Пути заражения
Для начала следует уточнить, что этот патоген может обитать в организме не только человека, но и птиц, и животных. От животных можно заболеть туберкулёзом при поедании мяса, которое не прошло должную кулинарную обработку, включая длительное воздействие высокого температурного режима. Если человек любит есть недожаренные или недоваренные и тем более сырые яйца, он также находится в группе риска. Конечно, можно надеться на то, что производитель соблюдает санитарные нормы, и этот продукт является чистым.
Птицы также могут болеть туберкулёзом, причём чтобы подхватить палочку Коха, здесь необязательно даже прикасаться к птице. Патоген распространяется в радиусе на несколько метров в момент, когда птица пытается взлететь и активно хлопает крыльями. Дальность распространения бактерии может достигать пары десятков метров. Кстати, точно так же можно заразиться не только туберкулёзом, но и другими заболеваниями, например хламидиозом.
Но конечно, наиболее часто туберкулёз передаётся от человека к человеку. Пути передачи таковы:
- воздушно-капельный;
- контактный;
- алиментарный;
- внутриутробный.
Сама палочка очень устойчива во внешней среде.
Врачи отмечают, что закрытая форма туберкулеза, или латентная инфекция, может не проявляться явными симптомами, что затрудняет ее диагностику. У большинства людей, инфицированных бактериями туберкулеза, отсутствуют признаки заболевания, и они чувствуют себя здоровыми. Однако, несмотря на отсутствие симптомов, такие пациенты могут нести инфекцию. Врачи подчеркивают, что закрытая форма не передается от человека к человеку, так как не сопровождается кашлем или другими проявлениями, которые могут выделять бактерии в окружающую среду. Тем не менее, важно помнить, что при ослаблении иммунной системы инфекция может перейти в открытую форму, что делает регулярные медицинские осмотры и тестирование на туберкулез крайне важными для контроля и профилактики заболевания.

Передача через воздух
Итак, это основной путь заражения туберкулёзом. Бактерии выделяются в воздух при разговоре с больным, а также кашле, чихании и даже дыхании. Небольшие капельки мокроты могут попадать непосредственно на кожные покровы здорового человека, а также на предметы, которыми тот пользуется, – телефон, одежда, сумка. Появляется риск заражения и угроза стать пациентом туберкулёзного диспансера.
Если больной туберкулёзом лёгких находится в столовой, то выдыхаемая им палочка Коха может попасть на все окружающие его ложки, вилки, тарелки и другие столовые приборы. Так, например, заражаются люди, которые являются соседями в общежитии. Чем в более тяжёлой стадии заболевания находится человек, тем большая концентрация бактерий в выделяемой им мокротой вместе с воздухом. Так, открытая форма туберкулёза является почти стопроцентной гарантией того, что находящиеся рядом с таким человеком люди, которые находятся с ним в тесном контакте, будут в скором времени инфицированы.
Контактный путь заражения
В целом тактильные контакты редко приводят к инфицированию, ведь кожные покровы защищают человека от множества бактерий, обитающих в воздухе. Но если иммунитет человека ослаблен, а вдобавок к этому у него имеются микротрещины, ранки, порезы или царапины на коже, то при оседании на этот участок палочки Коха вероятность инфицирования значительно возрастает.
Ещё один вид контактного заражения – при разделке мяса животного, которое болело туберкулёзом. Но тут опять же необходимы повреждения целостности эпидермиса, чтобы помочь туберкулёзной палочке попасть в кровоток.
Кстати, тактильный путь заражения возможен и в случае, если источник заражения (человек) умер. Палочка Коха будет жить в его теле ещё около 1-3 месяцев. Умершие люди могут стать источником инфицирования для медицинского персонала или родственников.
Закрытая форма туберкулеза вызывает много вопросов и опасений у людей. Симптомы могут быть неочевидными, что затрудняет диагностику. Часто пациенты не испытывают выраженных признаков болезни, таких как кашель или лихорадка, что делает заболевание коварным. Однако, несмотря на отсутствие явных симптомов, закрытая форма туберкулеза может быть обнаружена при обследовании, например, с помощью теста на туберкулез или рентгена легких.
Что касается передачи, то закрытая форма не является инфекционной. Это значит, что человек с такой формой заболевания не может заразить окружающих. Тем не менее, важно помнить, что при ослаблении иммунной системы закрытая форма может перейти в открытую, что уже представляет опасность для других. Поэтому регулярные медицинские осмотры и внимание к своему здоровью играют ключевую роль в профилактике туберкулеза.

Алиментарный путь заражения
Алиментарный, или пищевой путь заражения возможен, если человек любит поедать животные продукты, которые до этого не были приготовлены классическим способом. Это многими любимое сырое, парное молоко, а также стейки с кровью и яйца-пашот. Но по сравнению с воздушно-капельным путём, этот способ заразиться туберкулёзом относительно слабый. Все опять же зависит от концентрации патогенов в продукте. Как правило, её недостаточно для того, чтобы болезнь активизировалась в организме здорового человека.
Внутриутробный путь заражения
Как понятно из названия, в этом случае новорождённые заболевают туберкулёзом от своих матерей. Но происходит это далеко не всегда. Так, если будущая мама во время беременности чувствовала себя нормально и дополнительно принимала укрепляющие организм препараты, то она может родить здорового ребёнка. Туберкулёз передаётся непосредственно в родах, а именно – при повреждении плаценты или заглатывании малышом части околоплодных вод.
По этой причине при выявлении у будущей мамы туберкулёза ей настоятельно рекомендуют отказаться от естественных родов в пользу кесарева сечения, а потому процент крох, получивших свой диагноз по наследству, очень мал
.

О контактах с больными туберкулезом
О том, насколько высока вероятность заражения, можно судить исходя из характера контактов с бактерионосителем. Логично предположить, что чем меньше по времени будет продолжаться контакт и чем менее тесным он будет, тем ниже риск инфицирования. Однако нельзя быть уверенными в том, что во время пользования общественным транспортом, при прогулке по улице или визите в многолюдное заведение нельзя заразиться туберкулезом. Для того, чтобы снизить риск инфицирования, необходимо вести здоровый образ жизни, правильно питаться и избегать вредных привычек. Ежегодные обследования, такие, как проба Манту и флюорография – обязательные мероприятия, которые не следует игнорировать.
Риск того, что у человека разовьется активная форма болезни, значительно возрастает в том случае, если он постоянно и плотно контактирует с больным туберкулезом. Это может быть совместное проживание, регулярное общение на работе или в нерабочее время
Если выяснилось, что у знакомого или родственника имеется эта болезнь, важно как можно скорее проконсультироваться с фтизиатром и пройти необходимые обследования. Чаще всего, они включают в себя пробу Манту, рентген грудной клетки, исследование мокроты, крови и мочи
Взрослым из группы риска необходимо проходить подобные исследования не менее 1 раза в полгода, а детям в два раза чаще. Если человек проживает совместно с бактерионосителем, то могут быть назначены специальные противотуберкулезные препараты, принимаемые в минимальных дозах.
Нужно полностью исключить любые контакты с человеком, имеющим открытую форму туберкулеза. Больной должен быть немедленно госпитализирован, где ему назначат соответствующее лечение. Находиться в стационаре такой человек будет до того момента, пока исследования не покажут, что в его выделениях отсутствует опасная микобактерия. Родственникам и самому больному не стоит впадать в панику, ведь даже открытая форма туберкулеза при развитости современной медицины и своевременном обращении – это не приговор. Чаще всего, бывает достаточно 2 месяцев терапии, и человек сможет вернуться в общество, так как станет неопасным для окружающих.
Диагностика
При наличии подозрений на туберкулез требуется тщательное обследование у пульмонолога. Специалист собирает личный и семейный анамнез, проводит физикальный осмотр.
Больному назначают лабораторное и инструментальное обследование. Самый распространенный способ диагностики – туберкулезная проба Манту. Также проводятся анализ на мокроты, рентгенография легких. Результаты диаскинтеста и квантиферонового теста при туберкулезе положительные. Эффективными методами исследования являются УЗИ и флюорография. Если возникают сомнения в постановке диагноза, могут рекомендовать проведение компьютерной или магнитно-резонансной томографии.
При выявлении туберкулезной палочки требуется обследоваться у специалиста 1 раз в полгода. Такой контроль позволит наблюдать за развитием патологического процесса и степенью распространения заражения.
Как не заболеть?
Заразиться туберкулезом можно в любом месте, особенно там, где имеется большая скученность людей. Чтобы не заболеть, нужно соблюдать простые правила:
- Мыть руки после посещения людных мест;
- Пользоваться только индивидуальными предметами гигиены;
- В общественных местах держаться подальше от кашляющих людей;
- Полноценно питаться, в меню обязательно должны присутствовать белковые продукты;
- Ежегодно проходить флюорографию легких;
- Вести здоровый образ жизни, чаще бывать на свежем воздухе, заниматься физкультурой;
- Делать пробу Манту по назначению врача;
- Не стоит курить, употреблять спиртное.
Гораздо сложнее сохранить здоровье, когда в доме проживает больной человек. Как не заразиться туберкулезом в этом случае?
Справиться с микобактериями помогают:
- Солнечный свет, бациллы погибают под его воздействием за 2 часа;
- Кипячение в течение 30 минут предметов обихода;
- Кварцевая лампа, ее излучение убивает бациллы за несколько минут.
Ежедневно помещение проветривают и проводят влажную уборку с применением хлорсодержащих веществ. Поскольку бациллы хорошо сохраняются в пыли, нужно протирать все места ее скопления. Больному выделяется отдельная посуда и постельное белье, этими предметами нельзя пользоваться другим членам семьи. Во время контакта с заболевшим человеком нужно надевать маску, перчатки.
При угрозе инфицирования назначается курсовой прием противотуберкулезных препаратов. Профилактическое лечение проводится обязательно, оно нужно для того, чтобы остановить размножение попавших в организм бактерий.
Признаки и симптомы инфицирования
Заболевание отличается длительным инкубационным периодом – от 6-8 недель и до года. Причем в начальный период, когда палочка Коха только попала в организм, симптомы могут отсутствовать. Возможно появление неспецифических воспалительных признаков, как при простуде, – повышение температуры, слабость, покашливание и общая слабость.
При этом заразившийся человек посчитает, что у него простуда или грипп. Со временем, когда станет временно легче, он и не будет подозревать о заражении данной болезнью. На первичной стадии поставить диагноз может только после проведения туберкулиновой пробы.
По мере того, как бактерии начинают активно размножаться, распространяется туберкулез и по внутренним органам. Тогда заболевший начинает ощущать и другие, более специфические, симптомы:
- повышенное потоотделение, особенно в ночные часы;
- апатия и потеря аппетита;
- снижение веса;
- длительная субфебрильная температура (+37,3°С);
- увеличение лимфатических узлов;
- кашель с мокротой появляется после того, как прогрессирует поражение слизистой и количество экссудата увеличивается постепенно при активном размножении бактерии в тканях; первое время мокрота бесцветная и не имеет запаха, а затем при усилении воспаления – с примесью крови;
- при остром развитии туберкулеза возможны более тяжелые проявления: одышка из-за нехватки кислорода в организме (гипоксия), кровохарканье, сердечная недостаточность.
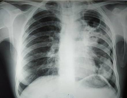
На такой стадии туберкулез легких можно уже идентифицировать по рентгенологическому снимку, где четко просматриваются основные специфические признаки болезни – «бугорок» и творожистый некроз. При исследовании мокроты выявляется наличие микобактерий (палочек Коха).
При внелегочных формах заболевания происходит заражение других внутренних органов, при котором возможно проявление следующих признаков:
- диарея и кровяные частицы в стуле (желудочный туберкулез);
- боли в суставах и позвоночнике (костная форма);
- головные боли и головокружения (при поражении мозга);
- при поражении придатков или матки у женщин наблюдается изменение длительности менструации и развивается бесплодие, у мужчин появляются гнойники на половых органах, а внутри поражаются яички и простата.
Туберкулез и инкубационный период
Микробактерии Mycobacterium tuberculosis обладают невероятно низкой инфекционной дозой — менее 10 микроорганизмов для инициирования заболевания. Бактерии имеют длительный период инкубации: от двух до двенадцати недель с диапазоном от четырнадцати дней до нескольких десятилетий.
Они обладают способностью, как к скрытости, так и к инициированию активной формы заболевания. Микобактерии, вдыхаемые хозяином, заражают легкие, и поглощается макрофагами альвеол. После этого они длительное время могут оставаться бездействующими или начинать размножаться внутри указанных клеток, что вызывает появление открытой инфекции.
Продолжительность туберкулезной инкубации варьируется в зависимости от индивидуальных факторов риска.
По данным, в течение шести недель после заражения у инфицированного человека развивается первичная инфекция в легких, которая не имеет никаких симптомов.
Затем расстройство переходит в неактивную фазу, которая может длиться от нескольких недель до нескольких лет. Инкубационный период может носить затяжной характер. Поэтому риск заразиться есть у каждого, кто вступает в контакт с потенциально инфицированным.
www.microbewiki.kenyon.edu
www.healthyliving.azcentral.com
Каким путем происходит заражение
Существуют следующие пути передачи туберкулеза и попадания палочки Коха в организм человека:
- воздушно-капельный – наиболее распространенный путь, при котором возбудители болезни попадают от больного при чихании, кашле или разговоре вместе с каплями мокроты, причем микроорганизмы способны распространяться по воздуху на расстояние до 10 м;
- воздушно-пылевой, когда при высыхании бациллы сохраняют свою активность и вместе с пылью проникают через дыхательные пути в организм человека;
- контактный, когда заражение происходит через бытовые вещи и предметы (посуду, одежду и др.), с которым больной имел контакт, тогда бактерии попадают на кожу и слизистые оболочки и через повреждения или трещинки проникают вглубь;
- пищевой (алиментарный) – при употреблении зараженных продуктов (молоко больной коровы, мясо, яйца, грязные фрукты или овощи), которые не прошли термическую обработку, или через инфицированную посуду;
- внутриутробный способ заражения, при котором происходит инфицирование плода от больной матери, относится к самым редким случаям, т.к. возможен только при повреждении целостности плаценты при беременности или в процессе родов.
Для тех, у кого в семье обнаружено данное заболевание, наиболее важным является вопрос о том, передается туберкулез по наследству или нет. По статистическим данным и исследованиям врачей, дети у больных родителей рождаются здоровыми.
Однако, если отец или мать, проживающие в квартире с ребенком, больны и не хотят лечиться, не принимают рекомендованных мер предосторожности, то ребенок через некоторое время тоже заражается палочкой Коха воздушно-капельным способом (наиболее частый путь передачи туберкулеза)
Как передаются внелегочные формы болезни
Туберкулез может поразить не только легкие человека, другие органы тоже подвержены проникновению бактерий и распространению инфекции. Болезнь может развиваться:
- В кишечнике. Характеризуется значительными нарушениями в работе органов пищеварения. В большой степени заражению подвержены стенки кишок, куда возбудитель проникает с пищей. Сложность диагноза заключается в схожести симптомов заболевания ЖКТ туберкулезом с другими патологиями, такими как кишечная инфекция, язва двенадцатиперстной кишки.
- В костях и суставах. Это распространенная форма туберкулеза, которая затрагивает кости бедер, голеней, в некоторых случаях – позвонки. Лечение такого заболевания проходит комплексно и длительно, с постоянным осмотром окружающих областей и органов. Связано это с тем, что часто болезнь в твердых тканях образуется от закрытой формы заражения легких. Туберкулез костей как передается заболевание узнать легко, а вот защитить себя от него – задача сложная.
- В мочеполовой системе. Разрушительное действие палочек-бактерий Коха часто испытывают на себе почки, мочеточники и мочевой пузырь. Несвоевременное лечение приведет к деформированию органов, что грозит серьезными осложнениями. Распространяется болезнь по мочеполовой системе всеми возможными способами.
- В лимфоузлах. Болезнь поражает и систему биологических фильтров. Многие люди интересуются у врачей – что такое туберкулез лимфоузлов, как передается данный недуг? Профессионалы отмечают, что пасть жертвой этого конкретного заболевания возможно любым из вышеперечисленных видов заражения. На первой стадии туберкулез лимфоузлов не заразен, однако в будущем он перерастает в полноценную открытую форму и уничтожает иммунитет.
Кроме вышеописанных органов туберкулез реже поражает яички, матку, предстательную железу, нервные окончания, мозговые оболочки, кожные покровы. Все эти формы заболевания опасны для здоровья, поэтому врачи при любых подозрениях советуют срочно посетить медучреждение для диагностики и комплексного обследования организма. Несвоевременное лечение в большинстве случаев приводит к летальному исходу.
Как передается закрытый туберкулез
Микробактерии, попадая в организм, распространяются бронхолегочным, гематогенным и лимфогенным путем. В легких начинается образование отдельных или множественных бугорков. При закрытой форме туберкулеза микробактерии размещаются внутри этих бугорков и находятся в изолированном состоянии, не выделяя инфекции в окружающую среду. В этом случае окружающие не могут заразиться.
При открытой формы туберкулеза происходит выделение возбудителей, попадающих в мокроту и передающихся в дальнейшем воздушно-капельным путем. Такие больные представляют серьезную опасность для здоровых людей, а риск заражения возрастает.
Иногда передача заболевания происходит через продукты питания, употребляемые в пищу или через прикосновение к предметам, зараженным туберкулезной палочкой. Кроме того, больной выделяет мокроту, которая оседает на земле и других предметах. После высыхания эта мокрота становится инфицированной пылью. При вдыхании этой пыли происходит заражение здорового человека туберкулезом в закрытой либо открытой форме. Главным источником заражения считается больной с открытой формой заболевания.
Опасность закрытой формы заключается в ее сложном диагностировании. В связи с этим, значение приобретает ранняя диагностика, проводимая на предприятиях, в школах и детских садах с помощью пробы Манту. Ежегодно сотрудники учреждений проходят обязательную флюорографию. Рекомендуется самостоятельно заботиться о собственном здоровье и при малейших болезненных симптомах обращаться к фтизиатру.
Как правило, для распространения заболевания необходим близкий, частый или продолжительный контакт. Например, половые отношения при закрытом туберкулезе. Конечно, если сильно зараженный пациент испускает большое количество бацилл, вероятность передачи инфекции намного выше. В отличие от других инфекций, туберкулез не передается при контакте с одеждой пациента, постельного белья или посудой и кухонными принадлежностями. Наиболее важным исключением является беременность. У инфицированной матери родившийся плод также будет заражен туберкулезом.
Невозможно с уверенностью предсказать заболеет ли тот или иной инфицированный человек. В среднем 5% инфицированных заболевают в течение 12-24 месяцев после попадания бацилл в организм, а еще у 5% только через несколько лет может развиться активный туберкулез либо в легких, либо в других частях тела.
Патология не всегда приводит к смертельному исходу. Без лечения продолжительность жизни может колебаться от 5 до 30 лет, сколько живут с открытой формой туберкулеза зависит от множества внешних и внутренних факторов.
Прежде всего, оказывает влияние иммунная устойчивость организма, а также возраст и наличие сопутствующих заболеваний.
Вы можете рассчитывать сохранить свою работу, остаться с семьей и вести нормальную жизнь, если заболели туберкулезом. Тем не менее, должны регулярно принимать лекарство, чтобы быть уверенными в положительной динамике и предотвратить заражение других людей.
После терапии шанс на полное выздоровление очень высок, но не гарантирован на 100%. Существуют особо тяжелые формы расстройства, которые практически не восприимчивы к большинству антибактериальных препаратов.
Другие болезненные состояния, которые уменьшают шансы на выздоровление:
- алкоголизм;
- конечная стадия заболеваний почек;
- недоедание;
- ходжкинская лимфома;
- хронические болезни легких.
Пути передачи заболевания
Стадии развития
Также большое значение имеет проходимость бронхов (в период закупорки или спада результат анализа на наличие палочек Коха может дать отрицательный ответ)
Особое внимание уделяется тому, насколько развиты грудные мышцы больного, поскольку некоторые пациенты (чаще всего старики и дети) неспособны вывести мокроту с микобактериями туберкулеза, которая находится глубоко в легких
Здесь следует отметить, что точность результата анализа зависит от материала, который был взят на проведение исследования, форму заболевания может указать мокрота (но не слюна). Если пациент помимо туберкулеза болен каким-либо еще заболеванием, например, ВИЧ, то при болезни в большинстве случаев бактерии не выделяются.
Для того чтобы туберкулез не приобрел открытую форму, очень важно, чтобы больной получал грамотное полноценное лечение. Как известно, описанное заболевание достаточно сложно поддается каким-либо методам лечения, поэтому осмотр у лечащего врача должен быть регулярным
Помимо этого, очень важно не забывать о рекомендациях специалиста, даже в тот период, когда туберкулез находится в закрытой форме.
Чтобы выявить открытый туберкулез легких, проводят различные диагностические мероприятия. Сначала врач опрашивает пациента, выясняя, когда у него появились первые признаки недомогания, какие симптомы беспокоят и др. Также он уточняет, были ли контакты с туберкулезным больным. После этого осматривает пациента, прослушивает легкие и обследует лимфатические узлы.
Одним из распространенных методов диагностики является рентгеновское обследование. Рентген рекомендуется всем тем, кто тесно контактирует с инфицированными людьми. Например, медицинские работники, которым по делу службы приходится иметь контакт с больными, более подвержены заболеванию. Поэтому они должны регулярно проходить рентгеновское обследование.
Также к традиционным методам стоит отнести туберкулиновую пробу кожи. Туберкулин состоит из антигенов, которые вводятся под кожу и если бактерии туберкулеза присутствуют, то место инъекции становится твердой, опухшей и красной в течение 1-3 дней. Однако это не обозначает, что туберкулезное заболевание имеет активную форму.
Также в диагностике закрытого туберкулеза используется компьютерная томография с высоким разрешением и точным изображением. Это исследование позволяет получить многоуровневые снимки. МРТ, как и рентген использует рентгеновское излучение. Для выполнения этого типа изображения, все основные элементы оборудования находятся в синхронном движении, в то время как пациент остается неподвижным. Перед исследованием следует сообщать о следующем:
- Когда в последнее время выполнялись рентгеновские снимки?
- В случаях женщин – о наличие беременности.
- Женщинам, находящимся во второй половине менструального цикла.
7 Милиарный туберкулез
Относится к вторичной форме открытого туберкулеза, соответственно несет угрозу заразиться людям, окружающим носителя. Милиарный туберкулез всегда гематогенного происхождения и микобактерии распространяются через кровь.
Клиническая картина заболевания зависит от иммунного ответа на воспалительный процесс и на скопление палочки в казеозных очагах. Острая диффузивная форма очень тяжелая. Без своевременного медикаментозного лечения, убивающего возбудителя, может протекать со смертельным исходом. Симптомы зависят от бактериальной атаки и очага поражения:
- высокая температура;
- бледность с синюшным оттенком (цианоз);
- пациент с трудом вдыхает воздух (сильная отдышка);
- головные боли, потеря сознания, непрерывная рвота.
В контакте с больным открытой формой туберкулеза, нужно быть предельно осторожным. Выделяемые им микобактерии туберкулеза активны в радиусе до пяти метров. Оседая на предметах мебели, попадают с пылью в органы дыхания здорового человека.
Из-за недостаточности оборудования или из-за малой ее мощности микобактерии в мокроте выявить не удается, и человек считается неопасным для окружения. Но при вторичной закрытой форме палочка проникает в кровь заболевшего и попадание ее на кожу или слизистую здорового человека несет угрозу заражения.
В связи с этим фактором ни один врач не даст полной гарантии, что туберкулез закрытой формы легких не несет никакой угрозы людям, контактирующим с носителем. Близкое общение с таким человеком в 30 процентах приведет к инфицированию, угроза сильнее, если контакт длительный и постоянный.
Как передаётся туберкулёз лёгких: взаимосвязь форм заболевания с путями передачи
Самые распространенные пути передачи туберкулеза легких
Как передаётся туберкулёз лёгких воздушно-капельным путём? Рассмотрим этот вопрос подробнее. Если человек, страдающий открытой формой туберкулеза, будет плевать при кашле на пол или землю, пренебрегая носовым платком или специальной плевательницей, его мокрота по мере высыхания превратится в инфицированную пыль. Вдыхая ее, заражаются здоровые люди.
Заразиться туберкулёзом можно и в том случае, если на продуктах питания, которые были в дальнейшем съедены здоровым человеком, оказались капельки слюны или мокроты больного. Личные вещи больного и его предметы ухода за телом также могут стать источником инфицирования палочкой Коха – возбудителем туберкулёза.
Микобактерии могут оказаться в организме здорового человека и при докуривании чужих сигарет, питья из одной посуды, при поцелуях. Таким образом, любое место, на котором могла остаться слюна больного или капельки мокроты, становится путём передачи заболевания.
Заразиться можно даже во время разговора с больным, не говоря уже о пребывании с ним в момент чихания или приступа кашля. В редких случаях заражение происходит от больных животных. Источником проблемы в данном случае становится мясо или некипяченое молоко, которые были употреблены в пищу. Условия жизни того или иного человека тоже стоит рассмотреть как возможный вариант заражения. В неудовлетворительных социально-бытовых условиях, где антисанитария считается нормой, болезнетворные микобактерии могут часами витать в воздухе.
Опасна ли закрытая форма туберкулёза лёгких?
Опасна ли закрытая форма туберкулеза?
Передаётся закрытый туберкулёз лёгких или нет? Этот вопрос также волнует здоровое общество, поскольку в последние годы среди жителей стран СНГ участились случаи носительства инфекции. Нет, передачи заболевания здесь быть не может, так как организм не выделяет палочку Коха, инфицирующую внешнюю среду. Инфекция, оказавшаяся в своё время в лёгких здорового человека, постепенно разрушает именно те клетки органа, в которых она находилась первоначально.
Процесс приобретает хроническую форму, сменяя активность на периоды затихания. Диагностика закрытой формы туберкулёза весьма затруднительна, поэтому поводом для обращения к фтизиатру должны стать такие отклонения в здоровье, как:
- постоянная слабость организма при отсутствии признаков любого заболевания;
- болевые ощущения, возникающие в грудной клетке на глубоком вдохе;
- скопление жидкости в лёгких.
Популярные статьи на тему: можно ли заразиться туберкулезом от больного
Читать дальше
Пульмонология, фтизиатрия
Контакт с больным туберкулезом – каков риск заражения?
Случайный контакт носителем туберкулезной палочки безопасен: он не является источником инфекции. А вот при длительном и регулярном общении с обладателем открытой формы туберкулеза заразиться можно наверняка. Избежать болезни поможет профилактика.
Читать дальше
Пульмонология, фтизиатрия
Туберкулёз легких (тбл). Внелегочной туберкулёз (втб)
Туберкулёз – это инфекционное заболевание, которое вызывается возбудителем – микобактериями туберкулёза (Mycobacterium tuberculosis), и характеризуется образованием специфических гранулём в разных органах и тканях.
Читать дальше
Пульмонология, фтизиатрия
Борьба с кашлем — о чем нужно помнить
Время от времени кашель бывает у всех, но кашель — кашлю рознь. Узнайте, каким бывает кашель, от чего возникает, когда он опасен и требует немедленного обращения к врачу, какими лекарствами лечат кашель, в зависимости от причины его возникновения.
Читать дальше
Школа здоровья
Светя другим, сгораю…
Страницы жизни академика Даниила Кирилловича Заболотного, выдающегося эпидемиолога и микробиолога, одного из первых президентов Академии наук УССР, организатора Института эпидемиологии и микробиологии Украины.
Читать дальше
Инфекционные заболевания
СПИД: все еще впереди
В конце 70-х годов на человечество обрушилась новая беда, развеявшая преждевременный оптимизм о конце опустошительных эпидемий. В 1985 году в США умерло от СПИДа 25 тыс. человек. Только тогда были подвергнуты проверке банки донорской крови, и…
Современные методы профилактики (вакцинация и препараты)
Профилактика туберкулеза включает в себя следующие методы:
- Социальная профилактика. Она направлена на оздоровление условий внешней среды, повышение материального благополучия населения, улучшение питания и жилищных условий, проведение мероприятий по борьбе с алкоголизмом, наркоманией и так далее.
- Санитарная профилактика. Она нужна для предупреждения инфицирования здоровых людей. Проводятся социальные, противоэпидемические и лечебные мероприятия в очаге туберкулезной инфекции.
- Специфическая профилактика. Сюда входит вакцинация и ревакцинация БЦЖ. Для вакцинации используется штамм БЦЖ, который ограниченно размножается в лимфатических узлах. Для профилактики используется сухая вакцина БЦЖ.
Химиопрофилактика. Используются противотуберкулезные препараты для предупреждения туберкулеза у тех, кто подвергается наибольшей опасности заражения. Применяются такие препараты, как Изониазид или Фтивазид в течение трех месяцев.
Несколько слов о заболевании
Итак, туберкулёз – это инфекционное заболевание, при котором возбудителем является палочка Коха, или туберкулёзная палочка. Основная локализация – лёгкие, но этот патоген может создавать очаги и в других органах и системах. Например, его нередко выявляют в лимфатической системе, печени, кожных покровах, органах малого таза.
Практически все представляют типичного пациента туберкулёзом как худого человека с землистым цветом лица, который постоянно кашляет и вообще плохо себя чувствует. Но это совсем не так. Если пациент ещё не дошёл до открытой формы заболевания, то по внешним симптомам определить, что этот человек является носителем палочки Коха, нельзя. В этом и заключается главная опасность. Именно поэтому нужно знать, какими путями возможно заражение, чтобы постараться избегать опасных контактов с больным.
Что такое открытая форма заболевания и чем она отличается от закрытой? Анализы такого человека на палочку Коха будут в любом случае положительны, но при закрытой форме очаги патогенов локализуются, например, в лёгких, и никак себя не проявляют. Они не выходят за пределы этих бугорков, скоплений. Человек считается неопасным. Но любое столкновение с раздражителями и провоцирующими факторами – и закрытая форма быстро перейдёт в открытую. В этом случае очаги начинают раскрываться, и палочки Коха вылезают наружу. Они вызывают активный воспалительный процесс. Распространяясь с кровотоком по всему организму, любые биологические жидкости такого человека становятся потенциально опасными.
Если человек инфицировался, то первые признаки будут очень напоминать простуду:
- кашель;
- насморк;
- температура до 38 градусов;
- общее тяжёлое состояние;
- резкая потеря веса;
- отсутствие аппетита.
При первичном заболевании возбудитель оседает в лёгких и начинает активизироваться. Нередко организм самостоятельно справляется с туберкулёзной палочкой без специального лечения, однако надеяться на это не стоит. Если возбудитель был выявлен на этой стадии, то пациенту следует принимать прописанные врачом препараты, чтобы гарантировать отсутствие в будущем последствий для организма и осложнений
.
Вторичный туберкулёз развивается, когда организму не удалось справиться с первыми признаками. Тогда палочка Коха начинает активизироваться, что чревато увеличением и количества очагов, и их площади. Меняется функционирование многих систем, замедляются регенеративные процессы, что в итоге приводит к тому, что иммунитет не способен восстанавливать повреждённые ткани. Осложнения могут быть самыми различными. Пациенту требуется срочное стационарное лечение.
Вопрос-ответ
Можно ли заразиться туберкулезом от человека с закрытой формой?
Человек с закрытой формой туберкулеза заразить окружающих не может, потому что в его мокроте нет возбудителей болезни. Контроль врача ему нужен и лечение тоже, но все это он может получать, находясь дома. Опасна открытая форма – в этом случае микобактерии выделяются во внешнюю среду.
Как заразиться туберкулезом закрытой формы?
Если туберкулезные бактерии находятся в ваших легких, вы можете передать ТБ другим людям, когда кашляете, чихаете, разговариваете или поете. Обычно лечение осуществляется путем приема одного медицинского препарата в течение 9 месяцев.
В каком случае туберкулез не заразен?
Человека с инфекционным туберкулёзом лёгких изолируют в больнице или дома, т. Е. , отделяют от окружающих. Он изолируется до тех пор, пока не будет исключена вероятность заражения окружающих (контрольное исследование мокроты). После этого больной больше не заразен.
Можно ли общаться с человеком, у которого туберкулез?
При выявлении в семье больного туберкулезом в первую очередь подвергаются опасности заражения самые близкие – так называемые контактные лица. Им необходимо ограничить общение с больным, а лучше и вовсе прекратить с ним контакт, а после этого пройти обследование у фтизиатра.
Советы
СОВЕТ №1
Регулярно проходите медицинские обследования, особенно если вы находитесь в группе риска. Раннее выявление закрытой формы туберкулеза может значительно повысить шансы на успешное лечение.
СОВЕТ №2
Обратите внимание на симптомы, такие как постоянный кашель, потливость, усталость и потеря веса. Если вы заметили их у себя или близких, не откладывайте визит к врачу.
СОВЕТ №3
Изучите информацию о вакцинации против туберкулеза, особенно если у вас есть дети. Вакцинация может помочь снизить риск заболевания и его распространения.
СОВЕТ №4
Поддерживайте здоровый образ жизни: правильно питайтесь, занимайтесь физической активностью и избегайте стрессов. Это поможет укрепить вашу иммунную систему и снизить риск инфекций.





















































