–20 килограммов).
При обнаружении указанных симптомов следует немедленно обратиться к врачу. Уточнить диагноз позволяет проведение рентгенологического обследования пищевода с сульфатом бария, фиброэзофагогастроскопии, манометрии пищевода и другие по усмотрению лечащего врача.   Для исключения ишемической болезни сердца (стенокардии) проводят электрокардиографию.
Лечение в случаях тяжелого нарушения глотания осуществляется либо путем расширения места перехода в желудок с помощью баллона, в который под давлением нагнетают воздух (пневмокардиодилатация), либо путем частичного рассечения спазмированных мышц кардиального отдела пищевода с помощью эндоскопа.   Эффективность пневмокардиодилатации пищевода при ахалазии, составляющая от 60 до 100 %, зависит от величины диаметра баллонов-расширителей, продолжительности заболевания, возраста больных.   При наличии противопоказаний к проведению пневмокардиодилатации и хирургического лечения используют введение ботулинического токсина в нижний сфинктер пищевода. Временное облегчение дают и лекарственные препараты, уменьшающие спазм пищевода.
Больному следует придерживаться правил приема пищи, физической активности (недопустимость нагрузок на мышцы брюшного пресса), сна (головной конец кровати должен быть приподнят), знать об опасности приема лекарств, раздражающих слизистую оболочку пищевода, особенно в виде таблеток (аспирин и другие нестероидные противовоспалительные препараты, аскорбиновая кислота, хлорид калия, сульфат железа), и так далее.
Далее… Диета и питание при эзофагите
Внимание! информация на сайте не является медицинским диагнозом, или руководством к действию и предназначена только для ознакомления
Главная
OrthoTalks
Новости
Травматология
PRP-терапия
Медицинские бланки
Политика конфиденциальности
Контакты
Партнеры
Спасибо
Внимание! Все материалы размещенные на странице не являются рекламой, а есть не что иное как мнение самого автора, которое может не совпадать с мнением других людей и юридических лиц!
Материалы, предоставленные на сайте, собраны из открытых источников и носят ознакомительный характер. Все права на
данные материалы принадлежат их законным правообладателям
В случае обнаружения нарушения авторских прав — просьба сообщить через обратную связь. Внимание! Вся информация и материалы, размещенные на данном сайте, представлены без
гарантии того, что они не могут содержать ошибок.
Есть противопоказания, необходимо проконсультироваться со специалистом!
Ахалазия кардии и кардиоспазм — это состояния, которые вызывают множество вопросов и беспокойств у людей. Многие пациенты описывают свои ощущения как чувство сжатия в груди, затрудненное глотание и постоянные боли. На форумах и в социальных сетях можно встретить истории о том, как эти заболевания влияют на повседневную жизнь: от отказа от любимой пищи до постоянного стресса при приеме пищи. Люди делятся своими переживаниями о том, как долго искали диагноз и как сложно было найти подходящее лечение. Некоторые отмечают, что после диагностики и назначения терапии, таких как ботулинотерапия или хирургическое вмешательство, они почувствовали значительное облегчение. Однако, несмотря на положительные изменения, многие продолжают сталкиваться с психологическими аспектами болезни, такими как страх перед едой и социальная изоляция. В целом, обсуждение ахалазии кардии и кардиоспазма показывает, насколько важно не только медицинское, но и эмоциональное сопровождение пациентов.

Типы и виды
Данное заболевание также принято называть как ахалазия кардии. В медицинской практике существует примерно два десятка классификаций заболевания. Однако, по типам болезнь можно разделить только так:
- первичная (идиопатическая);
- вторичная (симптоматическая).
Помимо такой классификации, заболевание можно разделить еще на два вида, при этом необходимо отталкиваться от рентгенологических признаков, которые могут проявляться:
- Первый тип можно встретить в 60% всех случаев заболевания. При этом можно обнаружить сужение пищевода или расширение пищевода. В зависимости от этого, возможно изменение формы пищевода на более цилиндрическую.
- Во втором случае, определенный отдел пищевода уже значительно сужен, при этом его мышечная оболочка является атрофичной.
Как становится понятно, первый тип ахалазии, как правило, переходит во второй. Часто случается, что между двумя типами заболевания можно увидеть промежуточную форму, однако, как показывает практика, заболевание все равно переходит в более сложную форму, при этом лечение становится более сложным. Помимо этого, большинство специалистов, которые изучают данное заболевание (гастроэнтерологи и хирурги) придерживаются классификации заболевания по стадиям:
- Первая стадия. Ее называют функциональной, так как она влечет за собой лишь временные нарушения, связанные с нарушением прохождением пищи сквозь кардинальный сфинктер. Результат данного типа – временная задержка пищи в пищеводе. Так как со временем продукты все же поступают в последующие органы, данная стадия не является критической и может не вызывать сильного дискомфорта.
- Втора стадия является продолжением первой. При этом застой пищи в органе уже является более длительным, что приводит к более серьезной степени риска.
- На третьей стадии ахалазии можно наблюдать стабильное расширение органа, а также его сужение в нижней части. Данное воспаление может быть спровоцировано наличием и формированием рубцов.
- На четвертой стадии можно разглядеть определенную клиническую картинку. Можно увидеть типичные свойства ахалазии кардии, к которым можно отнести значительное расширение пищевода, а также наличие осложнений.
Каждая предыдущая стадия, при отсутствии лечения, переходит в последующую, при этом появляется все больше рисков усложнений. Стоит помнить, что при усложнении заболевания, можно наблюдать появление иных заболеваний, которые могут быть спровоцированы ахалазией. К ним можно отнести эзофагит, периэзофагит, фиброзный медиастинит и множество других болезней, имеющих серьезные последствия.
Лечение ахалазии
Как только заболевание обнаружено, необходимо терапия. Лечение направлено на облегчение симптомов дисфункции пищевода. Для этого есть различные методы лечения, но все они преследуют одну цель:
- снижение давления в нижнем пищеводном сфинктере – клапане между желудком и пищеводом,
- чтобы пища быстро и полностью проходила из пищевода в желудок.
Тем не менее, причину ахалазии нельзя устранить: невозможно исправить нарушенную нервную систему мышц пищевода. Этим мы хотим сказать, что болезнь не поддается лечению.

Медикаментозная терапия
На ранних стадиях ахалазии для лечения подойдут лекарственные препараты, которые снижают давление в нижней части пищевода и, таким образом, в значительной степени облегчают симптомы заболевания.
Подойдут также препараты, которые используются при высоком кровяном давлении и ишемической болезни сердца: антагонисты кальция и нитраты.
Препарат следует принимать примерно за полчаса до еды.
Однако в долгосрочной перспективе эффект от применения препаратов уменьшается — в этом случае для лечения ахалазии следует рассмотреть возможность применения других методов.
Если применяемые лекарства вызывают побочные эффекты (снижение артериального давления, головокружение, головные боли), возможно приём средств придется прекратить.
Баллонная дилатация
При ахалазии терапия также может проводиться с помощью баллонной дилатации (расширения). Это специальный эндоскопический инструмент, который врач вводит в пищевод и желудок. Эта процедура механически расширяет суженную нижнюю пищеводную мышцу.
Баллонная дилатация считается наиболее эффективным неоперативным методом лечения ахалазии: после однократного введения признаки нарушения глотания в большинстве случаев улучшаются на несколько месяцев, у половины — даже на несколько лет. Тогда может потребоваться повторная дилатация.
Однако, особенно у детей и подростков, эффект после лечения длится лишь небольшое время.
Преимущество лечения ахалазии баллонной дилатацией заключается в том, что процедура выполняется во время рефракции пищевода и желудка, и не требует оперативного вмешательства. Однако, во время лечения могут возникнуть осложнения: во время дилатации может разорваться пищевод (3%).
В редких случаях (2-5%) в грудную полость могут проникнуть бактерии и вызывать воспаление среднего слоя (медиастинит). Для её терапии используют антибиотики.
Эндоскопическая инъекция ботулинического токсина
При ахаласии для терапии также подходит эндоскопическая инъекция ботулинического токсина.
Ботулинический токсин — это нейротоксин, вырабатываемый определенной бактерией (Clostridium botulinum). Это высокотоксичное вещество вызывает у человека ботулизм — опасное пищевое отравление, приводящая к летальному исходу. Однако если этот яд вводить в разбавленном виде в мышцы нижнего отдела пищевода (клапан между желудком и пищеводом), он блокирует расположенные там нервы, что снижает окклюзионное давление.
В 9 из 10 случаев ботулинический токсин в течение определенного времени улучшает симптомы ахалазии. Однако признаки часто повторяются снова в течение года после лечения.
В целом, эндоскопическое введение ботулинического токсина при ахалазии менее рискованно, чем баллонная дилатация, и особенно полезно для пожилых людей со слабым здоровьем.
Операция
Если состояние не улучшается консервативными методами терапии, может потребоваться операция. Хирург снаружи расщепляет мышцы нижнего отдела пищевода (так называемая миотомия). Процедура может быть выполнена либо с помощью классического абдоминального разреза (трансабдоминального), либо с помощью лапароскопии (лапароскопической, малоинвазивной операции).
Все методы терапии, применяемые при ахалазии, которые успешно снижают окклюзионное давление в мышцах нижних отделов пищевода, могут привести к тому, что агрессивный желудочный сок будет протекать обратно в пищевод провоцируя рефлюксную болезнь.
Во время операции эта проблема может быть немедленно решена с помощью так называемого дополнительного фундопликатора: Хирург надевает мышечную манжету на кольцо вокруг верхней части желудка для постоянного предотвращения рефлюкса.
Еще одним преимуществом операции по сравнению с эндоскопическими процедурами является её длительный эффект, достигающий 10 лет.
Симптомы
Ахалазия пищевода отличается своим медленным развитием, а также наличием небольшого количества признаков, которые тем не менее выражаются довольно ярко. Симптомами подобного недуга у детей и взрослых являются:
- нарушение процесса глотания твёрдой или жидкой пищи. Зачастую люди чувствуют комок в горле;
- чувство распирания в области грудной клетки;
- обратный заброс пищи – на первых двух стадиях протекания болезни может выражаться отрыжкой с запахом недавно съеденных блюд. При более тяжёлом течении отмечается обильная рвота. Нередко этот признак может выражаться в ночное время суток — во время сна;
- болезненность по причине растяжения стенок пищевода и давления скопившихся частичек еды. Отмечаются боли в области грудной клетки во время употребления пищи или через несколько часов после этого. Несколько реже спазмы появляются на фоне физических нагрузок. Продолжительность приступа может составлять от нескольких минут до пары часов;
- снижение аппетита или его полное отсутствие – очень часто наблюдается у детей, которые отказываются от пищи по причине дискомфорта во время её употребления;
- понижение показателей массы тела;
- изжога;
- приступы сильного кашля;
- снижение работоспособности;
- низкий уровень гемоглобина – симптом, который выражается только у детей.
Кроме этого, ахалазия пищевода способствует развитию бронхита и пневмонии.
У новорождённых малышей и детей младшего возраста заболевание диагностируется в несколько раз реже. Очень часто подобное расстройство проявляется в возрасте шести лет. Симптоматика у новорождённых младенцев состоит из рвоты материнским молоком непосредственно в процессе кормления, отчего малыш начинает давиться и кашлять. В ночное время суток также возможны приступы кашля и срыгивания. Устранение ахалазии пищевода у детей осуществляется только хирургическим методом. Это объясняется особенностями строения поражённого органа.
Диагностика
Помимо жалоб и визуального осмотра пациента, диагностика ахалазии кардии становится возможной посредством инструментальных исследований:
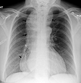
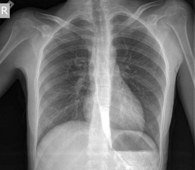
- Рентгенография грудной клетки. Обследование начинается именно с данного исследования. В случае выявления на рентгенограмме тени расширенного пищевода с жидкостным уровнем назначается рентгенография пищевода, предполагающая предварительный прием бариевой взвеси. Если имеет место ахалазия кардии, то становится заметным сужение конечного отдела пищевода, а также расширение участка, располагающегося выше.
- Эзофагоскопия. Посредством такого обследования выявляется стадия и тип заболевания. Также определяется наличием и степень выраженности эзофагита.
- Эндоскопическая биопсия. Проводится с целью исключения рака пищевода. По окончании обследования проводится морфологическое исследование биоптата.
- Эзофагеальная манометрия. Позволяет определить сократительную функцию пищевода и тонуса кардиального сфинктера. Таким образом, становится возможной регистрация внутрипищевого давления и перильстатики. В данном случае ахалазия кардии проявляется в отсутствии рефлекса раскрытия кардии при глотании.
С целью выявления патологии дополнительно назначаются фармакологические пробы с карбахолином или ацетилхолином, которые при введении провоцируют беспорядочные мускулатурные сокращения в грудном отделе пищевода и усиление тонуса нижнего пищеводного сфинктера. Данные показатели свидетельствуют о гиперчувствительности органа пищеварения.
Прогноз и профилактика
Ахалазия кардии – медленно прогрессирующее заболевание. Отсутствие своевременного лечения может привести к кровотечениям, нарушениям целостности стенок пищевода и общему истощению организма.
После проведенного лечения может быть рецидив через 6-12 месяцев. Хорошие прогностические результаты наблюдаются при отсутствии необратимых изменений моторики пищевода.
Профилактические мероприятия заключаются в устранении различных факторов риска, которые могут стать предпосылками для возникновения заболевания. Специалисты рекомендуют отказаться от курения и алкоголя, избегать перенапряжения и стрессов.
После перенесенного заболевания назначаются различные процедуры, позволяющие уменьшить риск развития рецидивов.
Обязательным условием является соблюдение диеты. Дневной рацион должен быть разделен на 5 приемов пищи, которую необходимо тщательно пережевывать. После еды рекомендуется сделать несколько энергичных глотков воды или чая.
Видеопередача про ахалазию кардии пищевода:
Применяются следующие методы:
- рентген грудного отдела;
- контрастная рентгенография;
- осмотр с помощью эзофагоскопа;
- манометрия (определение нарушений движения и давления в пищеводе).
Симптомы этого заболевания схожи с симптомами рака пищевода и других новообразований.
При обнаружении патологии проводят биопсию.
Лабораторная диагностика
Рекомендуются следующие исследования:
- общий анализ крови;
- анализ крови на свёртываемость;
- анализ уровня креатинина в сыворотке крови;
- анализ уровня альбумина в сыворотке крови;
- общий анализ мочи.
На начальных стадиях сложно выявить значительные отклонения. Визуальные признаки — потеря веса, снижение упругости кожи (свидетельствует об обезвоживании) — обнаруживаются в основном на 3-4-й стадиях заболевания.
Также имеются признаки развития воспаления лёгких.
Инструментальная диагностика
- Рентгеноскопия пищевода. Это метод, при котором изображение органа получают на светящемся экране.
- Гастроскопия (ЭГДС, ФЭГДС). Это одна из разновидностей эндоскопического обследования — визуальный осмотр стенок пищевода.
- Эзофагеальная манометрия (пищеводная манометрия). Позволяет оценить сократительную активность пищевода, его перистальтику.
- Эндоскопическое исследование пищевода. Способ осмотра внутренних органов с помощью эндоскопа.
- Дополнительные методы исследования: УЗИ брюшной полости, лучевая диагностика пищевода, КТ грудного отдела.
Лечение
Для уменьшения степени выраженности симптомов и устранения любых преград, которые могут встретиться во время прохождения пищи, используется 3 способа лечения:
- лечение фармацевтическими препаратами;
- немедикаментозная терапия;
- оперативное вмешательство.
Консервативное
Основным критерием эффективности медикаментозного лечения является устранение симптоматики. Для определения эффекта опытным путем проводят рентгенологическое исследование с параллельным введением бария. Если бариевые взвеси нормально проходят по пищеводу, значит, лечение помогло.
В терапии используются:
- нитраты и блокаторы кальциевых каналов, которые уменьшают давление нижнего пищеводного сфинктера;
- седативные препараты.
Совместно с медикаментами пациентам обычно рекомендуется психотерапия.
Немедикаментозное и оперативное
Эффект от такого лечения возможен в основном на первой стадии заболевания. В этом случае используется диетотерапия, при которой потребуется питаться дробно, тщательно пережевывая пищу. После трапезы обязательно выпить воды, которая должна смыть остатки пищи с пищевода. Пища должна готовиться в щадящем режиме и быть нейтральной по температуре.
Пневматическая кардиодилатация при ахалазии пищевода состоит из расширения нижнего клапана с одновременной подачей воздуха или жидкости под высоким давлением. На практике это выглядит так: в пищевод вводят баллон под контролем флюороскопии. После того как баллон достигает диафрагмы, его раздувают. Способ лечения эффективен в 75% случаев, однако есть большой риск появления побочного эффекта в виде ГЭРБ.
Эндоскопическая кардиодилатация рекомендована при значительном искривлении пищевода. Однако у методики есть также побочный эффект – перфорация желудка, которая проявляется в 5% случаев.
Если пациенту не рекомендовано расширение клапана пищевода, хирургическое вмешательство, или больной пожилого возраста, то проводится химическая денервация. Эффект достигается примерно в 80% случаев и может сохраняться вплоть до 12 месяцев. Суть методики состоит в том, что этаноламин олеата или ботулотоксин вводится в пищеводный сфинктер с использованием эндоскопической иглы.
Кардиомиатомия используется в том случае, если предыдущие процедуры по расширению клапана не помогли. Но есть огромный риск, что появится рефлюкс или стриктуры – это случается в 15% случаев. Суть методики состоит в том, что после введения анастезии, местной или общей, проводится поэтапное расширение прохода баллонами разного диаметра. Процедура краткосрочная, не более 2 минут. Между процедурами (в среднем потребуется 5-6) должно пройти минимум 4 дня.
Патологию недостаточности кардии желудка можно лечить при помощи парциальной фундопликации. Процедура рекомендована также при рубцовых изменениях на стенках пищевода. Лечение состоит из рассечения оболочки около перехода от желудка к пищеводу. После рассекания края разреза подшиваются к дну желудка. Операция требует соблюдения восстановительного периода около 14 дней, который, скорее всего, придется провести в больнице, но в любом случае без выхода на работу.
Неплохих результатов можно добиться при использовании натуральных средств. Можно приготовить отвар аниса и фенхеля, которые прекрасно снимают воспалительные процессы, протекающие на слизистой оболочке. Чтобы избавиться от изжоги и болевых ощущений, можно использовать листья малины, готовить чай из ромашки или мяты. Однако следует помнить, что перед использованием народных средств лучше проконсультироваться с врачом, чтобы он помог подобрать дозы с учетом повреждения слизистой.
Если не один из рекомендованных и проведенных методов не дал результаты, то проводится операция по удалению пищевода.
Вопрос-ответ
Чем отличается кардиоспазма от ахалазии кардии?
У больных с кардиоспазмом при рентгенологическом исследовании выявляют усиление моторики пищевода с выраженными сегментарными сокращениями, при ахалазии кардии — снижение моторной активности пищевода (отсутствие первичной перистальтики в дистальных 2/3 пищевода).
Чем лечить кардиоспазм пищевода?
Основным методом лечения ахалазии и кардиоспазма I-II ст. , при отсутствии противопоказаний, является ступенчатая баллонная кардиодилатация под контролем рентгентелевидения, которая обеспечивает уже после первого курса более 90% положительных результатов.
Каковы рентгенологические признаки кардиоспазма?
Рентгенологическими признаками кардиоспазма являются расширение пищевода в той или иной степени с наличием «узкого сегмента» в терминальном его отделе. Стенки пищевода, в том числе и в суженной части, сохраняют эластичность. В расширенном пищеводе натощак определяется значительное количество жидкости.
Что нельзя есть при ахалазии пищевода?
Ограничить употребление кислых продуктов, продуктов, содержащих грубые виды клетчатки (капуста, яблоки др. ), свежей выпечки и хлеба. Исключить или уменьшить потребление жиров, которые угнетают двигательную активность желудка. При формировании белково-энергетической недостаточности показано искусственное питание.
Советы
СОВЕТ №1
Обратитесь к врачу при первых симптомах. Если вы заметили затруднения при глотании, боли в груди или частые изжоги, не откладывайте визит к гастроэнтерологу. Ранняя диагностика может значительно улучшить прогноз и помочь избежать осложнений.
СОВЕТ №2
Следите за своим рационом. Избегайте острой, кислой и слишком горячей пищи, которая может усугубить симптомы. Вместо этого выбирайте мягкие и легко усваиваемые продукты, такие как каши, пюре и супы.
СОВЕТ №3
Практикуйте медленные и тщательные пережевывания пищи. Это поможет облегчить процесс глотания и снизит риск попадания пищи в дыхательные пути. Убедитесь, что вы не спешите во время еды и уделяете этому процессу достаточно времени.
СОВЕТ №4
Изучите методы релаксации и управления стрессом. Психоэмоциональное состояние может влиять на симптомы ахалазии и кардиоспазма. Рассмотрите возможность занятий йогой, медитацией или дыхательными упражнениями для снижения уровня стресса.
























































