Зубные капли при беременности
У некоторых женщин в период вынашивания ребенка возникают проблемы с зубами. Это чаще всего связано с гормональными изменениями, происходящими в организме, из-за которых нарушается обмен веществ, а также работа кровеносной и лимфатической системы. Заболевания зубов могут возникнуть и из-за нехватки полезных минералов и витаминов.
В первом триместре использовать зубные капли, как и большинство медикаментозных средств, запрещено. Именно в этот период происходят главные процессы в формировании внутренних органов и систем у плода.
Применение этого лекарства допускается во втором и третьем триместрах, однако даже в этом случае женщине следует внимательно следить за своим самочувствием. Прекратить использование препарата следует если:
- снизилось давление без каких-либо оснований;
- появилась одышка;
- общее состояние стало угнетенным и несвойственным для повседневной жизни беременной;
- наблюдается бессонница или перевозбуждение;
- женщина ощущает головокружение.
При появлении указанной симптоматики следует обязательно отказаться от дальнейшего прима средства.
Врачи отмечают, что зубные капли являются эффективным средством для профилактики и лечения различных стоматологических заболеваний. Они содержат активные компоненты, которые помогают уменьшить воспаление, уничтожить бактерии и освежить дыхание. Специалисты рекомендуют применять капли согласно инструкции, чтобы достичь наилучшего результата. Обычно капли наносят на зубную щетку или используют в качестве ополаскивателя. Важно помнить, что перед началом использования необходимо проконсультироваться с врачом, особенно если у пациента есть аллергии или хронические заболевания. Правильное применение зубных капель может значительно улучшить состояние полости рта и предотвратить развитие серьезных заболеваний.

Что такое зубные капли
Препарат выпускается в виде прозрачной жидкости с приятным мятным ароматом. Может иметь слегка красноватый оттенок.
- Основной компонент препарата – настойка валерианы, оказывает мягкое успокаивающее действие.
- Масло перечной мяты – препятствует развитию инфекций полости рта, дезинфицирует и снимает воспаление.
- Масло камфары – эффективное антисептическое и бактерицидное средство.
В аптеках можно найти стоматологические настойки и растворы на основе этилового спирта, глицерина или салициловой кислоты. В зависимости от типа действия, в их состав включают и другие растительные экстракты.
Среди препаратов, снимающих боль в зубе, жидкая форма на растительной основе являются безопасным средством, которое можно без труда найти в любой аптеке. Международное название этого препарата – дентагуттал.
Они не содержат вредных или психотропных веществ, поэтому продаются без рецепта врача. Внешне лекарство представляет собой красновато-бурую жидкость с характерным запахом.
Средство содержит масло мяты перечной, настойка корня валерианы, камфара и некоторые другие вещества. Их действие заключается в следующем:
- камфара оказывает бактерицидное и противомикробное воздействие;
- мята перечная обеззараживает;
- экстракт корня валерианы успокаивает десна.
Некоторые производители фармацевтических препаратов добавляют в состав препарата ментол, глицерин, тимол и этиловый спирт. Также лекарство может содержать настойки целебных трав – ромашки, аира, крапивы, календулы, В силу своих особенностей дентагуттал может не только снять зубную боль, но и продезинфицировать пораженную область в случае необходимости.
Почему возникает необходимость в зубных каплях
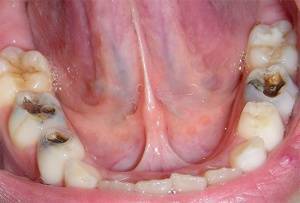
Зубная боль – одна из самых частых проблем, с которой обращаются к врачам беременные. Заболеваний зубов, из-за которых могут появляться болезненные ощущения, может быть много. Но большая часть из них вызвана нехваткой кальция в организме будущей мамы. Чтобы плод развивался правильно, ему требуется много этого микроэлемента. И, если женщина недополучает кальций с пищей, то зубы у нее могут начать разрушаться.
Десневая ткань поражается, кариес, если он был до беременности, усугубляется и может перейти в пульпит. Но даже одного кариеса достаточно, чтобы женщина ощущала боль. Кроме того, кариозная полость – это всегда место, где локализуется инфекция. Если ее не излечить, то она, по кровеносным сосудам, может распространиться по всему организму.
Именно в тех ситуациях, когда беременной женщине требуется быстро избавиться от зубной боли, не рискуя навредить малышу, врач советует ей зубные капли. Они могут легко заменить средства с обезболивающим эффектом, которые противопоказаны женщинам в положении.
Однако нужно помнить, что данные капли не являются лекарственным средством и не способны бороться с самой причиной боли – кариесом или другим заболеванием зубов. Они могут только дезинфицировать на время полость рта, а также снять неприятные ощущения.
Зубные капли (Dental guttas) представляет собой лечебный раствор на базовом сырье валерьяны, которая успешно применяется для исцеления воспалительных процессов ротовой полости и купирования болевого синдрома. Dental guttas обладает успокаивающим, противовоспалительным и антисептическим действием.
Состав капель:
- камфора рацемическая;
- масло перечной мяты;
- экстракт валерианы.
Камфора уничтожает микробов, обладает бактерицидными свойствами. Мята дезинфицирует и смягчает воспаленные ткани, а валериана успокаивает ткани. В комплексе с данными растительными ингредиентами находится:
- ментол;
- тимол;
- глицерин;
- спирт;
- хлоралгидрат;
- фенилсалицилат.
Хранить флакон с каплями следует в затемненном закрытом пространстве, недоступном для детей и кошек. Попадание солнечных лучей на флакон недопустимо. Срок реализации указан на упаковке — 2 года.
Зубные капли становятся всё более популярными среди людей, стремящихся улучшить здоровье полости рта. Многие отмечают их удобство в использовании и эффективность. Пользователи делятся положительными отзывами о том, как капли помогают при чувствительности зубов и десен. Инструкция по применению обычно проста: достаточно нанести несколько капель на зубную щетку или непосредственно на зубы. Некоторые отмечают, что капли обладают приятным вкусом, что делает процесс ухода за зубами более приятным. Однако важно помнить, что перед началом использования стоит проконсультироваться с стоматологом, чтобы избежать возможных аллергических реакций или противопоказаний. В целом, зубные капли становятся отличным дополнением к привычной гигиене полости рта.

Как правильно пользоваться
Существует несколько способов применения зубных капель:
-
Тампоны
. Применяются, если в больном зубе уже образовалась кариозная полость. 2-3 капли используют, чтобы смочить подходящий под размер полости кусочек ваты, потом закладывают его внутрь и оставляют там на 10 минут. Дважды использовать одну и ту же вату нельзя. -
Полоскание
. Применяется при любых воспалительных процессах в полости рта – стоматите, гингивите, пародонтите, периодонтите. В стакан теплой воды добавляют 10-12 капель, размешивают и полоскают рот утром и вечером после чистки зубов. -
Протирания
. Применяются, если больной зуб ещё не имеет кариозных полостей, если речь идет о возникающих при стоматите язвах, когда у больного режется зуб мудрости. Небольшой кусочек ваты смачивают 2-3 каплями раствора и смазывают проблемные места. Делать это следует утром и вечером после гигиенических процедур.
Важно! Если после использования капель возникает зуд, жжение или острая боль, это значит, что средство не подходит и нужно воспользоваться другим препаратом или иным способом борьбы с симптомами болезни
Инструкция по применению
В инструкции к каждому аптечному препарату приводится вся необходимая информация о показаниях и противопоказаниях, способе применения у взрослых, детей, беременных, а также о побочных реакциях (встречаются редко).
Показания
Выше вкратце упомянуты ситуации, когда могут применяться зубные капли. Стоит рассмотреть каждую патологию более детально:
- гингивит. Основные признаки патологического состояния – повышение чувствительности эмали, десен. Также наблюдается воспаление тканей, кровоточивость во время чистки, приема пищи, от касания. Лекарство снизит воспаление, уменьшит чувствительность;
- кариес. На первоначальном этапе, когда эмаль, дентин повреждены незначительно, лекарство устранит боль, приостановит последующее разрушение (временно);
- периодонтит. Воспаляются ткани зуба, провоцируя сильные боли. Лекарственное средство уменьшит проявления воспаления, устранит боль;
- пародонтит. Воспаляются десны, начинают кровоточить при малейшем касании. Лечение поможет устранить симптомы воспаления;
- боли неизвестной этиологии. Капли устранят неприятную симптоматику до момента, когда пациент посетит врача (желательно не откладывать);
- прорезывание молочных зубов. Есть ряд препаратов, предназначенных для младенцев. Они устранят дискомфорт, не вредя здоровью грудничка;
- прорезывание восьмерок у взрослых. Прорезывание «зубов мудрости» сопровождается неприятными ощущениями. Лекарство снимет зуд, боль;
- период после проведенной операции во рту. Раствор с конкретным действием предотвратит возникновение постоперационных осложнений;
- стоматит. Проявляется воспалением слизистых, кровоточивостью, появлением язв во рту. Препарат приостановит процесс, дополнит действие основных лекарств.
Зубные капли можно считать универсальным средством по части устранения симптомов при разных стоматологических проблемах. Главное – применять препарат по назначению.
Противопоказания
Несмотря на натуральный состав, капли имеют некоторые противопоказания. Их не рекомендуют эпилептикам, аллергикам, пациентам с обмороками. Перечисленные заболевания могут обостриться от воздействия растительных экстрактов.
Способы применения
Есть несколько вариантов, каждый из которых выбирают для устранения симптомов конкретной проблемы. Первый из них – использование ватных тампонов (самодельных). Показания – обширная кариозная полость. Нужно взять небольшой кусочек ваты, налить на него 2-3 капли выбранного средства, поместить внутрь полость и оставить на 10 минут. Повторная процедура проводится с новым кусочком ваты.
Второй вариант – полоскания. Показания – болезни воспалительного характера, поражающие полость рта. Это гингивит, стоматит, периодонтит. На 1 ст. остуженной кипяченой воды берут 10 капель лекарственного средства, полощут раствором рот утром и на ночь, завершая процедурой чистку зубов.
Следующий способ – протирания. Показания – прорезывания восьмерок, язвы при стоматите, болит зуб, но кариозной полости не видно. Принцип сводится почти к тем же манипуляциям, как в первом варианте. Нужно взять кусочек ваты, нанести 2-3 капли лекарства, смазать беспокоящие участки. Повторять утром и на ночь после чистки зубов.
Применение капель у детей
Организм ребенка более чувствительный по сравнению с организмом взрослого, поэтому выбор препаратов для лечения детей ограничен. С учетом возраста малыша, врач дает рекомендации по использованию конкретного средства:
- от 0 до 3 лет. Основной проблемой, доставляющей хлопоты родителям, становится период прорезывания молочных зубов. Для облегчения состояния малыша применяют специальные препараты;
- от 3 до 12 лет. Молочные зубы больше чем постоянные подвержены кариесу ввиду тонкой эмали. Зубные капли детям назначают 1 раз в день, желательно разводить их остуженной кипяченой водой 1:1;
- от 12 до 18 лет. Для таких пациентов вполне подходят зубные капли, помогающие взрослым. Исключение делают для препаратов на спирту – их применение в отношении детей ограничивают.
Как применять
Есть нюансы применения лекарства, о которых следует знать. Во-первых, применения капель зачастую провоцирует небольшое жжение. Это норма, если состояние длится около 5 минут. Если дискомфорт сохраняется, больше этот состав не применяют, а рот тщательно полощут водой.
Хранят флакон с каплями в темном, прохладном и недоступном детям месте. Это необходимо, чтобы состав не портился. Точные рекомендации по хранению приводятся в инструкции. Внутрь такое средство не применяют, это чревато рвотой, сонливостью, поносом.

Как принимать зубные капли при зубной боли
Каждый флакон капель сопровождается простой инструкцией по применению. В ней поясняется, как принимать зубные капли при зубной боли. Существует несколько способов:
- Смоченный раствором ватный диск прикладывают к десне. Вариант хорош, когда коронка зуба целая.
- Пропитанную средством турунду закладывают в кариозную полость.
- Добавляют 4–5 капелек препарата на щетку с пастой и чистят смесью зубы.
- Полощут рот раствором – 10 капель на 100 мл воды.
Водным раствором можно пользоваться не только при стоматологических проблемах. Как обезболивающий и антисептический состав, он помогает при язвочках, афтозных элементах, стоматите на слизистой ротовой полости.
Активное действие препарата продолжается 8–10 минут, после этого аппликацию можно убрать. Обезболивающий эффект продлится от 2 до 6 часов. Если зуб сильно болит, за это время нужно найти способ посетить стоматолога.
Как принимать зубные капли от зубной боли при беременности
Акушеры и врачи женских консультаций разрешают применение капель при зубной боли во втором-третьем триместрах беременности.
В первом триместре использовать препараты со спиртом противопоказано. Решив применять зубные капли, беременная женщина должна отслеживать собственные ощущения. Лечение стоит прекратить при таких симптомах:
- необоснованное снижение давления;
- перевозбуждение, бессонница;
- угнетенное состояние, не свойственное будущей маме в обычной жизни;
- одышка;
- головокружение.
Принимать какие-либо препараты для избавления от указанных симптомов нельзя – нужно отменить зубные капли.
Применение в период грудного вскармливания
Так же, как и во время беременности, использовать капли в период лактации нужно крайне осторожно
Важно помнить, что это вспомогательный препарат – он не избавляет от причины недуга, а лишь делает период ожидания стоматологической помощи менее неприятным
Применение для лечения зубной боли у детей
Среди средств, выбранных для устранения боли в зубе у ребенка, не должно быть препаратов с содержанием спирта.
Для лечения детей применяются спреи, гели, густые мази, кремы. Именно в таких формах выпуска препараты могут использоваться для облегчения прорезывания зубов у малышей раннего возраста. Принимать решение в пользу того или иного препарата можно только после консультации с детским стоматологом.
Специальные капли от зубной боли для детей – большая редкость. Держать во рту тампон, ватный диск или смоченную раствором салфетку может не каждый ребенок, поэтому производители выпускают лекарства в более удобных формах.
Капли для взрослых можно использовать для обезболивания зубов:
- у детей старше 3 лет (в виде водного раствора – 1:1);
- у подростков старше 12 лет.
Они хорошо обезболят, но не вылечат кариес, поэтому поход к врачу лучше не откладывать.
Сравнительная характеристика капель и таблеток
Что лучше: зубные капли или обезболивающие таблетки? Чтобы ответить на вопрос необходимо рассмотреть сравнительную таблицу препаратов по нескольким основным критериям.
| Критерий | Капли | Таблетки |
| Состав | В препарат добавляют преимущественно растительные ингредиенты | Содержат химические соединения с сильнодействующим эффектом ( парацетамол, ибупрофен) |
| Терапевтическое действие | Через 5-10 минут после нанесения | Через 15-20 минут после приема |
| Возможности использования во время беременности | Возможно применение с согласия врача | Противопоказаны на начальных сроках беременности |
| Побочные действия | Преимущественно хорошо переносятся пациентами. В редких случаях возможно появление болей в животе | Провоцируют раздражение слизистых оболочек желудка и приводят к обострению хронических форм гастрита и язвы. При чрезмерном потреблении могут спровоцировать нарушение работоспособности печени и почек |
Как видно из сравнительной таблицы, капли считаются более безопасными для здоровья, чем таблетки. По этой причине препарат чаще назначают для купирования зубных болей у детей и беременных.
Капли зубные
Капли зубные представляют собой комбинированное средство, которое основано на настойке валерианы. Данный препарат используют в стоматологической сфере для снятия зубной боли, а также, лечения различных болезней ротовой полости. Основными показаниями к применению Зубных капель являются: пародонтит. гингивит. начальный кариес и периодонтит .
Состав и форма выпуска Зубных капель
По инструкции данное лекарственное средство выпускают в форме ароматного красноватого прозрачного раствора.
Главными действующими компонентами препарата являются: настойка валерианы (более 90% лекарства), мятное масло и камфора.
Реализуют Зубные капли в стеклянных флаконах по 30, 10 и 5 миллилитров, в картонных упаковках.
Фармакологическое действие
Согласно инструкции, Зубные капли – это противовоспалительное, антисептическое, дезинфицирующее и успокаивающее лекарственное средство, применяемое при сильной зубной боли и некоторых стоматологических заболеваниях.
Действие этого медикамента обусловлено растительными веществами, входящими в его состав:
- Масло мяты перечной обладает обеззараживающим действием.
- Камфора при местном использовании оказывает противомикробное и бактерицидное воздействие.
- Настойка валерианы обладает успокаивающим эффектом, распространяемым на рецепторы слизистой оболочки десен.
Показания к применению Зубных капель
По инструкции основными показаниями к использованию данного препарата являются такие заболевания ротовой полости, как:
- Гингивит (поражение слизистой оболочки десен воспалительного характера, которое сопровождается появлением кровоточивости, отечностью десен, сильной гиперемией и повышенной чувствительностью десен и зубов).
- Начальный кариес (распространенное заболевание зубов, которое характеризуется разрушением эмали и дентина).
- Пародонтит (воспалительный недуг мягких тканей, окружающих зуб).
- Периодонтит (зубное заболевание воспалительного характера, поражающее ткани вокруг корня, а также, верхушки зуба).
Кроме этого, вышеуказанное средство очень часто применяют при сильной зубной боли в период кариеса и на постоперативной стадии лечения десен и зубов.
Противопоказания
Применение Зубных капель недопустимо при эпилепсии. склонности к судорожным припадкам, а также, при повышенной чувствительности к компонентам, входящим в состав лекарства.
Способ применения Зубных капель
При попадании капель на слизистую оболочку ротовой полости возникает ощущение жжения.
Зубные капли при беременности назначают с особой осторожностью, после тщательного обследования лечащим врачом. В этот период химические лекарственные средства лучше всего заменить растительными
Зубные капли при беременности можно заменить препаратами, обладающими анальгетическим эффектом. Следует учитывать тот факт, что это лекарственное средство при кариесе не оказывает лечебное воздействие, а всего лишь дезинфицирующее и обезболивающее.
Что касается лактации (грудного вскармливания), то вышеуказанный медикамент применять в данный период можно, но только после разрешения врача.
Побочные явления
Во время лечения Зубными каплями заболеваний ротовой полости и снятия зубной боли нежелательных реакций, спровоцированных данным средство, не выявлено.
При использовании данного лекарства следует помнить о том, что капли содержат в своем составе этиловый спирт.
Условия хранения Зубных капель
Сохранять препарат необходимо в прохладном, темном и недоступном для детей месте.
Срок годности – два года с момента выпуска.
Описание препарата, размещенное на этой странице, является дополненным и упрощенным вариантом официальной версии аннотации к препарату. Информация предоставлена исключительно в ознакомительных целях и не является руководством для самолечения. Перед применением препарата необходимо проконсультироваться со специалистом и ознакомиться с инструкцией утвержденной производителем.
Чем заменить зубные капли
Если под рукой нет даже зубных капель или какого-либо аналога, а боль или ранки во рту беспокоят все сильнее, можно прибегнуть к проверенным народным средствам.
При зубной боли и воспалении слизистой, эффективен солевой раствор.
Приготовить его просто: нужно 1 чайную ложку соли развести в стакане теплой воды и полоскать этим раствором рот каждые 30 минут до наступления облегчения.
Чтобы средство подействовало быстрее, в него можно добавить 10-15 капель нашатырного спирта.
Еще одно эффективное средство – . В стакане воды нужно развести 1 чайную ложку соды и прополоскать средством рот. Это поможет частично унять боль.
Кто бы мог подумать, но от зубной боли помогает – сало.
Достаточно приложить небольшой его кусочек к десне возле больного зуба, подержать так немного и боль начнет утихать.
Зубные капли – эффективное и безопасное средство, созданное из натуральных растительных экстрактов. За счет концентрированных настоев трав, которые входят в состав препарата, можно снять сильную зубную боль, воспаление, раздражение и ускорить заживление мелких ранок во рту. Но не стоит полагаться только на капли – они помогут снять симптомы и оказать небольшое лечебное действие, но это не означает, что можно будет избежать визита к стоматологу. Серьезные проблемы с зубами сможет устранить только врач.
Обновлено: 27.06.2019
103583
Методы народной медицины
Конечно же есть и большое количество народных методов для уменьшения симптомов прорезывания у детей. Но лучше подобные методы обсудить с лечащим врачом и не рисковать здоровьем карапуза.
- Успокаивающий настой, не способен навредить ни новорожденному, ни даже кормящей мамочке. Приготовление: столовая ложка смеси из мелиссы, ромашки, котовника и лаванды, заливают 1 чашкой кипятка, настаивают в течении 15-20 мин. Употребление возможно в любом объеме;
- Масло гвоздики, дает прекрасный эффект обезболивания. Масло обязательно нужно развести с оливковым или растительным маслом в соотношении 1.5:1 и мягко втирать массажными движениями в воспаленную десну. При использовании неразбавленного масла, можно нанести малышу серьезные ожоги десны;
- Ромашковый чай, делается сильной концентрации, после чего аккуратными движениями наносится на десну в неограниченном количестве;
- Настойка валерианы, готовится из 30 г порошка корней растения и стакана виски. Настой будет готов через 3-е суток. Смазывая десну такой настойкой, можно с легкостью устранить зуд десен при прорезывании зубов.
Заниматься самостоятельным лечением ребенка, используя народную мудрость, лучше не стоит. Малыш как никогда требует особого внимания и заботы в сложный для него период, не стоит рисковать, применяя неизвестные и непроверенные методы лечения, дабы не доставить ребенку еще больший дискомфорт.
Состав препарата
Основной состав раствора – растительные экстракты. Один из популярных компонентов — перечная мята, хорошо снимающая воспаление, дезинфицирующая слизистые, останавливающая распространение инфекции. Следующий компонент – валериана, ее применяют, как обезболивающее. Камфору включают в состав в качестве антисептика.
Для связи разных веществ используют глицерин или этиловый спирт, может применяться салициловая кислота. Производители варьируют состав по своему усмотрению, но основными активными веществами остаются камфора, валериана, мята.
Перечисленный состав компонентов оказывает комплексное воздействие на болезненные участки. Действие следующее:
- антисептическое. Уничтожаются патогенные микроорганизмы, поселившиеся во рту, провоцирующие стоматологические проблемы;
- противовоспалительное. Уменьшается проявление процесса, то же можно сказать о риске осложнений.
Зубные капли отличаются простым набором компонентов, несмотря на это, очень популярны среди пациентов и врачей. Это недорогой и эффективный препарат, не требующий рецепта для покупки его в аптеке. Показаниями к использованию зубных капель становятся: периодонтит, пульпит, гингивит, пародонтит, кариес и другие стоматологические проблемы. Также раствор применяют, как обезболивающее после операций на деснах, лечения зубов.
Показания препарата и побочные эффекты
Капли назначаются при следующих стоматологических болезнях:
- кариес на разной стадии;
- гингивиты;
- появление зуба мудрости;
- стоматиты;
- воспалительные процессы в области десен, сопровождающиеся болью.
Выделяют следующие противопоказания для травяных капель:
- индивидуальная непереносимость натуральных компонентов;
- детский возраст до 12 лет;
- эпилепсия и склонность к судорогам;
- период беременности и кормления грудью.
Если дентагуттал зубные капли применяется достаточно долго, нужно с осторожностью садиться за руль, поскольку он содержит спирт. При передозировке возникают патологические проявления:
При передозировке возникают патологические проявления:
- у пострадавшего кружится и болит голова;
- появляется тошнота, рвота;
- человеку тяжело дышать;
- начинается тремор верхних или нижних конечностей.
Иногда у больных отмечается небольшое жжение в пораженной области ротовой полости, которое быстро проходит. В таком случае рот полощут проточной водой и если симптомы исчезают, не стоит беспокоиться о небольшом дискомфорте. Неправильное и длительное применение капель приводит к раздражению слизистой оболочки, воспаление, потому нужно знать, как принимать средство.
Дентагуттал для ротовой полости
Для взрослых подходят также эффективные капли дента, которые состоят из камфоры рацемической и хлоралгидрата. Средство используется для устранения боли при кариесе, а также при пульпите.
Такой препарат не применяют у детей, поскольку при случайном проглатывании отмечают следующие проявления:
- резкие боли в животе;
- диарея;
- головная боль и головокружение;
- сонливость и слабость;
- судороги;
- нарушение деятельности ЦНС.
Использование растительных средств в стоматологии
Подходят для дезинфекции при стоматитах и многих других патологиях. Активно купируют сильную боль и облегчают состояние больного. Срок хранения у средства больше, чем у полностью растительных капель, а условия хранения не отличаются.
Вату нужно заложить в кариозную полость или приложить к десне больного зуба. Держать около 10 минут.
Благодаря эфирным маслам может ощущаться небольшое жжение на слизистой, но это не страшно. Уже через несколько минут после применения лекарства боль исчезает или значительно уменьшается.
Рассмотрим способы применения зубных капель. В инструкции рекомендуется прикладывать смоченный ватный тампон к больному зубу и держать около 8-10 минут. Этого времени достаточно для купирования болезненных ощущений. Какое количество лекарства нужно накапать на ватку? Достаточно трех капель.
Инструкция по применению зубных капель:
- при наличии кариозного дупла следует заполнить его смоченной в лекарственном составе ваткой соответствующего размера;
- если коронка зуба целая, при боли санируют ваточкой десну возле зуба;
- если прорезается с болью зуб мудрости, смазывают десну или ставят аппликацию на 9-10 минут;
- при обычном стоматите делают раствор (10 капель на чашку воды) и полощут десны;
- при язвенном стоматите санируют десну ваткой;
- при гингивите добавляют Dental guttas в зубную пасту, а также применяют полоскание.
Перед применением капель рекомендуется очистить полость рта. Если есть кариозное дупло, необходимо удалить предварительно остатки пищи, и лишь после заполнять полость ваткой с лекарством. Если положить турунду в неочищенное дупло, можно спровоцировать развитие гнойных очагов.
При флюсе применение капель противопоказано. Флюс свидетельствует о протекании внутренних воспалительных процессов гнойного характера, и капли могут усугубить патологию.
Препарат называется каплями, не потому, что их капают прямо на больное место, а потому, что средство выпускают в виде раствора, и применяют только местно.
При зубном кариесе рекомендуется взять кусочек ваты и смочить ее раствором (5-10 капель). Держать на больном месте около 10 минут и удалить ватку. При сохраненной целостности зуба препаратом можно обрабатывать десны.
При наличии стоматита лучше использовать водный раствор препарата. Взять 200 мл теплой воды, растворить в ней 12-15 капель, и ополаскивать ротовую полость.
При стоматите применяют водный раствор зубных капель. (Про стоматит у детей прочтите здесь; про афтозный стоматит — тут; о возможных последствиях удаления зуба мудрости написано в этой статье).
Если у человека гингивит, можно пару капель раствора подмешать в зубную пасту или порошок во время чистки зубов. Можно также ополаскивать рот водным раствором.
Использование во время беременности
Самым уязвимым является I триместр, когда происходит формирование плаценты. При появлении зубной боли самостоятельное применение зубных капель при беременности нежелательно. Лучше сразу посетить стоматолога, который подберет более безопасный состав. В первом триместре применение обезболивающих средств крайне не желательно.
На более поздних сроках беременности при отсутствии каких-либо отклонений лучшим вариантом от боли являются капли. Растительные компоненты зубных капель воздействуют более мягко, чем другие химические анальгетики, минимизируют вред для плода. Но применять капли нужно под строгим контролем врача.
Посмотрите отзывы родителей о геле Дентинокс при прорезывании зубов.Рецепты самых эффективных народных средств от пародонтоза собраны на этой странице.По адресу http://u-zubnogo.com/bolezni/polosti-rta/gerpes.html узнайте о симптомах и лечении герпеса во рту.
Применение для детей
Когда у ребенка прорезываются молочные зубки, лучше подбирать более щадящие препараты, чтобы снять боль. Для маленьких детей разработано много средств, включая растворы для местной обработки десен. Капли на основе спирта могут раздражать слизистую, вызывать жжение. Есть много аналогов на основе составляющих зубных капель в виде гелей или мазей. Они созданы специально для детей.
Во время замены молочных зубов на коренные обезболивающие капли можно применять в крайних случаях. По инструкции зубные капли разрешены к применению после 12 лет.
Ответ на вопрос как использовать данную фармакологическую жидкость с целью местного обезболивания, прост — необходимо на кусочек ватки или на ватный диск нанести несколько капель препарата и приложить к больному зубу. После выдерживания примочки в течении пяти-десяти минут ощущение болезненности стихает.
При этом нужно понимать, что при кариесе и других процессах, которые характеризуются разрушением зубной эмали, зубные капли не станут панацеей, а лишь только методом симптоматической терапии.
Капли как работают
Состав средства имеет исключительно натуральные компоненты, которые позволяют воздействовать на проблему, не нанося организму никакого вреда. Но людям, склонным к аллергическим реакциям, необходимо предварительно протестировать средство для того, чтобы убедиться в том, что состав не провоцирует иммунную систему. Способ для этого можно выбрать самый простой и действенный, например классический метод применения: пару капель состава необходимо нанести на локтевой сгиб, дать впитаться и не смывать не менее шести часов.
Особенно внимательно следует относиться к данной предосторожности во время беременности, так как во время вынашивания плода организм перестраивается, в том числе, меняется работа и иммунной системы. Поэтому даже те препараты, которые до беременности не вызывали аллергии, во время беременности вполне могут спровоцировать сыпь, отек, и прочие симптомы
В состав капель входят следующие компоненты:
- Камфара;
- Мятное масло;
- Настойка валерианы.
Эти компоненты позволяют бороться с проблемой следующим образом: камфара эффективна при воспалительных процессах в полости рта и при прорезывании зубов, благодаря действию, позволяющему обеззараживать поверхности слизистой. Это действие усиливается и благодаря присутствию масла мяты перечной. Кроме того, в результате ее применению освежается дыхание.
Валериана оказывает местное успокаивающее действие, поэтому ощущение боли мгновенно притупляется. Повторять аппликацию необходимо по мере нарастания дискомфорта.
Вопрос-ответ
Сколько надо держать зубные капли?
Ватный тампон, смоченный 2–3 каплями препарата, прикладывают к больному зубу на 5–10 минут. Если после лечения улучшения не наступает или симптомы усугубляются, или появляются новые симптомы, необходимо проконсультироваться с врачом.
Что лечат зубные капли?
Зубные капли – препарат, используемый в стоматологии для снятия болевых ощущений. Он эффективен при пульпите, кариесе, боли иной этиологии. В составе медикамента входит камфара, хлоралгидрат, спирт.
Можно ли зубные капли на десну?
Инструкция по применению Если имеется дырка в зубе, можно туда заложить кусочек марли, тщательно смоченный каплями. Если проблема в деснах – производят полоскания ротовой полости. Понадобиться 100 мл теплой кипяченой воды и 8-10 капель для зубов. Полученным раствором полощут зубы в течение 5 минут.
Для чего используют зубные капли?
Зубные капли — комплексный препарат, согласно АТС-классификации относится к прочим средствам для местного применения в стоматологии. Благодаря комплексному составу зубные капли оказывают умеренное анальгезирующее и антисептическое действие. Данный препарат может применяться для симптоматического лечения зубной боли.
Советы
СОВЕТ №1
Перед использованием зубных капель обязательно ознакомьтесь с инструкцией. В ней содержится важная информация о дозировке, способах применения и возможных противопоказаниях, что поможет избежать нежелательных последствий.
СОВЕТ №2
Регулярно консультируйтесь с вашим стоматологом о целесообразности применения зубных капель. Специалист сможет оценить состояние ваших зубов и десен, а также порекомендовать наиболее подходящие средства для ухода.
СОВЕТ №3
Обратите внимание на состав зубных капель. Если у вас есть аллергия на определенные компоненты, выбирайте средства с учетом этого, чтобы избежать негативных реакций.
СОВЕТ №4
Не забывайте о комплексном уходе за полостью рта. Зубные капли могут быть эффективным дополнением к регулярной чистке зубов и использованию зубной нити, но не заменяют эти основные процедуры.











